Alveolar Process (Bone)
Bone is a specialized mineralized connective tissue, consisting of 33% organic matrix (28% type I collagen) and (5% non collagenous protein which including, osteonectin, osteocalcin, bone morphogenetic protein, bone proteoglycan, and bone sialoprotein).While the remaining 67% of bone inorganic materials consist of calcium and orthophosphate in the form of hydroxyapatite {Ca10(Po4)6(OH)2}.
COMPOSITION OF BONE
The Alveolar process :-Anatomically, the jaw (maxilla and mandible) composed from 2 parts :-
1-The alveolar bon proper.
2-The basal or body bone.
Not:-
There is no distinct boundary exists between the above 2parts.
The alveolar process is that forms and supports the socket of the teeth.
• Development of alveolar process:-
Near the end of 2nd month of fetal life, mandible and maxilla form a groove that is opened toward the surface of the oral cavity.As tooth germ starts to develop, bony septa form it starts gradually.
• *Major portion of the alveolar process begins with root formation and eruption of the teeth.
• *During rapid growth alveolar crest shows characteristics of cartilage.
Structure of alveolar process :-
As a result of its adaptation to function, two parts of alveolar process can be distinguished:-• 1-Alveolar bone proper :
• It is a thin lamella of bone that surrounds the root of tooth, this part forms the inner wall of the socket and gives attachment to the principle fibers of the PDL.• The alveolar bone proper consist of two types of bone :-
• a-bundle bone• Part of the alveolar bone where periodontal ligament fibres are inserted (attached).
• Sharpey’s fibres – principal fibres of the periodontal ligament that are embedded in the bone and cementum.
• Sharpeys fibres are seen perpendicular to the bundle bone.
• Other fibrils are less and are arranged parallel to the bundle bone surface.
• The alveolar bone proper has numerous small openings allowing blood vessels and nerves in the bone and PDL to communicate freely, that's why it's called “cripriform plate”
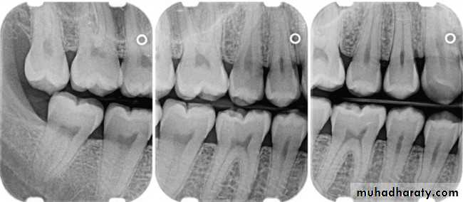
• Radiographically is more radiodense due to presence of thick bone without trabeculations and is called as “lamina dura”
• Histologically, the bundle bone contains fewer fibrils than lamellated bone, therefore it appears dark in hematoxylin and eosin stain. These fibrils are arranged at right angles to sharpey's fibers.
• b-Lamellated bone
• Its a thicker layer consist of bone lamellae which are arranged mostly parallel to the surface of the adjacent marrow spaces. Some of the lamellae form a haversian systems.• 2-The supporting alveolar bone :-
• It is the bone that surrounds the alveolar bone proper and gives support to the socket. It consist of 2 parts:-• a-Cortical plates :-
• which consist of compact bone and forms the outer (labial) and inner (lingual) plates of the alveolar process. Cortical bone varies in thickness in different areas – it is thicker in the mandible than in the maxilla and thicker in the premolar-molar region than in the anteriors.
• Histologically, the cortical plates consist of longitudinal lamellae and haversian systems.
b- Spongy bone :-
Spongy bone: it fills the area between the cortical plates and the alveolar bone proper.The spongy bone is very thin or absent in the anterior regions of both the jaws.
The spongy bone consist of :-1- bone trabecule (the spongiosa).
2-bone marrow.
1- bone trabecule (the spongiosa) :-
which can be classified according to its appearance in the x-ray film two types :-Type I:- the trabaculae are regular and horizontal arrangement in a like ladder This is seen most commonly in the mandible.
Type II:- The trabeculae are irregularly arranged, numerous and delicate. It's more common in maxilla.
2-bone marrow :-
The marrow spaces contain usually red blood cells forming hematopoietic marrow. This red marrow will be transformed into fatty marrow by age, but it persist only in the angle of the mandible.Structure of bone :-
Bone consist of cells and intercellular matrix of fibers and ground substance. Bone can be examined histologically by decalcification in the acid solution to examine cellular and organic components and it could be examined in ground bone section to examine the details of matrix structure and lacunae of the bone cells.Histologically, bone consist of cells and intercellular matrix. In developing and adult bone tissue four types of cell are seen :-
1- Osteoprogenitor cells :-
These cells are located in the deepest layer of the periosteum and lining the vascular canals of the compact bone.They are derived from mesenchymal tissue.
They have the capacity to divide and give rise to any of the other three bone cells.
Morphologically:- they resemble mesenchymal cells (pale staining large nucleus and eosinophilic).
2- Osteoblasts :-
They are the cells that form bone tissue (Found in active bone).They are derived from osteoproginitor cells.
Functions
I. Secrete the organic matrix of bone which is called (osteiod tissue) and its stained pink with H+E stain. later the osteoid tissue will be mineralized also by the osteoblast to form the bone tissue.
II. Have receptors for hormones that help regulate bone metabolism ; parathyroid hormone.
• 3-Osteocytes :-
• They are the principle cells of bone.
• It's an osteoblast trapped in bone matrix.
• The cell processes in canaliculi.
• Osteocytes maintain bone tissue and play an important role in its mineral storage.
• 4-Osteoclasts :-
• They are located on the surface of bone tissue where resorption is taking place.• The cells are multi- nucleated, large cells and are found in howships lacunae.
• Osteoclasts are derived from osteoproginator cells or probably form circulating blood cells (monocytes).
•
• Bone Resorption
• During bone resorption three processes take place :-• a-Decalcification :-
• this is achieved at the ruffled border of osteoclasts by the secretion of organic acids (citric and lactic acids) that chelate bone and by H+, which increase the solubility of hydroxyl outside the osteoclasts.
• b-Degradation of organic matrix :-
• this is achieved by the activity of cathepsin B (lysosom) acid this activity take place outside the osteoclast.
• c-Transport of the soluble products to the extracellular fluid and to the blood vascular system. The details of mechanism of transport is not yet known.
Bone Remodeling:-
Although bone is one of the hardest tissue of human body, it's biologically a highly plastic tissue. Bone is sensitive to pressure and to tension which will cause bone remodeling which means resorption in certain areas and deposition of new bone in other areas.
Bone remodeling allows the teeth to be moved orthodontically.
Bone Remodeling (4 stages):
• Resorption: recruitment, migration, and activation of osteaoclasts causing bone resorption.• Reversal: cessation of resorption and disappearance of osteoclasts by apoptosis or migration , the site becomes occupied by mononuclear cells.
• Formation: osteoblasts recruitment, migration, differentiation and formation of new bone in resorption site.
• Resting: formation of new bone ceases and the surface is lined by a flattened layer of cells.
Incremental lines of bone :-
1- Resting lines :-are smooth straight lines consist of intercellular substance with less collagen and relatively more ground substance, and because of this they stained dark blue with H+E stain, they represent the resting period of the osteoblast during bone formation.
2- Reversal lines :-
They are lines that stain dark like the resting lines, reversal lines are scalloped, not smooth, They represent the out line of how ship's lacunae with their convexity toward the old bone. following bone resorption, new osteoblast differentiation and deposited bone tissue leaving these lines separating between old and new bone.
Age changes in alveolar bone:-
Brittleness due to decreased water content.Sponge bone become thin trabecula, wide marrow spaces.
Red bone marrow become fatty
Osteoporosis.
With loss of teeth and resorption of alveolar ridge mental foramen become very close.
Blood Supply:- It receive blood supply from inferior and superior alveolar arteries for mandible and maxilla
Nerve Supply:-
Labial aspect of maxillary incisors, canines & premolars is innervated – (superior labial branches from the infraorbital nerve).Buccal aspect of maxillary molar regions innervated (branches from the posterior superior alveolar nerve).
Palatal aspect by greater palatine nerve, except for incisor which is innervated by (long sphenopalatine nerve).















