قراءة
عرض

Multiple sclerosis and other demyelinated diseases

Dr.Abdullah shakir mahmood

Multiple sclerosis (MS) is a chronic disease characterized by inflammation, demyelination, gliosis (scarring), and neuronal loss;Lesions of MS typically occur at different times and in different CNS locations.
5 million individuals worldwide.
Manifestations of MS vary from a benign illness to a rapidly evolving and incapacitating disease requiring profound lifestyle adjustments

Epidemiology and causes

MS is approximately threefold more common in women than men.
The age of onset is typically between 20 and 40 years
Geographicly the highest known prevalence for MS (250 per 100,000) in north of Scotland. In other temperate zone areas (e.g., northern North America, northern Europe, southern Australia, and south New Zealand),
the prevalence of MS is 0.1–0.2%.
one proposed explanation for the latitude effect on MS is that there is a protective effect of sun exposure.
studies have confirmed that vitamin D deficiency is associated with an increase in MS risk and preliminary data also suggest that ongoing deficiency may increase the relapse rate in established MS

The cause of MS is unknown; however, it is believed to occur as a result of some combination of genetic and environmental factors such as infectious agents
any microbes have been proposed as triggers of MS, but none have been confirmed.
Moving at an early age from one location in the world to another alters a person's subsequent risk of MS.
Smoking has been shown to be an independent risk factor for MS.
Stress may be a risk factor although the evidence to support this is weak.


Epidemiology and causes

Multiple sclerosis types

Relapsing remitting MS
Primary progressive MS
2nd progressive MS
Progressive relapsing MS

Relapsing remitting MS

It occurs more than 85% of the cases
is characterized by discrete attacks that generally evolve over days to weeks (rarely over hours).
There is often complete recovery over the ensuing weeks to months
approximately half will fail to improve.
Between attacks, patients are neurologically stable.

Primary progressive MS

accounts for ∼ 15% of cases. These patients do not experience attacks but only a steady functional decline from disease onset
Compared to RRMS, the sex distribution is more even, the disease begins later in life (mean age ∼ 40 years), and disability develops faster .

Secondary progressive Ms

(SPMS) always begins as RRMS At some point, however, the clinical course changes so that the patient experiences a steady deterioration in function unassociated with acute attacks (which may continue or cease during the progressive phase).
Progressive/relapsing MS (PRMS) overlaps PPMS and SPMS and accounts for ∼ 5% of MS patients
Like patients with PPMS, these patients experience a steady deterioration in their condition from disease onset. However, like SPMS patients, they experience occasional attacks superimposed upon their progressive course



MS

CLINICAL MANIFESTATIONS

Sensory symptoms
Motor symptoms
Visual symptoms
Sphincter disturbance
Cognitive impairment
Ataxia and vertigo
Double vision

Motor symptoms

The onset of MS may be abrupt or insidious
Weakness of the limbs may manifest as loss of strength,heaviness
Exercise-induced weakness is a characteristic symptom of MS
The weakness is of the upper motor neuron type
More than 30% of MS patients have moderate to severe spasticity, especially in the legs

Sensory symptoms

Sensory symptoms are varied and include both paresthesias (e.g., tingling, prickling sensations, formications, “pins and needles,” or painful burning) and hypesthesia (e.g., reduced sensation, numbness, or a “dead” feeling). Unpleasant sensations (e.g., feelings that body parts are swollen, wet, raw, or tightly wrapped) are also common
Sensory impairment of the trunk and legs below a horizontal line on the torso (a sensory level) indicates that the spinal cord is the origin of the sensory disturbance
Pain is a common symptom of MS, experienced by >50% of patients. Pain can occur anywhere on the body and can change locations over time


Visual symptoms
System Optic neuritis (ON) presents as diminished visual acuity, dimness, or decreased color perception
Visual symptoms are generally monocular but may be bilateral. Periorbital pain (aggravated by eye movement) often precedes or accompanies the visual loss
Pallor of the optic disc (optic atrophy) commonly follows ON
Diplopia may result from internuclear ophthalmoplegia (INO) or from palsy of the sixth cranial nerve (rarely the third or fourth).


MS

Ataxia usually manifests as cerebellar tremors

Ataxia may also involve the head and trunk or the voice, producing a characteristic cerebellar dysarthria (scanning speech).
Bladder dysfunction is present in >90% of MS patients, and in a third of patients, dysfunction results in weekly or more frequent episodes of incontinence
Cognitive dysfunction can include memory loss, impaired attention, difficulties in executive functioning, memory, problem solving, slowed information processing, and problems shifting between cognitive tasks
Depression , experienced by approximately half of patients
Fatigue is experienced by 90% of patients; this symptom is the most common reason for work-related disability in MS.

Diagnosis

There is no definitive diagnostic test for MS. Diagnostic criteria for clinically definite MS require documentation of two or more episodes of symptoms and two or more signs that reflect pathology in anatomically noncontiguous white matter tracts of the CNS
Symptoms must last for >24 h and occur as distinct episodes that are separated by a month or more


DIAGNOSTIC TESTS
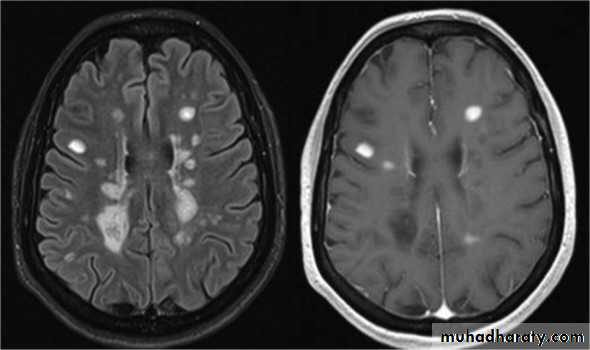
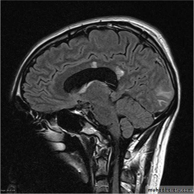
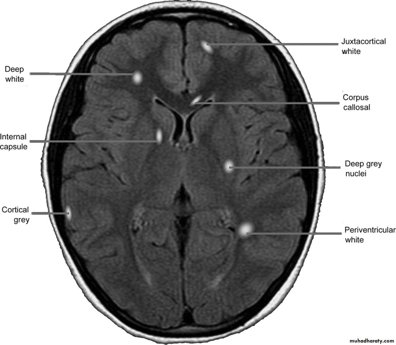
MRI :characteristic abnormalities are found in >95% of patients, although more than 90% of the lesions visualized by MRI are asymptomatic
Lesions are frequently oriented perpendicular to the ventricular surface,(Dawson’s fingers)
Lesions larger than 6 mm located in the corpus callosum, periventricular white matter, brainstem, cerebellum, or spinal cord are particularly helpful diagnostically
Evoked potentials: potentials EP testing assesses function in afferent (visual, auditory, and somatosensory) or efferent (motor) CNS pathways
Abnormalities on one or more EP modalities occur in 80–90% of MS patients
Cerebrospinal fluid:CSF abnormalities found in MS include a mononuclear cell pleocytosis and an increased level of Igg index and oligoclonal band


MS




MS




MS





MS




MS

DISORDERS THAT CAN MIMIC MS

Acute disseminated encephalomyelitis (ADEM)
Neuromyelitis optica
Antiphospholipid antibody syndrome
Behçet’s disease
Neoplasms (e.g., lymphoma, glioma, meningioma)
Sarcoidosis
Stroke and ischemic cerebrovascular disease

Treatment of Multiple Sclerosis

Therapy for MS can be divided into several categories:
(1) treatment of acute attacks
, (2) treatment with disease-modifying agents that reduce the biological activity of MS,
and (3) symptomatic therapy
Glucocorticoids are used to manage either first attacks or acute exacerbations.
They provide short-term clinical benefit by reducing the severity and shortening the duration of attacks
Glucocorticoid treatment is usually administered as intravenous methylprednisolone, 500–1000 mg/d for 3–5 days
Prophylaxis to prevent the occurrence of steroid-induced osteoporosis should be considered in patients requiring multiple courses of corticosteroids.
Spasticity:Physiotherapy, Baclofen (usually oral), Dantrolene,Local (IM) injection of botulinum toxin
Ataxia : Clonazepam
Dysaesthesia : Carbamazepine , Gabapentin, Phenytoin , Amitriptyline
Fatigue: Amantadine , Modafinil ,Amitriptyline


DISEASE-MODIFYING THERAPIES FOR RELAPSING FORMS OF MS (RRMS, SPMS WITH EXACERBATIONS)
Seven such agents are approved by the U.S. Food and Drug Administration (FDA): (1) IFN- β-1a (Avonex), (2) IFN- β-1a (Rebif), (3) IFN- β-1b (Betaseron), (4) glatiramer acetate (Copaxone), (5) natalizumab (Tysabri), (6) fingolimod (Gilenya), and (7) mitoxantrone (Novantrone)

CLINICAL VARIANTS OF MS

Neuromyelitis optica (NMO), or Devic’s syndrome, is an aggressive inflammatory disorder consisting most typically of attacks of acute ON and myelitis
Attacks of ON can be bilateral (rare in MS) or unilateral
myelitis can be severe and transverse (rare in MS) and is typically longitudinally extensive, involving three or more contiguous vertebral segments
The brain MRI was classically thought to be normal at the onset of NMO
Up to 40% of patients have a systemic autoimmune disorder, often systemic lupus erythematosus, Sjögren’s syndrome, myasthenia gravis, Hashimoto’s thyroiditis
highly specific autoantibody directed against the water channel protein aquaporin-4 is present in the sera of 60–70% of patients who have a clinical diagnosis of NMO
Treatment with immunosuppressive agents, such as steroids, azathioprine or cyclophosphamide, and/or plasmapheresis seems to be more effective than in MS.


MS

Case

A 42-year-old woman developed progressive bilateral lower extremity numbness and weakness over 5 days, lost the ability to walk, and developed urinary retention. She has also experienced increasingly severe nausea and vomiting over that period. and was found to have an elevated antinuclear antibody during her evaluation for myalgia 3 years ago.
Examination shows severe paraparesis, a T9 sensory level, and painful left lower extremity spasms.
A T2-weighted MRI image of her spinal cord shows a lesion extending from T1 to T5 and affecting the central cord. The lesion shows patchy enhancement with gadolinium.
There is increased T2 signal in the area postrema and around the third ventricle.


Acute disseminated encephalomyelitis
This is an acute monophasic demyelinating condition in which there are areas of perivenous demyelination widely disseminated throughout the brain and spinal cord. The illness may apparently arise spontaneously but often occurs a week or so after a viral infection, especially measles and chickenpox, or following vaccination, suggesting that it is immunologically mediated.
Clinical features:
Headache, vomiting, pyrexia, confusion and meningism may be presenting features, often with focal or multi focal brain and spinal cord signs. Seizures or coma may occur.
A minority of patients who recover have further episodes mainly in children.

Investigations

MRI shows multiple high-signal areas in a pattern similar to that of MS, although often with large confluent areas of abnormality. The CSF may be normal or show an increase in protein and lymphocytes (usually 200 cells/L) . The clinical picture may be very similar to a first relapse of MS.

Management:

The disease may be fatal in the acute stages but is other wise self-limiting. Treatment with high-dose intra venous methylprednisolone, using the same regimen as for a relapse of MS, is recommended.


MS




MS




TRANSVERSE MYELITIS
The term ‘‘transverse myelitis’’ describes acollection of acute and subacute infectious and noninfectious inflammatory spinal cord syndromes
Most patients present with a combination of sensory, motor, and bladder or bowel-related symptoms suggestive of myelopathy
Transverse myelitis is classified clinically based on whether it is complete or incomplete.
A ‘‘complete’’ cord lesion, which manifests as a relatively symmetric moderate or severe loss of motor and sensory modalities caudal to the level of the lesion, suggests (infectious, or idiopathic transverse myelitis or NMO).
In contrast, a ‘‘partial’’ myelitis syndrome (ie, incomplete or patchy involvement of at least one spinal segment with mild to moderate weakness and asymmetric or dissociated sensory symptoms) is more likely to herald MS.
Neuroimaging characteristics are critical for diagnosis. Identification of an intramedullary cord lesion, especially postgadolinium enhancement, is very helpful in a diagnosis of myelitis

Up to half of myelitis events are preceded or accompanied by an identifiable viral illness, a clinical prodrome suggestive of infection.
CSF examination shows cellular pleocytosis, often with poly- morphs at the onset. Oligoclonal bands are usually absent.
Treatment is with high-dose intravenous methyl prednisolone.
The outcome is variable: one-third have static deficit, one-third go on to develop MS and one- third recover with no subsequent relapse

EVALUATION OF ACUTE TRANSVERSE MYELOPATHY

1. MRI of spinal cord with and without contrast (exclude compressive causes).
2. CSF studies: Cell count, protein, glucose, IgG index, oligoclonal bands, VDRL; Gram’s stain, acid-fast bacilli, and India ink stains; PCR for VZV, HSV-2, HSV-1, EBV, CMV, HHV-6, enteroviruses, HIV; antibody for HTLV-I, viral, bacterial, mycobacterial, and fungal cultures.
3. Blood studies for infection: HIV; RPR; IgG and IgM enterovirus antibody; IgM mumps, measles, rubella.
4. Immune-mediated disorders: ESR; ANA; ENA; dsDNA; rheumatoid factor; anti-SSA; anti-SSB, complement levels; antiphospholipid and anticardiolipin antibodies; p-ANCA.
5. Demyelinating disease: Brain MRI scan, evoked potentials, CSF oligoclonal bands, neuromyelitis optica antibody (anti-aquaporin-4 .
6. Vascular causes: CT myelogram; spinal angiogram.



رفعت المحاضرة من قبل: أحمد فارس الليلة
المشاهدات: لقد قام 19 عضواً و 243 زائراً بقراءة هذه المحاضرة








تسجيل دخول

أو
عبر الحساب الاعتيادي
الرجاء كتابة البريد الالكتروني بشكل صحيح
الرجاء كتابة كلمة المرور
لست عضواً في موقع محاضراتي؟
اضغط هنا للتسجيل