Urinary tract radiology
Congenital anomalies of the urinary tractد- نجلاء حنون
LEC. 3Bifid collecting systems
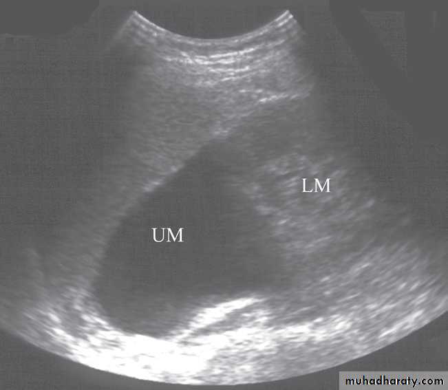
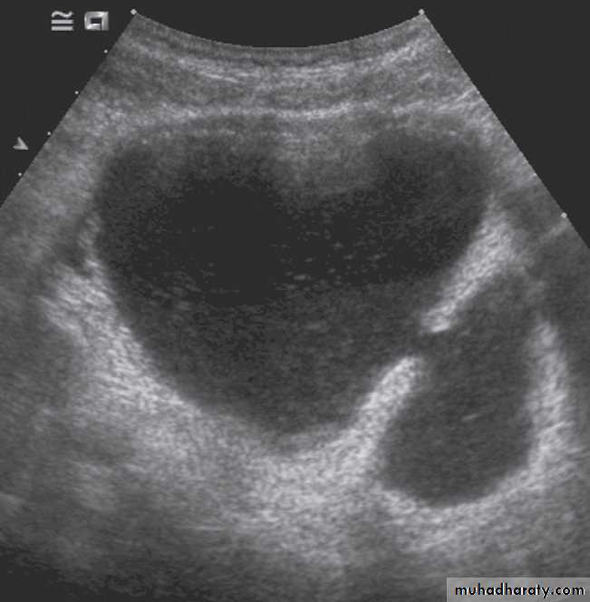
Bifid collecting systems are the most frequent congenital variations. The condition may be unilateral or bilateral. The two ureters may join at any level between the renal hilum and the bladder or may insert separately into the bladder.The ureter draining the upper moiety may drain outside the bladder, e.g. into the vagina or urethra, producing incontinence if the opening is beyond the urethral sphincter. Such ureters, known as ectopic ureters, are frequently obstructed and lead to dilatation of the entire moiety; the dilated lower ureter may prolapse into the bladder, forming a ureterocele. The ureterocele causes a smooth filling defect in the bladder on IVU, and on ultrasound may be seen as a cystic structure within the bladder at the position of the vesicoureteric junction.
Ectopic kidney
During fetal development the kidneys ascend within the abdomen. An ectopic kidney results if this ascent is halted. They are usually in the lower abdomen and rotated so that the pelvis of the kidney points forward. The ureter is short and travels directly to the bladder. In some cases, both kidneys lie on the same side of the pelvis and are fused.Horseshoe kidney
The kidneys may fail to separate, giving rise to a horseshoe kidney. Almost invariably it is the lower poles that remain fused .Inherited cystic disease of the kidneys
There are many varieties of cystic renal disease varying from simple cysts, which may be single or multiple, to complex renal dysplasias. The most frequent complex dysplasia encountered in clinical practice is autosomal dominant polycystic kidney disease.Renal agenesis
In renal agenesis, the opposite kidney, providing it is normal, will show compensatory hypertrophy. Complete absence of blood flow and function on the affected side will be shown on radionuclide studies, and no renal tissue can be identified with ultrasound or CT examinationBladder disorders
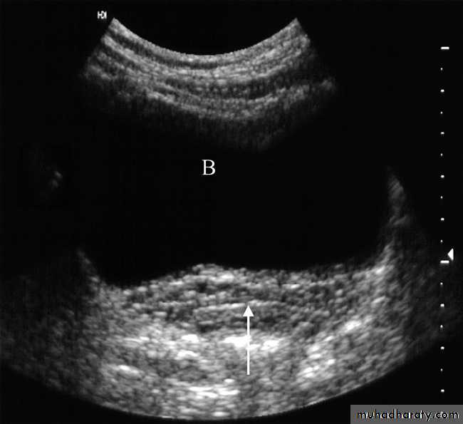
The bladder is well demonstrated on all imaging modalities. At ultrasound, the simplest routine method of imaging, the bladder lumen should be free of echogenic structures and its wall should be of uniform thickness .Bladder tumours
The bladder is the most frequent site for neoplasms in the urinary tract . Almost all are transitional cell carcinomas of varying degrees of malignancy.On ultrasound examination
bladder tumours are seen as soft tissue masses protruding into the fluid-filled bladder or as localized bladder wall thickening, . On rare occasions, there is visible calcification on the surface of the tumour, but the technique is poor for detecting extravesical spread.
IVU is less sensitive than ultrasound in detecting small bladde masses The main role of urography is todemonstrate any other lesions in the upper tracts (pelvicalicealsystems and ureters), as transitional cell carcinomasare often multifocal.
Cystoscopy is the best method for detection The nature and extent of a tumour in the bladder .
On CT and MRI, a bladder tumour is seen as a soft tissue mass projecting from the wall or a focal thickening of the bladder wall . As the diagnosis is best established by cystoscopy and biopsy, the roles of CT and MRI are to stage the tumour. CT and MRI can determine the spread of tumour beyond the bladder wall and assess lymph node involvement .
Bladder diverticula
Bladder diverticula may be congenital in origin but are usually the consequence of chronic obstruction to bladder outflow. Because of urinary stasis, diverticula predispose to infection and stone formation and tumours may, on occasion, arise within them. Most diverticula fill at urography and cystography. They are readily demonstrated at ultrasound, CT and MRI. When large, diverticula may deform the adjacent bladder or ureterBladder calcification
Calculi are the most frequent cause of calcification in the bladder. Such calculi may be large and laminated.Calcification in the wall of the bladder is rare. When seen,it is usually due to schistosomiasis or bladder tumour.
Neurogenic bladder
There are two basic types of neurogenic bladder :
1.The large, atonic, smooth-walled bladder with poor or absent contractions and a large residual volume.
2.The hypertrophic type, which can be regarded as neurologically
induced bladder outflow obstruction. In this condition, the bladder is of small volume, has a very thick, grossly trabeculated wall and shows marked sacculation .
Trauma to the bladder and urethra:
2 types of bladder rupture seen according to type of truma :1.Intraperitoneal bladder rupture caused by A direct blow to the distended bladder: contrast introduced into the bladder will leak out into the peritoneal cavity.
2.Extraperitoneal rupture of the bladder may be part of an extensive injury such as occurs with fractures of the pelvis. A common site of rupture is at the bladder base, in which case the bladder shows elevation and compression from extravasated urine and haematoma.
Cystography remains the best way of demonstrating the actual site of leakage from the bladder . If there is any suspicion of associated damage to the urethra, an ascending urethrogram with a water-soluble contrast medium may show rupture of the urethra with exravasation of contrast medium into the adjacent tissues. The urethrogram should be performed before passing the catheter into the bladder for the cystogram.
Computed tomography may
demonstrate fresh haematomas
within the pelvis (which are of
high density) or urine collections
(which are of low density). It also
demonstrates the associated
fractures, some of which may not
be apparent on plain radiographs.
Prostate and urethra disorders (Prostatic enlargement)
Prostatic enlargement is very common in elderly men. It is usually due to benign hypertrophy but may be due to carcinoma.Prostatic ultrasound uses a
transducer designed to be
introduced into the rectum.
Transrectal ultrasound (TRUS)
can show the overall size of the
prostate and can diagnose
relatively small masses within
its substance .
Computed tomography does not demonstrate the internal structure of the prostate , so of little value in evaluation prostatic lesion .
Magnetic resonance imaging is best imaging modality for staging , used to assess early stage prostate cancer in patients being considered for radical surgery or radiotherapy. Tumour in the peripheral zone is seen as a relatively low signal mass within the normal high signal of the peripheral zone on T2-weighted images.
MRI is used to demonstrate extracapsular tumour spread, to show invasion of the seminal vesicles, and to demonstrate possible lymph
node metastases .
Prostatic calcification
Prostatic calcification is due to numerous prostatic calculi.It is so common that it can be regarded as a normal finding in older men, and shows no correlation with the symptoms of prostatic hypertrophy nor any relation to prostatic carcinoma. Flecks of calcification of varying size, approximately symmetrical about the midline, are seen just inferior to the bladder.Bladder outflow obstruction: causes of obstruction
1.Enlargement of the prostate is The most frequent cause of bladder outflow obstruction.2. Bladder tumours.
3.Urethral strictures.
4. In male infants or boys, posterior urethral valves.
5.Patients with neurological deficit may have neurogenic obstruction to bladder emptying.
Regardless of the cause, ultrasound can demonstrate all the imaging signs of bladder outflow obstruction:
• Increased trabeculation and thickness of the bladder wall, often with diverticula formation.
• Residual urine in the bladder after micturition.
• Dilatation of the collecting systems.
Urethral stricture
The majority of urethral strictures are due to previous trauma or infection. Post-traumatic strictures are usually in the proximal penile urethra – the most vulnerable portion of the urethra to external trauma. Such strictures are usually smooth in outline and relatively short.
Inflammatory strictures, which
are usually gonococcal in origin,
may be seen in any portion of
the urethra, but are usually
found in the anterior urethra.
Urethral strictures are imaged
by
urethrography .
Posterior urethral valves
Congenital valves in the posterior urethra in boys are the commonest cause of bladder outflow obstruction in male children. The diagnosis may be first suspected at antenatal ultrasound, when there is bilateral hydronephrosis. After birth, ultrasound confirms bilateral hydronephrosis and hydroureters and a thick-walled bladder. Urethral valves cannot bedemonstrated by retrograde
urethrography as there is no
obstruction to retrograde flow
but they are easily demonstrated at
micturating cystourethrography
Scrotum and testes disorders
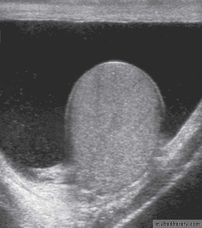
The scrotal contents are usually imaged with ultrasound, but MRI is occasionally used. The two main indications for scrotal ultrasound are 1.Scrotal swelling 2. Scrotal pain.In patients with scrotal swelling, it is essential to differentiate between an intratesticular cause, such as suspected testicular tumour, and an extratesticular cause, such as varicocele, hydrocele or infection (such as epididymitis or epididymo-orchitis) .
Doppler ultrasound can be used for patients with acute testicular pain and/or swelling to distinguish between testicular torsion, in which testicular perfusion is dramatically decreased, and acute epididymitis/orchitis, in which testicular perfusion is normal or increased.
Magnetic resonance imaging can produce highly detailed images of the scrotal contents but is only used in rare cases where ultrasound does not provide sufficient information.
Ectopic testis in the inguinal canal, the commonest site, can be diagnosed by ultrasound. In those few cases where the ectopic testis lies within the abdomen, or where the ultrasound is inconclusive, MRI is the investigation of choice .



























