Your text here
• Your Text Here• Your Text Here
• Your Text Here
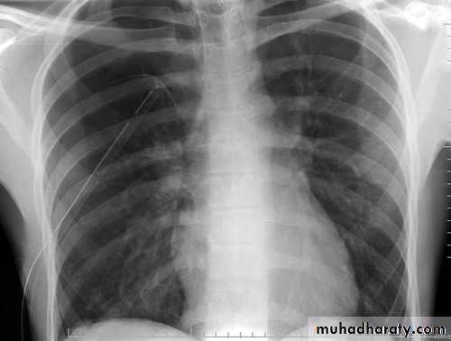
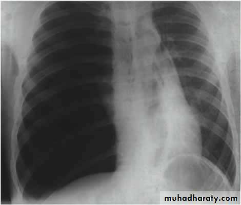
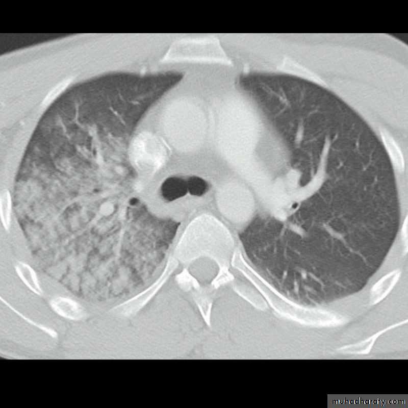
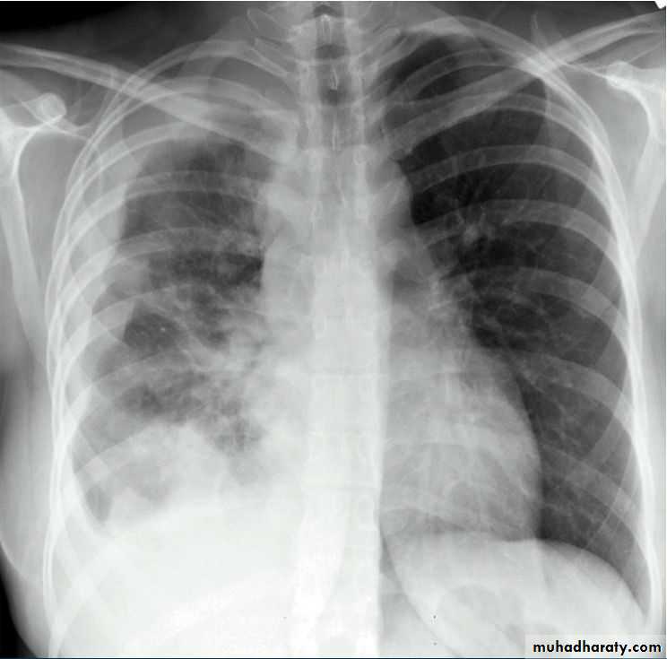
Patient with fever, rigor and dyspnea
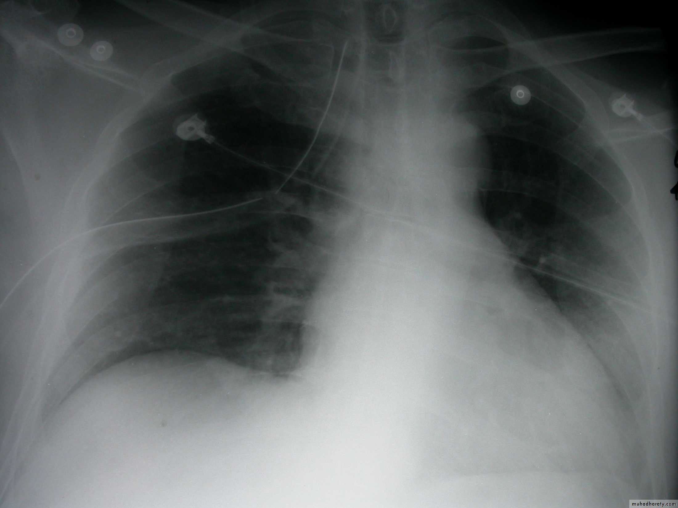
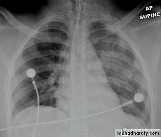
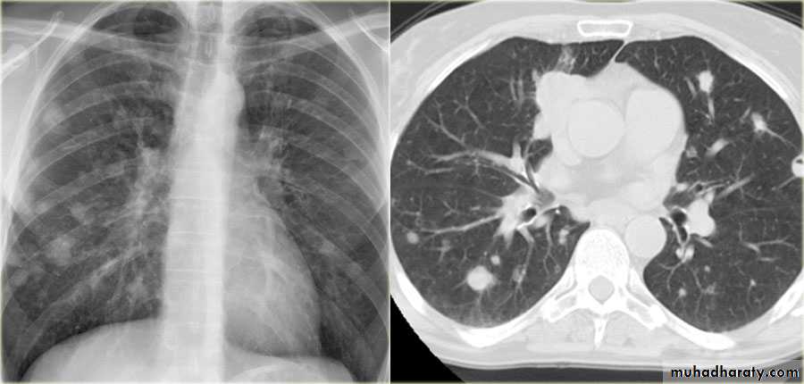
Severe dyspnea with shock
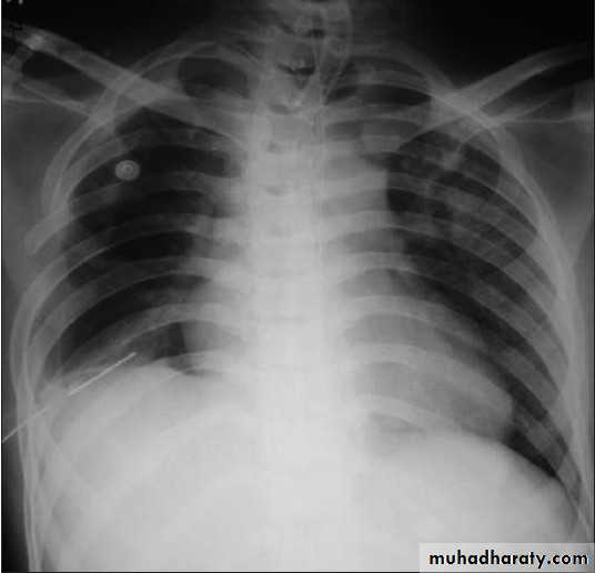
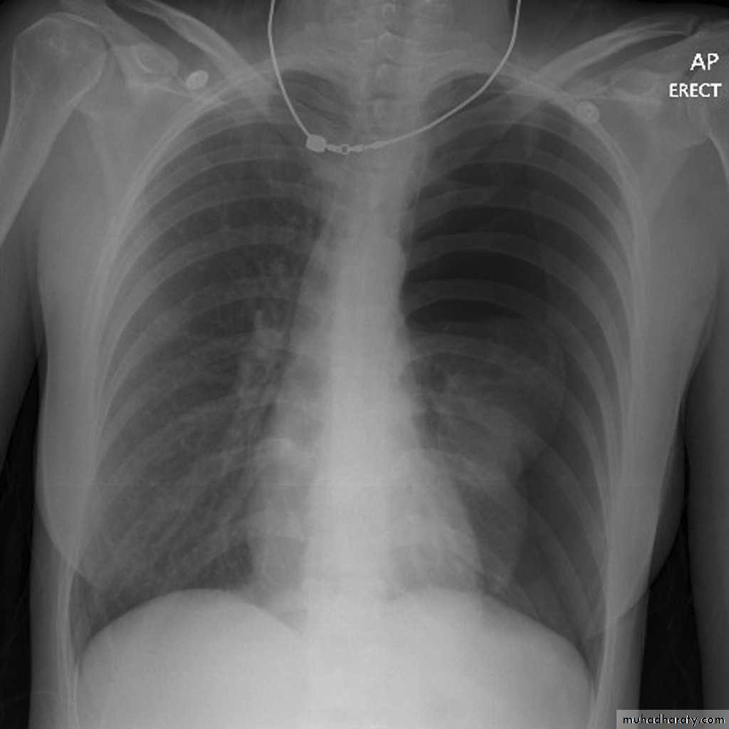
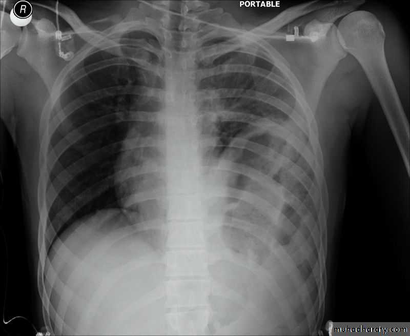
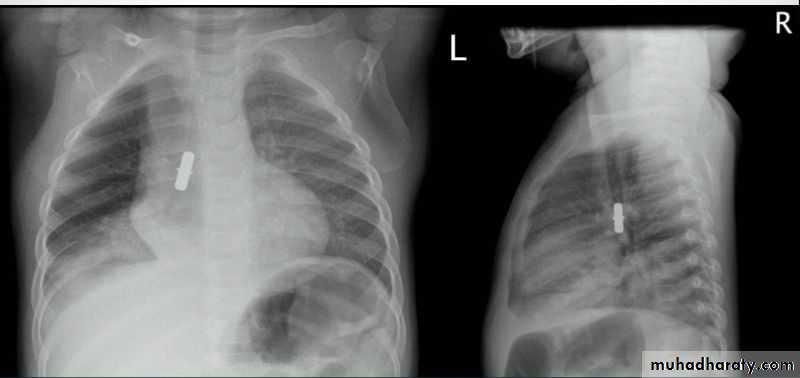
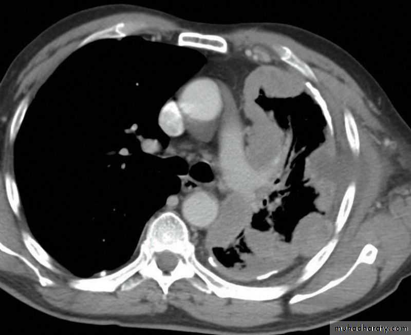
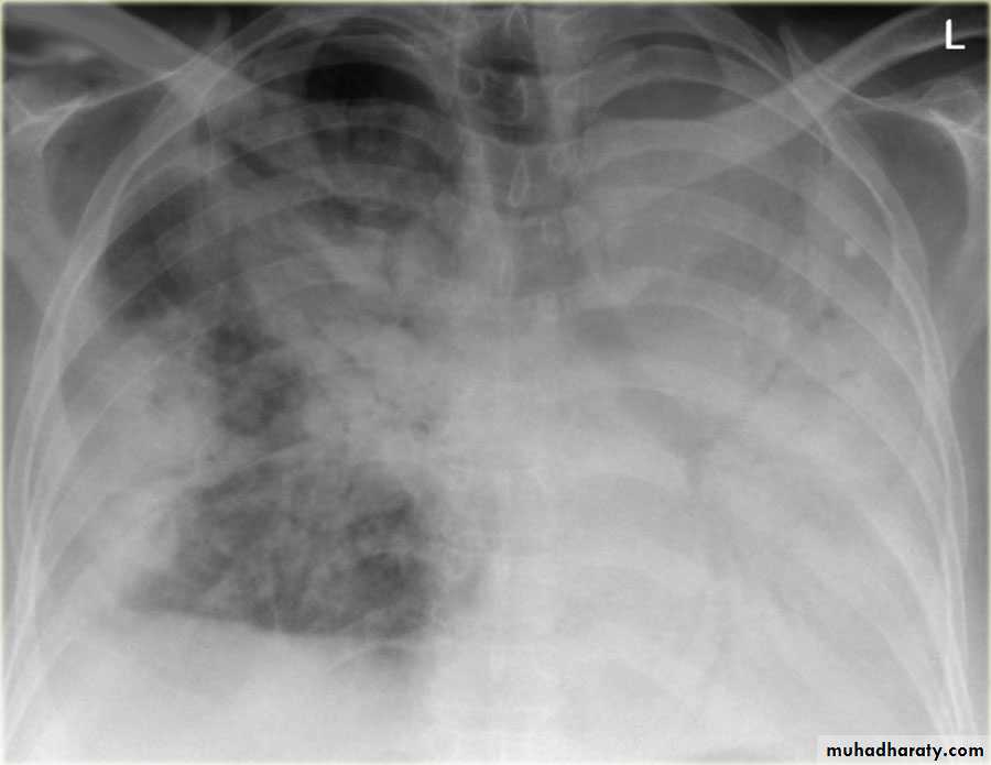
Fall from the 2nd floor
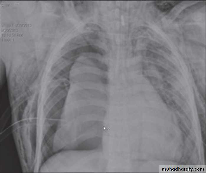
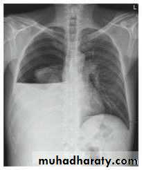
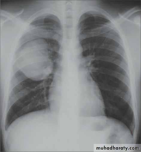
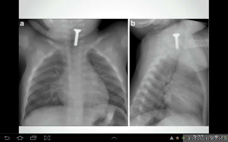
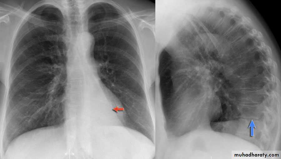
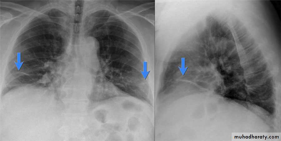
History; too shy to take of his shirt in the pool!
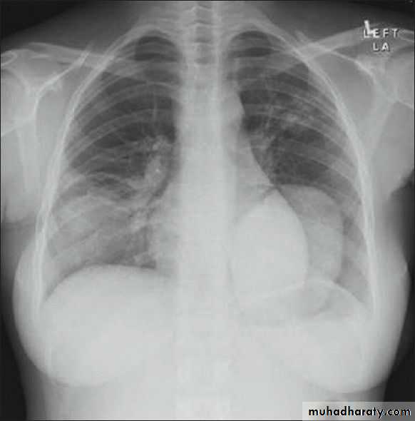
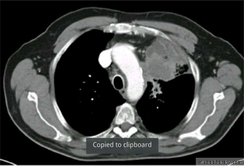
What is the difference?
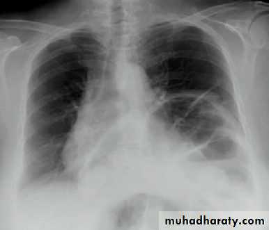
Differential diagnosis?
• Your Text Here
• Your Text Here
• Your Text Here• Your Text Here
Your text here
Your text here
Your text here
Your text here
• Your Text Here
Your text hereYour text here
Your text hereYour text here
Your text here











































































































