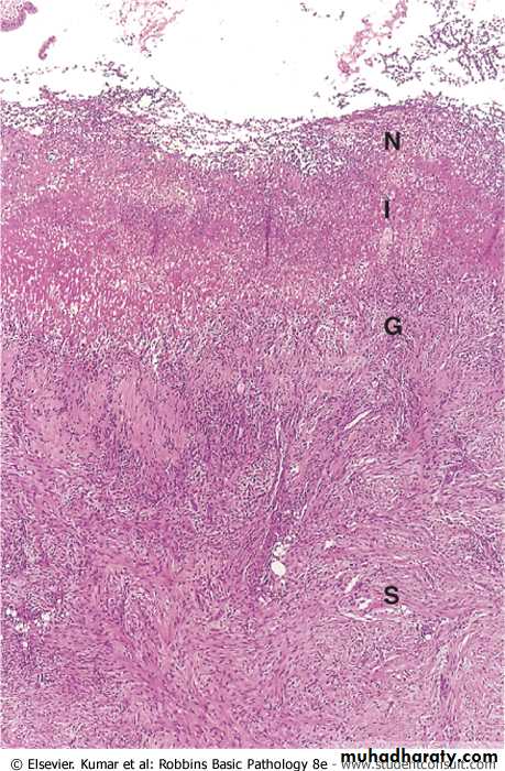
The histologic appearance varies with the activity, chronicity, and degree of healing. In a chronic, open ulcer, four zones can be distinguished :
(1) the base and margins have a thin layer of necrotic fibrinoid debris underlain by
(2) a zone of active nonspecific inflammatory infiltration with neutrophils predominating, underlain by
(3) granulation tissue, deep to which is
(4) fibrous, collagenous scar that fans out widely from the margins of the ulcer.
Vessels trapped within the scarred area are characteristically thickened and occasionally thrombosed, but in some instances they are widely patent. With healing, the crater fills with granulation tissue, followed by re-epithelialization from the margins and more or less restoration of the normal architecture (hence the prolonged healing times). Extensive fibrous scarring remains
Peptic Ulcers
Medium-power detail of the base of a nonperforated peptic ulcer, demonstrating the layers of necrosis (N), inflammation (I), granulation tissue (G), and scar (S) moving from the luminal surface at the top to the muscle wall at the bottom.
Gastric tumors
tumors arising from the mucosa predominate over mesenchymal tumors. Mucosal tumors are classified into polyps and carcinoma.Gastric Polyps
The term polyp is applied to any nodule or mass that projects above the level of the surrounding mucosa. Occasionally, a lipoma or leiomyoma arising in the wall of the stomach may protrude from under the mucosa to produce an apparent polypoid lesion.However, the use of the term polyp in the gastrointestinal tract is generally restricted to mass lesions arising in the mucosa. Gastric polyps are uncommon and are found in about 0.4% of adult autopsies, as compared with colonic polyps, which are seen in 25% to 50% of older persons.
In the stomach, these lesions are most frequently
(1) hyperplastic polyps (80% to 85%),
(2) fundic gland polyps (∼10%), and
(3) adenomatous polyps (∼5%).
All three types arise in the setting of chronic gastritis and so are seen in the same patient populations., there is a definite risk of an adenomatous polyp harboring adenocarcinoma, which increases with polyp size. Because the different types of gastric polyps cannot be reliably distinguished by endoscopy, histologic examination is mandatory.
Gastric Carcinoma
Among the malignant tumors that occur in the stomach, carcinoma is the most important and the most common (90% to 95%). Next in order of frequency are lymphomas (4%), carcinoids (3%), and stromal tumors (2%)..Gastric cancers show two morphologic types, called intestinal and diffuse.
The intestinal type is thought to arise from gastric mucous cells that have undergone intestinal metaplasia in the setting of chronic gastritis. This pattern of cancer tends to be better differentiated and is the more common type in high-risk populations.The diffuse variant is thought to arise de novo from native gastric mucous cells, is not associated with chronic gastritis, and tends to be poorly differentiated
. Whereas the intestinal-type carcinoma occurs primarily after age 50 years with a 2 : 1 male predominance,
the diffuse carcinoma occurs at an earlier age with female predominance.
The intestinal and diffuse forms of gastric carcinomas can be considered as distinct entities, although their clinical outcome is similar.
Morphology
The location of gastric carcinomas within the stomach is as follows:pylorus and antrum, 50% to 60%;
cardia, 25%;
and the remainder in the body and fundus.
The lesser curvature is involved in about 40%
and the greater curvature in 12%.
Thus, a favored location is the lesser curvature of the antropyloric region. Though less frequent, an ulcerative lesion on the greater curvature is more likely to be malignant than benign.
Gastric carcinoma is classified on the basis of depth of invasion, macroscopic growth pattern, and histologic subtype.
The morphologic feature having the greatest impact on clinical outcome is the depth of invasion.
Early gastric carcinoma is defined as a lesion confined to the mucosa and submucosa, regardless of the presence or absence of perigastric lymph node metastases. Advanced gastric carcinoma is a neoplasm that has extended below the submucosa into the muscular wall and has perhaps spread more widely.
The four macroscopic growth patterns of gastric carcinoma,(Bormann classification) which may be evident at both the early and advanced stages, are
(1) exophytic, with protrusion of a tumor mass into the lumen;
(2) flat or depressed, in which there is no obvious tumor mass within the mucosa; and
(3) excavated, whereby a shallow or deeply erosive crater is present in the wall of the stomach.
Exophytic tumors may contain portions of an adenoma.
Flat or depressed malignancy presents only as regional effacement of the normal surface mucosal pattern. Excavated cancers may mimic, in size and appearance, chronic peptic ulcers, although more advanced cases show heaped-up margins .Uncommonly, a broad region of the gastric wall, or the entire stomach, is extensively infiltrated by malignancy.
The rigid and thickened stomach is termed a leather bottle stomach, or 4- linitis plastica; metastatic carcinoma from the breast and lung may generate a similar picture
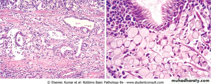
histologic appearances of gastric cancer(lauren histological classification) are best classified into the intestinal type and diffuse type .
The intestinal variant is composed of malignant cells forming neoplastic intestinal glands resembling those of colonic adenocarcinoma.
The diffuse variant is composed of gastric-type mucous cells that generally do not form glands but rather permeate the mucosa and wall as scattered individual "signet-ring" cells or small clusters in an "infiltrative" growth pattern.
Whatever the histologic variant, all gastric carcinomas eventually penetrate the wall to involve the serosa, spread to regional and more distant lymph nodes, and metastasize widely. For obscure reasons, the earliest lymph node metastasis may sometimes involve a supraclavicular lymph node (Virchow node).
Another somewhat unusual mode of intraperitoneal spread in females is to both the ovaries, giving rise to the so-called Krukenberg tumor.
Pathogenesis
Environmental FactorsCigarette smoking
Low socioeconomic status
•Nitrites derived from nitrates (water, preserved food)
•Smoked and salted foods, pickled vegetables, chili peppers
•Lack of fresh fruit and vegetables diet
•Present in most cases of intestinal-type carcinoma
Infection by H. pylori
• Host Factors
• Barrett esophagus
• Gastric adenomas
• Favors reflux of bilious, alkaline intestinal fluid
• Partial gastrectomy
• Intestinal metaplasia is a precursor lesion
• Hypochlorhydria: favors colonization with H. pylori
• Chronic gastritis
• Genetic Factors
• Familial gastric carcinoma syndrome (E-cadherin mutation)• Hereditary nonpolyposis colon cancer syndrome
• Family history of gastric cancer
• Slightly increased risk with blood group A
Gastric carcinoma. Gross photograph showing an illdefined,
excavated central ulcer surrounded by irregular,heaped-up borders
Here is a much larger 3 x 4 cm gastric ulcer that led to the
resection of the stomach shown here. This ulcer is much
deeper with more irregular margins
At high power, this gastric adenocarcinoma is so poorly
differentiated that glands are not visible. Instead, rows ofinfiltrating neoplastic cells with marked pleomorphism are seen.
Many of the neoplastic cells have clear vacuoles of mucin.
This is a signet ring cell pattern of adenocarcinoma in which
the cells are filled with mucin vacuoles that push the nucleus toone side, as shown at the arrow.
Gastric cancer. A, H&E stain demonstrating intestinal type of gastric carcinoma with gland formation by malignant cells that are invading the muscular wall of the stomach. B, Diffuse type of gastric carcinoma with signet-ring tumor cells.
SPREAD OF GASTRIC CANCER:
The diffuse type spreads rapidly through the submucosal and serosal lymphatic and penetrates the gastric wall at early stage, the intestinal variety remains localized for a while and has less tendency to disseminate.The spread by:
1. Direct (loco regional)
2. Lymphatic
3. Blood (Haematogenous)
4. Transcoelomic
• Clinical Manifestation:
• Weight loss due to anorexia and early satiety is the most common symptoms• Abdominal pain (not severe) common
• Nausea / vomiting
• Chronic occult blood loss is common;
• GIT bleeding (5%)
• Dysphagia (cardia involvement)
• Clinical Manifestation:
• Paraneoplastic syndromes ( Trousseau’s syndrome – thrombophlebitis; acanthosis nigricans – hyperpigmentation of axilla and groin; peripheral neuropathy)• Signs of distant metastasis:
• Hepatomegally / ascites
• Krukenbergs tumor
• Blummers shelf (drop metastasis)
• Virchow’s node
• Sister Joseph node (pathognomonic of advances dse)
Screening of Gastric Cancer
• Familial adenomatous polyposis
• Hereditary nonpolyposis colorectal cancer
• Gastric adenomas
• Menetrier’s disease
• Intestinal metaplasia or dysplasia
• Remote gastrectomy or gastrojejunostomy



