Lec.No.9
Muscle tissueBy
Abeer hazim
Muscle cells are structurally and functionally specialized for contraction. which contain
two types of special protein filamentscalled myofilaments; thin filaments containing actin and thick filaments containing myosin.
Muscle tissues are groups of muscle cells
organized by connective tissue.
It permits:
- movement of the body. - maintains posture
- producing body heat and circulates blood throughout the body
The cell membrane or plasmalemma is sarcolemma.
The cytoplasm of muscle cells is called sarcoplasm.The smooth ER is called sarcoplasmic reticulum.
Three types of muscle tissue can be distinguished
on the basis of morphologic and functional characteristics.
1- Skeletal muscles: is found mainly in association with bones.
2- Cardiac muscles: is found exclusively in the walls of the heart.
3- Smooth muscle: is found mainly in the walls of hollow organs (e.g. intestines and blood vessels).
Skeletal muscle
- They are striated and voluntary muscles. They are attachedto the skeleton, so, their contraction moves the skeleton.
- Skeletal muscle is composed of muscle fibers which are bundles of very long,
cylindrical multinucleated
cells that show cross
striations.
- The long oval nuclei are usually found at the periphery of the cell under the cell membrane.
This characteristic nuclear location is helpful in distinguishing skeletal muscle from cardiac and smooth muscle,
both of which
have centrally
located nuclei.
Organization of The connective tissue
The muscle fibers that make up the various types of muscle are arranged in regular bundles surrounded by C.T. arranged around and in between muscles fibers and bundles.
C.T. carries blood vessels, lymphatics, and nerve fiber to muscle.
The connective tissues are arranged as:-
1- Epimysium: the external sheath of dense C.T. surrounding the entire muscle.2- Perimysium: It is thin septa of C.T. extend inward, surrounding the bundles of fibers muscle or fascicles within the muscle.
3- Endomysium: each muscle fiber is itself surrounded by more delicate C.T.
• Skeletal muscle fibers
• - The muscle fiber is long and cylindrical in shape. The nuclei are multiple, long and peripheral. The cytoplasm (sarcoplasm) show alternative dark and light striations.• - The dark band is called anisotropic or A- band.
• - The light band is called isotropic or I - band.
•
• - In the middle of the dark A band there is a pale region called H-zone.
• - Bisecting the H zone is the M line, a region where lateral connections are made between adjacent thick filaments.• - In the middle of the light band there is a dark line called Z- line.
• -The distance between two successive Z lines is called Sarcomere which is the functional unit for muscle contraction.
Myofibrils
- The cytoplasm or sarcoplasm is full of parallel myofibrils, which are formed of two types of fine myofilaments:* Thick myosin filaments in the A-bands the central portion of sarcomere.
* Thin actin filaments in the both I & A bands.
- The arrangements of actin and myosin filaments give the myofibrils their striation.
- Changes in the amount of overlap between Thick and Thin filaments allows for contraction and relaxation of muscle fibers.
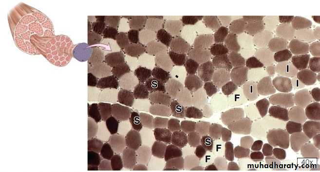
Types of skeletal muscle fibers
There are three types of skeletal muscle fibers differin myoglobin content, number of mitochondria, and speed of contraction.
1- Red muscle fibers:
- Contain many mitochondria and abundant myoglobin ( a protein with iron groups that bind O2 and produce a dark red color ).
- Red fibers are slow and continuous contraction over prolonged periods, as required for example in the postural muscles of the back.
2- Intermediate fibers:
- Contain many mitochondria and much myoglobin, and have considerable glycogen.- They are intermediate between the other fiber types both in color and in energy metabolism.
- They are adapted for rapid contractions and short bursts of activity, such as those required for athletics.
3- white fibers
- Contain fewer mitochondria and less myoglobin, but abundant glycogen, making them very pale in color.
- They are adapted for rapid contractions but cannot sustain contraction for long periods such as the muscles that move the eyes and digits.
Sarcoplasmic Reticulum & Transverse Tubule ( T Tubule )
Sarcoplasmic reticulum is Smoth endoplasmic reticulum ( SER ) specialized to sequester calcium ions.The sarcoplasmic reticulum specifically regulates calcium flow, which is necessary for rapid contraction which depends on the availability of Ca2+ ions and relaxation which is related to an absence of Ca2+.
It consists of an anastomosing complex of membrane-limited tubules and cisternae that ensheathe each myofibril.
Skeletal muscle fibers have asystem of Transverse (T) tubules, these fingerlike invagination of the sarcolemma penetrates the
muscle fiber and comes to lie close to the surface
of the myofibrils
near the A-I band
Boundaries of each
sarcomere.
On each side of the T tubule, lies an expansion of the sarcoplasmic reticulum termed a terminal cisterna,
A complex of 2 terminal cisternae and an intervening T tubule constitutes a Triad, triads are important in initiating muscle contraction.
Contraction is the result of an increase in the amount of overlap between the filaments caused by the sliding of thin and thick filaments past one another, this means that during contraction, neither the thick nor thin filaments changes their length.
Contraction is induced by an action potential produced at a synapse, the neuromuscular junction, between the muscle
fiber and
a terminus of
a motor axon.
Cardiac Muscle
- Cardiac muscle is striated involuntary muscle, forms the majority of heart tissue.- The sarcoplasm contains single, oval, prominent and central nucleus.
- The muscle fibers are branched but shorter than skeletal muscle fibers. Joined together by intercalated discs.
- Intercalated disks they appear as dark transverse lines between the muscle fibers and represent specialized junctional complexes. Intercalated disks prevent detachment of the cardiac muscle fibers from one another during contraction and provide electrotonic coupling between adjacent cardiac muscle fibers and pass the stimulus for contraction from cell to cell.
- The sarcoplasm near the nuclei contains many mitochondria, glycogen granules and some lipofuscin pigment.
- The structure and function of the contractile
proteins in cardiac cells are essentially the same
as in skeletal muscle.
- Sarcoplasmic reticnlum and T tubule system are irregularly arranged in cardiac muscle fibers
Smooth Muscle
- Smooth muscle is an involuntary, controlled directly by the autonomic nervous system, It is smooth because there is no striation- Smooth muscle fibers are elongated, spindle shaped cells,
and nonstriated cells with a single central nucleus, the narrow part of one cell lies adjacent to the broad parts of neighboring cells.
- Concentrated near the nucleus are mitochondria, polyribosomes, cisternae of rough ER, and the Golgi apparatus.
-Different internal organization of actin and myosin filament. The myosin filaments of smooth muscle are less stable and less regular than those in striated muscle cells and thin filaments attached to dense bodies, which are transmit contractions from cell to cell.
- A poorly organized sarcoplasmic reticulum is present in smooth muscle cells, but T tubules are not present.
- Smooth muscle is found within the walls of
blood vessels. It is also found in lymphaticvessels, bladder, uterus, male and female reproductive tracts, gastrointestinal tract,
respiratory tract and iris of the eye.












