Developmental Disturbances of the Teeth
Dr. BUSHRA RASHID NOAMANobjectives
1. Types of anomalies• The cause of each anomaly
• The time the anomaly happen during tooth development. Types of anomalies
A. Anomalies of number.B. Anomalies of size.
C. Anomalies of shape.
D. Anomalies of structure.
A. Anomalies of number.
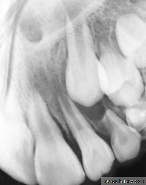
1. increase in number (Supernumerary tooth or hyperdontia)Rudimentary supernumerary, conical form.
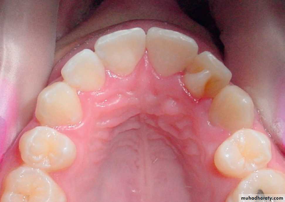
2. Decrease in number Congenital absence (hypodontia)
Missing maxillary left lateral
WHAT IS THE REASON?
HYPERDONTIA OR SUPERNUMERARYReasons :
• continue budding of enamel organ
• the cells become more fully differentiated and detached from the enamel organ
HYPODONTIA OR LESS NO. OF TEETH
deficiency in initiation and proliferation
B. Anomalies of size.1. Microdontia (smaller than normal
2. Macrodontia bigger than normal
What is the reason?
Disturbances and aberrations in morphodifferentiation stage
C. Anomalies of shape.
2. Dens in dentUpper lateral incisor with invagination
1. Talon cusp
ReasonsDisturbances in
morphpdifferentiation stage
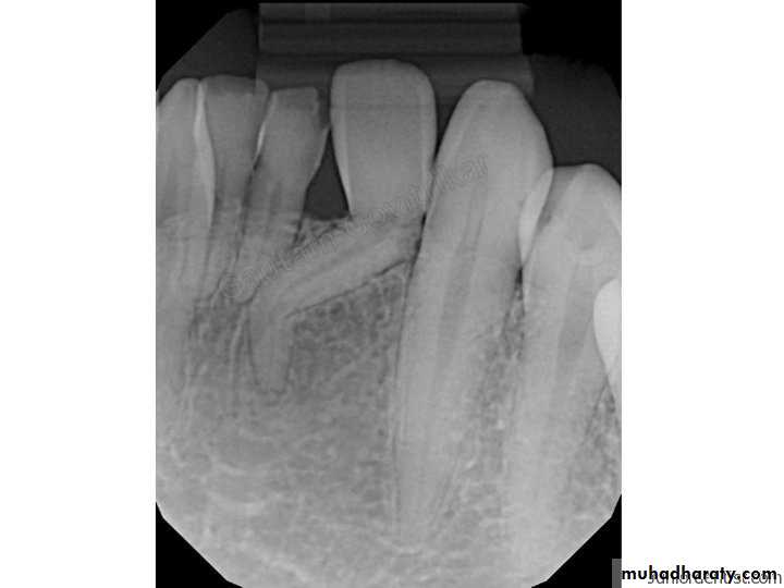
2. Fusion: two teeth fused with two pulps3. Gemination: wide crown with one pulp
Reasons
FusionFusion of two tooth germs during
Proliferation stage
Geminationan attempted division of a single tooth germ by invagination occurring during the
proliferation stage
4. Dilacerated tooth
ReasonTrauma affecting the tooth bud during root formation
D. Anomalies of structure.
1. Enamel hypoplasia
Enamel matrix deffect
Reason of enamel hypoplasiaEnamel matrix deffect
Defect in formation of some of the ameloblast cells during the histodifferentiation stage
Enamel hypocalcification
a lack of fusion of the calco-spherites.During the calcification process
2. Amelogenesis imperfecta
.
4. Dentinogenesis imperfecta.
Reasons
Amelogenesis imperfectaDisturbances of the differentiation of the formative cells which are ameloblasts
during histodifferentiation stage
Dentinogenesis imperfecta
Disturbances of the differentiation of the formative cells which are odontoblast
during histodifferentiation stage
Difference between amelogenesis imperfecta and Dentinogenesis imperfecta
Amelogenesis imperfect
Normal root
Dentinogenesis imperfect
Abnormal root
5. Dental fluorosis
Excessive fluoride consumption during tooth development during apposition or calcification stage6. Tetracycline stain
Tetracycline medication given to the child before 12 years old affecting the tooth development
During the apposition stage or calcification stage






















