FRACTURES OF THE DISTAL RADIUSIN ADULTS
1- COLLES’ FRACTURE2- SMITH’S FRACTURE
3- DISTAL FOREARM FRACTURES IN CHILDREN.
4- FRACTURED RADIAL STYLOID ‘Chauffeur’s fracture‘.
5- FRACTURE-SUBLUXATION ,BARTON’S FRACTURE.
6- COMMINUTED INTRA-ARTICULAR FRACTURES IN YOUNG ADULTS.
COLLES’ FRACTURE
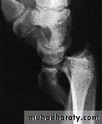
A transverse fracture of the radius just above the wrist, with dorsal displacement of the distal fragment.It is the most common of all fractures in older people, the high incidence being related to the onset of postmenopausal osteoporosis. Thus the patient is usually an older woman who gives a history of falling on her outstretched hand.
Clinical features
We can recognize this fracture (as Colles did long before radiography was invented) by the ‘dinner-fork’ deformity, with prominence on the back of the wrist and a depression infront.In patients with less deformity there may only be local tenderness,swelling and pain on wrist movements.
X-RAY
There is a transverse fracture of the radius at the corticocancellous junction, and often the ulnar styloid process is broken off. The radial fragment is impacted into radial and backward tilt. Sometimes there is an intra-articular fracture; sometimes it is severely comminuted.TREATMENT
1-If the fracture is undisplaced: dorsal splint is applied for a day or two untilthe swelling has resolved, then the cast is completed.An x-ray is taken at 10–14 days to ensure that the fracturehas not displaced; the cast can be removed after 4 weeks to allow mobilization.2- Displaced fractures must be reduced under anaesthesia (haematoma block, Bier’s block or axillary block). The hand is grasped and traction is applied in the length of the bone (sometimes with extension of the wrist to disimpact the fragments); the distal fragment is then pushed into place by pressing on the dorsum while manipulating the wrist into flexion, ulnar deviation and pronation. The position is then checked by x-ray. If it is satisfactory, a dorsal plaster slab is applied, extending from just below the elbow to the metacarpal necks and two-thirds of the way round the circumference of the wrist. It is held in position by a crepe bandage. Extreme positions of flexion and ulnar deviation must be avoided; 20 degrees in each direction is adequate. The arm is kept elevated for the next day or two; shoulder and finger exercises are started as soon as possible. If the fingers become swollen, cyanosed or painful, there should be no hesitation in splitting the bandage. At 7–10 days fresh x-rays are taken; re-displacement is not uncommon and should be treated.
The fracture unites in about 6 weeks and, even in the absence of radiological proof of union, the slab may safely be discarded and exercises begun.
Closed reduction of Colle’s fracture
Colle’s fracture cast
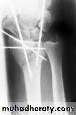
3-IMPACTED OR COMMINUTED COLLES’ FRACTURESWith substantial impaction or comminution in osteoporotic bone, manipulation and plaster immobilization alone may be insufficient. The fracture can sometimes be reduced and held with percutaneous wires, but if impaction is severe even this may not be enough to maintain length; in that case, an external fixator is used to neutralize the compressive force of the 25 tendons crossing the wrist, and bone graft or bone substitute is placed into the gap. The fixator is attached to the distal radius and the second metacarpal shaft.
IMPACTED OR COMMINUTED COLLES’ FRACTURES
Complications
EARLY1-Circulatory problems The circulation in the fingers must be checked; the bandage holding the slab ay need to be split or loosened.
2-Nerve injury Direct injury is rare, but compression of the median nerve in the carpal tunnel is fairly common.
3-Reflex sympathetic dystrophy This condition is probably
quite common, but fortunately it seldom progresses to
the full-blown picture of Sudeck’s atrophy(swelling and tenderness and osteoporosis).
4-TFCC injury TFCC injury is more common than is generally appreciated, As the distal radius displaces dorsally, the TFCC is damaged; the ulnar styloid fracture
LATE
1-Malunion is common, eitherbecause reduction was not complete or because displacement within the plaster was overlooked.2-Delayed union and non-union of the radius is rare.
3-Stiffness Stiffness of the shoulder, elbow and fingers from neglect is a common complication. Stiffness of the wrist may follow prolonged splintage.
4-Tendon rupture Rupture of extensor pollicis longus
occasionally occurs a few weeks after fracture.
SMITH’S FRACTURE
Smith described a similar fracture about 20 years later. However, in this injury the distal fragment is displaced anteriorly (which is why it is sometimes called a ‘reversed Colles’),It is caused by a fall on the back of the hand.
Clinical features
The patient presents with a wrist injury, but there is no dinner-fork deformity. Instead, there is a ‘garden spade’ deformity.X-ray
There is a fracture through the distal radial metaphysis; a lateral view shows that the distalfragment is displaced and tilted anteriorly – the
opposite of a Colles’ fracture.
Treatment
The fracture is reduced by traction, supination and extension of the wrist, and the forearm is immobilized in a cast for 6 weeks. X-rays should be taken at 7–10 days to ensure the fracture has not slipped. Unstable fractures should be fixed with percutaneous wires or aplate.
DISTAL FOREARM FRACTURES INCHILDREN
The distal radius and ulna are among the commonest sites of childhood fractures. The break may occur through the distal radial physis or in the metaphysis of one or both bones. Metaphyseal fractures are often incomplete or greenstickMechanism of injury
The usual injury is a fall on the outstretched hand with the wrist in extension; the distal fragment is forced posteriorly (this is often called a ‘juvenile
Colles’ fracture’).
Clinical features
There is usually a history of a fall, though this may be passed off as one of many childhood spills. The wrist is painful, and often quite swollen; sometimes there is an obvious ‘dinner-fork’ deformity.X-ray
The precise diagnosis is made on the x-ray appearances.
Physeal fractures are almost invariably Salter–Harris
type I or II, with the epiphysis shifted and tilted backwards and radially. Type V injuries are unusual;
sometimes they are diagnosed in retrospect when
premature epiphyseal fusion occurs.
Metaphyseal injuries may appear as mere buckling of the cortex.
Treatment
Physeal fractures are reduced, under anaesthesia, by pressure on the distal fragment. The arm is immobilized in a full-length cast with the wrist slightly flexed and ulnar deviated, and the elbow at 90 degrees. The cast is retained for 4-6 weeks.
If the fracture slips, especially if the ulna is intact, it should be stabilized with a percutaneous K-wire.
FRACTURED RADIAL STYLOID
This injury is caused by forced radial deviation of the wrist and may occur after a fall, or when a starting handle ‘kicks back’ – the so-called ‘chauffeur’s fracture‘The fracture line is transverse, extending laterally from the articular surface of the radius; the fragment, much more than the radial styloid, is oftenundisplaced.
Treatment
If there is displacement it is reduced, and the wrist is held in ulnar deviation by a plaster slab round the outer forearm extending from below the elbow to the metacarpal necks. Imperfect reduction may lead to osteoarthritis; therefore if closed reduction is imperfect the fragment should be screwed back, or held with K-wires.FRACTURE-SUBLUXATION (BARTON’SFRACTURE)1-volar barton2-dorsal barton
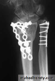
COMMINUTED INTRA-ARTICULARFRACTURES IN YOUNG ADULTS
In the young adult, a comminuted intra-articular fractureis a high energy injury. A poor outcome will result unless intra-articular congruity, fracture alignment and length are restored and movements started as soon as possible. For these patients a much higher standard must be set than would be accepted for the typical osteoporotic fracture. In addition to the usual posteroanterior and lateral x-rays, oblique views and often CT scans are useful to show the fragment alignment. The simplest option is a manipulation and cast. If the anatomy is not restored, then an open reduction may be necessary. The medial complex must be anatomically reduced, which may require open reduction through dorsal and palmar approaches and a combination of wires, plates, screws and bone grafts.
CARPAL BONES
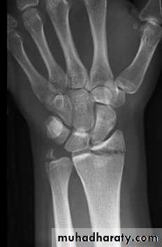
FRACTURED SCAPHOID
Scaphoid fractures account for almost 75 per cent of all carpal fractures although they are rare in the elderly and in children.
Mechanism of injury and pathological anatomy
The scaphoid lies obliquely across the two rows of carpal bones, and is also in the line of loading betweenthe thumb and forearm. The combination of forced
carpal movement and compression, as in a fall on the
dorsiflexed hand, exerts severe stress on the bone and
it is liable to fracture. Most scaphoid fractures are stable;
with unstable fractures the fragments may become displaced.
Clinical features
The appearance may be normal, but there is can usually detect fullness in the anatomical snuffbox; precisely localized tenderness in the same place is an important diagnostic sign; the scaphoid can of course also be palpated from the frontand back of the wrist and it may be tender there as well. Proximal pressure along the axis of the thumb may be painful.
X-ray
Anteroposterior, lateral and oblique views are all essential; often a recent fracture shows only in the oblique view. Usually the fracture line is transverse,and through the narrowest part of the bone (waist), but it may be more proximally situated (proximal pole fracture). Sometimes only the tubercle of the scaphoid is fractured.Treatment
1-Undisplaced fractures need no reduction and are treated in plaster. The cast is applied from the upper forearm to just short of the metacarpo-phalangeal joints of the fingers, but incorporating the proximal phalanx of the thumb. The wrist is held dorsiflexed and the thumb forwards in the ‘glass-holding’ position. It is retained for 8 weeks. After 8 weeks the plaster is removed and the wrist examined clinically and radiologically. If there is no tenderness and the x-ray shows signs of healing, the wrist is left free; a CT scan is the most reliable means of confirming union if in doubt.If the scaphoid is tender, or the fracture still visible on x-ray, the cast is reapplied for a further 4 weeks.
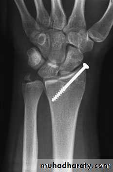
After that either the fracture united with pain free or end with non union and in this case need bone graft and internal fixation by herbert screw.
Scaphoid frcature
2-Displaced fractures can also be treated in plaster, but the outcome is less predictable. It is better to reduce the fracture openly and to fix it with a compression screw.
Complications
1-Avascular necrosis The proximal fragment may die,especially with proximal pole fractures, and then at 2–3 months it appears dense on x-ray.2-Non-union By 3 months it may be obvious that the fracture will not unite with sclerosis and cavitation. Bone grafting with compression screw should be attempted, especially in the younger, more vigorous type of patient, because this probably reduces the chance of later, symptomatic osteoarthritis.
3-Osteoarthritis: Non-union or avascular necrosis may lead to secondary osteoarthritis of the wrist.
The treatment either by wrist arthrodesis or proximal raw carpectomy.















































