Vascular surgery
venous ulcer
Arterial ulcer (DM, ischemic)
Arterial ulcer (bed sore “pressure”)
Arterial ulcer (gas gangrene “dry” )
Arterial ulcer (gas gangrene “dry” )
Arterial ulcer (gas gangrene “dry” )
Arterial ulcer (gas gangrene “??” )
Arterial ulcer (gas gangrene “wet” )
Arterial ulcer (gas gangrene “wet” )
Arterial ulcer (gas gangrene “wet” )
Arterial ulcer (gas gangrene “wet” )
Arterial ulcer (gas gangrene “wet” )
thrombophlebitis
!! thrombophlebitis
!! thrombophlebitis
Lymphangitis
lumphedema
Varicose vein
Varicose vein (thread veins)
Dilated vein on chest (SVC obstruction)
Inverted champagne bottle
Deep Vein Thrombosis
AV fistula
AV fistula (ischemia distal to the fistula)
AV fistula (aneurysmal fistula)
AV shunt
Thoracic surgery
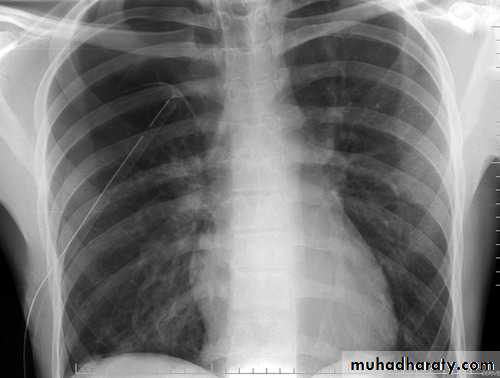
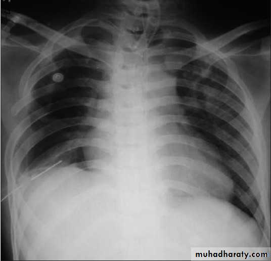
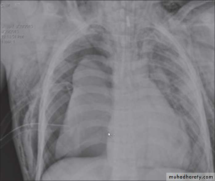
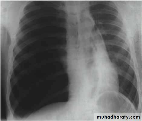
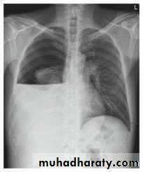
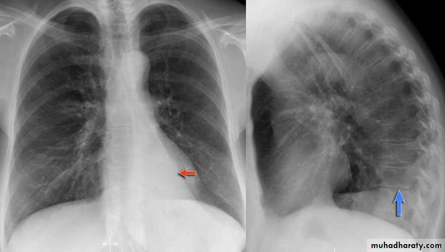
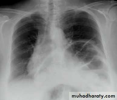
Pneumothorax
Pneumothorax
Pneumothorax
Pneumothorax
Pneumothorax
Pneumothorax
!! pneumothorax
pneumothorax
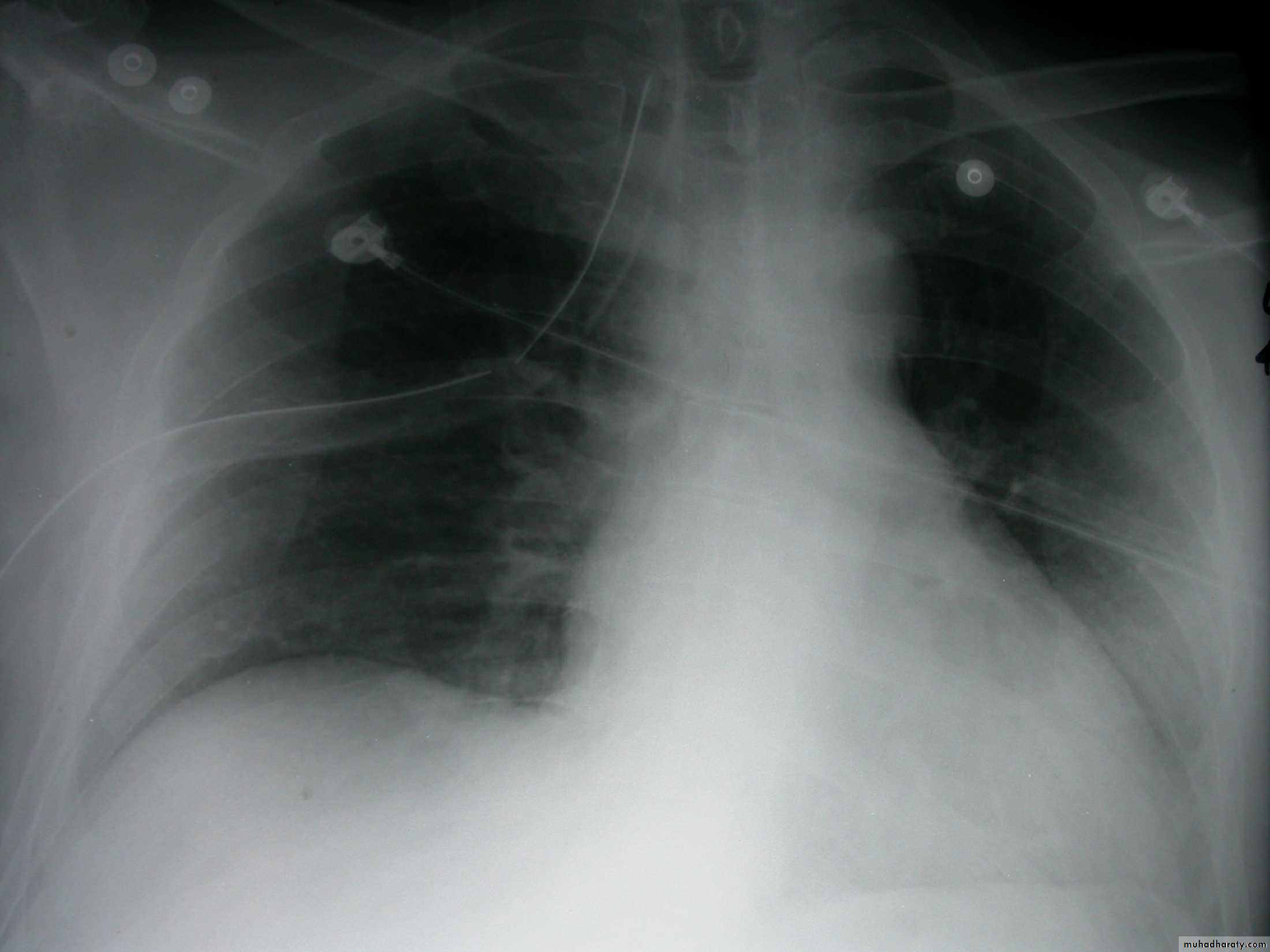
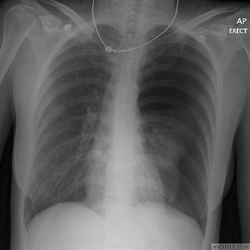
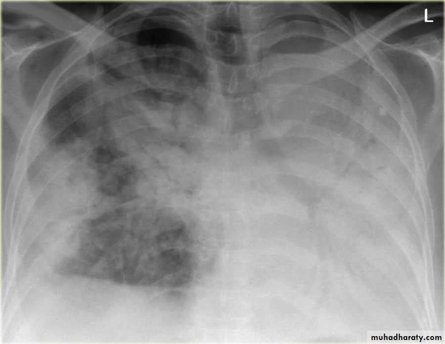
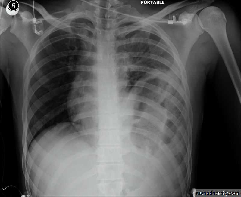
Severe dyspnea with shock
Tension PneumothoraxTension Pneumothorax
Your text here
• Your Text Here• Your Text Here
• Your Text Here
Flial chest
Flial chest (lung contusion)
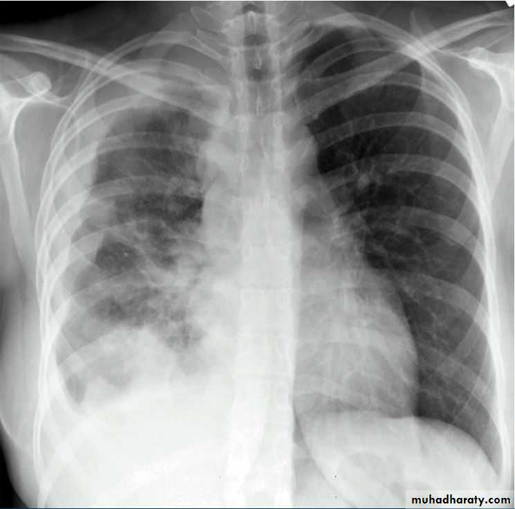
Patient with fever, rigor and dyspnea
Empyema
Differential diagnosis?
History; too shy to take of his shirt in the pool!Pectus excavatum
Area of hypertranslucensy (pneumothorax)
What is the difference?
(emphysematous bullae) (pneumothorax)
Hydated cyst (simple)
• Your Text Here
• Your Text Here
• Your Text Here• Your Text Here
Your text here
Your text here
Your text here
Your text here
Hydatid cyst (water lily sign)
• Your Text Here
Your text hereYour text here
Your text here
Your text here
Your text hereYour text here
Your text hereYour text here
Your text hereYour text here
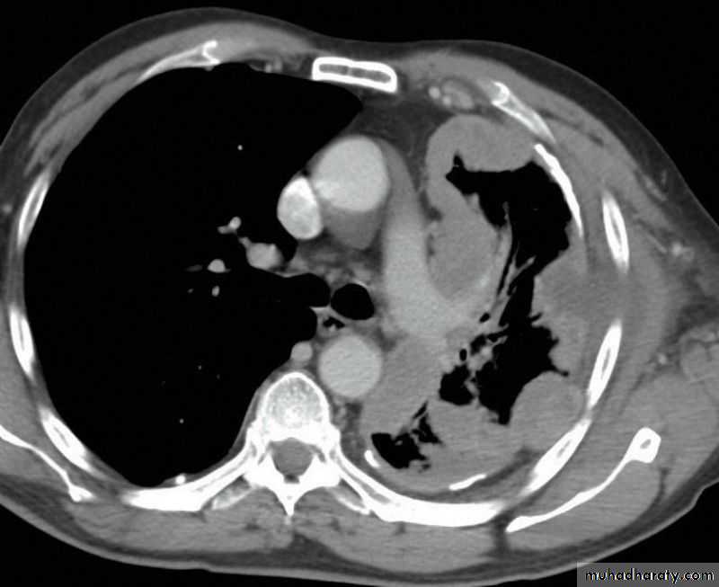
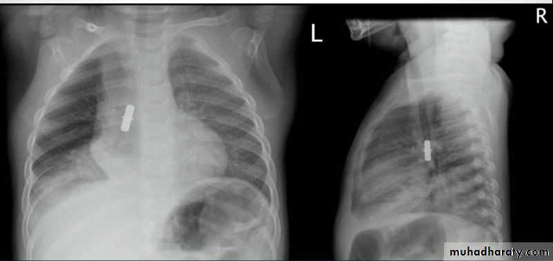
Foreign body in right bronchus
Foreign body in bronchus
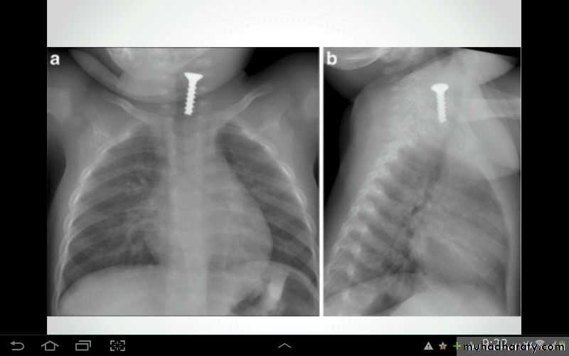
Foreign body in esophagus
Foreign body in right esophagus
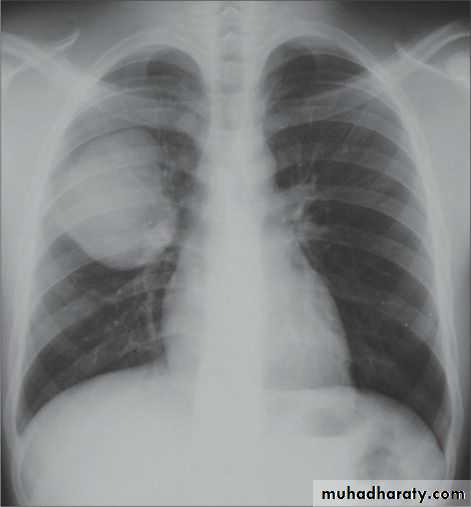
(Collapse) (Massive plural effusion)
Secondary metastasis
!! ما شرحهم
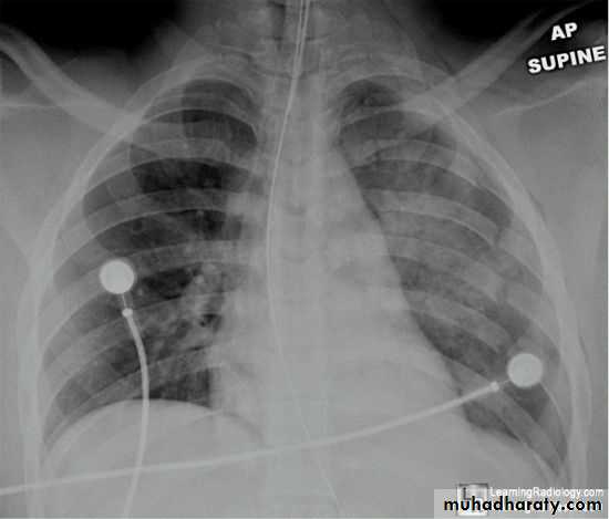
Abdominal surgery before 2 days
Fall from the 2nd floor
!!!!











































































































