MOTILITY DISORDERS
PHARYNGEAL POUCH: Incoordination of swallowing within the pharynx leads to herniation through the cricopharyngeus muscle and formation of a pouch. Most patients are elderly and have no symptoms, although regurgitation, halitosis and dysphagia can occur. Some notice gurgling in the throat after swallowing. A barium swallow demonstrates the pouch and reveals incoordination of swallowing, often with pulmonary aspiration. Endoscopy may be hazardous since the instrument may enter and perforate the pouch. Surgical myotomy and resection of the pouch are indicated in symptomatic patients.ACHALASIA OF THE OESOPHAGUS
Pathophysiology and cause:Achalasia is characterised by a hypertonic lower oesophageal sphincter which fails to relax in response to the swallowing wave failure of propagated oesophageal contraction, leading to progressive dilatation of the gullet (oesophagus).
The cause is of this hypertrophic sphinctor abnormality is exactly unknown but there is degeneration of gangloinic cells in myenteric plexus in the muscular layer of the oesophagus (see the next figure), and dominantly affecting the inhibitory neurons (noradrenogenic, norcholinergic) which secrete nitric oxide (results in low or no nitric oxide).Loss of the dorsal vagal nuclei within the brain stem can be demonstrated in later stages.
Note: Chagas disease is endemic in South America; infestation with the protozoan organism Trypanosoma cruzi leads to myocarditis and a range of motility disorders of the gastrointestinal tract. Destruction of the myenteric plexus causes a syndrome which is clinically indistinguishable from achalasia.
Clinical features
• Achalasia is an unusual disease affecting 1:100 000 people.• It usually develops in middle life but can occur at any age.
• Dysphagia develops slowly, initially intermittent and for both solids and liquids but it is sometime worse for solids and is eased by drinking liquids, and by standing and moving around after eating.
• Heartburn does not occur because the closed oesophageal sphincter prevents gastro-oesophageal reflux.
• Some patients experience episodes of severe chest pain due to oesophageal spasm ('vigorous, spastic or type 3 achalasia').
• As the disease progresses dysphagia worsens, the oesophagus empties poorly and nocturnal pulmonary aspiration develops. Achalasia predisposes to squamous carcinoma of the oesophagus.
Investigations
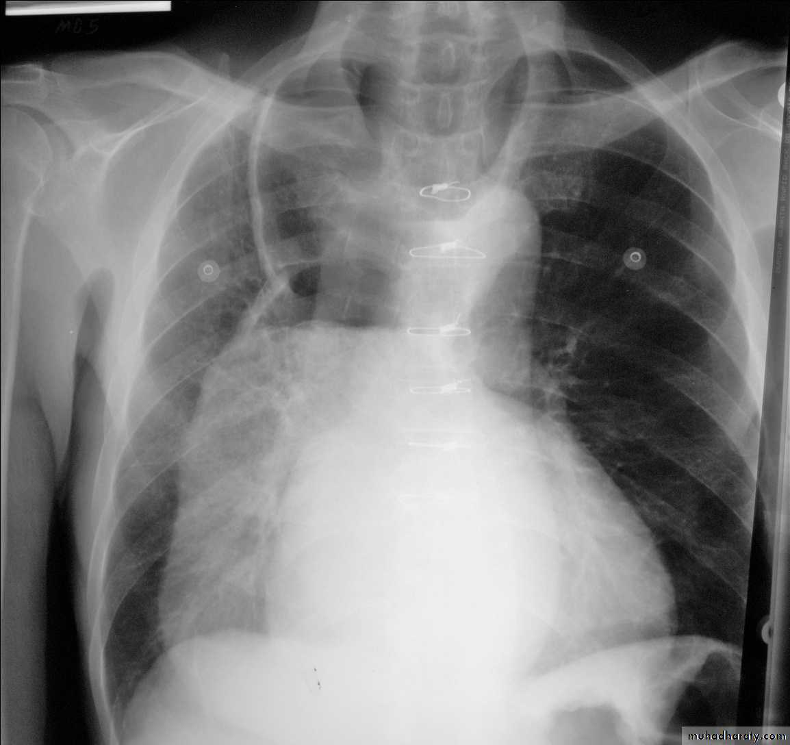
• A chest X-ray may be abnormal in late disease, with widening of the mediastinum from gross oesophageal dilatation and features of aspiration pneumonia.
• A barium swallow shows tapered narrowing of the lower oesophagus. In late disease the oesophageal body is dilated, aperistaltic and food-filled.
• Endoscopy must always be carried out because carcinoma of the cardia can mimic the presentation and radiological and manometric features of achalasia ('pseudo-achalasia').
• Manometry confirms the high-pressure, non-relaxing lower oesophageal sphincter with poor contractility of the oesophageal body
Chest X-ray in achalasia
Barium study (Barium swallowing)Birds Beak appearance in achalasia
This slide for viewing onlyManometric types of achalasia
A. Drugs: like nifedipine and nitrate some time are used for mild and early cases but it has temporary benefit with associated side effects.
B. Endoscopic
• Forceful pneumatic dilatation using a 30-35 mm diameter fluoroscopically positioned balloon disrupts the oesophageal sphincter and improves symptoms in 80% of patients. Some patients require more than one dilatation but those requiring frequent dilatation are best treated surgically.
2) Endoscopically directed injection of botulinum toxin into the lower oesophageal sphincter induces clinical remission, but late relapse is common.
C. Peroral endoscopic myotomy (POEM): A recently induced for treatment of achalasia.
D. Myotomy ('Heller's operation'), performed either as an open operation or (increasingly) laparoscopically, is an extremely effective although more invasive option. Both pneumatic dilatation and myotomy may be complicated by gastro-oesophageal reflux, and this can lead to severe oesophagitis because oesophageal clearance is so poor in these patients. For this reason Heller's myotomy is accompanied by a partial fundoplication anti-reflux procedure. Proton pump inhibitor therapy is also often necessary.Recently an endoscopic method for myotomy was introduced particullarty for certain types of achalasia and called (peroral endoscopic myotomy).
Heller Myotomy 1) open surgery
2) Laparoscopic myotomy
3) PerOral Endoscopic MyotomyPOEM
OTHER OESOPHAGEAL MOTILITY DISORDERS
• Diffuse oesophageal spasm presents in late middle age with episodic chest pain which may mimic angina, but is sometimes accompanied by transient dysphagia. Some cases occur in response to gastro-oesophageal reflux. Treatment is based upon the use of proton pump inhibitor drugs when gastro-oesophageal reflux is present. Oral or sublingual nitrates or nifedipine may relieve attacks of pain. Drug therapy is often disappointing and the alternatives, pneumatic dilatation and surgical myotomy, are also poor.• 'Nutcracker' oesophagus: is a condition in which extremely forceful peristaltic activity leads to episodic chest pain and dysphagia. Treatment is based upon the use of nitrates or nifedipine.
• Non-specific motility disorders represent a collection of oesophageal motility disorders which do not fall into a specific disease entity. Patients are usually elderly and present with dysphagia and chest pain. Manometric abnormalities ranging from poor peristalsis to spasm occur.
SECONDARY CAUSES OF OESOPHAGEAL DYSMOTILITY
• systemic sclerosis the muscle of the oesophagus is replaced by fibrous tissue. Consequently, oesophageal peristalsis fails and this leads to heartburn and dysphagia with severe oesophagitis leading to benign fibrous strictures. Such patients require long-term therapy with proton pump inhibitor drugs.• Dermatomyositis, rheumatoid arthritis and myasthenia gravis may also cause dysphagia.
CAUSES OF OESOPHAGEAL STRICTURE
• Gastro-oesophageal reflux disease(usually benign and occur in elderly:• Post-cricoid web: is a rare complication of iron deficiency anaemia (Paterson-Kelly or Plummer-Vinson syndrome), and may be complicated by the development of squamous carcinoma.
• 'Schatzki ring‘: It is due to submucosal fibrosis, occur at the oesophago-gastric junction (and cause intermittent dysphagia, often starting in middle age.
• Carcinoma of the oesophagus or cardia.
• Extrinsic compression from bronchial carcinoma.
• Corrosive ingestion.
• Post-operative scarring following oesophageal resection.
• Post-radiotherapy.
• Following long-term nasogastric intubation











