Al-Mustansiriyah University
College of Medicine - Department of MedicineDivision of Radiology
HOW TO READ AN ABDOMINAL X-RAY
DR. ABDULLATEEF AL-BAYATITeaching Board Member
CABMS-RAD
2
PRINCIPLE
Indications
Suspected intestinal obstructionPerforation of the gastrointestinal tract
Follow-up of urinary tract calculi
Foreign bodies due to penetrating injuries or ingestion
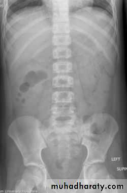
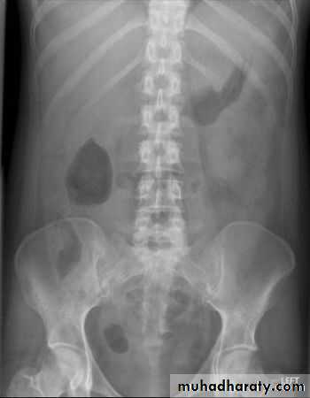
How to look at a plain abdominal film
• Analyze the intestinal gas pattern• Identify any dilated portion of the gastrointestinal tract
• Look for gas outside the lumen of the bowel
• If there are any calcifications, try to locate exactly where they lie
• Assess the size of the liver and spleen
• Look for ascites and soft tissue masses in the abdomen and pelvis
Positioning
• Supine AP
• Erect AP
• Lateral decubitus
The main purpose of horizontal beam films is to detect air-fluid levels and free intraperitoneal air
RADIOGRAPHIC ANATOMY
Intestinal gas pattern
Relatively large amounts of gas are usually present in the stomach and colon.The stomach can be readily identified by it's location, gastric rugae in the supine view and by the air fluid level beneath the left hemidiaphragm in the erect view
The duodenum often contains air and show a fluid level
Short fluid levels in the small and large bowel are normal.
CONTRAST EXAMINATIONS OF GIT
Imaging techniques – general principlesWhy Barium sulphate?
• excellent opacification• good coating of the mucosa
• completely inert.
Disadvantages:
• solidify and impact proximal to a colonic or rectal stricture.• severe inflammatory peritonitis if there is a barium leak from the bowel.
Indication of water-soluble contrast medium, such as Gastrografin:
• Perforations
• Anastmotic leaks
• SB obstruction is suspected
• In specific circumstances in paediatric patients.
Disadvantages:
• It is hypertonic & soon become diluted• It is an irritant if enter the lungs.
• It is less radio-opaque than barium.
Technical notes:
• Fluoroscopic control.• Smooth muscle relaxant.
• Single or double contrast
Basic descriptors
Mucosal pattern : the normal mucosa of stomach and SB is thrown into folds, whereas mucosa of colon and rectum is smooth. Diseased mucosa may be abnormally smooth or abnormally irregularUlceration: an ulcer is a breach of a mucosal surface that becomes visible when the crater contains barium.
Filling defect: is a term used to describe any process which prevents the normal filling of the lumen.
• Intraluminal filling defect e.g. food is surrounded by barium
• Intramural filling defect e.g. carcinoma caused indentation on the lumen
• Extramural filling defect compressing the lumen from outside e.g. enlarged LN
Stricture: is a circumferential narrowing. It may have tapering ends or it may end abruptly and have overhanging edges (shouldering) which indicate malignancy
Diverticulum
Contour changes
Barium swallow
• Its contrast examination of the esophagus.
• Barium swallow is a relatively simple and noninvasive investigation in which the patient is asked to swallow liquid barium and images are obtained as it passes through the esophagus.
Indications for barium swallow include:
• Dysphagia.• Swallowing disorders in the elderly following stroke or central nervous system and trauma
• Suspected gastro-esophageal reflux
• Post-esophageal surgery.
• Barium is usually used, although for checking perforation or integrity of surgical anastomoses a water-soluble material such as Gastrografin is preferable.
• Gastrografin should not be used if pulmonary aspiration is suspected as it is highly osmolar and may induce pulmonary edema if it enters the lungs.
Barium examination
Technique of examination.Normal anatomy:
straight parallel lines.
External impression.
Barium meal
• It is contrast examination of the stomach and duodenum.
• Barium meal has generally been replaced by endoscopy for the investigation of upper gastrointestinal tract (GIT) symptoms such as dyspepsia, suspected upper GIT bleeding, weight loss or anemia of unknown cause.
• Water-soluble contrast material (Gastrografin) is used for assessment of anastomoses post-gastric surgery, including various surgical procedures used for control of obesity, such as gastric banding, sleeve gastrectomy and Roux-en-Y gastric bypass.
Barium follow-through
• Its contrast examination of the small bowel.
• The indications are:
1. inflammatory bowel disease (crhon's)2. suspected stricture
3. malabsorption
4. enterocutaneous fistula
5. malrotation
6. post-small bowel resection
• The patient drinks a quantity of barium or Gastrografin and images are acquired until the contrast material either reaches an obstruction or enters the large bowel.
Normal appearance of the small bowel
• The normal SB occupies the central & lower abdomen.• The terminal ileum enters the medial aspect of the cecum through the ileocecal valve.
• Normal mucosa exhibit a feathery appearance [Valvulae conniventes].
• The diameter of SB loop should not exceeds 3 cm .
• Jejunum is wider than the ileum.
• Valvulae conniventes is conspicuous at jejunum more than the ileum.
•
Small bowel enema (enteroclysis)
• For enteroclysis, a nasogastric tube is passed into the stomach and with the aid of a steering wire is then guided through the duodenum to the duodenojejunal flexure.
• A mixture of barium with either water or methyl cellulose is injected rapidly through the tube into the small bowel giving a double-contrast effect.
• Enteroclysis has largely been replaced in modern practice by CT or magnetic resonance (MR) enterography, as well as a variety of endoscopic techniques including wireless capsule enteroscopy, push enteroscopy, and double- and single-balloon enteroscopy.
Barium enema
• It is examination of the large bowel.
• The indications including altered bowel habit, weight loss or anemia of unknown cause, lower GIT bleeding, and to screen for the presence of colorectal carcinoma or polyps in patients at risk.
• Barium enema has been replaced with colonoscopy
• where colonoscopy is contraindicated or incomplete, imaging assessment of the large bowel is best performed with CT colonography, also known as virtual colonoscopy.
• Contrast enema studies may be performed for investigation of suspected large bowel pathology in specific circumstances or where colonoscopy and CT colonography are unavailable.
• Single contrast enema studies with Gastrografin may be useful to outline and define a suspected large bowel obstruction, to define a suspected perforation or to check surgical anastomoses.
• Single contrast barium enema with dilute barium may be used in children for the diagnosis of large bowel pathology, such as Hirschsprung disease.
• Barium enema is contraindicated in the presence of acute colitis and toxic megacolon. Complications are very rare and consist of bowel perforation and transient bacteremia.
• Patients with artificial heart valves should receive antibiotic cover when having a barium enema.
Barium enema



















