examination sheets
Dr. Ziad TariqSteps of chest tube insertion
• Review indications and contraindications• Explain and obtain consent
• Check side
• Exposure
• Position
• Mark site
• Sterilization, scrubbing and drapping
• Local anesthesia
• Incision
• Dissection• Chest tube insertion
• Connecting to underwaterseal
• Assess function
• Fix in position
• Sterilize and dress
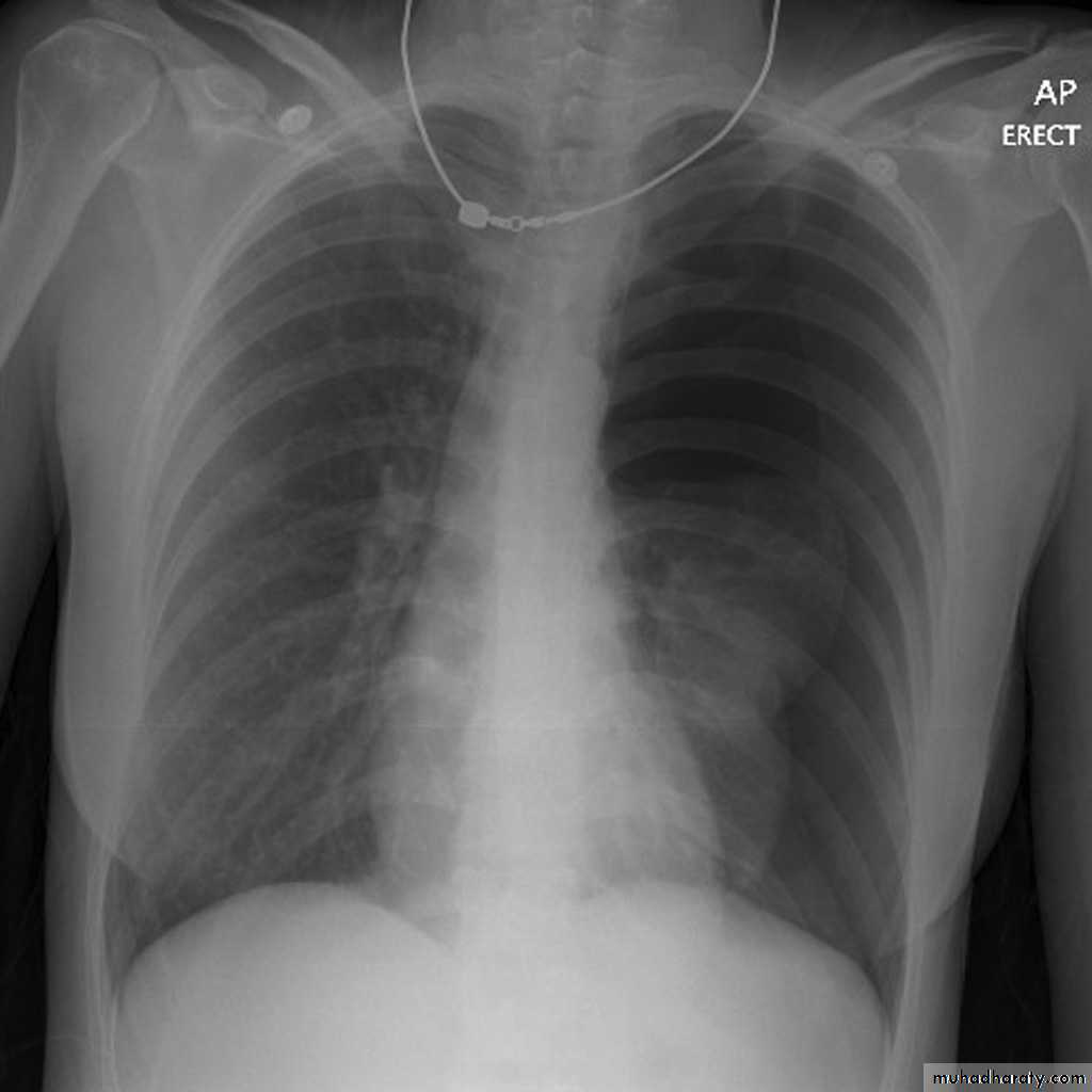
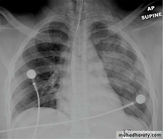
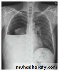
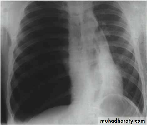
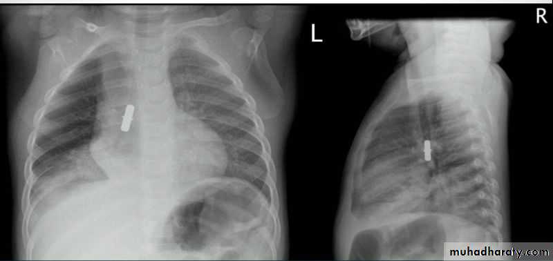
• Check up chest x-ray
Indications
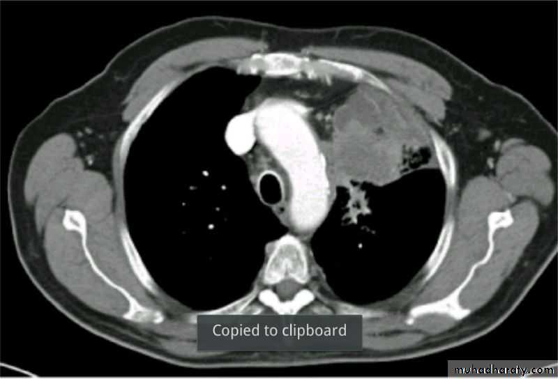
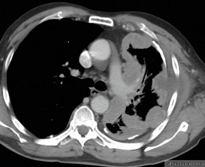
Pneumothorax
Hemothorax
Hemopneumothorax
Chylothorax
Empyema
Recurrent or malignant Pleural effusion
Post thoracotomy
Contraindications
CoagulopathyPulmonary bullae
Pulmonary, pleural, or thoracic adhesions
Loculated pleural effusion or empyema
Skin infection over the chest tube insertion site
Complications of chest tube
• Pain• Infection
• Bleeding
• Pneumothorax
• Surgical emphysema
• Malposition
• Trauma
• Lung collapse after removal
• Slipped tube
• obstruction
Your text here
• Your Text Here• Your Text Here
• Your Text Here
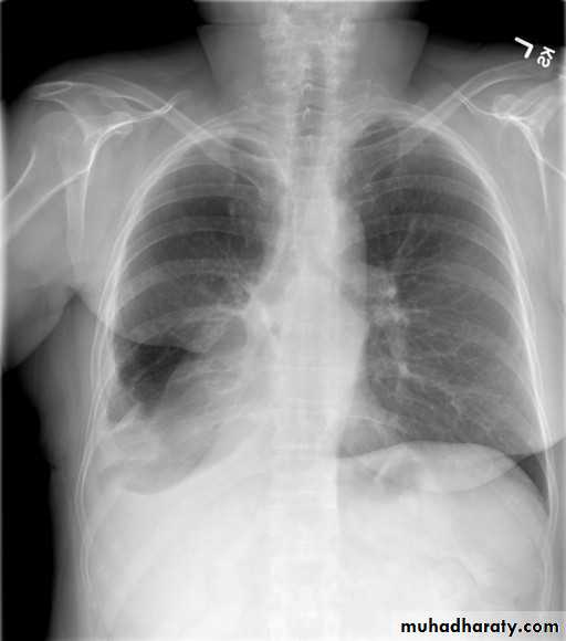
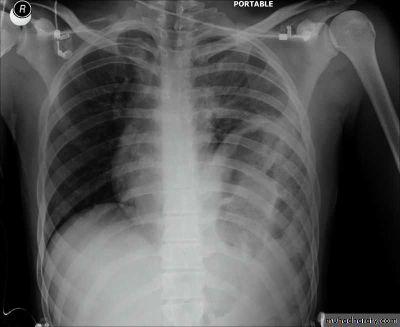
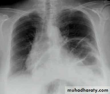
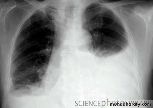
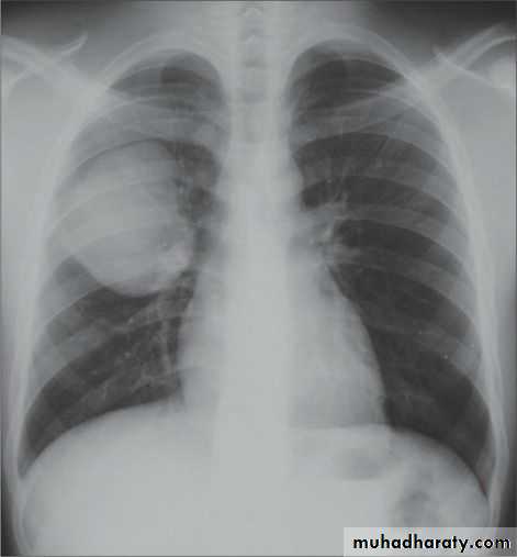
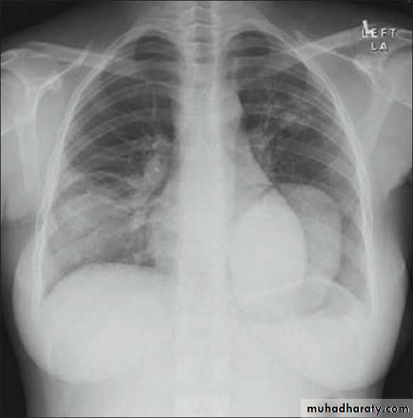
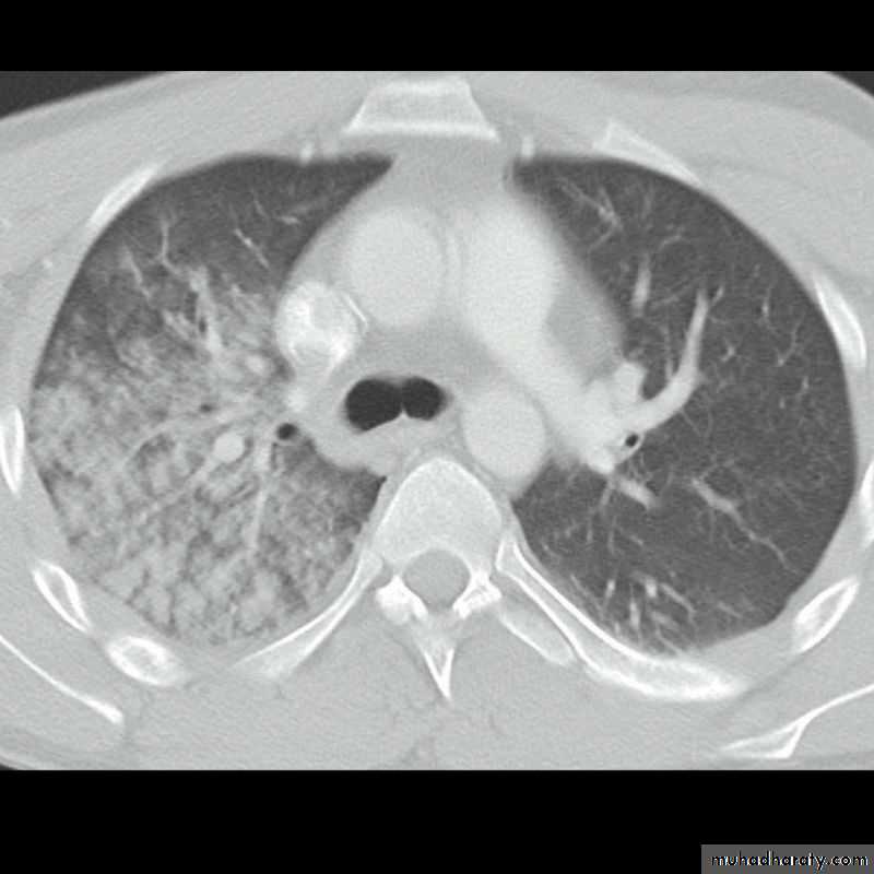
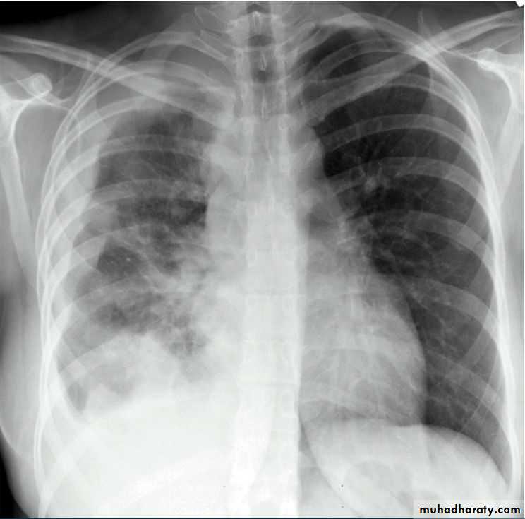
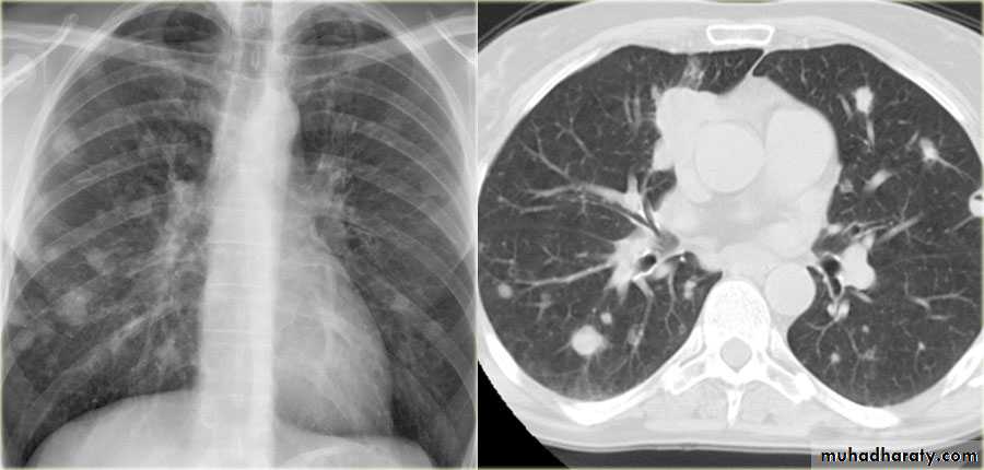
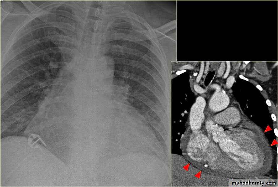
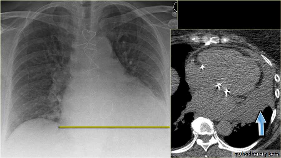
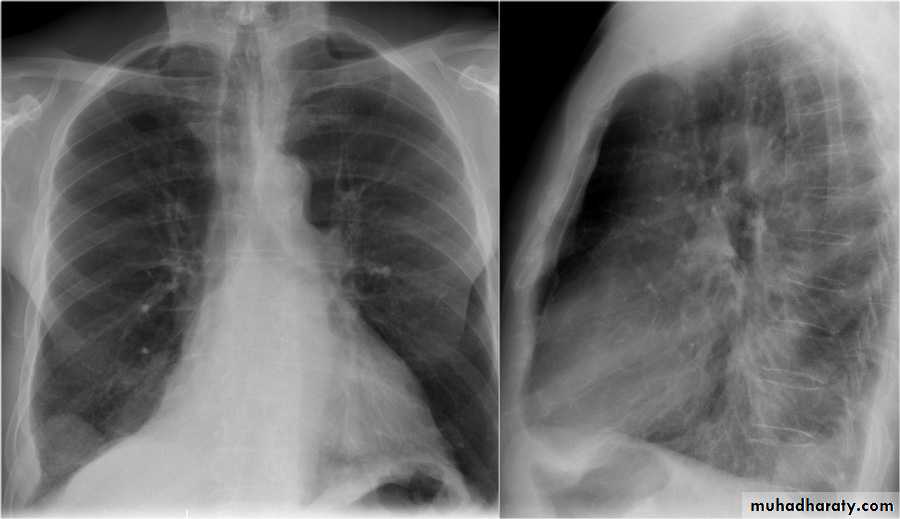
Patient with fever, rigor and dyspnea
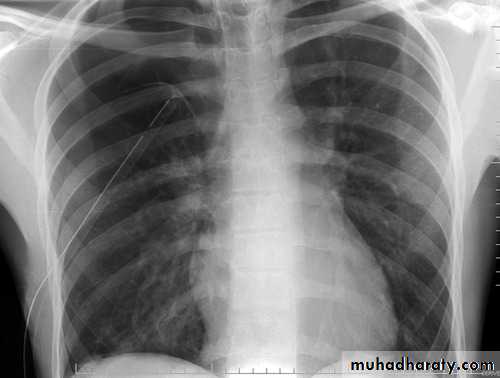
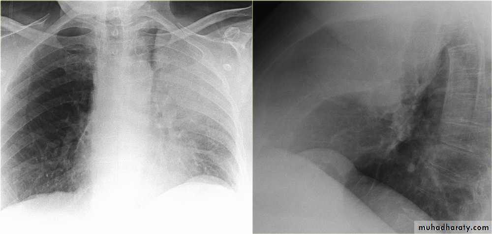
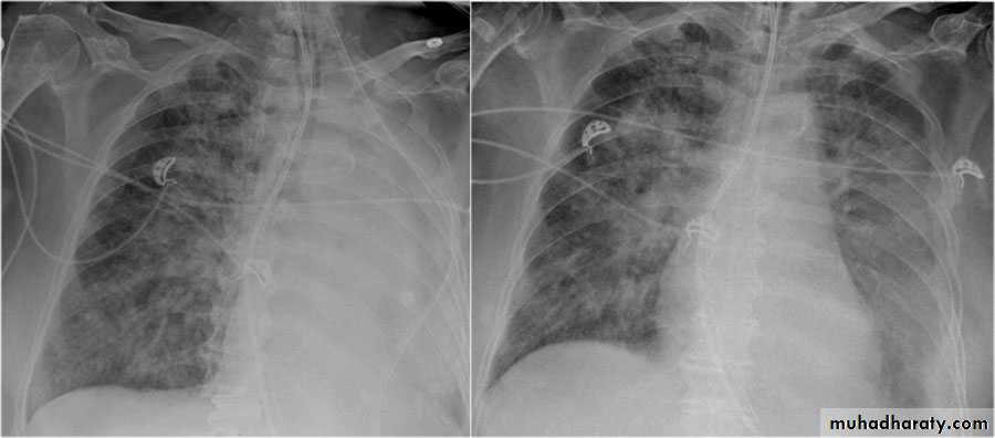
Severe dyspnea with shock
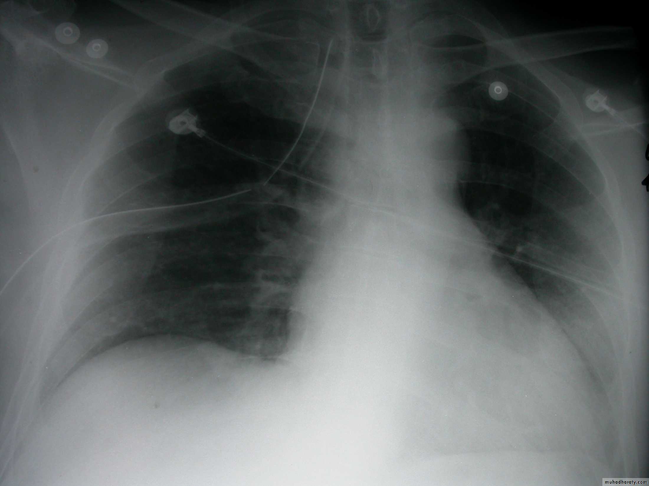
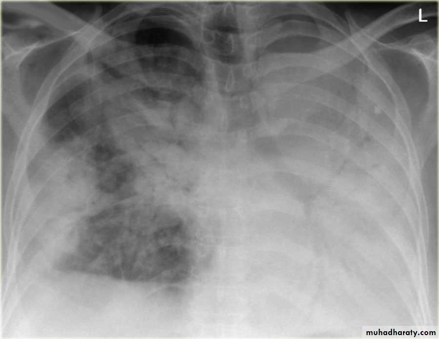
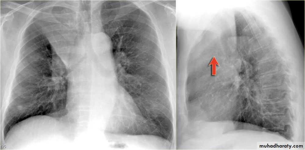
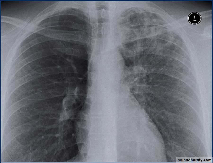
Fall from the 2nd floor
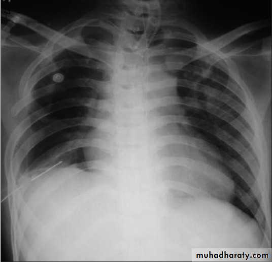
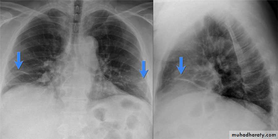
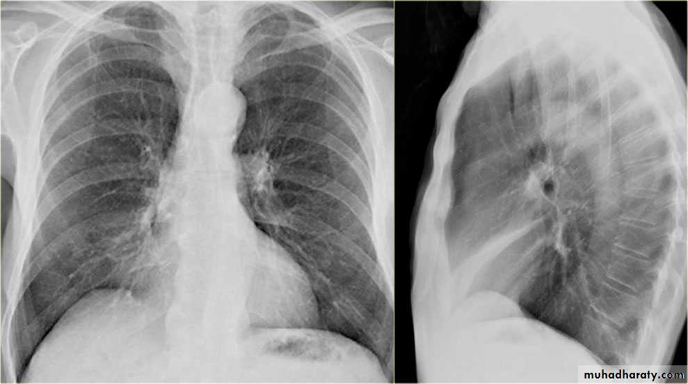
History: dyspnea, weight loss, dehydration with poor immunity
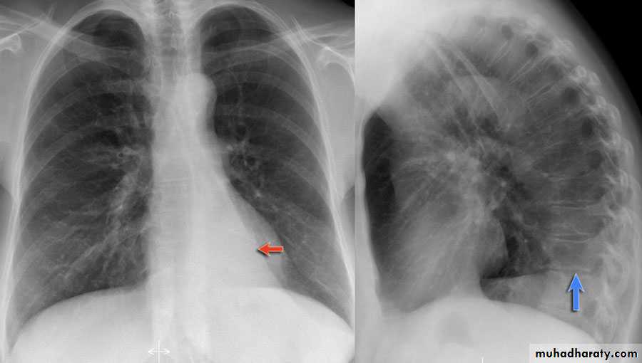
History; too shy to take of his shirt in the pool!
What is the difference?
Differential diagnosis?
• Your Text Here
• Your Text Here
• Your Text Here• Your Text Here
Your text here
Your text here
Your text here
Your text here
• Your Text Here
Your text here
Your text hereYour text here
Your text hereYour text here
Your text hereYour text here















































































