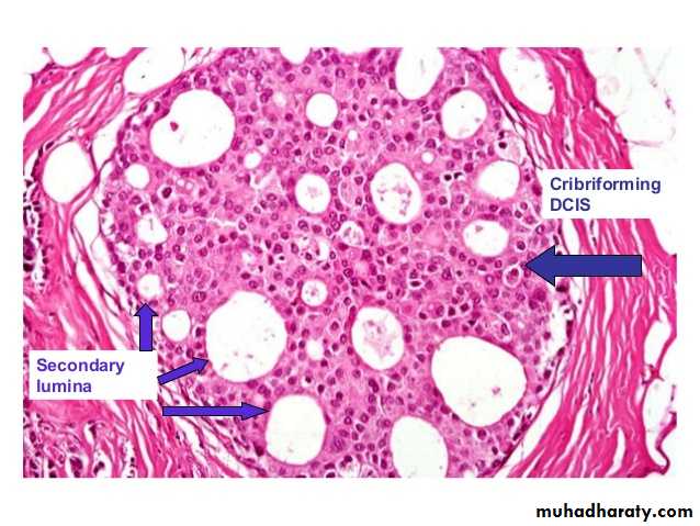
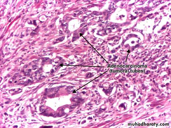
Adenocarcinoma
Its cancer of glandular secretary epithelium like pancreatic cancer or breast cancer(ductal carcinoma)_ sometimes be mixed like in squamous columnar cells junction between esophagus and stomach , its called squamousadenocarcinoma
_carcinoma insitu / its cancer that not breaking through basement membrane (still bounded)
_ Ductal carcinoma insitu (DCIS) .. is stage one of malignancy
_ histologically we see demoplastic reaction and cellular criteria of malignancy
>>>>>>>>>>>>>>>>>>>>>>>>>>>>>>>>>>>>>>>>>>>>>>>>>>>>>>
_ cytological criteria or evidence of malignancy ;-
Increased nuclear/cytoplasmic 1:1 or 2:1 ratio reflecting nuclear enlargement
Hyperchromasia (dark nuclei)
Nuclear and cellular pleomorphism
Abnormal mitosis ( sometimes as Mercedes sign )
** acute inflammation 3-5 days
Chronic inflammation 5 days – 6 months
IBD
Inflammatory bowel disease / its inflammation involves the bowel
It tow types ;-
Ulcerative colitis ( crypt abscess seen in it ) مهم
Crohns disease / from mouth to anus ,
Its can occur as oral aphthous ulcer ,
It can occur in young people,
(granuloma can be seen in it)
_ they are mostly autoimmune disease so there is no cure , is usually occur in young people (12-17years) , or can be rarely caused by bacterial infection
_ the affected colon will be red , inflamed , increase size
_ if the patient suffer from prolonged inflammation can lead to adenocarcinoma (because GIT is columnar glandular epithelium)
>>>>>>>>>>>>>>>>>>>>>>>>>>>>>>>>>>>>>>>>>>>>>>>>>>>>>>>>>>>
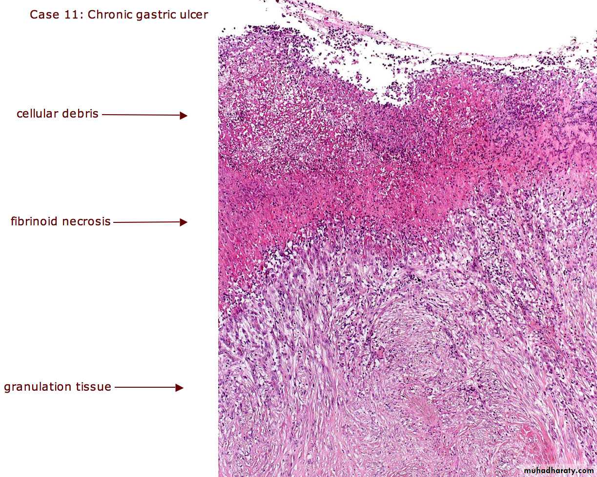
Peptic ulcer
Is perforation in mucosa of stomach and first part of duodenum_ ulcer may lead to carcinoma if prolonged and not treated , mostly gastric carcinoma
_ symptoms ;- (pain , nausea , vomoting)
_ the body will try to heal it by scarring (fibrosis)
>>>>>>>>>>>>>>>>>>>>>>>>>>>>>>>>>>>>>>>>>>>>>>>>>>>
Atherosclerosis
It is stiffeness or hardening of arteries of the body , its chronic inflammatory disease_ if it happen in the arteries that supply the brain will lead to decrease blood flow and cause strock (CVA)
_ if it happened in coronary artery can lead to myocardial infarction
_ secondary healing by fibrosis
_ causes ;-
Decrease in HDL and increase in LDL in the body and hypertension
Sedentary life style ( no exersice , consuming fast food ,lot of fried food, not eating vegtabels or fruits )
Treatment ;- by ballon or catheter (invasive therapy)
** atheroscleroting plaque consist of clot , myocyte and cholesterol
>>>>>>>>>>>>>>>>>>>>>>>>>>>>>>>>>>>>>>>>>>>>>>>>>>>>>>>>>>>
Liver cirrhosis
Its replacement of normal liver cells by necroting cells and later by fibrosis
It can be end with hepatic cancer
Types ;-1- macronodular , more than 3mm
2-micronodular , less than 3mm
3-mixed
In normal histology of liver there is no fatty cells
_Brdging fibrosis is one sign of liver cirrohosis ( well established cirrohosis)
_ jaundice is most important symptom , dark yellow(orange) skin is end stage of liver cirrhosis_ cardiac cirrhosis ,cirrhosis due to cardiac disease
_ Treatment :_
Quting alcohol drinking
No complete cure , just slowing the progression
Tratment of hepatitis B,C
Tratment of any underlying cause
Replacement of drug or chemotherpy that may cause cirrohosis
Liver transplant
>>>>>>>>>>>>>>>>>>>>>>>>>>>>>>>>>>>>>>>>>>>>>>>>>>
*** Oxygen deficiency due to decrease hemoglobin levels
** blood dyschrasia/ pathology related to blood including anemia** most common anemia is iron deficency anemia
** Hemoglobin electropherosis is the final or ultimate investigation in diagnosis of anemia مهم
** nucleated RBC occur due to premature releasing from bone marrow
Sickled cell anemia / the sickled shaped RBC will aggregate together and blocke small blood vessels , usually in hands and legs so it alwayes cause severe pain in them
There is no cure ,, the only cure is bone marrow transplant
Example / 6 years old chlid with pain in his leg , what is your diagnosis and the investigations ?
**WBC large size and hypersegmentaion of neutrophils
* pregnant woman may develop it due to increase demand
** may be seen in vegetarian people , who do not eat meat , because vitB12 mostely found in red meat
Thalassemia
** key for diagnosis is target cells in blood film** Target cells /an erythrocyte with a dark center surrounded by a light band that again is encircled by a darker ring; it thus resembles a shooting target; غير مطلوب
** there is low hemoglobin level in blood and patient suffer from jaundice
>>>>>>>>>>>>>>>>>>>>>>>>>>>>>>>>>>>>>>>>>>>>>>>>>>>>>>>
Hemangioma
Cavernous sinus hemangioma / large size
Capillary hemangioma / small size
** treatment by surgery
>>>>>>>>>>>>>>>>>>>>>>>>>>>>>>>>>>>>>>>>>>>>>>>>>>>>>>>>>>>Hints for diagnosis
Fatty changes / alcoholismLipoma / lump or swelling anywhere in the body
Tuberculosis / a persistent cough that lasts more than one month which may be bloody,chest pain , more than 50 years old patient and dyspnea and high temperature (fever)
Amyloidosis / enlargement of tongue , proteinurea ,
Calcification/ psammoma body in silde ,, bone or joint pain
Nasal polyp/ flu, rhinitis , facial apin
Psedoinflammatory colitis// antibiotic over use
Actinomycosis / prevoius surgical or dental procedure ,, or bad oral hygine ,, lumpy jaw ,, discharging sinus formation on angle of lower jaw
Syphlis / ulcer or sore ,, rash in the skin
10 – squamous cell papiloma / wart in skin or mouth ..low immunity
11-fibroadenoma/ abnormal growth in breast ,, or femal taking oral contraseptive pills , or male recivieng a cortisone injection
12- Basal cell carcinoma / male present with non healing lesion . And there is changing in color , etching and ulceration and bleeding in the lesion , he is outdoor worker and has fair skin
13-squamous cell carcinoma / mole
14-Adenocarcinoma / swelling and pain in breast
15-IBD/ rectal bleeding , aphthous ulcer in mouth , crypt ulcer in slide
16-atherosclerosis/ chest pain , sedentary life style
17-liver cirrhosis/ alcoholism , hpatitis B or C ,, bridgeing fibrosis in slide
18-anemia / palness , fatigue , breathlesness , (pain In legs or arms sickel cell anemia ) ,, no enough nutrition
19-hemangioma / red birthmark in skin







































