Adult orthodontics
تقويم \ خامس اسناند. منار م(3-4)
4\ 5\ 2017
An ADULT is defined as a person who has ceased to grow. Biologically this happens at around 18-20 years of age.
Adults who seek orthodontic treatment fall into 2 quite different groups:
• Younger adults (under 35) who desired but did not receive orthodontic treatment as youths and now seek it (comprehensive treatment).
the young adults who are 18-25 are generally treated as other adolescent patients, their main concern is esthetic and are periodontally healthy.
Adults of 26-35 years may exhibit more periodontal and restorative problems.
• An older group (typically in their 40s or 50s) who have other dental problems and may lack a full complement of teeth and need orthodontics as part of a larger treatment plan. (adjunctive orthodontic treatment)
Motivational factors for orthodontic treatment in adults
• Esthetic.• Prosthodontic
• Periodontal.
• TM dysfunction.
Considerations in orthodontic treatment for adults:
• Treatment must involve all the dentists who will play a role in the treatment. It cannot be done by the orthodontist in isolation.
• The absence of growth means that growth modification to treat jaw discrepancies is not possible and only tooth movement for camouflage or orthognathic surgery can be applied.
Considerations in orthodontic treatment for adults:
• Disease control is essential before orthodontics can begin, this means bringing both dental and periodontal disease under control.• Adult patients seek orthodontic treatment because they want it, so they are intensely interested in their treatment and want to understand what is happening and why.
• Adult orthodontic patients need medications for pain control since they are less tolerant of pain than younger patients.
Treatment sequence
Disease control before orthodontic treatment
• Periodontal disease must be controlled before any orthodontic treatment otherwise rapid and irreversible periodontal breakdown will occur. This involves scaling, curettage, gingival grafts in patients with minimal attached gingiva especially if arch expansion is to be used.Disease control before orthodontic treatment
• Elimination of active caries by restoration with well-placed amalgum or composite resins.• Endodontic treatment of any pulpally involved teeth as attempting to move such teeth can cause flare up of pulpitis and pain.
• Cast restoration should be delayed until orthodontic treatment is completed and final occlusal relationship is established.
Disease control during orthodontic treatment
The use of a fully bonded orthodontic appliance is preferred for periodontally involved adults since bands can make periodontal maintenance more difficult.
• Self ligating brackets or steel ligatures are preferred over elastomeric rings, as patients with elastomeric rings have higher levels of microorganisms in gingival plaque.
• Patients with periodontal problems must be on maintenance schedule during orthodontic treatment including frequent cleaning and scaling at 2-4 months intervals or every 4-6 weeks for patients with sever periodontal involvement.
• The use of adjunctive chemical agents between appointments like chlorhexidine.
Types of adult orthodontic treatment
• Comprehensive treatment.It requires a complete fixed appliance with or without extraction with the goal of making patient's occlusion as ideal as possible.
• Adjunctive treatment
• Is tooth movement carried out to facilitate other dental procedures necessary to control disease, restore function, and/or enhance appearance.
Adjunctive Orthodontic Treatment
• Usually it involves only part of the dentition.
• Most commonly undertaken in older adult patients.
• Treatment duration tends to be a few months.
• Long term retention is usually supplied by the restorations.
Goals of Adjunctive Orthodontic Treatment
• Improve periodontal health by eliminating plaque harbouring areas.• Establish favourable crown-to-root ratio and to position the teeth so that occlusal forces are transmitted along the long axes of the teeth.
• Position the teeth to facilitate restorative treatment using conservative techniques like implant.
• Position the teeth to facilitate optimal esthetics using bonding, laminates or full coverage restorations.
Adjunctive Orthodontic Treatment procedures
• Uprighting posterior teeth.• Alignment of anterior teeth to allow more esthetic restoration.
• Correction of crossbite.
• Extrusion of badly broken down teeth to expose sound root structure on which crown can be placed.
Up righting Posterior Teeth
• Loss of lower molar can lead to tipping and drifting of adjacent teeth, poor gingival contour and supra eruption.Up righting Posterior Teeth
There are 2 ways to upright tipped teeth:• By distal crown movement which would increase the space available for a bridge pontic or implant.
• By mesial root movement which would reduces or even close the edentulous space.
Up righting Posterior Teeth
• As a general rule distal tipping is preferred as mesial root movement can be very difficult especially across old extraction site where there is extensive alveolar bone resorption.Appliances for Molar Uprighting
• A partial fixed appliance is used consists of bonded brackets on the premolars and canine in that quadrant and either a bonded tube on the molar or molar band depending on the periodontal condition.• for better control of anchorage a bonded canine to canine lingual wire is used especially if 2nd and 3rd molars need to be uprighted.
• Uprighting can be accomplished either with:
1. a continuous flexible rectangular wire.2. or with an auxiliary uprighting spring and rigid stabilizing wire on premolars and canine teeth.
• An open coil steel spring is used to complete molar uprighting and close remaining spaces in the premolar region.
Retention after Molar Uprighting
• After uprighting is completed the molar must be maintained in its new position until a fixed bridge or implant is placed.• This is achieved using either a heavy rectangular wire engaging the brackets passively, or intracoronal splint that is bonded into shallow preparations in the proximal enamel.
Crossbite correction
• Posterior crossbites are corrected using cross elastics after stabilizing the teeth in the opposing arch with heavy arch wire to reduce extrusion of posterior teeth while crossbite is corrected.Crossbite correction
• Anterior crossbites are corrected using fixed orthodontic appliance on anterior teeth and molars to control vertical position of anterior teeth.Extrusion
• Controlled extrusion (forced eruption) is used to move a tooth that is unrestorable because of subgingival pathology into a position that allows treatment.•
• Control of apical infection with endodontic treatment should be completed before extrusion of root begins.
• The distance the tooth should be extruded is determined by location of the defect, the tooth should be extruded to the level of 3mm above alveolar crest.
• Extrusion of teeth occurs most readily and can be as rapid as 1mm/week without damage to the PDL. Active treatment can be completed in 3-6 weeks.
Extrusion Technique
• Extrusion can be done using stabilizing wire on adjacent teeth and an elastomeric module stretched between the wire and a pin placed directly into the crown of the tooth to be extruded.• Or placing stabilizing wire on the opposing teeth and using interarch elastics stretched between the stabilized teeth and a button bonded to the tooth to be extruded.
•
• After active tooth movement is completed 3-6 weeks of stabilization is needed to allow reorganization of PDL.
• If periodontal surgery is needed to recontour gingiva, it can be done a month after completion of extrusion.
• The final prosthetic treatment should be completed without delay.
•
An apically repositioned flap is used to create the correct gingival contour
Alignment of anterior teeth
• Adunctive orthodontic treatment to correct malaligned teeth is indicated to:• Allow placement of other restorations, veneers or implant.
• To close small spaces between teeth.
• To redistribute larger spaces between teeth to allow composite buildups.
Alignment of anterior teeth
• Alignment is achieved using:• Partial or complete fixed appliance with bonded brackets on anterior teeth or all teeth and a bonded tube on first molars for anchorage.
• The use of a sequence of clear aligners (Invisalign, Clear Correct).
Invisalign aligner
Fixed orthodontic appliance is used to distribute large spaces between the teeth followed by composite buildups
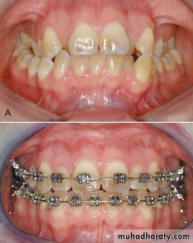
Comprehensive Orthodontic Treatment
• The goal is the same as for adolescents: to produce the best combination of dental and facial esthetics, dental occlusion, and stability of result to maximize benefit to the patient.
• It requires a complete fixed orthodontic appliance.
• Intrusion of some teeth may be needed, orthognathic surgery may be considered to improve jaw relationships.
• The duration of treatment from braces on to braces off exceeds 1 year.
Treatment Modifications for Adult Orthodontic Patients
The stages of comprehensive treatment for adults are the same as those for adolescents but certain aspects need modification:• The patient’s desire for minimally apparent or invisible orthodontic appliance makes adults the main candidates for esthetically enhanced appliances like ceramic or other nonmetallic brackets, clear aligners or lingual orthodontics.
Treatment Modifications for Adult Orthodontic Patients
• Orthodontic force must be kept light in patients who have lost some periodontal support, because reduced area of PDL after significant bone loss means higher pressure in PDL from any force with the center of resistance moved apically.3. Intrusion is often needed in the leveling of both arches because of lack of growth, that allow some extrusion of posterior teeth in adolescents without leading to mandibular rotation.
Treatment Modifications for Adult Orthodontic Patients
4. Skeletal anchorage in the form of miniplates or miniscrews is likely to be required for certain tooth movements:• Intrusion of posterior teeth.
• Protraction of posterior teeth.
• Distal movement of posterior teeth.
• To support maximum retraction and/or intrusion of anterior teeth.
• positioning individual teeth when no other satisfactory anchorage is available (usually because of loss of many teeth)
Esthetic Appliances in Treatment of Adults
• Ceramic or tooth colored brackets: are more desired in treatment of adults than adolescents, their use dose not require change in treatment procedures.• Lingual orthodontics: provides an invisible fixed appliance with especially designed attachments bonded on the lingual surface of teeth.
• Clear aligner therapy (CAT): is almost totally limited to adult treatment and require a quite different approach.
Esthetic Appliances in Treatment of Adults
Clear aligner therapy (CAT):Treatment with this approach involves the use of a series of aligners on stereolithographic casts produced from virtual models.
Virtual tooth movement created on virtual model
stereolithographic cast and the aligner formed from itEsthetic Appliances in Treatment of Adults
Many systems are available like Invisalign and Clear Correct, they are usually indicated for treatment of mild to moderate orthodontic problems and when few teeth need to be moved.
RETENTION
• the adult bone is more dense and less vascular, which lead to slower rate for tooth movement and stabilization. The more slowly the bone forms the longer and more critical the retentive face becomes.• A clear suck-down thermoplastic retainer is the best choice immediately upon removing the orthodontic appliance.








































