Transverse orthodontic problems
Posterior crossbite
تقويم \ خامس اسنان
د. منار م(4)4\ 5\ 2017
Posterior crossbite
Posterior crossbite: is defined as a relationship in which one or more deciduous or permanent posterior teeth occlude in an abnormal buccolingual relation with their antagonists.
They may be unilateral or bilateral, maxillary or mandibular, buccal or lingual, dental or skeletal, and may be accompanied by lateral functional shift of mandible (especially in unilateral crossbites).
Classification
Based on the position of upper molars:
Palatal Posterior Crossbite: is the most common and refers to a condition where buccal cusps of one or more maxillary posterior teeth occlude lingual to buccal cusps of mandibular teeth.
Buccal Crossbite (Scissors Bite): the palatal cusps of maxillary teeth occlude buccal to mandibular teeth. This type is less common and associated with underlying skeletal discrepancy, often Class II malocclusion
Classification
Based on the number of teeth involved:
Single tooth posterior crossbite.
Segmental posterior crossbite: a crossbite that involves a group of posterior teeth. The greater the number of teeth in crossbite the greater is the skeletal component of the etiology.
Classification
According to the presence of crossbite on single or both sides of dental arch:
Unilateral crossbite: may be associated with mandibular shift on closure or less frequently may result from true arch asymmetry.
Bilateral crossbite: are more likely to be associated with skeletal discrepancy in the transverse or anteroposterior plane
Classification
Based on the structure involved:
Dental crossbite: crossbite is confined to the dentition, mainly lingual tipping of upper teeth or less frequently buccal tipping of lower teeth.
skeletal crossbite: crossbite involving the skeletal structures mainly maxillary constriction.
Functional crossbite: Occlusal interference will lead to mandibular shift on closure resulting in unilateral posterior crossbite
Etiology
Prolonged thumb sucking habit.Retention of primary teeth that cause deflection of erupting permanent successor leading to a crossbite.
Premature loss of deciduous molars lead to loss of space and palatal eruption of premolar teeth.
Mismatch in the relative width of arches.
Anteroposterior skeletal problem, sever maxillary retrognathism or mandibular prognathism can result in posterior crossbite even with normal transverse maxillary width.
True skeletal asymmetry of maxilla or mandible.
Diagnosis
Thorough clinical examination and an analysis of various diagnostic records is needed to determine the extent of involvement of dental, skeletal and functional components.Diagnosis
Clinical Examination:It is important to determine whether a unilateral crossbite is associated with lateral mandibular shift, this is achieved by examining mandibular position in centric relation and centric occlusion.
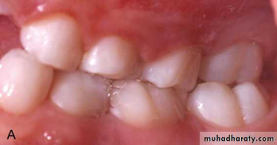
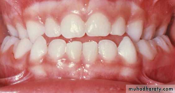
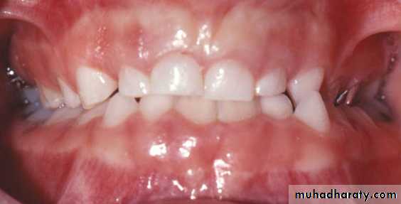
Unilateral posterior crossbite with lateral shift may result from:
• Occlusal interferences from primary canine: there is normal occlusal relations at initial contact but in centric occlusion there is mandibular shift leading to unilateral crossbite.
Initial contact
Centric occlusion
• In the majority of children with unilateral posterior crossbite there is moderate bilateral narrowing of the upper arch leading to posterior interferences upon closure. This forces the mandible to shift to a new position for maximum intercuspation.Initial contact
Centric occlusion
Marked bilateral narrowing produce no interference and the patient will have bilateral crossbite in centric relation.Less frequently unilateral posterior crossbite is caused by true unilateral narrowing of the upper arch, the patient has crossbite in centric relation and centric occlusion.
Bilateral crossbite
True unilateral crossbite
Diagnosis
Study cast analysis:
dental and skeletal transverse dimensions can be recorded using study cast by:
Measuring the width of palatal vault.
Measuring the intermolar distance.
These 2 measurements should be compared to each other to verify the skeletal and dental contribution to crossbite.
• Dental crossbite
Normal width of palatal vaultIntermolar width is approximately equal to palatal width
Palatal inclination of posterior teeth
• Skeletal crossbite
Narrow palatal vaultintermolar width is considerabely larger than palatal width
There may be buccal inclination of posterior teeth as a compensation for skeletal problem
In normal occlusion the arch width between tips of MB cusps of upper first molars should be 2 mm greater than the width between buccal grooves of lower molars.
Arch width measurement is used to estimate the amount of expansion needed to correct the crossbite:
maxillary intermolar width – mandibular intermolar width= sum of intermolar difference.
expansion needed= intermolar difference +2mm.
Treatment plan considerations
Skeletal and dental contribution to crossbite.
Age of the patient
Functional contribution to crossbite.
Rationale for early treatment
Posterior crossbite should be treated as early as possible even in the primary dentition.Early correction will eliminate mandibular shift on closure and reduce the possibility of mandibular skeletal asymmetry.
Correcting posterior crossbite in the mixed dentition increases arch circumference and provides more room for the permanent teeth to erup.
Reduces dental arch distortion.
Treatment of transverse maxillary constriction
Skeletal maxillary constriction is characterized by a narrow palatal vault and can be corrected by opening the midpalatal suture.
Like all craniofacial surures the midpalatal suture becomes more tortuous and interdigitated with increasing age.
Treatment of transverse maxillary constriction
At infancy the suture is almost a straight line
In children up to 9 or 10 years (skeletal age) expansion of suture is easy and can be accomplished with almost any type of expansion device.
Treatment of transverse maxillary constriction
By adolescence the interdigitation of the suture has reached the point that a rigid expansion screw with considerable force is required to create micro fractures before the suture can open.
After adolescence (after 16 or 17) bony bridging across the suture develop to the point that orthopedic expansion becomes impossible.
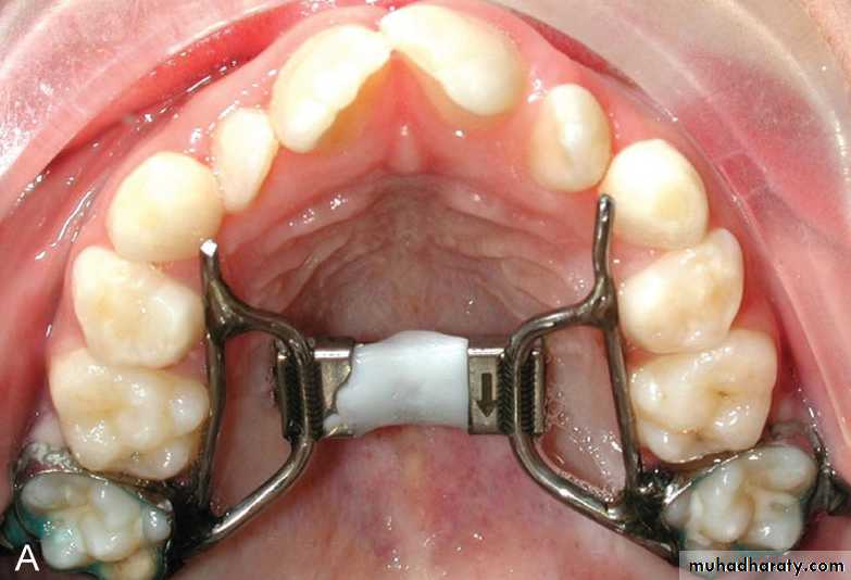
Methods of expansion
There are 2 approaches for palatal expansion either rapid or slow.
RAPID EXPANSION is recommended to maximize skeletal change and reduce dental changes produced by treatment.
Fixed appliance with rigid jackscrew is used. It is activated at a rate of 0.5 mm/day (2 turns daily) which creates 10-20 pounds of pressure across the suture.
Rapid expansion
About 10mm or more of expansion is obtained in 2-3 weeks.The suture opens as if on a hinge superiorly at the base of the nose and opens more anteriorly than posteriorly. The space created is filled initially by tissue fluids and hemorrhage.
Rapid expansion
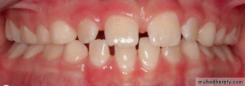
A diastema appears between central incisors as the bone separate.The appliance should be stabilized and left in place for 3-4 months, during this time new bone fill the space and midline diastema disappear.
At the end of retention period the net result would be equal amount of skeletal and dental expansion.
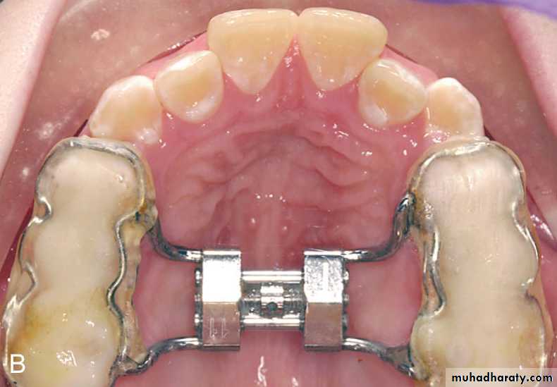
Slow expansion
The suture is opened at rate of 1 mm/week (one turn every other day) this rate is close to maximum speed of bone formation, this produces 2 pounds of pressureNo midline diastema appear and tissue damage and hemorrhage are minimized.
This method produces 10mm expansion over 10-12 weeks period which consists of equal amount of skeletal and dental change.
Expansion of narrow maxilla in primary and early mixed dentition
Heavy forces and rapid expansion are not indicated in young children, since there is significant risk of distortion of nose.
Expansion of narrow maxilla in primary and early mixed dentition
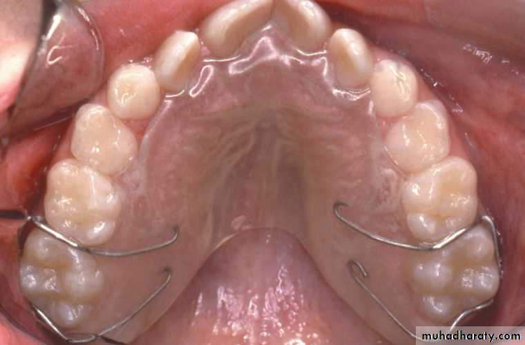
Palatal expansion can be achieved with slow activation using either of the following appliances:
• Split-plate removable appliance with expansion screw. However, it depends on patient compliance and treatment can take long time.
• Lingual arch either of W arch or quad helix design.
Both produce slow expansion and deliver a force of few hundreds grams and produce both skeletal and dental expansion.Expansion of narrow maxilla in late mixed dentition
In this age sutural expansion require placing a relatively heavy force across the suture.This is achieved using fixed expander with rigid jackscrew. The appliance should include as many teeth as possible in anchorage unit.
It is activated to produce slow expansion since its more physiologic and effective in these young patients
Expansion of narrow maxilla in adolescence
In this age slow and rapid expansion can be used. However, as the patient matures heavy forces and more rapid activation is required to open the suture.• Bonded or banded expander. (can produce both rapid and slow expansion)
Expansion of narrow maxilla in Adolescence
• Implant supported expansionForce can be directly applied to maxilla using palatal screws for attachment of expansion device.
Slow expansion is used since the effect is mainly skeletal.
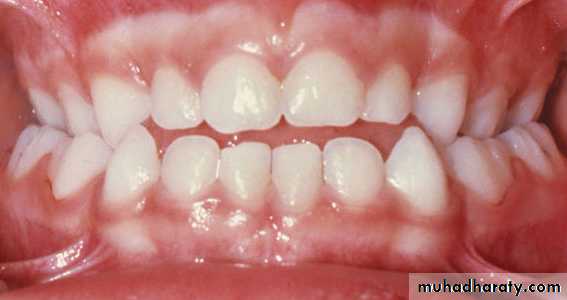
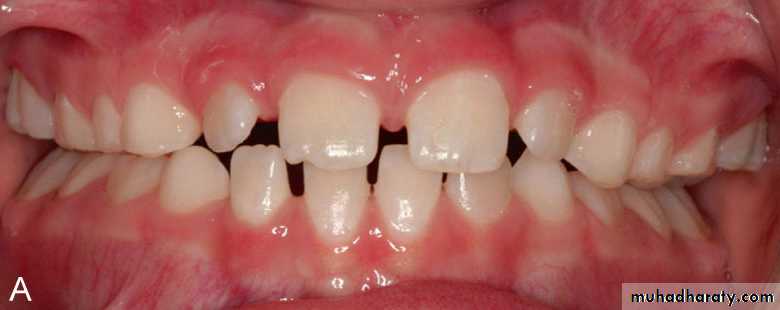
In all patients whether children or adolescents, the crossbite should be overcorrected so that the palatal cusps of upper teeth occlude on the lingual inclines of buccal cusps of lower molars.
After active treatment the appliance is left passively in place for 3 months.
A removable retainer that covers the palate is needed to prevent relapse for 6 months or more.
overcorrection
Correction of Narrow Maxilla in Adults
Surgically assisted rapid palatal expansion
In this procedure the surgeon make bone cuts similar to Le Fort I osteotomy except the down fracture to reduce resistance, followed by expansion with rigid screw to separate halves of maxilla.
Correction of Narrow Maxilla in Adults
Surgically assisted rapid palatal expansion
Surgical widening of maxilla is the least stable of orthodontic surgical procedures because of the pull of stretched palatal tissues that cause relapse.
Overcorrection of crossbite followed by retention for at least one year after surgery is recommended
correction of dental posterior crossbite
In primary and mixed dentition
Posterior crossbite associated with lateral shift is an indication for treatment in primary dentition otherwise its better to defer treatment to mixed dentition when the permanent first molars are erupted.
• Occlusal equilibration to eliminate mandibular shift due to occlusal interference from primary canine.
correction of dental posterior crossbite
• Expansion of a narrow upper archDifferent types of appliances can be used for primary or mixed dentition child and all will produce some opening of the midpalatal suture in addition to dental expansion:
• Split-plate removable appliance with expansion screw, this type depends on patient compliance and the treatment is longer.
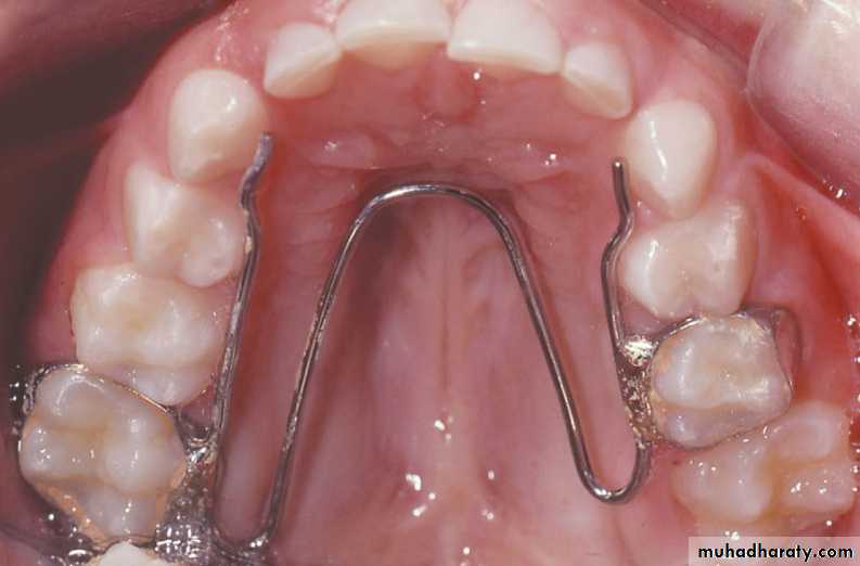
The preferred appliance is adjustable lingual arch that is banded to molars and requires little patient cooperation.
• W arch and quad helix are reliable and easy to use.
Both are constructed from 0.9 mm stainless steel wire and can be adjusted to produce anterior or posterior expansion.
The lingual wire should contact the teeth involved in crossbite.
The appliance is activated by opening it 3-5 mm wider than passive width.
•
• Correction of true unilateral crossbite
These are treated by asymmetric expansion of upper arch to move teeth on the constricted side.• Asymmetric W arch with different length arms. The side of the arch to be expanded has fewer teeth than the anchorage unit. However, some bilateral expansion must be expected.
• Correction of true unilateral crossbite
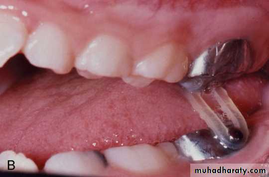
• Cross-elastics from upper molars to lower teeth that are stabilized with mandibular lingual arch.This produce more unilateral effect but should be used for short duration to prevent excessive extrusion of posterior teeth.
The crossbite should be slightly overcorrected so that the palatal cusps of upper teeth occlude on the lingual inclines of buccal cusps of lower molars.
After active treatment the appliance is left passively in place for 3 months.
•
overcorrection
After retention
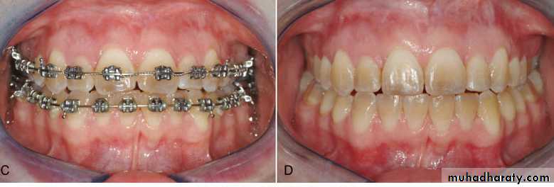
correction of dental posterior crossbiteIn adolescence
Posterior crossbites are corrected during the first stage of comprehensive orthodontic treatment. Two approaches are possible:
• Heavy labial expansion arch: made from 0.9 mm wire and adjusted so that its slightly wider than headgear tubes and must be compressed by patient on insertion.
correction of dental posterior crossbite
• Cross-elastics: from the lingual of upper molars to the buccal of lower molars that are stabilized with mandibular lingual arch. This method is also useful when there is true unilateral crossbite.After correction of crossbite retention is achived using heavy rectangular archwire

















































