Glands
An organ in the human and animal's body that synthesizes substances i.e. hormones for release into the bloodstream(endocrine gland) or into cavities inside the body or its outer surface (exocrine gland).1
Classification of Glands
(1). According to number of cells they:A. Unicellular: Goblet cells in GIT; Pancreatic
cells (endocrine).
B. Multicellular: Exocrine part of pancreas; Salivary glands.
2
Development of glands
Every gland is formed by an ingrowth from an epithelial surface. This ingrowth may at the beginning possess a tubular structure, but in other instances glands may start as a solid column of cells which subsequently becomes tubulated.3
.
As growth proceeds, the column of cells may divide to form a compound gland.
In many glands, the number of branches is limited, in others (salivary, pancreas) a very large structure is finally formed by repeated growth and sub-division.
As a rule, the branches do not unite with one another, except in liver, when a reticulated compound gland is produced.
In compound glands the more typical or secretory epithelium is at the terminal portion of each branch, and the uniting portions form ducts and are lined with a less modified type of epithelial cell.
4
Glands are classified according to their shape
If the gland retains its shape as a tube throughout it is termed a tubular gland.
In the second main variety of gland the secretory portion is enlarged and the lumen variously increased in size. These are termed alveolar or saccular glands.
5
Upon their functions
(1). Endocrine glandsThey secrete substances that circulate through the blood stream via the basal lamina into the blood stream and lack a duct system. These glands often secrete hormones, and play an important role in maintaining homeostasis. The pineal gland, thymus gland, pituitary gland, thyroid gland, and the two adrenal glands are all endocrine glands.
6
Exocrien glands
Secrete their products through a duct onto an outer surface of the body, such as the skin or the gastrointestinal tract.Secretion is directly onto the apical surface.
7
Some of the various possible glandular arrangements. These are the simple tubular, simple branched tubular, simple coiled tubular, simple acinar, and simple branched acinar glands.
8
Simple coiled tubular gland in the skin
9Some of the various possible glandular arrangements. These are multicellular glands: compound tubular, compound acinar, and compound tubulo-acinar glands.
10
Multicellular glands
11
Types of unicellular glands
12The glands in this group can be divided into three groups upon mode of secretion:
(1). Apocrine glands: a portion of the secreting cell's body is lost during secretion. It is often usedto refer to the apocrine
sweat gland
13
Holocrine glands
The entire cell disintegrates to secrete its substances (e.g., sebaceous glands), meibomian and zeis glands.14
Merocrine
Cells secrete their substances by exocytosis e.g., mucous and serous glands. Also called "eccrine". e.g. goblet cells, salivary gland, tear gland, intestinal glands.15
Comparison of mode of secretion
16Types of glands upon secretion texture
17Simple Columnar Epi T.
Microvilli extend from the apical surface of epithelial cells into the intestinal lumen.They increase surface area by
a factor of ~20 and thereby
facilitate absorption.
Together, the microvilli are
visible as a light red band
along the apical limit of the
epithelium, i.e. the side of the
epithelium facing the lumen of
the intestine. This band is called
the brush border.
18
A ciliated pseudostratified columnar epithelium with goblet cells is a characteristic feature of parts of the respiratory system, where it is called respiratory epithelium. It contains several cell types in addition to ciliated, goblet and basal cells.
19
Goblet cells in GIT
20
Simple tubular gland in GIT
The glands extend from the surface of the colon into the underlying connective tissue. The lumen of the glands is narrow and surrounded by secretory cells of several types, which include goblet cells. The Co.T beneath the epithelium and surrounding the glands in the colon contains more cells than the connective tissue beneath other epithelia that were considered on this page.21
.
22
An exocrine pancreas is a complex tubular network. The point of this drawing is that pancreatic acini are not arranged in clusters like grapes at the ends of a branching duct system but rather as an anastomosing tubular network that at some termini form classic acini. Centroacinar cells are typically located at the junction of an acinus or acinar tubule with a small ductule, but they may be interspersed within an acinar tubule. In this drawing many acinar cells have been replaced by duct cells.
23
Types of salivary glands
24Locations of salivary glands
25Submandibular gland
26.
27
.
28
Dissection of a lactating breast.
29Acinar gland (Parotid)
30
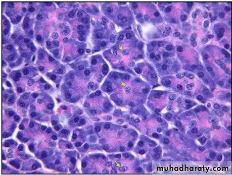
Acinar tissue, adult human pancreas (H&E). Acinar cells stain blue at their base because of the high content of RNA and the presence of nuclei. They are pink at their apex (lumenal aspect) where there is a high content of zymogen proteins (digestive enzymes). The nuclei of centroacinar cells are sometimes seen within an acinus (arrows).
31
Pancreas with acinar and centroacinar cells with a small intralobular duct (Toluidine blue stain, 1 μm thick plastic embedded tissue). The presence of numerous round empty capillaries (arrows) in the interstitial spaces indicates that the pancreas was perfused with fixative. A small branching intralobular duct is evident at the top of the field. Blue zymogen granules are conspicuous in the acinar cells.
32
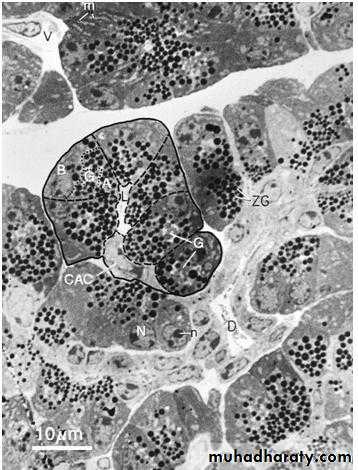
Pancreatic tissue with acinar, centroacinar and ductal cells (EM thick section). The acinar cells are larger than centroacinar cells and are easily identified because of the darkly stained zymogen granules (ZG). The basal portion (B) of the acinar cells lies next to the interstitial space that contains vessels (V), nerves and connective tissue. Nuclei (N) with nucleoli (n) are in the basal portion of the acinar cells. The golgi (G) lies at the junction of the basal and apical (A) portions of the cell. Centroacinar cells (CAC) have less rough endoplasmic reticulum and no secretory granules. Their cytoplasm is more lightly stained. A small ductule (D) extends from image right to below center. Mitochondria (m) are identified at the top of the field. This is a 1 μm thick section of plastic embedded tissue prepared for TEM that was stained with toluidine blue.
33
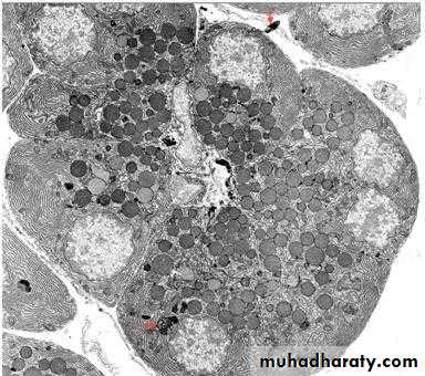
Acinar and centroacinar cells (LP. TEM). Zymogen granules, RER, and nuclei are all identifiable in the acinar cells. Several small dense inclusions of variable structure are present in the cytoplasm (lower red arrow). These are residual bodies derived from degradation of acinar cell organelles by lysosomal enzymes. The formation of such residual bodies is called autophagy, and large complex membrane-bound structures reflecting this process are called autophagic vacuoles. Such “cellular debris” is sometimes extruded into the interstitium as seen near the top of the field (upper red arrow). Residual bodies are also sometimes extruded into the acinar lumen providing a pathway for “garbage” disposal into the intestine. An acinar lumen is indicated by a small black arrow that lies between two centroacinar cells left of center. Zymogen granules vary in size from about 0.5-1.4 μm.
34
Mucous gland. Compare with Serous gland
35
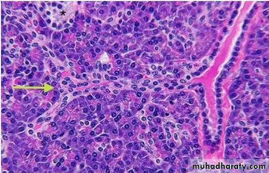
Intralobular ducts, human pancreas (H&E). An intralobular duct with a modest collagenous wall, image right, branches to give rise to an intralobular ductule that in turn branches, image left (arrow). The ductule is nearly devoid of collagen in its wall. The lumen of the small duct and ductule contains homogenous pink-staining protein-rich pancreatic juice. There is a small islet (small cells, pale cytoplasm) at the upper border, image left (asterisk).
36
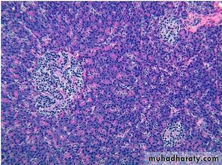
Human pancreas with 3 islets (H&E). It illustrates 3 islets in the background of the more abundant acinar tissue with a small duct in the upper image right corner. The large islet, may be two adjacent islets with a small islet conforming to the lower border of a large round islet. Two small oval islets are located image right at 2 and 4 o’clock. The islet cells are smaller and have paler cytoplasm than the surrounding acinar cells.
37
Mouse and human islets stained for glucagon (Immunoperoxidase). These images show a minor species difference in the location of α-cells in mouse and human islets. In humans, α-cells appear within the islet although they seem to be on the periphery of clusters of β-cells.
38
Mouse islet stained for insulin (Immunoperoxidase). Note that unstained cells are located in the periphery of the islet
39
Triple-immunolabeling of islet hormones shows the predominance of insulin-secreting cells and their distinct distributions. This islet was stained using antibodies to insulin, glucagon and somatostatin to demonstrate beta cells (pink), alpha cells (brown), and delta cells (blue). The predominance of β-cells is obvious. α and δ-cells are typically located at the periphery of clusters β-cells.
40
This week’s tip
Adenosis:Is any disease of a gland. The diseased gland has abnormal formation or development of glandular tissue which is sometimes tumorous
41



































