Waxing And Carving Of Complete Denture
Dr.Shanai MWaxing: is contouring of wax pattern or the wax base of trial denture into desired form
The polished surfaces, are outer surfaces which will be in contact with oral tissue (lip, cheek, and tongue) must be smooth and have the natural details. This developed by contouring the wax .The form of polished surface of denture influences its:
• Retention quality.
• Esthetic values of the denture.
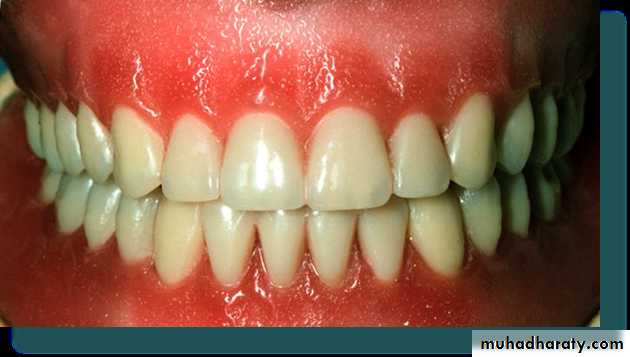
The esthetic of complete denture is not related to arrangement of teeth alone; we attempt to simulate natural anatomy of patient mouth which include size, shape and contour of missing oral tissues during construction of complete upper and lower dentures.
Therefore, the contour and finish of polished surface will greatly effect on the
• Retention and stability of denture.• Esthetic of denture.
• Tissue tolerance of the denture.
There are three principal surfaces concerned in functional stability of the dentures:
• The basal or impression surface.
• The leverage position and occlusal surfaces of the teeth.
• The location and form of the polished surfaces
The polished surface is determined by
1. the width of the border of the denture.
2. the buccolingual position of artificial teeth
3. the fullness given to the wax to obtain convexity and concavity in the facial and lingual aspects.
The inclined plane action of the muscles of check and tongue, this horizontal force exert in the direction of the occlusal plane by the tongue and check can act either a placing or displacing agent, depending on the shape of the polished surface.
When the lingual and buccal surfaces of a mandibular denture are being shaped, they can be made concave so that the tongue and check will grip and tend to seat the denture. In the opposite case where in lingual and the buccal surfaces are made convex by waxing and a narrow impression base used, the inclined plane forces resulting from pressures of the tongue and cheeks will tend to unseat the denture.
The buccolingual position of the teeth is important because a buccal position of the teeth would necessity shaping the surface of the denture base in such a manner that the muscle action of the cheeks would tend to unset the mandibular denture.
The buccal surface of the mandibular dentures in the first premolar region should be shaped carefully so as not to interfere with the action of the modiolus (connecting the facial muscles with the orbicularis oris). This connecting point of the muscles can displace the mandibular denture if the polished surface inclines toward the cheek or if the arch in the premolar region is too wide.
The wax surfaces around the teeth are known as the (art portion) of the polished surface and should for esthetic reasons, imitate the form of the tissues around the natural teeth.
Requirements of waxing the polished surfaces:
• They should duplicate the covered soft tissues as accurately as possible realistic, not exaggerated.
• The borders, both labial and buccal should full the vestibule
• Notches should be provided to accommodate the mucous membrane attachment (frenum), both in size and direction.
• The contour of the denture flanges should be compatible with the drape of cheek and lips.
• The contour of the lingual flanges should be compatible with the tongue.
• The palatal section of the maxillary denture should be nearly a reproduction of the patient palate and rugae
The procedure of waxing:
• Contour the wax carefully to prevent movement of teeth.
• Avoid a bulky wax-up. The additional bulk of acrylic resin may contribute to porosity and dimensional processing error.
• Place strips of base plate wax along the facial surface of the trail denture so that they extend from the gingival third of the teeth to the edge of the cast.
• With a hot spatula lute the strips to the underlying wax at ¼ inch intervals, and melt the wax into contact with the necks of the teeth.
• After the wax has cooled, carve the interdental papillae. They vary with the age of patient.
• Develop the margin by the carving with an Ash No. 5 or lacron carver at 45º angle to the neck of the teeth. The posterior area should have a marked fullness.
• Wax the lingual flange of the mandible denture thickly enough to full all depressions and to slop down from the necks of the teeth and inward toward the tongue. The slop of the flange should be free from the undercuts and very slightly concave at or near the lower border
• Contour the wax around the necks of the maxillary posterior artificial teeth to form part of clinical crowns and to make these teeth more natural in size and more compatible to the toungue
• The palatal surface of maxillary denture should be waxed to a uniform thickness of 2.5mm, when the processed resin is smoothed and polished, the palate will be as thin as possible and yet sufficiently thick to provide adequate strength.
• Stippling of the wax: an alternative to gingival contouring some people stipple the wax and this procedure a finished denture, whose surface shows an (orange-peal) effect, produces a very pleasing result. This may be produced by tapping the surface of the wax with a bristles of a tooth brush after first warming the surface soften the wax or by running over the surface of the wax with a small burnishing bur rotating in a hand piece.
Disadvantages of stippling is that it produced a denture which is more liable to contamination by calculus deposits. If it done it should be confined to the area of the denture which can be seen when the patient grains broadly.
11. after the wax has been contoured, smooth it by flaming and then polished it with we cotton.
Establishing the posterior palatal seal
Posterior palatal seal area: it is the soft tissues along the junction of the movable and non movable part of the soft palates on which pressure within physiologic limits of the tissues can be applied by a denture to aid in the retention of the denture.The posterior border of the denture is determined in the mouth and its location is transferred onto the cast. The locations of right and left hamular notches are marked with an indelible pencil. Then the location of fovea palatinae near the median palat suture is marked.
The vibrating line of the soft palate normally used as a guide to the ideal posterior border of the denture, it may be slightly posterior to the fovea palatinae.
Procedure for carving of posterior palat seal area
A V-shaped groove (1-1.5)mm deep is carved into the cast at the location of the bead. A large sharp scraper is used to carve it passing through the hamular notches and cross the palate of the cast. The groove will form a bead on the denture that provides the posterior palatal seal area (pps). The bead will be 1-1.5mm high and 1.5 wide at its base.Advantages of posterior palatal seal
• Its helps to determine the posterior border of maxillary denture.• It helps to compensate for the shrinkage of the acrylic resin in this area during processing.
• Provide a good seal in the posterior area of the maxillary arch which increase retention.
• It prevents food to enter under the maxillary denture.
• Reduces the tendency for gag reflex.










