Orthodontics
1تقويم / رابع اسنان كركوك
د.اسيل
17/10/2017
11
Orthodontics
Greek wordOrtho = straight , correct. Dontic = teeth
2
Orthodontics
Orthodontics-Defined by -ABO • Area of dentistry concerned with the supervision, guidance and correction of the growing and mature Dentofacial structures, including those conditions that require movement of teeth or correction of malrelationships and malformations of related structures, by the adjustment of relationships between and among teeth and facial bones by the application of forces and /or the stimulation and redirection of the functional forces within the craniofacial complex.3
AIMS OF ORTHODONTICS
The practice of orthodontics deals directly or indirectlywith prevention, alleviation, or elimination of any one or more of the following:
4
AIMS OF ORTHODONTICS
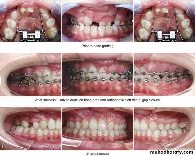
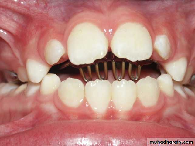
1. Dentofacial abnormalities of genetic, congenital and environmental origin, including those resulting from clefts of lips, alveolar process and plate, trauma and surgical intervention.
5
AIMS OF ORTHODONTICS
2. Shifted or abnormally situated teeth and abnormal jawrelationship.
6
AIMS OF ORTHODONTICS
• 3. Improvement of facial esthetics.4. Improvement of masticatory function.
7
AIMS OF ORTHODONTICS
5. Elimination and prevention of periodontal disease.6. Reduction of susceptibility to dental caries.
8
AIMS OF ORTHODONTICS
• Helping in correction of tempromandibular joint problems.8. Elimination of harmful dentofacial habits.
9
AIMS OF ORTHODONTICS
• Helping in elimination of abnormal mental attitude in relation to dentofacial esthetics.
10. Correction of malposed teeth prior to the construction of removable and/or fixed restoration of missing teeth.
10
AIMS OF ORTHODONTICS
11. Improving teeth alignment and leveling for cases in need of surgical approach; skeletal craniofacial discrepancy cases (orthognathic surgery or distraction osteogenesis surgery) and cleft lip and palate surgery.11
Occlusion
Occlusion: the relation of the maxillary and mandibular teeth when the jaws are closed in centric relation without strain of musculature or displacement of condyles in their fossa.12
Ideal occlusions
People with ideal occlusions have all 32 adult teeth insuperb relationships in all three planes of space.
A coincident mid-line
Overbite , the extent that the upper central incisors overlap the lower central incisors in the vertical plane, is approximately 5%.
Overjet , the distance along the anteroposterior plane between the labial surfaces of the lower central incisors and the labial surfaces of the upper central incisors, is approximately 1 to 2 mm.
13
14
15
Normal occlusion
Normal occlusion: implies to the variations around an average mean value, in which shows: some deviation from that of the ideal but is aesthetically acceptable and functionally stable for the individual , the upper and lower teeth fit nicely and evenly together with the least amount of destructive interferences.16
Ideal occlusion
Normal occlusion17



















