قراءة
عرض

HYDATID DISEASE

HYDATID DISEASEIntroduction and pathologyCommonly called dog tape worm, hydatid disease is caused byEcchinococcus granulosus. While it is common in the tropics, inthe UK, the occasional patient may come from a rural sheep farming community.

The dog is the definitive host and is the commonestsource of infection transmitted to the intermediate hosts –humans, sheep and cattle. In the dog, the adult worm reaches the small intestine, and the eggs are passed in the faeces.

These eggs are highly resistant to extremes of temperature and may survive for long periods. In the dog’s intestine, the cyst wall is digested, allowing the protoscolices to develop into adult worms.

Close contact with the infected dog causes contamination by the oral route, with the ovum thus gaining entry into the human gastrointestinal, tract.

The cyst is characterised by three layers, an outer pericystderived from compressed host organ tissues, an intermediate hyaline ectocyst which is non-infective and an inner endocyst that is the germinal membrane and contains viable parasites which can separate forming daughter cysts


Hydatid Disease



A variant of the disease occursin colder climates caused by Echinococcus multilocularis, in which the cyst spreads from the outset by actual invasion rather than expansion.


ClassificationIn 2003, the WHO Informal Working Group on Echinococcosisproposed a standardised ultrasound classification based on the status of activity of the cyst. This is universally accepted, particularly because it helps to decide on the appropriatemanagement. Three groups have been recognised:Group 1: Active group – cysts larger than 2 cm and often fertile.Group 2: Transition group – cysts starting to degenerate andentering a transitional stage because of host resistance ortreatment, but may contain viable scolices.Group 3: Inactive group – degenerated, partially or totally calcified cysts; unlikely to contain viable scolices.

Clinical featuresAs the parasite can colonise virtually every organ in the body, thecondition can be protean in its presentation. When a sheepfarmer, who is otherwise healthy, complains of a gradually enlarging painful mass in the right upper quadrant with the physical findings of a liver swelling, a hydatid liver cyst should be considered.

The liver is the organ most often affected. The lung is the nextmost common. The parasite can affect any organ or several organs in the same patient

The disease may be asymptomatic and discovered incidentallyat post mortem or when an ultrasound or CT scan is donefor some other condition. Symptomatic disease presents with aswelling causing pressure effects. Thus, a hepatic lesion causesdull pain from stretching of the liver capsule, and a pulmonarylesion, if large enough, causes dyspnoea.

Daughter cysts may communicate with the biliary tree causing obstructive jaundice and all the usual clinical features associated with it in addition to symptoms attributable to a parasitic infestation

Features of raised intracranial pressure or unexplained headaches in a patient from a sheep-rearing community should raise the suspicion of a cerebral hydatid cyst.

The patient may present as an emergency with severe abdominal pain following minor trauma when the CT scan may be diagnostic. Rarely, a patient may present as an emergencywith features of anaphylactic shock without any obvious cause.Such a patient may subsequently cough up white material that contains scolices that have travelled into the tracheobronchialtree from rupture of a hepatic hydatid on the diaphragmatic surface of the liver.

DiagnosisThere should be a high index of suspicion. Investigations show araised eosinophil count; serological tests such as ELISA andimmunoelectrophoresis point towards the diagnosis.

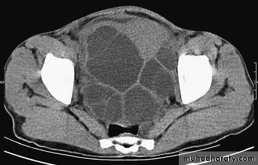
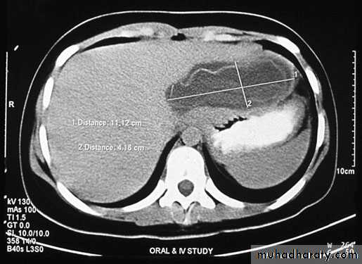
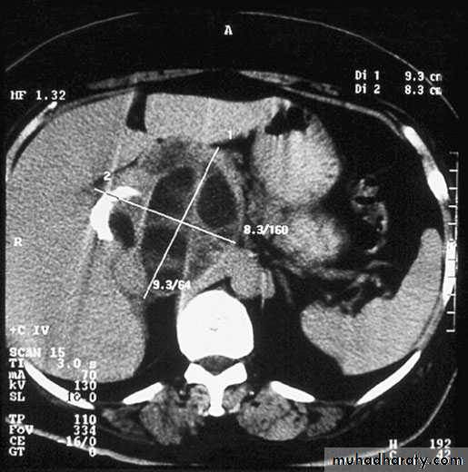
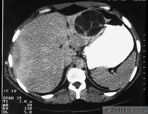
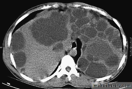
Ultrasound and CT scan are the investigations of choice. The CT scan shows a smooth space-occupying lesion with several septa .An ultrasound of the biliary tract may show abnormality in thegall bladder and bile ducts. Hydatid infestation of the biliary system should then be suspected.


Hydatid Disease





Hydatid Disease




Hydatid Disease




Hydatid Disease




Hydatid Disease



TreatmentHere, the treatment of hepatic hydatid is outlined as the liver ismost commonly affected, but the same general principles applywhichever organ is involved

Medical treatmentWhether the patient is treated only medically or in combinationwith surgery will depend upon the clinical group (whichgives an idea as to its activity), the number of cysts and their anatomical position.srart by albendazole 200mg single daily for three months .other mebendazol or praziquantel has also been used .


Surgical treatment by minimal access therapy is best summarised by the mnemonic PAIR – puncture, aspiration, injection and reaspiration. This is done after adequate drug treatment with albendazole or praziquantel .

Surical treatmentRadical total or partial pericystectomy withomentoplasty or hepatic segmentectomy (especially if the lesionis in a peripheral part of the liver) are some of the surgicaloptions. During the operation, scolicidal agents are used, such ashypertonic saline (15–20%), ethanol (75–95%) or 1% povidoneiodine, although some use a 10% solution,This may cause sclerosing cholangitis if biliary tree are in communication with the cyst wall...

A laparoscopic approach to these procedures isbeing tried.

Regarding hydatid disease, which one of the following isincorrect?a the human is an end host, which breaks thedevelopment cycle of the parasiteb initial infection occurs through the alimentary tract andis asymptomaticc the natural history of a hydatid cyst in the human isone of slow progressive growthd rupture of a hydatid cyst is a common evente most symptoms are related to pressure effects on theliver and surrounding organs

Which one of the following statements regarding themanagement of hydatid cysts is false?a extremely small cysts may be managed conservativelyprovided they are followed up to monitor growthb medical management is successful in the majority ofcasesc medical therapy is usually used to supplement surgicalinterventiond the most common surgical technique is that ofevacuation of the content and de-roofing of the cystand the placement of an omental patch in the cavity



رفعت المحاضرة من قبل: Mubark Wilkins
المشاهدات: لقد قام 8 أعضاء و 245 زائراً بقراءة هذه المحاضرة








تسجيل دخول

أو
عبر الحساب الاعتيادي
الرجاء كتابة البريد الالكتروني بشكل صحيح
الرجاء كتابة كلمة المرور
لست عضواً في موقع محاضراتي؟
اضغط هنا للتسجيل