Gingivitis and Periodental disease in Children
SIMPLE GINGIVITIS*ERUPTION GINGIVITIS*GINGIVITIS ASSOCIATED WITH POOR ORAL HYGIENE*ALLERGY AND GINGIVAL INFLAMMATIONERUPTION GINGIVITIS
• A temporary type of gingivitis.• Often observed in young children when primary teeth are erupting.
• Subsides after the teeth emerge into the oral cavity.
• Related to accumulated dental plaque associated with erupting tooth.
GINGIVITIS ASSOCIATED WITH POOR ORAL HYGIENE
Gingivitis associated with poor oral hygiene is usually classified as early (slight), moderate, or advanced.Early gingivitis is quickly reversible and can be treated with a good oral prophylactic treatment and instruction in good toothbrushing and flossing techniques to keep the teeth
free of bacterial plaque.
Gingivitis is generally less
severe in children than in
adults with similar plaque
levels.
ALLERGY AND GINGIVAL INFLAMMATION
Seasonal variation of gingival inflammation is seen in children with allergies to birch pollen.Patients with complex allergies who have symptoms for longer periods may be at higher risk for more significant adverse periodontal changes.
ACUTE GINGIVAL DISEASESIN CHILDHOOD
HERPES SIMPLEX VIRUS INFECTIONRECURRENT APHTHOUS ULCER/STOMATITIS (CANKER SORE)
ACUTE CANDIDIASIS (THRUSH,CANDIDOSIS, MONILIASIS)
ACUTE NECROTIZING ULCERATIVE GINGIVITIS (VINCENT INFECTION)
HERPES SIMPLEX VIRUS INFECTION
The primary infection usually occurs in a child under 6 years of age who has had no contact with the type 1 herpes simplex virus (HSV-1).99% of all primary infections are of the subclinical type.
In some preschool children the primary infection may be characterized by only one or two mild sores which may go unnoticed.HERPES SIMPLEX VIRUS INFECTION
In other children, the primary infection may be manifested by acute symptoms (acute herpetic gingivostomatitis).Acute disease can occur in children with clean mouths and healthy oral tissues.
symptoms of the disease develop suddenly and include:
Fiery red gingival tissues,
Malaise,
Irritability,
Headache,
and
Pain associated with intake
of food and liquids of acid content.
DIFFUSE ERYTHEMA
characteristic oral finding in the acute primary disease is presence of yellow or white liquid filled vesicles that rupture in few days and form painful ulcers, 1 to 3 mm in diameter, which are covered with a whitish gray membrane and have a circumscribed area of inflammation
ulcers may be observed on any area of the mucous membrane
• HERPES SIMPLEX VIRUS INFECTION
MULTIPLE LESIONS ON LABIAL MUCOSA
HERPES SIMPLEX VIRUS INFECTIONDiagnostic investigations:
four fold rise of serum antibodies to HSV-1
lesion culture will also show positive results for HSV-1.
HERPES SIMPLEX VIRUS INFECTION
TREATMENT:relief of the acute symptoms so that fluid and nutritional intake can be maintained
The application of a mild topical anesthetic, such as dyclonine hydrochloride (0.5%) before mealtime.
an alternative to the anesthetic is mixture of equal parts of diphenhydramine elixir and Kaopectate. The diphenhydramine has mild analgesic and anti inflammatory properties, whereas the kaolin-pectin compound coats the lesions.
HERPES SIMPLEX VIRUS INFECTION
The antiviral medications currently prescribed are acyclovir, famciclovir, and valacyclovir.Acyclovir should be administered in 5 daily doses to equal 1000 mg per day for 10 days.
Bed rest and isolation from other children in the family are also recommended.
After initial primary attack during early childhood, the herpes on outside of the lips . It is commonly referred to as recurrent herpes labialis (RHL).
The recurrence of the disease has been related to:
conditions of emotional stress and lowered tissue resistance
Excessive exposure to sun light, simplex virus becomes inactive and resides in sensory nerve ganglia.
The virus will often reappear later as the familiar cold sore or fever blister.
HERPES SIMPLEX VIRUS INFECTION
• HERPES SIMPLEX VIRUS INFECTION
The most effective treatment for these recurrences is the use of the specific systemic antiviral medications. The daily dosages are the same as those for the primary infection, but the course of treatment is usually 5 days.topical antiviral agent, penciclovir cream may be applied to perioral lesions(approved for use in children 12 years of age and older)
RECURRENT APHTHOUS ULCER/STOMATITIS (CANKER SORE)
Occurs in school-aged children.Painful ulceration on the unattached mucous membrane.
Lesions persist for 4 to 12 days and heal uneventfully, leaving scars only rarely.
May appear as attacks of minor or single, major or multiple ulcers.
The major form (RAS) is less common and has been referred to as periadenitis mucosa necrotica recurrens and Sutton disease.
RECURRENT APHTHOUS ULCER/STOMATITIS (CANKER SORE)
RAS has been associated with other systemic diseases:Pharyngitis,
Behcet disease,
Crohn disease,
Ulcerative colitis,
Neutropenia,
Immunodeficiency syndromes,
Systemic lupus erythematosus
Cause of RAU is unknown.
Suggested etiology is:
1. Local factors like-
Trauma.
Allergy to toothpaste constituents.
and Salivary gland dysfunction.
2. Deficiencies of iron, vitamin B12, and folic acid
3. It is also possible that the lesions are caused by an
autoimmune reaction of the oral epithelium
4. Infectious microbial factors
• RECURRENT APHTHOUS ULCER/STOMATITIS (CANKER SORE)
TREATMENT
a variety of treatments have been recommended for RAU, but a completely successful therapy has not been found.Topical anti inflammatory and analgesic medicines and/or systemic immunomodulating and immunosuppression agents have been used for RAU.
The primary line of treatment uses topical gels, creams, and ointments as antiinflammatory agents. For example, the application of triamcinolone acetonide (Kenalog in Orabase) to the surface of the lesions before meals and before sleeping may also be helpful.
• RECURRENT APHTHOUS ULCER/STOMATITIS (CANKER SORE)
The topical application of tetracyclines to the ulcers is often helpful in reducing the pain and in shortening the course of the disease.Chlorhexidine mouthwash has also been helpful.
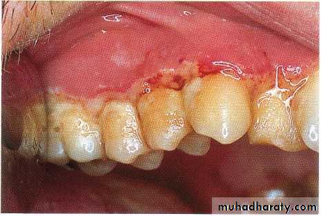
ACUTE NECROTIZING ULCERATIVE GINGIVITIS (VINCENT INFECTION)
Rare among preschool children, occurs occasionally in children from 6 to 12 years old
ANUG can be easily diagnosed because of the involvement of the interproximal papillae and the presence of a gray pseudomembranous necrotic covering of the marginal tissue.
Two microorganisms, Borrelia vincentii and fusiform bacilli, referred to as spirochetal organisms, are generally believed to be responsible for the disease.
INITIAL PUNCHED OUT LESIONS
ADVANCED STAGE OF NECROSISCharacteristics lesion are punched out crater like lesions at the crests of the inter dental papillae extending to marginal gingiva, and rarely to attached gingiva.
The clinical manifestations of the disease include inflamed, painful, bleeding gingival tissue, poor appetite, fever as high as 40° C (104° F), general malaise, and a fetid odor.
• ACUTE NECROTIZING ULCERATIVE GINGIVITIS (VINCENT INFECTION)
CRATERING
TREATMENT :
Subgingival curettage, debridement, and the use of mild oxidizing solutions
If the gingival tissues are acutely and extensively inflamed when the patient is first seen, antibiotic therapy is indicated
Improved oral hygiene, the use of mild oxidizing mouth rinses after each meal, and twice-daily rinsing with chlorhexidine will aid in overcoming the infection.
• ACUTE NECROTIZING ULCERATIVE GINGIVITIS (VINCENT INFECTION)
Distinguishing ANUG from acute herpetic gingivostomatitis
Therapeutic prophylaxis and debridement will bring about a favorable response in cases of ANUG but not in acute herpetic gingivostomatitis.A therapeutic trial of antibiotics will reduce the acute symptoms in ANUG but not in the viral infection.
Acute herpetic gingivostomatitis is most frequently seen in preschool children, and its onset is rapid. ANUG rarely occurs in the preschool-aged group and develops over a longer period, usually in a mouth in which irritants and poor oral hygiene are present.
Clinical picture , Biopsy of specimen.
• ACUTE NECROTIZING ULCERATIVE GINGIVITIS (VINCENT INFECTION)
ACUTE CANDIDIASIS (THRUSH,CANDIDOSIS, MONILIASIS)
Candida (Monilia) albicans is a common inhabitant of the oral cavity that multiply rapidly and cause a pathogenic state when tissue resistance is lowered.Young children sometimes develop thrush after local antibiotic therapy, which allows the fungus to proliferate.
lesions of the oral disease appear as raised, furry, white patches, which can be removed easily to produce a bleeding underlying surface
Antifungal antibiotics are available to control thrush.
For infants and very young children, a suspension of 1 ml
(100,000 U) of nystatin (Mycostatin) may be dropped into
the mouth for local action four times a day.
GINGIVAL DISEASES MODIFIEDBY SYSTEMIC FACTORS
GINGIVAL DISEASES ASSOCIATEDWITH THE ENDOCRINE SYSTEM
Puberty gingivitis is a distinctive type of gingivitis that occasionally develops in children in the prepubertal and pubertal period.11- to 14-year age group.
The enlargement of the gingival tissues is confined to the anterior segment and may be present in only one arch.
The gingival enlargement was marginal in distribution and, in the presence of local irritants, was characterized by prominent bulbous interproximal papillae
Treatment of puberty gingivitis should be directed toward improved oral hygiene, removal of all local irritants, adequate nutritional status
Severe cases of hyperplastic gingivitis that do not respond to local or systemic therapy should be treated by gingivoplasty
• GINGIVAL DISEASES ASSOCIATEDWITH THE ENDOCRINE SYSTEM
GINGIVAL LESIONS OF GENETIC ORIGIN
Hereditary gingival fibromatosis (HGF) is characterized by a slow, progressive, benign enlargement of the gingivausually has an autosomal dominant mode of inheritance .
elephantiasis gingivae or hereditary hyperplasia of the gums.
The gingival tissues appear normal at birth but begin to enlarge with the eruption of the primary teeth.
continue to enlarge with eruption of the permanent teeth until the tissues essentially cover the clinical crowns of the teeth
Dense fibrous tissue often causes displacement of the teeth and malocclusion
The condition is not painful until the tissue enlarges to the extent that it partially covers the occlusal surface of the molars and becomes traumatized during mastication.Treatment: Surgical removal of the hyperplastic tissue
can recur within a few months after the surgical procedure
• GINGIVAL LESIONS OF GENETIC ORIGIN
PHENYTOIN-INDUCED GINGIVAL OVERGROWTH(PIGO)
Phenytoin is a major anticonvulsant agent used in the treatment of epilepsy.
Varying degrees of gingival hyperplasia is one of the most common side effects of phenytoin therapy.
true hyperplasia not to exist.
Most investigators agree on the existence of a close relationship between oral hygiene and PIGO rather than dose of phenytoin.
The relationship between plaque, local irritants, and PIGO is also supported by the observation that patients without teeth almost never develop PIGO.
appear as early as 2 to 3 weeks after initiation of phenytoin therapy
The initial clinical appearance is painless enlargement of the interproximal gingiva.become more generalized later.
These lesions may remain purely
fibrotic in nature or may be
combined with a noticeable
inflammatory component.
In some cases, the entire occlusal
surface of the teeth becomes covered.
• PHENYTOIN-INDUCED GINGIVAL OVERGROWTH
Problems include: esthetics, difficulty in mastication, delayed tooth eruption,and secondary inflammation leading to periodontal disease
TREATMENT:
Unfortunately, no cure exists and treatment is often symptomatic in nature
Patients with mild PIGO (i.e., less than one third of the clinical crown is covered) require daily meticulous oral hygiene
For patients with moderate PIGO (i.e., one third to two thirds of the clinical crown is covered) meticulous oral home care and the judicious use of an irrigating device may be needed
• PHENYTOIN-INDUCED GINGIVAL OVERGROWTH
Phenytoin levels should be checked after four prophylaxis visits (4 weeks).
If there has been no change, consultation with the patient's physician concerning the possibility of using a different anticonvulsant drug may be helpfulSevere PIGO (i.e., more than two thirds of the tooth is covered) : surgical removal and good oral hygiene after surgery are generally considered to be the most effective treatment.
Recurrence may occur.
• PHENYTOIN-INDUCED GINGIVAL OVERGROWTH
ASCORBIC ACID DEFICIENCYGINGIVITISScorbutic gingivitis is associated with vitamin C deficiency and differs from the type of gingivitis related to poor oral hygiene.
The involvement is usually limited to the marginal tissues and papillae
severe pain, and spontaneous hemorrhage will be evident.
Complete dental care, improved oral hygiene, and supplementation with vitamin C and other water soluble vitamins will greatly improve the gingival condition.
PERIODONTAL DISEASESIN CHILDHOOD
PERIODONTAL DISEASESIN CHILDHOODPeriodontitis is an inflammatory disease of the gingiva and deeper tissues of the periodontium
It is characterized by pocket formation and destruction of the supporting alveolar bone.
Bone loss in children can be detected in bite-wing radiographs by comparing the height of the alveolar bone to the cementoenamel junction.
Distances between 2 and 3 mm can be defined as questionable bone loss and distances greater than 3 mm indicate definite bone loss.
Children vs Adults
Greater metabolic activity in children offers periodontium greater resistance to breakdown and enhances repairs.
Oral flora is different (spirochetes and B melaninogenicus are established late)
Composition and metabolsim of plaque different (lower irritation potential)
Preschoolers with 4x plaque have 1/4 gingival index
EARLY-ONSET PERIODONTITIS
EOP is used to describe a heterogeneous group of periodontal diseases occurring in young individuals who are otherwise healthyEOP consists of three categories of periodontitis that may have overlapping etiologies and clinical presentations:
(1) a localized form (localized juvenile periodontitis [LJP]),
(2)a generalized form (generalized juvenile periodontitis [GJP)
(3) a prepubertal category that may have both localized and generalized forms (localized and generalized prepubertal periodontitis)
1. LOCALIZED EARLY-ONSET PERIODONTITIS (LOCALIZED JUVENILE PERIODONTITIS)
LJP occurs in otherwise healthy children and adolescents without clinical evidence of systemic disease.It is characterized by the rapid and severe loss of alveolar bone around more than one permanent tooth, usually the first molars and incisors
bone loss around the primary teeth can be an early finding in this disease.
patients have little or no tissue inflammation and very little supragingival dental plaque or calculus
Micro-organisms predominating in the gingival pockets include Actinobacillus actinomycetemcomitans (Aa)or Aa in combination with Bacteroides-like species
variety of neutrophil defects have been reported in patients with LJP.
Some suspect a hereditary basis for LJP
2. GENERALIZED EARLY-ONSET PERIODONTITIS (GENERALIZED JUVENILE PERIODONTITIS)
The generalized form of EOP occurs at or around puberty in older juveniles and young adults.
It often affects the entire periodontium of the dentition
known by the terms generalized juvenile periodontitis (GJP), severe periodontitis, and rapidly progressive periodontitis.
Affected teeth harbor more nonmotile, facultative, anaerobic, gram-negative rods (especially Porphyromonas gingivalis)
Individuals with GJP exhibit marked periodontal inflammation and have heavy accumulations of plaque and calculus.
TREATMENT OF LOCALISED AND GENERALIZED EARLY-ONSET PERIODONTITIS
Treatment of EOP, both the localized and generalized types (LIP and GJP), includes surgery and the use of tetracyclines (sometimes in combination with metronidazole)FOR LJP:
Surgical removal of infected crevicular epithelium and debridement of root surfaces during surgery while the patient is on a 14-day course of doxycycline hyclate (1 g per day) is considered the best effective treatment modality.
a DNA test kit for periodontal pathogens. The test involves collecting a plaque specimen by inserting a paper point provided in the kit into a periodontal pocket for 10 seconds. The paper point is placed into a test vial and returned for the microbial test.
Retesting in 4 to 6 weeks after the completion of antibiotic therapy will determine the patient's response to the treatment.
Treatment of GJP:
is often less predictable.Alternative antibiotics directed at the specific pathogenic flora may be required
3. PREPUBERTAL PERIODONTITIS
LOCALIZED FORM:Localized prepubertal periodontitis (LPP) is localized attachment loss and alveolar bone loss only in the primary dentition in an otherwise healthy child.
appears to arise around or before 4 years of age
the bone loss is usually seen on radiographs around the primary molars and/or incisors
Affected sites may present with:
Abnormal probing depths with minor gingival inflammation,
rapid bone loss, and,
minimal to varying amounts of plaque.
Abnormalities in host defenses (e.g., leukocyte chemotaxis), extensive proximal caries facilitating plaque retention and bone loss, and a family history of periodontitis have been associated with LPP in children
Micro-organisms predominating in the gingival pockets include Actinobacillus actinomycetemcomitans (Aa), Porphyromonas (Bacteroides) gingivalis.
GENERALIZED FORM:
onset of generalized prepubertal periodontitis (GPP) is during or soon after the eruption of the primary teeth.results in severe gingival inflammation and generalized attachment loss, tooth mobility, and rapid alveolar bone loss with premature exfoliation of the teeth
The gingival tissue may initially demonstrate only minor inflammation with a minimum of plaque material
the primary teeth may be lost by 3 years of age.
Abnormalities in host defenses may be associated.
Micro-organisms predominating in the gingival pockets include Actinobacillus actinomycetemcomitans (Aa), Porphyromonas (Bacteroides) gingivalis.
TREATMENT OF BOTH FORMS:
Consultation with a pediatrician is needed to rule out systemic diseases.Use of antimicrobial rinses (chlorhexidine) and therapy with broad-spectrum antibiotics are effective in eliminating the periodontal pathogens.(Amoxicillin, tetracycline)
The child's parents should be made aware of the potential for pigmentation change in the developing permanent teeth and an increased susceptibility to oral candidiasis as a result of tetracycline therapy.
Treatment of GPP is less successful overall and sometimes requires extraction of all primary teeth.
A, Prepubertal periodontitis in a 41/2-year-old girl. Loosening, migration, and spontaneous loss of the primary teeth occurred.
B, A generalized loss of alveolar bone can be
seen in the radiographs.
C, Eight years after the initial observation of an involvement of the supporting tissues, there is evidence of normal gingival tissues. It is believed that dietary counseling and excellent oral hygiene contributed to the success of the treatment.
PERIODONTITIS AS A MANIFESTATION OF SYSTEMIC DISEASE
In the primary dentition, this is rare.Local factors account for the majority of cases of premature bone loss.
bony destruction in the primary dentition in the absence of local factors is highly suggestive of systemic diseases like-
hypophosphatasia, Papillon-Lefevre syndrome,
histiocytosis X, agranulocytosis,
Leukocyte adherence deficiency, neutropenias, leukemias
Diabetes mellitus ,Down syndrome, and
Chediak-Higashi syndrome.
Most of them have a genetic origin
The defect in immune and neutrophile cell function associated with these diseases is thought to increase patient susceptibility to infectious periodontitis causing alveolar bone loss and to other infections
EXTRINSIC STAINS ANDDEPOSITS ON TEETH
Staining is generally believed to be caused by extrinsicagents, which can be readily removed from the surface of
the teeth with an abrasive material. The agents that are
responsible for staining are deposited in enamel defects
or become attached to the enamel without bringing about
a change in its surface.
Pigmentation, in contrast to extrinsic staining, is
associated with an active chemical change in the tooth
structure, and the resultant pigment cannot be removed
without alteration of the tooth structure
GREEN STAIN
The cause of green stain, which is most often seen on the teeth of young persons, is unknown, although it is believed to be the result of the action of chromogenic bacteria on the enamel cuticle. The color of the stain varies from dark green to light yellowish green most often in the gingival third of the labial surface of the maxillary anterior teeth. The stain collects more readily on the labial surface of the maxillary anterior teeth in mouth breathers. It tends to recur even after careful and complete removal. The enamel beneath the stain may be roughened or may have undergone initial demineralization. The roughening of the surface is believed to be related to the frequency ofrecurrence of the stain.ORANGE STAIN
The cause of orange stain is likewise unknown. Orangeoccurs less frequently and is more easily removed than green stain. The stain is most often seen in the gingival third of the tooth and is associated with poor oral hygiene
BLACK STAIN
A black stain occasionally develops on the primary or permanent teeth of children, but it is much less common than the orange or green type. The stain may be seen as a line following the gingival contour or it may be apparent in a more generalized pattern on the clinical crown, particularly if there are roughened or pitted areas. The black type of stain is difficult to remove, especially if it collects in pitted areas. Many children who have black stain are relatively free from dental caries.REMOVAL OF EXTRINSIC STAINS
Extrinsic stains can be removed by polishing with a rubber cup and flour pumice.If the stain is resistant and difficult to remove, the excess water should be blotted from the pumice and the teeth should be dried before the polishing procedure is performed. Because stains are most often seen in a mouth in which there is poor oral hygiene, improving the oral hygiene will minimize the recurrence of the stain.


















