Lab. 2
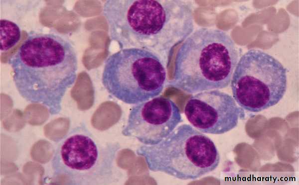
Connective TissuePlasma cells
The function of plasma cell is the formation of antibodiesnucleus
Mast cells
The function is the production of heparin and histamineAreolar (Loose) Connective Tissue
Location : skin
Collagen fibers
Connective tissue
cells
Elastic fibers
cytoplasm
Lipid droplet
Location:
reticular cells
reticular fibersReticular tissue
Location : lymph nodes
Nucleus of
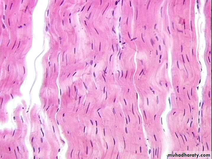
fibroblastDense Regular Connective Tissue
Location : tendons
elastic fibers
Nucleus offibroblast
Elastic Connective Tissue
Location : ligaments









