Masticatory Mucosa
1-PalatePalate Lies in the roof of the oral cavity.
It separates the oral cavity from the nasal cavity.
Has two parts:
Hard (bony) palate anteriorly
Soft (muscular) palate posteriorly
• Various regions in the hard palate can be recognized due to the absence or presence of submucosa, and the varying structures of the submucosa Shows transverse ridges in the anterior parts.
• Lies in the roof of the oral cavity
• Formed by:
• Palatine processes of maxillae in front.
• Horizontal plates of palatine bones.
Hard Palate
movable muscular fold suspended from post border of hard palate
Separates nasopharynx from oropharynx
Traffic controller
2surfaces, 2borders, 2 folds of mucous membrane.
Composed of: Muscle fibers, Lymphoid tissue, Glands, Blood vessels, nerves.
Soft Palate
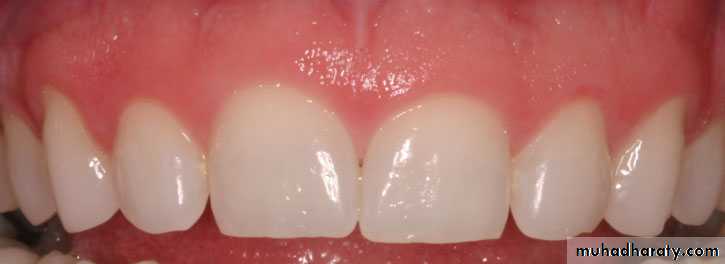
2-Gingiva
Its another example of masticatory mucosa.
It extends from the dentogingival junction to the alveolar mucosa.
Its subjected to the friction and pressure of mastication.
Clinically the normal healthy gingiva looks pink in color, also the surface of healthy gingiva ( attached gingiva ) shows a characteristic pitting called stippling ( portions of epithelium appears to be elevated, and between the elevations there are shallow depressions), this phenomena disappear where there is gingivitis ( inflamed gingiva ) due to the presence of adema, so usually the inflamed gingiva shows red, smooth & edematous.
• The gingiva can be divided into:-
• Free gingiva.• Attached gingiva.
• Interdental papilla.
• Histologiaclly the gingiva composed from surface epithelium and Lamina properia. The Epithelial part presented with three types as follows:-
• Keratinized (orthokeratinized) in 15%.
• Parakeratinized in 75%.
• Nonkeratinized in 10%.
• Lamina properia of the gingiva, it consist of a dense c.t. that doesn’t contain large vessels, these dense fibers are collagen and sometimes referred to as gingiva ligament.
• The gingiva ligament divided into the following:-
• Dentoginival fibers: which extend from cervical cementum into the Lamina properia of the gingiva.
• Alveolo-gingival fibers:- the fibers arise from the alveolar crest extended to the Lamina properia.
• Dentoperiosteal fibers:- arising from the root and passing over the alveolar crest to be inserted into the periosteum.
d.Transseptal fibers:- they passing horizontally from the root of one tooth above the alveolar crest to be inserted into the root of the adjacent tooth.
e.Circular fiber: a small group of fiber that circle the tooth and interlac with other fibers.
The Mucogingival Junction:-
It separates the attached gingiva from the alveolar mucosa.It identified clinically by the change from the bright pink of the alveolar mucosa to the paler pink of the gingiva.
• Specialized mucosa:-
This type of mucosa covering the dorsal surface of the tongue.The connective tissue binds the epithelium to the underlying skeletal muscle.
The epithelium is stratified, keratinized, covered with papillae, which can be seen by naked eye, Some of them possess a mechanical function, whereas other taste buds and therefore have a sensory function.
The anterior part of the tongue bearing a numerous, fine pointed, cone shaped papillae, these projection called the filiform papillae, the covering epithelium is keratinized, this type of papillae don’t contain taste bud.
• fungiform papillae (mashroom-shaped papillae) are scattered between the filiform papillae, they contain a few taste bud about ( 1–3 ) on their superior surface.
In front of the dividing V-shaped terminal sulcus, between the body of the tongue and its root, circumvallate papillae the epithelium contains numerous taste buds (8-10) .












