Complications of local anesthesia
Complications of local anesthesiaA number of complications are associated with the administration of local anesthesia and those complications could be classified into local and systemic complications.
• Local complication of local anesthesia include:
1-pain on injection
2 - burning on injection 8-soft tissue injury
3 - failure to obtain anesthesia 9-hematoma
4 persistent anesthesia 10-infection
5 - needle breakage
6-facial nerve paralysis
7-trismus
• pain on injection ; - pain on injection increases patient anxiety and may lead to sudden unexpected movement which may lead to increasing the risk of needle breakage
Causes:
1 - Careless injection technique
2 - Rapid deposition of the local anesthetic solution may cause tissue damage and pain
3- low PH of the solution could irritate the tissue.
4 – Temperature of the solution : warmer solution is more comfortable to the patient than the cold one.
5 - Aggressive insertion of the needle can tear the soft tissue ,blood vessel ,nerve ,and periosteum and cause more pain .
Prevention:
1- Follow the technique of local anesthesia properly2- Use sharp needle
3- Use sterile local anesthetic solution which stored in correct temperature
4- Inject local anesthesia slowly management
• Burning on injection:
A burning sensation occurring during injection of a local anesthesia is not uncommon.Causes
There are several potential causes as;1 - pH of the solution being deposited into the soft tissue . the PH of local anesthesia as prepared for injection is 5, whereas that of solution containing a vasopressor is even more acidic.
2 - Rapid injection of local anesthesia especially in the denser more adherent tissues of the palate, produce a burning sensation.
3 - Contamination of the local anesthetic cartridge can result when they are stored in alcohol or other sterilizing solutions leading to diffusion of these solutions into the cartridge
Management
Because most instances of burning on injection are transient and do not lead to prolonged tissue involvement no treatment is indicated
• Failure to obtain anesthesia
Although the incidence of this difficulty tend to decrease as the experience of the operator increases but it is still probably the most common problem seen during the use of local anesthesia . the problem is most common with block anesthesia especially in the lower jaw .
Causes :
1 - poor technique : it is the most common cause for insufficient anesthesia in inferior nerve block and common mistakes areA - injection of anesthesia too soon on the anterior ascending ramus
B - giving injection inferior to mandibular foramen
2 - Anatomical causes include :
• Accessory nerve supply• Abnormal course of the nerve
• Variation in the foramen location
• Some time the tooth is innervated by more than one nerve
3 - Pathological reason include :
A - trismus (limited mouth opening ) in these cases it is impossible to use conventional technique of inferior nerve block or there will be increased possibility of failure of achieving adequate anesthesiaB - infection and inflammation : -if the pulp is inflamed the tow PH may cause lack of effective anesthesia in that area the inflammation makes the nerve more sensitive . a minimal stimulation can cause pain perception ,in those patient to obtain proper anesthesia more solution has to be injected
for example by combining a block , infiltration and supplemental intraligamentary or intra osseous injection can be used if necessary
4- psychological reasons:
Fear and anxiety can cause failure in local anesthesia , to enable successful anesthesia relaxation of the patient is sometime needed. for this the use of a sedative like benzodiazepine may be helpful• Persistent anesthesia
It is the prolonged loss of sensation of part of the soft tissue of the face, (including tongue and lip) On occasion a patient reports feeling numb many hours after local anesthetic injection . when anesthesia persist for days , weeks , or months there is an increased potential for the development of problems as it could lead to self - inflicted injury ,biting ,or thermal or chemical insults which can occur without the patient awareness.Causes :
1 - Trauma to any nerve may lead to Parasthesia which means anesthesia beyond the expected duration . trauma to the nerve sheath can be produced by the needle during injection so Paresthesia is not un common complication of oral surgical procedures and mandibular dental implant .2 - injection of local anesthetic solution contaminated by neurotoxic substance as alcohol or sterilizing solution near a nerve produces irritation , resulting in edema and increased pressure in the region of the nerve , leading to Paresthesia
3 - hemorrhage and infection in close proximity to a nerve may lead to transient Paresthesia which resolve within the removal of the cause.
Prevention
Strict adherence to injection protocol and proper care and handling of dental cartridges help to minimize the risk of Paresthesia
Management
Most Paresthesia resolve within approximately 8 weeks without treatment we need to reassurance of the patient that the condition is transient and the dentist should note the sign and symptoms and follow up the patient .only if damage to the nerve is severe the Paresthesia will be permanent.
• Needle breakage
Breakage and retention of needles within the tissue has become an extremely rare occurrences because of the introduction of disposable needles. however reports of needle breakage still appear.Causes
1 - the primary cause of needle breakage is weakening of the dental needle by bending it before its insertion into the patients mouth .
2 - the sudden unexpected movement by the patient as the needle penetrates muscle or contacts periosteum .
3 - smaller needles ( as gauge 30 ) are far more likely to break than larger needles (as gauge 25)
4 - re-usage of the needle which its not accepted in dentistry now a days , yet re - usage may occur for the same patient during the same appointment when giving additional dosage of local anesthesia to the same patient repeated injection cause fatigue of the needle structure and increases the risk of needle breakage
5 -incorrect use of the needle as
A - aggressive insertion of the needle into the tissueB - sudden change in the direction inside the tissue
C - too deep penetration as the needle goes up to its hub inside the tissue and might fracture at this point ,the hub is considered the most common point of needle fracture .
6 - needles may prove to be defective in manufacture .
Prevention
• The dentist should check the needle before using them . If there is any suspicion of inadequate product quality a new one should be used.• use larger - gauge for techniques needing penetration of depths of soft tissue , gauge 25 needle are appropriate for an inferior alveolar
• using long needles for injection requiring penetration of significant depth of soft tissue.
• do not insert a needle into tissues to its hub unless it is essential for the success of the technique
• do not redirect a needle once it is inserted into tissues.
Management:
1 - stay calm and try to localize broken part in the tissue
2 - tell the patient what has happened and try to relax and comfort him
3 - stabilize the patient jaws in order that the needle stays in place ,if the patient move his jaw the tension from the muscle of masticatory system help the needle to penetrate the tissue
4 - if a portion of the needle is visible , grasp it firmly with hemostat and remove it
5 - if you cannot remove the broken part yourself, refer the patient to oral and maxillofacial surgeon . in the department of oral and maxillofacial surgery the patient is examined well and the needle is removed surgically under general anesthesia which provide complete immobility and muscle relaxation with the aid of some method that are used to localize the needle as x-ray, CT scan, ultrasonography
• facial nerve paralysis
Paralysis of the facial muscles on one side is an un -common complication of the Inferior dental injection and may be either partial or complete depending upon which branches of the nerve are affected .Cause :
this complication arises if the tip of the needle is inserted too far back and behind the ascending ramus , the solution is then deposited in the substance of the parotid gland where it anesthetizes the branches of facial nerve causing paralysis of the muscle they supply .since the parotid gland is enveloped by a facial sheath there is also a failure to obtain anesthesia of the inferior dental nerve .Clinically the patient will immediately complain of transient paralysis of the muscle of the chin , lower lip ,upper lip , eye lid (in ability to dose the eye ) and inability to raise the eye brow of the affected side .
Management
1- Reassure the patient of the transient nature of the event and will last for few hours2- Advice the patient to use an eye patch until motor function returns
3- If contact lenses are worn they should be removed
7. Trismus
Trismus defined as prolonged spasm of the jaw muscles by which the normal opening of the mouth is restricted (locked Jaw)
Causes:
• trauma to the muscles or blood vessels in the infratemporal fossa is the most common etiological factor in trismus associated with dental injection of local anesthetics• focal anesthetic solution into which alcohol or cold sterilizing solutions have diffused produce irritation of tissues leading to trismus
• hemorrhage is another cause of trismus large volumes of extra vascular blood can produce tissue irritation leading to muscle dysfunction as the blood is slowly resorbed
• a low -grade infection after injection can also cause trismus
• excessive volumes of local anesthetic solution deposited into a restricted area produce distention of tissues which may lead to post injection trismus
Prevention :
1- use sharp, sterile, disposable needle2- use aseptic technique, contaminated needle should be changed immediately .
3- practice atraumatic insertion and injection technique
4 - avoid repeat injections and multiple insertions into the same area through knowledge of anatomy and proper technique
5 - use minimum effective volumes of local anesthetic solution
Management
1 - heat therapy which consist of applying hot, moist towels to the affected area for approximately 20 min every hour or using warm saline rinse2 - use analgesic as aspirin 325 mg to manage pain associated with trismus and muscle relaxants
3 - the patient is advised to initiate physiotherapy consisting of opening and closing the mouth as well as lateral excursions of the mandible for 5 min every 3 to 4 hours chewing gum is another means of providing lateral movement of the TMJ.
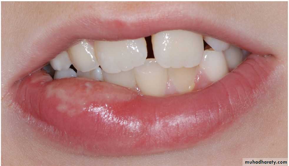
• Soft-tissue injury
Self- infticted trauma to the lips and tongue is frequently cause by the patient biting or chewing these tissues while still anesthetized
Cause
Trauma occurs most frequently in younger children and in mentally retarted children or adults .the primary cause is the fact that soft - tissue anesthesia lasts longer than those pulpal anesthesia
Prevention
1- - local anesthetic of appropriate duration should be selected2- A cotton roll can be placed between the lip and the teeth if they are still anesthetized
3- Warn the patient against eating, drinking hot fluid, and biting on the tips or tongue to test for anesthesia.
Management
Management of the patient with self - inflicted soft - tissue injury secondary to lip or tongue biting or chewing is asymptomatic1 . analgesics for pain if necessary
2. antibiotic if necessary
3 - warm saline rinses to aid in decreasing any swelling present
4 -use any jell form or any lubricant to cover the Iip lesion and minimize the Irritation
• Hematoma
Hematoma is localized mass of extravasated blood that may become clinically noticeable following the injection . it is caused by penetration of the blood vessel with the needle during penetration or withdrawal of the needle in to the tissue leading to bleeding inside the tissue and the formation of hematoma . the patient will notice development of swelling and discoloration of a bruise . intra orally.The blood vessels most commonly associated with hematoma are
1 - the pterygoid venous plexus2 - posterior superior alveolar vessels
3 - the inferior alveolar vessels in the pterygomandibular space
4 -the mental vessels
5 - the infraorbital vessels
Prevention
1 - learn anatomical landmark and injection technique2 - avoid relocating the needle to different sites inside the tissue
Management
1 - if it is visible immediately following injection apply direct pressure If possible / once bleeding has stopped inform the patient of what happened and re-evaluate the possibilities of continuing the treatment instruct the patient to avoid application of heat over the area , prescribe analgesic and antibiotic if necessary
2 - if it is invisible like in case of pterygomandibular space hematoma the patient will come in the 2 nd or 3 rd day complaining of trismus in this case treat the case as trismus.
• Infection
Infection after the local anesthetic administration has become rare complication since the introduction of sterile disposable needles and glass cartridgesCauses:
1 - contamination of the needle when touching the mucous membrane in the oral cavity before the administration of local anesthesia
2 - improper technique in handling of the local anesthetic equipment
3 - injecting of the solution into an area of infection which might transport bacteria into adjacent healthy tissues spreading infection.
prevention
1 - use sterile disposable needles
2 - proper handle of the needle to ovoid its contact with nonsterile surface
3 - use cartridges only once and store it in their original container , covered at all times
Management
If an infection dose occur the patient will complain from pain and trismus / immediate treatment consist of those procedures used to manage trismus ,if signs and symptom of trismus do not respond to treatment a course of antibiotic should be prescribe to the patient for 7 days
Systemic complication of local anesthesia
include :1 - fainting n( vaso - vagal) attack
2 -hypersensitivity or allergy to local anesthesia
3 - over dosage and toxicity
4 - drug interaction
• Fainting (vaso -vagal attack)
it is the most common systemic complication that occurs with local anesthesia in dental office, it refers to a sudden transient loss of consciousness usually secondary to cerebral ischemia . The cerebral ischemia is secondary to vasodilatation or an increase in peripheral vascular bed, with a corresponding drop in blood pressure.Collapse in the dental chair may occur suddenly and may not be accompanied by loss of consciousness in most instances these episodes are vaso -vegal attack and spontaneous recovery is usual . the patient often complains of feeling dizzy ,weak ,and nauseated ,the skin is pale, cold and slow pulse is noticed .
Predisposing factors :
The predisposing factors for this condition may be divided into two groups1 - Psychogenic factors as:
A - Fright and anxiety
B - Emotional stress
C- Pain of sudden and unexpected nature
D -Sight of blood or of surgical or other dental Instrument such as local anesthetic syringe, injection needle , etc
2 - Non - psychogenic factors as:
A - Sitting in upright position or standing for prolonged period, it leads to pooling of the blood in periphery , thereby decreasing cerebral blood flow
B -Hunger or starvation which lead to decrease cerebral blood glucose level
C -Poor physical condition
D-Hot, humid and crowded environment
Prevention :
The prevention is directed to the elimination of the predisposing factors as good preoperative assessment of the patient and his medical history, proper positioning of the patient, patient should be asked to take a light meat prior to the dental appointment, proper injection technique , use of sedation for relief of anxiety, etcManagement :
The first aid treatment should be used at once the head of the patient should be lowered quickly by adjusting the back of the dental chair so that the assume the supine position with legs elevated ,tight belt and collar should be loosened and respiration is stimulated . spontaneous recovery is usual and it Is often possible to complete the treatment at the same visit ,but if sign of recovery are not apparent within 30 - 40 second of the first aid the collapse probably is not a vaso - vagal attack the airway must be maintained ,oxygen administered and in this case medical emergency team should be asked immediately for help .• hypersensitivity or allergy to local anesthesia
This occurs due to sensitivity of some people to certain substance known as allergen ,any local anesthetic agent may cause such response , but it is more commonly seen with ester type agent ( as procaine ) than amide type (as lidocaine) , hypersensitivity reaction could be due to ;1 - local anesthetic agent
2 - vasoconstrictor
3 - Additives as bisulphate which used as preservative In general hypersensitivity reaction to Local anesthesia is very rare and represent less than 1% of all complications of local anesthesia , true allergic response to local anesthesia may be localized or generalized and it may be immediate or delayed in onset, also the allergic reactions may vary from mild skin irritation or rashes to an anaphylactic reaction, local reactions are seen more frequently than systemic and usually resolve without active treatment. if any degree of allergic reaction is observed ,it is very important to determine the actual cause ( allergen ) ,Inadequate diagnosis and treatment can be life threatening to the patient.
Prevention
Proper pre - anesthetic evaluation which include proper personal history and the past dental history, particularly history of allergy to local anesthetic agent, or history of allergy to any other drug.Management
• Hydrocortisone 100mg IV.
• Using antihistamines such as diphenydramine (allermine 20 -25 mg )
• Using epinephrine 0 .5 ml of 1:1000 1M
• Administer O2 if necessary .
• Substitution of the local anesthetic agent
Anaphylactic shock
It is rarely occurs hypersensitivity reaction of a drug, but when it occurs it is fife threatening it is sudden , often unexpected and many times proves fatal , causing death within few minutes , it may develop following administration of an antigen by any rout. it is characterize by1 - profound fall in the blood pressure
2 -dyspnea and respiratory embarrassment
3 - facial and laryngeal edema
4 -loss of consciousness
5 – urticarial
Management of anaphylaxis
-if you suspect the anaphylactic reaction occurring , immediately seek medical help the treatment must begin before BP and breathing problem become life threateningEpinephrine is the most important medication for the treatment of anaphylaxis it is given as intra muscular injection it works rapidly to make blood vessel contract , preventing them from leaking more fluid it also relax air way ,helping the individual breathe easier , relieves cramping in the GIT and stop itching , rapidly reverse the life threatening anaphylactic shock if given in time.
Even if the patient responds to the epinephrine, it is vitally important to go to an emergency room immediately .
O2 and medication may be given to improve breathing
I V fluid may be necessary to restore adequate BP.Additional medication as antihistamine to contract the effect of histamine and help in prevention of delayed allergic reaction
If the patient stops breathing start cardio pulmonary resuscitation immediately until the patient begins breathing again .
Over dosage and toxicity
It is relatively rare , a toxicity reaction can occur when the concentration of local anesthesia In circulation increases too rapidly within a short period of time as in injecting too rapidly into highly vascular area or when giving IV injection ,the toxic effect is primarily directed to the CNS and CVS because these tissues are composed of excitable membrane .
The dose necessary to induce toxicity varies among patients and is influenced by numerous factors which are:
1 - the patient general health, age. weight Age is a factor in younger and older patients , the lack of development or dysfunction of the liver and kidneys in these populations increased the level of local anesthetic in the bloodstream.
2 - Rapidity of injection
3 -Rout of administration
4 - Amount of local anesthesia administered
The patient will be with restlessness .retention of consciousness talkativeness , and agitation , which may end into convulsion along with increased BP , heart rate , respiratory rate ,and classified according to the absorption and too large total dose There are two types of drugs that can exhibit toxic reactions in dental practice which are the local anesthetic overdose and the vasoconstrictor overdoseManagement
1-stop the dental procedure2 -Position the patient supine with legs elevated 3-give reassurance to the patient4- administer 02, IV anticonvulsant, and monitor vital signs
5 - allow the patient to recover then discharge
6 -if the patient fails to recover then transfer him to a general
hospital having ICU facility.
T
h
a
n
x











