Imaging in Acute Stroke
• Role of CT and MR in patients with stroke• Early CT and MR signs of infarction
• How to identify patients with tissue at risk for guidance in selecting the appropriate therapy
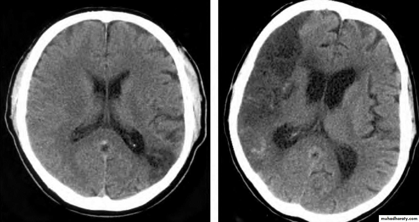
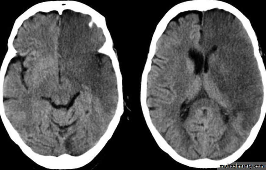
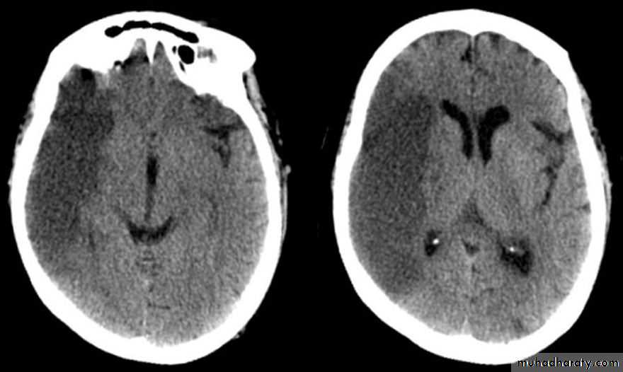
The goal of imaging in a patient with acute stroke is:
• Exclude hemorrhage• Differentiate between irreversibly affected brain tissue and reversibly impaired tissue (dead tissue versus tissue at risk)
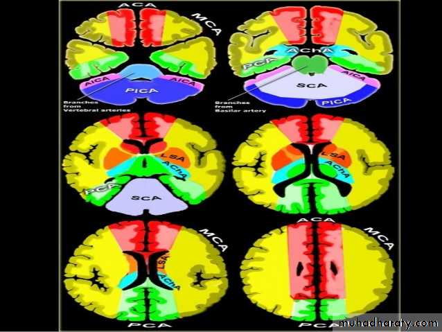
• Identify stenosis or occlusion of major extra- and intracranial arteries































































