Pediatric surgeryClinical practice
DR. Bassam Al-AbbasiRespiratory Distress in the Newborn
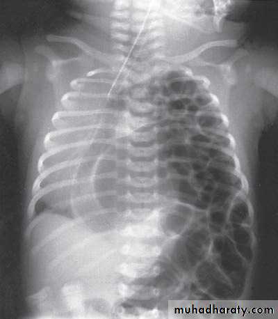
Scaphoid abdomen
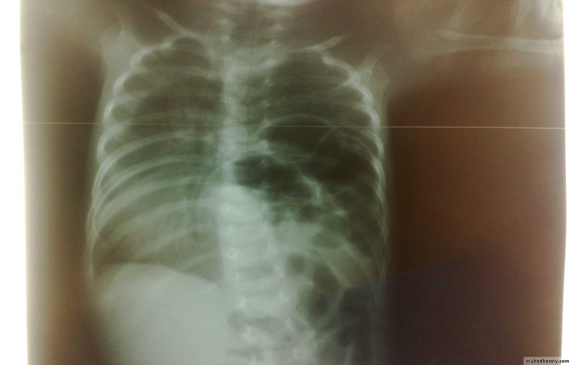
Diaphragmatic eventration
plication
Oesophageal Atresia and Tracheo-Oesophageal Fistula,
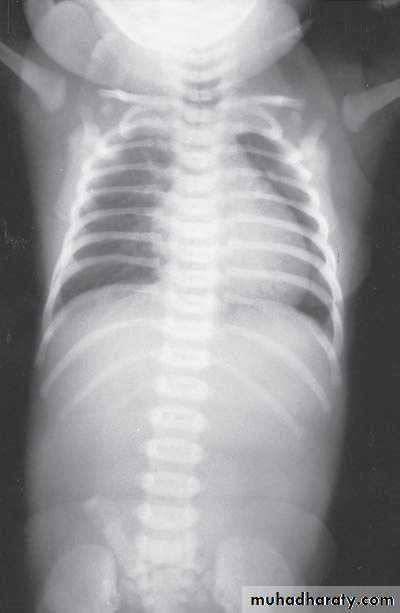
Bowel Obstruction
web
Meconium ileus
Hirschprungs disease
Abdominal Wall Defects
Anorectal Anomalies
Intussusception




































