عملي 1 pptx - عملي
دخول
الرئيسية
المحاضرات
البحث
اختبرني
مكتبة علوم
تطبيقات
المترجم الطبي
أشعة
عملي 1
رقم المحاضرة:
1
بتاريخ
2017-10-08
أشعة
-
عملي
الجامعة المستنصرية
>
كلية طب المستنصرية
>
المرحلة الخامسة
مواضيع المحاضرة:
قراءة
عرض
• Projection: PA, LAT, AP, Decubitus, oblique
• Respiration: inspiratory vs. expiratory.
• Position: erect vs. supine
• Rotation:
• Exposure:
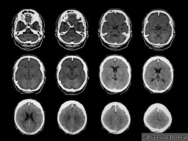
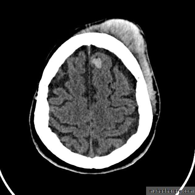
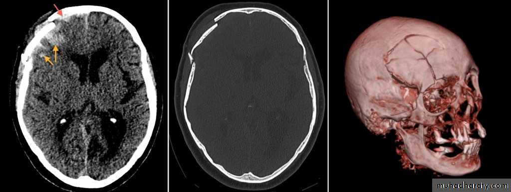
Common CT findings of traumatic brain injury
رفعت المحاضرة من قبل:
Ahmed 95
المشاهدات: لقد قام 40 عضواً و 368 زائراً بقراءة هذه المحاضرة
تسجيل دخول
أو
عبر الحساب الاعتيادي
الرجاء كتابة البريد الالكتروني بشكل صحيح
البريد الالكتروني
الرجاء كتابة كلمة المرور
كلمة المرور
دخول
لست عضواً في موقع محاضراتي؟
اضغط هنا للتسجيل