Al-Mustansiriyah University
College of Medicine - Department of MedicineDivision of Radiology
IMAGING OF DYSPHAGIA
DR. ABDULLATEEF AL-BAYATITeaching Board Member
CABMS-RAD
3
• Stricture: benign and malignant / causes / specific location
• Filling defect: types and causes• Diverticulum: types and causes
• Ulcer: benign vs. malignant/ size
• Mucosal alteration
• Contour changes: physiological vs. pathological
• Dilatation: obstructive vs. non-obstructive
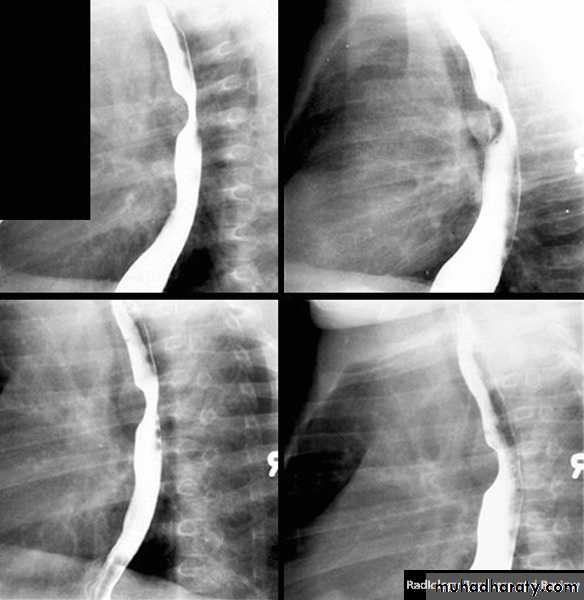
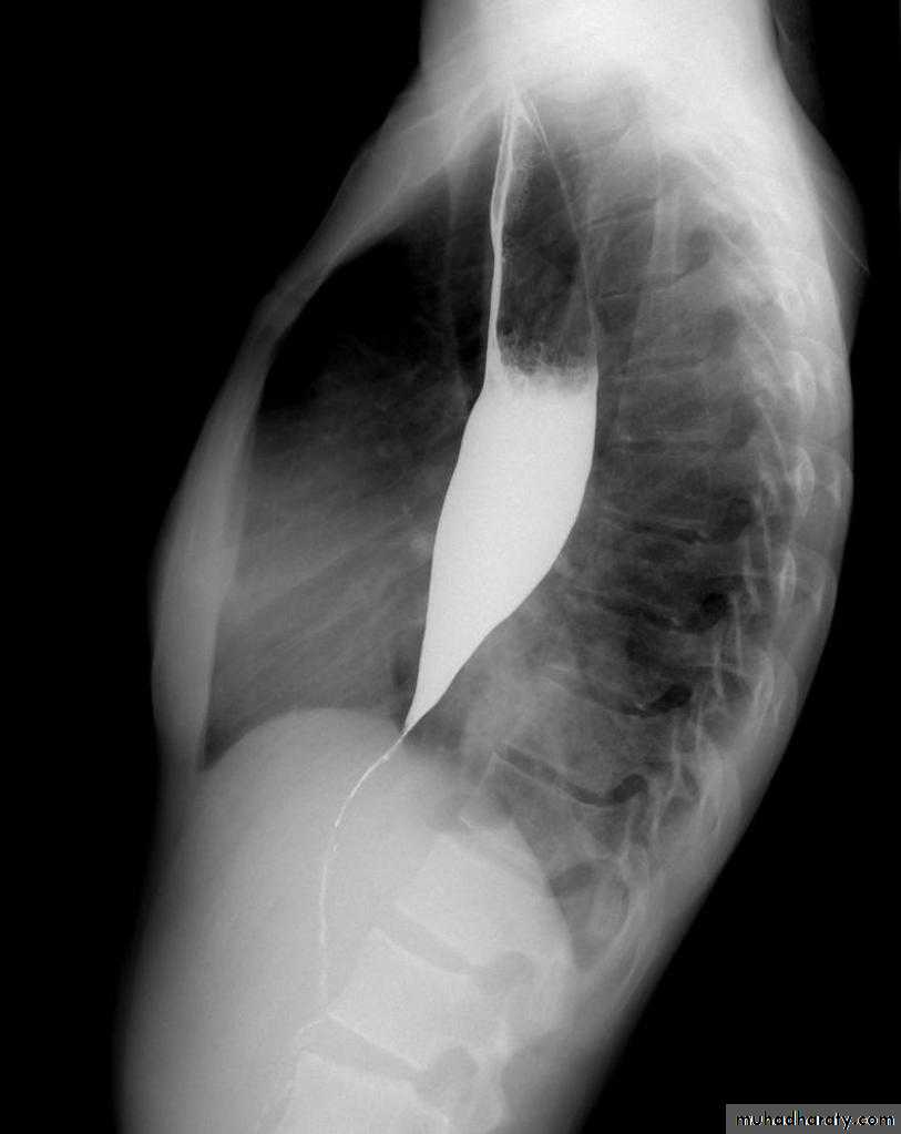
Stricture
Benign vs. malignant Causes Specific locationContrast study EUS CT
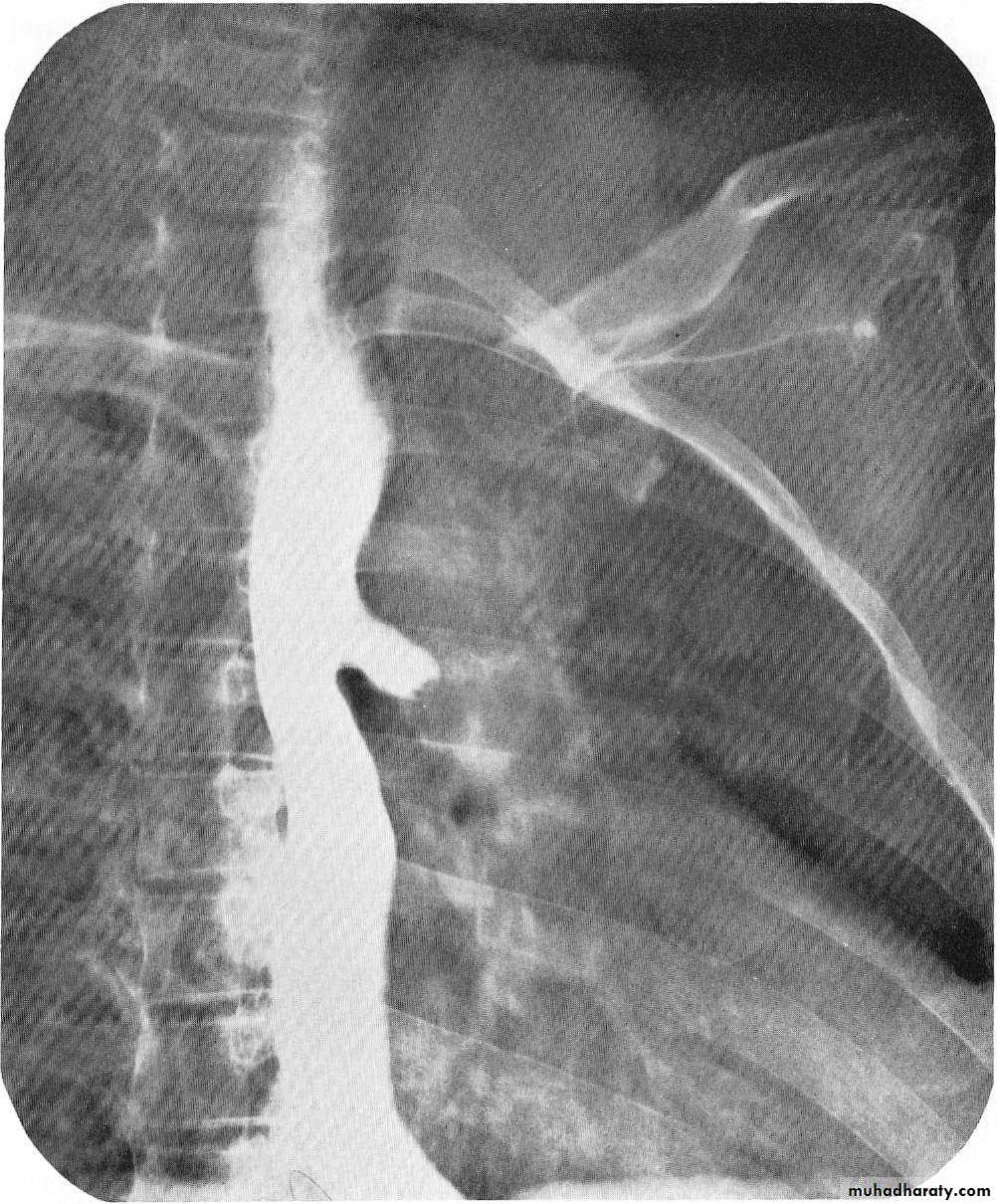
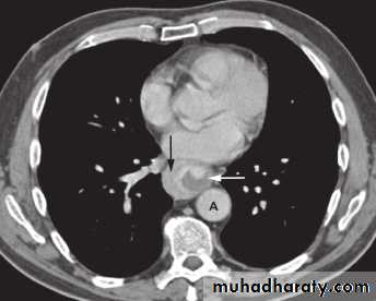
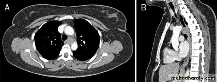
Filling defect
Types Causes Specific TypeIntra-luminal
Filling defect
Types Causes Specific TypeIntra-mural
Filling defect
Types Causes Specific TypeExtra-luminal
Filling defect
Types Causes Specific TypeSpecific type
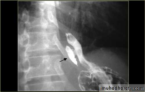
Diverticulum
Types Causes Specific TypeUlcer
Types CausesContour changes
Causes
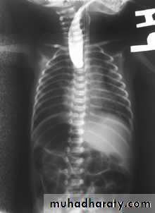
Dilatation
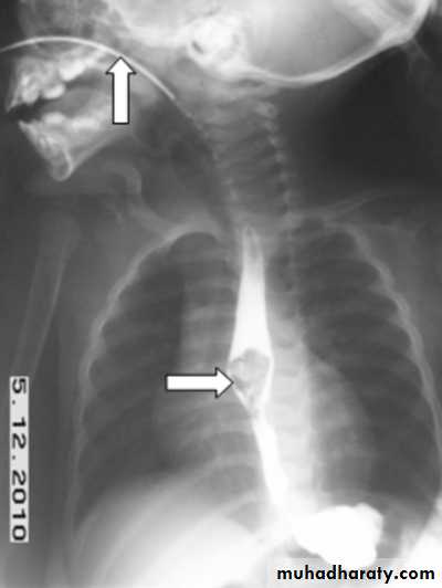
CausesEsophageal atresia
Types:• isolated atresia 8%
• Proximal fistula with distal atresia 1%
• Proximal atresia with distal fistula 85%
• Double fistula with intervening atresia 1%
• Isolated fistula [H-type] 4%






































