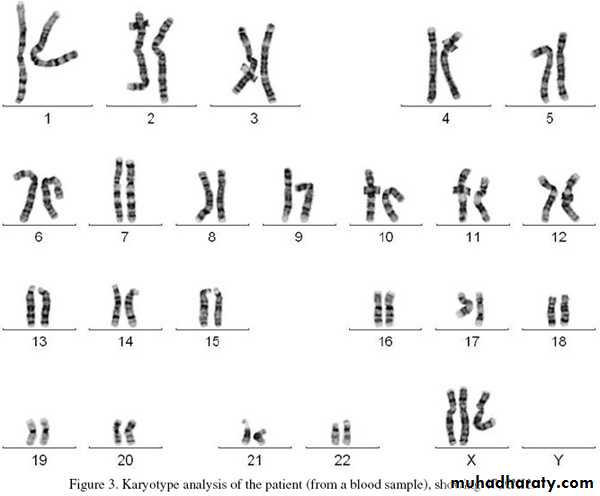
Down syndrome (Mongolism ) :
A child with Down syndrome has 47 chromosomes instead of 46 chromosomes because Trisomy for chromosome 21(three copies of chromosome 21 autosome ).
2- Turner syndrome :
Abnormal female with 45 chromosomes , the sex chromosome is X chromosome only .3-Klinefelter syndrome :
Abnormal male with 47 chromosome, the sex chromosomes are XXY .4-Triple X Syndrome :
Female with 47 chromosomes, the sex chromosomes are : XXX5 - Abnormality in Chromosome Structure :
Structural abnormalities results from chromosomal breakage and abnormal reunion .- Deletion :
Cri Du Chat Syndrome : The syndrome associated with deletion of part of short arm of chromosome 5 .
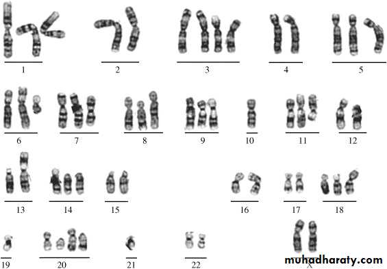
6-Human Karyotype from bladder carcinoma showing
ring chromosome in addition to other chromosomal abnormalities .7-Albinism :
In certain types of Albinism , the enzyme Tyrosinase is inactive or Lacking , resulting in a block in the Pathway of conversion of Tyrosine to the Dark-colored Pigment Melanin
8-Breast Cancer
Several chromosomal changes ; abnormalities chromosomes in number, translocation , deletion and structure .











