Stomach & duodenum
Barium meal Fluoroscopy + spot films Preparation
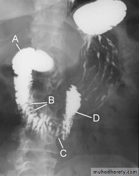
The Normal Anatomy of Stomach1- Shape.2-Size.3-Site.4-Anatomical parts.5-Mucosal pattern.
Normal Anatomy of DuodenumDuodenal cap.Duodenal loop
Hypertrophic pyloric stenosisCause:A. Congenital typeB. Adult type
Epidemiology
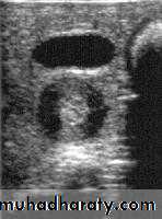
Pyloric stenosis is relatively common and has a male predilection (M:F ~ 4:1), and is more commonly seen in Caucasians 4. It typically occurs between the 4-8 weeks of life. There may be a positive family history. Incidence of hypertrophic pyloric stenosis is approximately 2-5 per 1,000 births per year in most white populations,Hypertrophic pyloric stenosis refers to idiopathic thickening of gastric pyloric musculature which then results in progressive gastric outlet obstruction
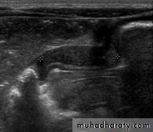
In a normal situation, the pyloric muscle thickness (diameter of a single muscular wall on a transverse image) should normally be less than 3 mm (most accurate 3) and the length (longitudinal measurement) should not exceed 15 mm.




























