Histology Lab.5 pptx - عملي
دخول
الرئيسية
المحاضرات
البحث
اختبرني
مكتبة علوم
تطبيقات
المترجم الطبي
الأحياء
Histology Lab.5
رقم المحاضرة:
1
بتاريخ
2017-04-29
الأحياء
-
عملي
جامعة الموصل
>
كلية طب الموصل
>
المرحلة الاولى
مواضيع المحاضرة:
blood
قراءة
عرض
Laboratory practical muscle tissue slides
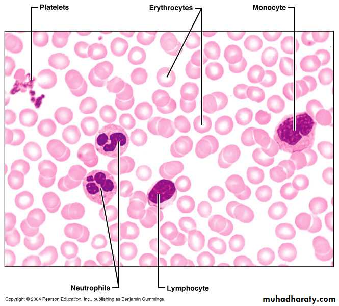
Blood smear
• Blood smear
Megakaryocyte
رفعت المحاضرة من قبل:
Mustafa ALkheroo
المشاهدات: لقد قام 9 أعضاء و 431 زائراً بقراءة هذه المحاضرة
تسجيل دخول
أو
عبر الحساب الاعتيادي
الرجاء كتابة البريد الالكتروني بشكل صحيح
البريد الالكتروني
الرجاء كتابة كلمة المرور
كلمة المرور
دخول
لست عضواً في موقع محاضراتي؟
اضغط هنا للتسجيل