Tuberculosis
Part 2Diagnosis
The presence of unexplained cough for more than 2–3 weeks or typical chest X-ray changes should prompt further investigation.Direct microscopy of sputum remains the most important first step (typically positive when 5000–10000 organisms are present).
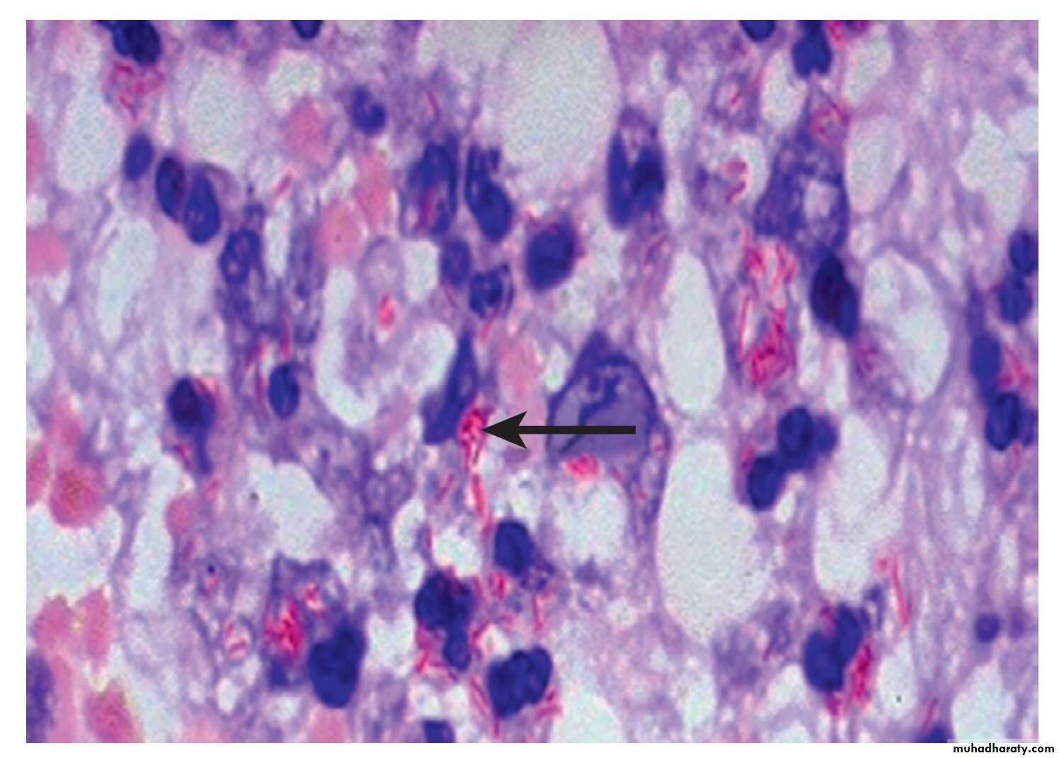
Tuberculous bacilli are difficult to stain.
The most effective techniques are the Ziehl–Neelsen and rhodamine–auramine.
A positive smear is sufficient for the presumptive diagnosis of TB but definitive diagnosis requires culture.Smear-negative sputum should also be cultured, as only 10–100 viable organisms are required for sputum to be culture-positive.
A diagnosis of smear-negative TB may be made in advance of culture if the chest X-ray appearances are typical of TB and there is no response to a broad-spectrum antibiotic
Positive Ziehl–Neelsen stain. Mycobacteria retain the red carbol fuchsin stain, despite washing with acid and alcohol
MTB grows slowly and may take between 4 and 6 weeks to appear on solid medium, such as Löwenstein–Jensen or Middlebrook.
Faster growth (1–3 weeks) occurs in liquid media, such as the radioactive BACTEC system or the non-radiometric mycobacteria growth indicator tube (MGIT).
Drug sensitivity testing is particularly important in:
those with a previous history of TBtreatment failure or chronic disease
in those who are resident in or have visited an area of high prevalence of resistance
who are HIV-positive.
The detection of rifampicin resistance, using molecular tools is important, as rifampicin forms the cornerstone of 6-month chemotherapy
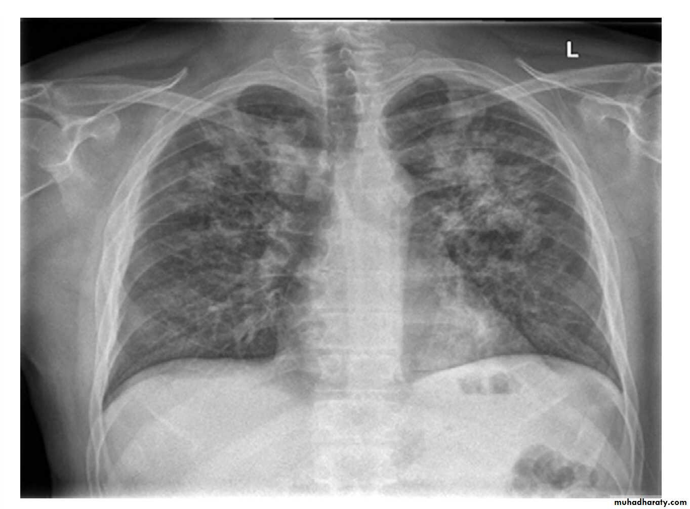
Typical changes of tuberculosis. The chest X-ray shows bilateral upper lobe airspace shadowing with cavitation.
Nucleic acid amplification tests, such as the Xpert/RIF test, combine the potential to diagnose TB and detect the presence of rifampicin resistance, and may become the test of first choice in individuals with HIV or those suspected to have multi-drug-resistant tuberculosis (MDR-TB).
If a cluster of cases suggests a common source, confirmation may be sought by fingerprinting of isolates with restriction-fragment length polymorphism (RFLP)
The diagnosis of extrapulmonary TB can be more challenging. There are generally fewer organisms (particularly in meningeal or pleural fluid), so culture or histopathological examination of tissue is more important.
Adenosine deaminase in pleural fluid, and to a lesser extent in CSF, may assist in confirming suspected TB.
In the presence of HIV, examination of sputum may still be useful, as subclinical pulmonary disease is common.
Management
ChemotherapyThe treatment of TB is based on the principle of an initial intensive phase to reduce the bacterial population rapidly, followed by a continuation phase to destroy any remaining bacteria.
Standard treatment involves 6 months’ treatment with isoniazid and rifampicin, supplemented in the first 2 months with pyrazinamide and ethambutol.
Fixed-dose tablets combining two or three drugs are preferred.
Six months of therapy is appropriate for all patients with new-onset pulmonary TB and most cases of extrapulmonary TB.
12 months of therapy is recommended for meningeal TB, including involvement of the spinal cord in cases of spinal TB; in these cases, ethambutol may be replaced by streptomycin.
Pyridoxine should be prescribed in pregnant women and malnourished patients to reduce the risk of peripheral neuropathy with isoniazid.
Patients can be assumed to be non-infectious after 2 weeks of appropriate therapy
Most patients can be treated at home.
Admission to a hospital unit with appropriate isolation facilities should be considered where there is :
-uncertainty about the diagnosis,
-intolerance of medication,
-questionable treatment adherence,
-adverse social conditions
-a significant risk of MDR-TB (culture-positive after 2 months on treatment, or contact with known MDR-TB).
Patients treated with rifampicin should be advised that their urine, tears and other secretions will develop a bright orange/red coloration, and women taking the oral contraceptive pill must be warned that its efficacy will be reduced and alternative contraception may be necessary.
Ethambutol and streptomycin should be used with caution in renal failure, with appropriate dose reduction and monitoring of drug levels.
Adverse drug reactions occur in about 10% of patients, but are significantly more common with HIV co-infection.
Baseline liver function and regular monitoring are important for patients treated with standard therapy.
Rifampicin may cause asymptomatic hyperbilirubinaemia but, along with isoniazid and pyrazinamide, may also cause hepatitis.
Mild asymptomatic increases in transaminases are common but significant hepatotoxicity only occurs in 2–5%.
It is appropriate to stop treatment and allow any symptoms to subside and the liver function tests (LFTs) to recover before commencing a stepwise re-introduction of the individual drugs
Less hepatotoxic regimens may be considered, including streptomycin, ethambutol and fluoroquinolone
Corticosteroids reduce inflammation and limit tissue damage, and are currently recommended when treating :
pericardial or meningeal disease
in children with endobronchial disease
They may confer benefit in TB of the ureter, pleural effusions and extensive pulmonary disease
can suppress hypersensitivity drug reactions
Surgery should be considered in:
cases complicated by massive haemoptysisloculated empyema
constrictive pericarditis
lymph node suppuration
spinal disease with cord compression (usually only after a full course of antituberculosis treatment)
The effectiveness of therapy for pulmonary TB is assessed by further sputum smear at 2 months and at 5 months.
Treatment failure is defined as a positive sputum smear or culture at 5 months or any patient with a multidrug resistant strain, regardless of whether they are smear-positive or negative.
Extrapulmonary TB must be assessed clinically or radiographically, as appropriate
Detection of latent TB
Approximately 10–20% of close contacts of patients with smear-positive pulmonary TB and 2–5% of those with smear-negative, culture-positive disease have evidence of TB infectionCases are commonly identified using the tuberculin skin test
Chemoprophylaxis is recommended for :
1-Asymptomatic contact with a positive tuberculin skin test but a normal chest X-ray.2-children aged less than 16 years identified during contact tracing as having a strongly positive tuberculin test
3- children aged less than 2 years in close contact with smear positive pulmonary disease
4- those in whom recent tuberculin conversion has been confirmed
5-babies of mothers with pulmonary TB.
6- HIV-infected close contacts of a patient with smear-positive disease.
A course of rifampicin and isoniazid for 3 months or isoniazid for 6 months is effective
Tuberculin skin testing may be associated with
false positive reactions in those who have had a BCG vaccination and in areas where exposure to non-tuberculous mycobacteria is high.the skin tests may also be falsely negative in the setting of immunosuppression or overwhelming infection.
These limitations may be overcome by employing interferon-gamma release assays (IGRAs)
Directly observed therapyPoor adherence to therapy is a major factor in prolonged illness, risk of relapse, and the emergence of drug resistance .
Directly observed therapy (DOT) involves the supervised administration of therapy 3 times weekly to improve adherence.
DOT has become an important control strategy in resource-poor nations.
Vaccines
BCG (the Calmette–Guérin bacillus), a live attenuated vaccine derived from M. bovis, is the most established TB vaccine.It is administered by intradermal injection and is highly immunogenic.
BCG appears to be effective in preventing disseminated disease, including tuberculous meningitis, in children, but its efficacy in adults is inconsistent.
Opportunistic mycobacterial infection
Other species of environmental mycobacteria (often termed ‘atypical’) may cause human disease.The sites commonly involved are the lungs, lymph nodes, skin and soft tissues.










