GASTROINTESTINAL TRACT
Dr.Hameed N.Mousa,FICMS PathDepartment of Pathology
Esophagus
Lesions of the esophagus run from bland esophagitis to highly lethal cancers, yet they evoke a similar and remarkably limited range of symptoms. All produce dysphagia, Heartburn (retrosternal burning pain). Hematemesis (vomiting of blood) and melena (blood in the stools) are evidence of severe inflammation, ulceration, or laceration of the esophageal mucosa. Massive hematemesis may reflect life- threatening rupture of esophageal varices.CONGENITAL ANATOMIC DISORDERS
Present at birth with vomiting, aspiration (pneumonia, asphyxia), gastric distentionAgenesis: absence of esophagus. Very rare
Atresia: failure of development of a segment of esophagus, which is replaced by a thin non-canalized cord (absence of lumen) with formation of upper & lower pouches; associated with tracheo-esophageal fistula
Stenosis: developmental defect resulting in partial obstruction or narrowing of the esophageal lumen
Rx: Urgent medical & surgical intervention
ANATOMIC AND MOTOR DISORDERS
Hiatal hernia In hiatal hernia, separation of the diaphragmatic crura and widening of the space between the muscular crura and the esophageal wall permits a dilated segment of the stomach to protrude above the diaphragm. Two anatomic patterns are recognized :
1- the axial, or sliding, hernia 2- and the nonaxial, or paraesophageal, hernia.
The sliding hernia constitutes 95% of cases; protrusion of the stomach above the diaphragm creates a bell-shaped dilation, bounded below by the diaphragmatic narrowing
In paraesophageal hernias, a separate portion of the stomach, usually along the greater curvature, enters the thorax through the widened foramen.
The cause of this deranged anatomy is obscure. On the basis of radiographic studies, hiatal hernias are reported in 1% to 20% of adult subjects, increasing in incidence with age.
Clinical Presentation
Adult with progressive dysphagia to solids and eventually to all foods; heartburn or regurgitation of gastric juices into the mouth. These symptoms result from incompetence of the lower esophageal sphincter than from the hiatal hernia per seAchalasia
The term achalasia means “failure to relax” and in the present context denotes incomplete relaxation of the lower esophageal sphincter in response to swallowing. This produces functional obstruction of the esophagus, with consequent dilation of the more proximal esophagus. Manometric studies show three major abnormalities in achalasia:(1) aperistalsis,
(2) partial or incomplete relaxation of the lower esophageal sphincter with swallowing, and
(3) increased resting tone of the lower esophageal sphincter.
It is now generally accepted that in primary achalasia there is loss of intrinsic inhibitory innervation of the lower esophageal sphincter and smooth muscle segment of the esophageal body.
Etiology
Secondary achalasia may arise from pathologic processes that impair esophageal function. The classic example is Chagas disease, caused by Trypanosoma cruzi, which causes destruction of the myenteric plexus of the esophagus, duodenum, colon, and ureter.
primary disorder of uncertain etiology. Autoimmunity and previous viral infection have been hypothesized but remain unproven
Morphology:
-In primary achalasia there is progressive dilation of esophagus above the level of the lower esophageal sphincter.-The wall of the esophagus may be of normal thickness, thicker than normal because of hypertrophy of the muscularis, or markedly thinned by dilation.
-The myenteric ganglia are usually absent from the body of the esophagus -Inflammation in the location of the esophageal myenteric plexus is pathognomonic of the disease.
C/P :progressive dysphagia and inability to completely convey food to the stomach. Nocturnal regurgitation and aspiration of undigested food may occur. It usually becomes manifest in young adulthood, but it may appear in infancy or childhood.
Complication:is the hazard of developing esophageal squamous cell carcinoma, reported to occur in about 5% of patients and typically at an earlier age than in those without achalasia.
Lacerations (Mallory-Weiss Syndrome)
Definition:Longitudinal tears in the esophagus at the esophagogastric junction are termed Mallory-Weiss tears.Etiology:They are encountered in chronic alcoholics after a bout of severe retching or vomiting, but they may also occur during acute illnesses with severe vomiting.
pathogenesis :may be due to inadequate relaxation of the musculature of the lower esophageal sphincter during vomiting, with stretching and tearing of the esophagogastric junction at the moment of propulsive expulsion of gastric contents.
Morphology:Tears may involve only the mucosa or may penetrate the wall. Infection of the defect may lead to an inflammatory ulcer or to mediastinitis. Most often bleeding is not profuse and ceases without surgical intervention, but life-threatening hematemesis may occur. Even with severe blood loss, supportive therapy with vasoconstrictive medications, transfusions, and sometimes balloon tamponade, is usually all that is required. Healing is usually prompt, with minimal to no residua
Varices
One of the few potential sites for communication between the intra-abdominal splanchnic circulation and the systemic venous circulation is through the esophagus. When portal Venous blood flow into the liver is impeded by cirrhosis or other causes the resultant portal hypertension induces the formation of collateral bypass channels wherever the portal and systemic systems communicate. The increased pressure in the esophageal plexus produces dilated tortuous vessels called varices. They are most often associated with alcoholic cirrhosis.
MORPHOLOGY Varices appear primarily as tortuous dilated veins lying primarily within the submucosa of the distal esophagus and proximal stomach.
-Varices produce no symptoms until they rupture.
Complications: Rupture of varices.The factors leading to initial rupture of a varix are unclear: silent erosion of overlying thinned mucosa, increased tension in progressively dilated veins, and vomiting with increased intra-abdominal pressure are likely to be involved.
Esophagitis
CHEMICAL AND INFECTIOUS ESOPHAGITISThe stratified squamous mucosa of the esophagus may be damaged by a variety of irritants including alcohol, corrosive acids or alkalis, excessively hot fluids, and heavy smoking. The esophageal mucosa may also be injured when medicinal pills lodge and dissolve in the esophagus rather than passing into the stomach intact, a condition termed pill-induced esophagitis.
C/P:Esophagitis due to chemical injury generally only dysphagia (pain with swallowing). Hemorrhage, stricture, or perforation may occur in severe cases.
Infectious esophagitis may occur in otherwise healthy individuals but are most frequent in those who are debilitated or immunosuppressed as a result of disease or therapy.
REFLUX ESOPHAGITIS
GE reflux disease affects about 0.5% is of the US adult population. Dominant symptom recurrent heartburn.Etiology:
• Decrease efficacy of esophageal antireflux mechanisms.
• Inadequate or slowed esophageal clearance of refluxed material.
• Sliding hiatal hernia. Fat, chocolate, alcohol, smoking
• Increased gastric volume.
• Impaired reparative capacity of the esophagus mucosa by prolonged exposure to gastric juices. MORPHOLOGY
The anatomic Changes depend on the causative agent and on the duration and severity of the exposure. Mild esophagitis may appear macroscopically as simple hyperemia, with virtually no histologic abnormality. In Contrast the mucosa in severe esophagitis exhibits confluent epithelial erosions or total ulceration into the submucosa
The histologic feature
are characteristic of uncomplicated reflux esophagitis is• eosinophils, with or without neutrophils, in the epithelial layer;
• (2) basal zone hyperplasia; and
• (3) elongation of lamina propria papillae
COMPLICATIONS
• BLEEDING
• STRICTURE
• BARRETT ESOPHAGUS
• PREDISPOSITION TO MALIGNANCY
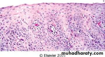
BARRETT ESOPHAGUS
Barrett esophagus is a complication of long-standing gastroesophageal reflux, occurring in up to 10% of patients with persistent symptomatic reflux disease, as well as in some patients with asymptomatic reflux.Barrret esophagus is defined as the replacement of the normal distal stratified squamous mucosa by metaplastic columnar epithelium containing goblet cells. Prolonged and recurrent gastroesophageal reflux is thought to produce inflammation and eventually ulceration of the squamous epithelial lining. Healing occurs by in growth of stem cells and re-epithelialization. In the microenvironment of an abnormally low pH in the distal esophagus caused by acid reflux, the cells differentiate into columnar epithehum. Metaplastic columnar epithelium is thought to be more resistant to injury from refluxing gastric contents.
Barrett esophagus affects males more often than females (ratio of 4:1) and is much more common in whites than in other races. Genetic factors are suggested by clustering in families. Ulcer and stricture may develop as a complication of Barrett esophagus. However, the chief clinical significance of Barrett esophagus relates to the development of adenocarcinoma. Patients with Barrett esophagus have a 30- to 40-fold greater risk of developing esophageal adenocarcinoma compared with normal populations
MORPHOLOGY
Barrett esophagus is apparent as a salmon-pink, velvety mucosa between the smooth, pale pink esophageal squamous mucosa and the more light brown gastric mucosa.
Microscopically, the esophageal squamous epithelium is replaced by metaplastic columnar epithelium.
CLINICAL FEATURES OFBARRETT’S ESOPHAGUS
Clinical symptoms:Dysphagia, retrosternal pain, hemetemesis, melena
Secondary complications:
Barrett’s ulcersStrictures
Dysplasia
Adenocarcinoma: 8-10% of patients develop Ca (patients with Barrett’s esophagus have 30-40 fold higher risk than general population)









