قراءة
عرض

Slides of Gyn

عملي

Normal anatomy of cervix

عملي

Normal anatomy of female reproductive sys

عملي




عملي



What is this exam : pap smear (brush and spatula)
Collect cell from endocervix and ectocervix


عملي




عملي

What is this pic: hirsutism

Define :excessive growth of terminal hair on face;chest;back or inner thighs in women following a male like pattern
If this case presented with infertility ;what is the most common cause: PCOS
How can investigate this case :
1-free testosteron :increase >200n/dl
2-LH:FSH ratio >3
3-17hydroxyprogesteron :increase
4- U/S ; CT ; MRI ; dexamethason suppr. test


عملي



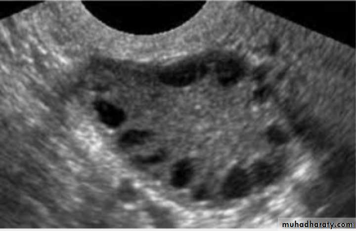
Pt. present with irregular vaginal bleeding , what is Dx? PCOS
Typical U/S finding in this case : bilateral ovaries containing multiple follicle more than 10 measure 2-9 mm diameter arranged in a neglict apperance with increase stromal thick and overian volum (>10cm3)
What other symptoms: 1-hisutims 2-infertility 3-obesity 4-acne 5-amenorrhea or oligomenorrhea
outline of tx :
-wt. reduction
-medical tx:COCP; ovulation induction:clomiphen ;tamoxifene;FSH;GnRH analogues; metformin
- Surgical tx: laparoscopic ovarian diathermy
Lab. Finding :Increase serum LH
Increase serum LH : FSH ratio
Increase serum androgen (testosterone and androstenedione)
Decrease SHBG
Increase estradiol and estrone (not measured routinely as Very wide rang of values).
Increase serum prolactin.
Increase serum insulin level.
Impaired glucose tolerance .


عملي

*laparoscopy: PCOS



عملي

U/S:PCOS

عملي

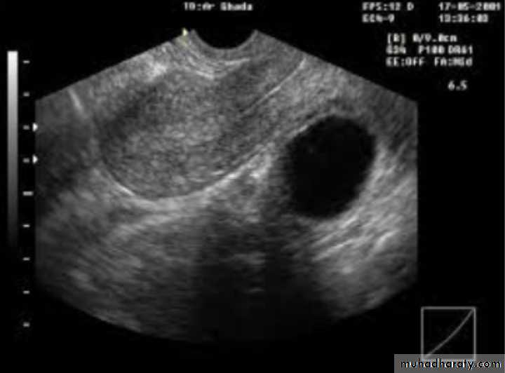
Dx: simple ovarian cyst

Description: round regular; smooth outline ;single echogenicity ;not contain blood ,contain only fluid
Tx:
-small and asymptomatic : conservative tx ;COCP
-large and symptomatic: surgical removal of cyst


عملي

Ovarian cyst

عملي



Large simple ovarian cyst
Tx only surgical removal


عملي

Dx: multilocular ovarian cyst

Risk: malignancy


عملي

PCOS

عملي

PCOS

عملي



What is this procedure : wedge resection part of surgical tx in case of PCOS


عملي

DX: prolapse(cystocele)

عملي

What is this : ring pessary

Used for : uterine prolapse for 6 month
Complications : ulceration and infection
Indication:
1-pt. wish 2-medically unfit for surgery 3-during and after pregnancy
4-childbearing not complete 5-as therapeutic test 6-while awaiting surgery



عملي



ring pessary


عملي

pessary

عملي

Prolapse type:

1-cyctocele
2-rectocele
3-uterine prolapse


عملي

Stages :

Stage1: uterus not reach introits
Stage2: uterus reach introits
Stage3:completely outside



عملي

DX: bartholin cyst

Painless swelling and unilateral
If infected >>>painful


عملي

Dx:uterine prolapse

TX:
1-tx cause of increase intra-abdominal pressure (tx of chronic cough)
2-if pt. not fit for anesthesia >>ring pessary
3-if pt. fit for anesthesia >> hysterectomy


عملي

Dx: procidentia –complete uterine prolapse(complete protrusion of uterus and vagina)



عملي

DX: Ambiguous genitalia

Most common cause : 95% congenital adrenal hyperplasia


عملي

DX: turner syndrome(45XO)

What are clinical signs :Phenotype female
1-Oedema of hand & feet
2-Short stature
3-Absent secondary sexual characteristics
4-Wide carrying angle of the arms
5-Webbed neck
6-Broad chest with widly spaced nipples


عملي



16 yrs old female presented with primary amenorrhea ;on exam doctor see this picture what is dx: imperforated hymen
Tx:1-explanation of condition and obtaining parents consent
2-cruciate incision(+) in the hymen allows drainage of retained blood with antibiotic cover.
3- girl must given a report confirm that hymen was open by surgical operation for tx.


عملي

*What is this : COCP

(it contain 21pills active* estrogen and progesterone*
+
extra 7 placebo contain ferro-folic)
*When you start give it :
Start on the 1st day of cycle ;then in the 5th day of
the next cycle and continue for 21days
*important point during hx taking before give COCP:
1-fx no.
2-family hx.
3-menstrual hx
4-any medical dis. Like HT ;DVT
*mode of action: act centrally (inhibit ovulation)
&peripherally by alter cervical mucus.



*cause of failure rate :
1-miss pills
2-low dose
3-different time of administration
4-gastroenteritis >>vomiting
5-take another drug (drug interaction)
From choosing contraception ; what is
1-cheap
2-highly effective
3-no S/E
4-rapidly reversible.
5-easily distributed
6-acceptable to all culture and religions
7- widespread availability
8-can be administer by non-health care personnel.


عملي

*What is this :progestogen-only pills(taken daily)

*Indication:
1-breastfeeding
2-older age
3-cardiovascular risk
4-DM.
5-risk of DVT



عملي

*What is this: IUD(levonorgestrel hormone-releasing)

*time of administration: day 3-5 to ensure that pt.
not pregnant and OS is patulous .
*Action of IUD in general :
Induce local inflammatory reaction in endometrium&
thicken cervical mucus in LNG-IUD.
And spermicidal + local infla. Raection in copper type.


عملي

Copper T IUD

عملي

*How to ensure that device inside uterus?

1-Location of thread
2-By U/S.
*If cannot fine the thread :
1-thread coil in
2-expulsion of device
3-perforatio
*How localized it?
1-U/S
2-abdominal X-ray
*what are complication at time of insertion :
1-infection 2-truma 3-bleeding 4-pain



عملي

LNG IUS

It last up to 10 years while
copper type lasts 5-7 yrs


عملي

Method of administration of Mirena

عملي

Method of administration of marina

عملي

Emergency contraceptive (single dose or 2 dose )



عملي

Type of mechanical contraception :condom

Effect of this contraception +protection against sexually transmitted dis.
S/E :allergy +failure if perforated


عملي

What is this : female diaphragm

عملي




عملي

Female diaphragm



عملي

Intra-dermal implant act as contraception

عملي

Intra-dermal implant act as contraception

عملي

What is this : vasectomy(permenent contraception)

It should be bilateral


عملي

What is this : tubal ligation or female sterilization

Type of permenent contraception
Bilateral also



عملي

Tubal ligation

عملي

Tubal ligation

عملي

*What is this : Depo-provera(IM)

*Type of contraception:
Depot medroxyprogesteron acetate
*Mode of administration :
IM every 3 months
S/E:
1-wt. gain 2-osteoporosis
3-delay return of fertility
4-menstrual irreg.



عملي

To measure size of testis

عملي

Name this instrument:

Cusco's self retaining bivalve vaginal speculum
Uses:
1-to take a pap smear
2-to examine the cervix and vagina
3-during curettage
4- insertion if IUCD



عملي

Cusco's self retaining bivalve vaginal speculum



عملي

Sims vaginal speculum

عملي

*This exam is pap smear (cyto-brush)

*Indication of pap smear :
For screening of malignant and
pre-malignant condition and for infection(HPV)
*What is pre-request of pap-smear :
1-avoid sexual intercourse for 2days
2-avoid vaginal douching
3-using of tampons
4-vaginal medication or cream
*Time to do pap smear : at day 12 of
menstrual cycle(5days after menstrual cycle)



عملي

Pap smear

عملي

Spatula or cyto-brush

عملي

Equipment for pap smear:

1-slide
2-cyto-brush or spatula
3- Cusco's speculum
4-gloves


عملي



Cervical ca


عملي

Dx : fibroid

Round ;regular; different in size;
white to yellow in color
Type :
1-sub mucus>>>interfere with pregnancy
2-intra-mural>>>interfere with pregnancy
3-sub-serous
Symptoms :
1-asymptomatic
2-abnormal vaginal bleeding
3- infertility
4-pain
5-pressure effect
6-spontenous abortion



عملي

fibroid

عملي

Laparoscopy :Multiple uterine fibroid

عملي


Female presented with irreg vaginal bleed ;dyspareunia ; on examination she had a fixed extroverted uterus : Dx endometriosis



عملي

Dx : endometrial carcinoma tx: hysterectomy



عملي

Precocious Puberty

عملي




عملي

FIBROID

عملي

FIBROID

عملي



Normal uterus by laparoscope


عملي

*Speculum examination

*what is the steps of doing this examination :
1-permetion
2-do in isolated place+good lightening
3-use sterile speculum
Aim od this exam :
1-to visualization of cervix any local pathology ;mass
Adnexal mass; discharge
2-to visualize the lateral vaginal wall





رفعت المحاضرة من قبل: أحمد فارس الليلة
المشاهدات: لقد قام 43 عضواً و 589 زائراً بقراءة هذه المحاضرة








تسجيل دخول

أو
عبر الحساب الاعتيادي
الرجاء كتابة البريد الالكتروني بشكل صحيح
الرجاء كتابة كلمة المرور
لست عضواً في موقع محاضراتي؟
اضغط هنا للتسجيل