Interim Removable Partial Dentures
Dr.shanaiIt is a dental prosthesis which artificially supplies teeth and associated structures in a partially edentulous arch, made of acrylic resin and can be removed from the mouth at will. An acrylic removable partial denture consists of an acrylic resin denture base, artificial teeth, and wrought wire clasps.
An RPD which is worn during some transitional period, usually the transition from wearing an RPD to wearing a complete denture.
• Often the existing teeth are in such poor shape that you expect the transition period will be short and hesitate to put time and money into dental treatment. May also be called a“convertible” RPD.
• May be an immediate.
Types Of Acrylic Partial Denture
Temporary removable partial denture:It is a removable prosthesis used temporarily for a period of time until a more definite prosthesis can be provided.Interim removable partial denture:. A dental prosthesis to be used for a short intend of time as an artificial substitute for missing natural teeth
Transitional removable partial denture: A partial denture which is to serve as a temporary prosthesis and to which more artificial teeth will be added as more teeth are lost and which will be replaced after post-extraction and tissue changes have occurred.
Treatment partial denture: A dental prosthesis used for the purpose of treating or conditioning the tissue.
Immediate partial denture: It is prosthesis used to replace one or more teeth and is inserted on the day of extraction of teeth. It is a partial denture constructed before the extraction of unwanted teeth and is inserted immediately after this extraction.
Indication Of Acrylic Denture Base
Sake of appearance. Temporary improvement of esthetics after sudden loss of teeth, before sufficient healing has occurred to fabricate a permanent prosthesis (accident, after extractions)Maintenance of a space. Children-arches still growing, and a permanent prosthesis would not fit for long. Temporary space maintenance for missing teeth in esthetic areas (congenital, caries, trauma).
Re establishment of occlusal relationships; prevent extrusion, migration of adjacent/ opposing dentition.
interim removable partial dentures are used for the following reasons: 1) to establish a new occlusal relationship or occlusal vertical dimension; and 2) to condition teeth and ridge tissue for optimum support of the definitive removable partial denture that will follow.
Occlusal splint
Conditioning of teeth and residual ridges.Interim restoration during treatment. Large pulps may prevent the use of fixed partial dentures until a later time.
Conditioning the patient for wearing a prosthesis
A temporary restoration may be made to aid the patient in making a transition to complete dentures when the total loss of teeth is in evitable. Such a removable partial denture also may be considered a valid part of treatment, because the patient is at the same time being conditioned to wear a removable prosthesis.
It should be considered strictly a temporary measure that provides the patient with a restoration for the remaining life of the natural teeth when further restorative treatment of those teeth is impractical or economically or technically impossible. This type of a removable partial denture may be worn for prolonged periods, in the meantime undergoing revision, modification to include additional teeth lost, or relining when such becomes necessary or advisable. The dentist should agree to provide such a removable partial denture only under the following conditions: 1) that a definite fee for the treatment is appropriate and that the fee will depend on the servicing necessary; and 2) that when further wearing of the transitional denture is unwise and jeopardized the health of remaining tissue, the transition to complete dentures will proceed.
Temporary improvement of esthetics after sudden loss of teeth before sufficient healing has occurred to fabricate a permanent prosthesis (accidents, after extractions)
Transitional denture: a removable partial denture used as a transition to a complete denture when:
A- all or some teeth need to be extracted but cant be immediately (medically compromised patient).
B- patient is not psychologically prepared to loose all the teeth at one time
Treatment denture: a removable partial denture used to improve a condition before a definitive denture can be made. The types of treatment may include
A- tissue conditioning
papillary hyperplasia (massage, brushing, with or without surgery)
Acute inflammation (increase tissue adaptation and redistribute the stress)
May use the existing denture or a new treatment denture may be made
B- implant healing
A treatment RPD may be necessary for esthetics and/or function
An existing RPD or a new denture may be made
A soft liner is placed so that the fixtures can heal unloaded
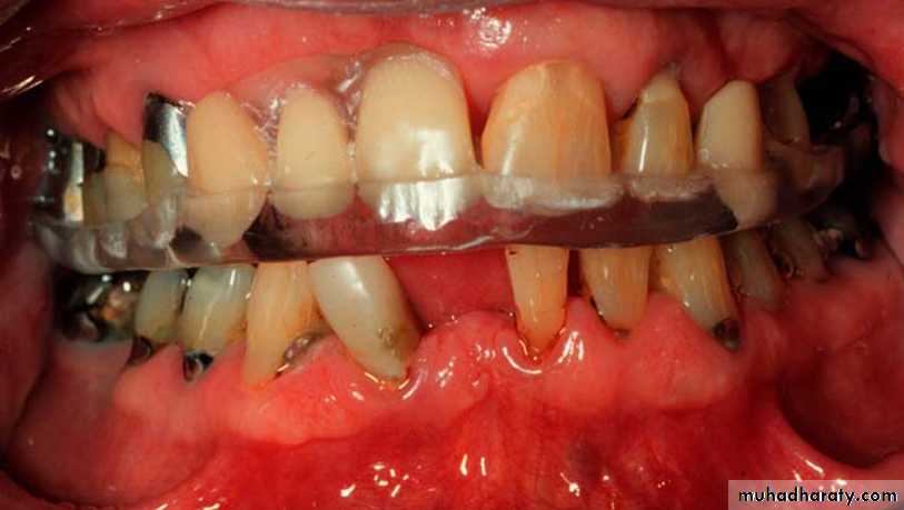
C- alteration of vertical dimension/ occlusal scheme
Important use to determine how the patient will react to the changes
May be required in order to use an occlusal splint
d. Surgical splint
After the remval of palatal tori, etc
appearance
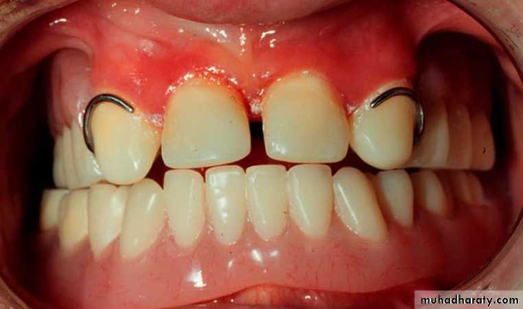
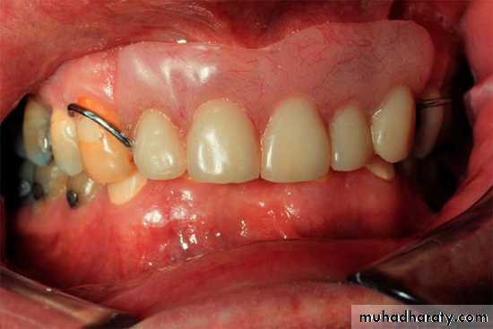
For the sake of appearance, an interim removable partial denture may replace one or more missing anterior teeth, or it may replace a several teeth, both anterior and posterior. Such a restoration is usually made of resin, which may produced by a sprinkling method, by the visible light-cured (VLC) method, or by waxing, flasking, and processing with autopolymerizing or heat polymerizing resinSpace maintenance
When a space results from recent extractions or traumatic loss of teeth, its usually practical to maintain the space while the tissue heals. In younger patients, the space should be maintained until the adjacent teeth have reached sufficient maturity to be used as abutment for fixed restorations, or so that an implant can be placed. In adult patients, maintenance of the space can prevent undesirable migration and extrusion of adjacent or opposing teeth until definitive treatment can be accomplishedReestablishing occlusal relationships
Interim removable partial dentures are used for the following reasons: 1) to establish a new occlusal relationships or occlusal vertical dimension; and 2) to condition teeth and ridge tissue for optimum support of the definitive removable partial denture that will follow.Interim removable partial dentures may be used as occlusal splints in much the same manner as cast or resin occlusal splints are used on natural teeth. when total tooth support is available, there is little difference between a fixed and a removable occlusal splint, except that a removable splint is likely to be left out of the mouth unless the patient is actually made more comfortable by its presence. This is usually true when the wearing of an occlusal splint improves a temporomandibular joint condition.
Conditioning The Patient For Wearing A Prosthesis
A temporary restoration may be made to aid the patient in making a transition to complete dentures when the total loss of teeth is inevitable. Such a removable partial denture also may be considered a valid part of the treatment, because the patient is at the same time being conditioned to wear a removable prosthesis. It should be considered strictly a temporary measure that provides the patient with a restoration for the remaining life of the natural teeth when further restorative treatment of those teeth is impractical or economically or technically impossible.This type of a removable partial denture may be worn for prolonged periods, in the meantime undergoing revision, modification to include additional teeth lost, or relining when such becomes necessary or advisable. The dentist should agree to provide such a removable partial denture only under the following conditions: 1) that a definite fee for the treatment is appropriate and that the fee will depend on the serving necessary; and 2) that when further wearing of the transitional denture is unwise and jeoparadizes the health of remaining tissue, the transition to complete dentures will proceed














