Diagnosis and Treatment Planning for full denture
Assis.Prof.radhwan h. hasanb.d.s. , M.Sc. , Ph.D.
10/24/2017
Assis.Prof.Radhwan H. Hasan
1
• Successful complete denture therapy begins with a thorough assessment of the patient’s physical and psychological condition and determining a treatment that will deliver a functional complete denture that will satisfy the expectations of the patient.
• Diagnosis is the examination of the physical state, evaluation of the mental or psychological makeup, and understanding the needs of each patient to ensure a predictable result.
• Treatment planning means developing a course of action that encompasses the ramifications and squealed of treatment to serve the patient’s needs.
10/24/2017
Assis.Prof.Radhwan H. Hasan
2
GENERAL INTRODUCTION TO THE PATIENT
• The first appointment is perhaps the most important time the dentist will spend with a complete denture patient.• In this appointment you can develop the mutual understanding and trust between you and your patient
• Getting the general information about the personal, social information.
• The patient might have an unique question and they might get an old denture, they want to look like someone in picture or asking about the feel The dentist should avoid immediate answer.
• It is important to know if the patient has recently become edentulous, has been edentulous for a long time, or has teeth and is contemplating complete extraction either on his own or at the suggestion of another dentist
10/24/2017
Assis.Prof.Radhwan H. Hasan
3
• OBSERVATION OF THE PATIENT
• The observation and evaluation of the patient begins when he or she enters the dental office
Motor Skills
Facial Features
Attitude and Adaptive Response
10/24/2017
Assis.Prof.Radhwan H. Hasan
4
Motor skills
Is the observation of the patient’s physical abilities and motor skills is an important part of the overall evaluation.patient able to get out of the waiting room chair, or is there some difficulty or assistance required?
This may be the first indication of a bone, joint, or muscle problem.
Upon rising is the patient steady or was time required to gain equilibrium?
Dizziness may be a side effect of medication or a cerebrovascular accident.
Vertigo
may also be due to orthostatic hypotension or be a signal of low blood pressure, overcorrected high blood pressure, or cerebral ischemia
10/24/2017
Assis.Prof.Radhwan H. Hasan
5
Is the patient out of breath after arriving at the operatory?
The dentist should suspect asthma, congestive heart problems, or heavy smoking.
After being seated in the dental chair, the patient’s ankles should be observed for swelling?
Ankle edema is often associated with congestive heart failure, poor circulation, or kidney disease.
10/24/2017
Assis.Prof.Radhwan H. Hasan
6
Facial Features
The dentist should observe the face of the patient. Note the• length,
• fullness,
• and apparent support of the lips.
• Observe the philtrum,
• nasolabial fold,
• and labiomental groove for hollowness or puffiness.
10/24/2017
Assis.Prof.Radhwan H. Hasan7
Attitude and Adaptive Response
10/24/2017
Assis.Prof.Radhwan H. Hasan
8
HEALTH HISTORY
The average complete denture patient has a more complex health history than ever before10/24/2017
Assis.Prof.Radhwan H. Hasan
9
The complete health history should include
• the name of the patient’s physician, including the date and reason for the last appointment,(2) a record of the status of all major body systems,
(3) a record of all medications within the last six months,
(4) a record of any hospitalization,
(5) a record of any complication that was a result of previous dental treatment,
(6) a record of the patient’s opinion of his or her general health, and
(7) a space to update the health history when the patient is recalled.
10/24/2017
Assis.Prof.Radhwan H. Hasan
10
CLINICAL EXAMINATION
The clinical examination should proceed in a logical and orderly sequence so that nothing is overlooked.
10/24/2017
Assis.Prof.Radhwan H. Hasan
11
Extraoral Examination
The patient’s head and neck region should first be examined in general for the presence of any pathologic conditions relating to a non dental or systemic condition.The face and neck are palpated for any masses or enlarged nodes
10/24/2017
Assis.Prof.Radhwan H. Hasan
12
Facial examination
Facial form and profile can be useful aids in tooth selectionAlthough direct correlation has never been shown, there should be harmony between facial size, form, and shape, and the artificial teeth selected
A patient’s profile appears not only as flat or curved so teeth can be set accordingly, but can be an early indicator of the patient’s jaw classification.
A patient’s occluding vertical face height can easily be seen in profile and a judgment made whether the occlusal vertical dimension of an existing denture is open, closed, or within normal limits.
10/24/2017
Assis.Prof.Radhwan H. Hasan
13
10/24/2017
Assis.Prof.Radhwan H. Hasan14
Lip examination
The lips should be examined for cracking, Assuring at the corners, and ulceration.from organisms such as Candida albicans,
The lips are then examined for support, fullness, thickness, and length. The lack of proper lip support can lead to a collapsed appearance and wrinkling.
10/24/2017
Assis.Prof.Radhwan H. Hasan15
Temporomandibular joint examination
The temporomandibular joint should be evaluated for pain by palpation or mandibular movement. The muscles of mastication should also be palpated to attempt to elicit a pain response10/24/2017
Assis.Prof.Radhwan H. Hasan
16
Intraoral Examination
An overview of the oral mucosa should be obtained before a specific examination of the denture-bearing area and contiguous structures is conducted.
The dentist should be looking for abnormalities or pathological lesions. The inside surface of the cheeks and lips, residual ridge, floor of the mouth, hard and soft palate, and the tongue are closely examined.
10/24/2017
Assis.Prof.Radhwan H. Hasan
17
Color of the mucosa
The color of the mucosa may range from a healthy pink to an angry red.The redness is indicative of inflammation and can be of varying degrees.
It can be related to an ill-fitting denture, underlying infection, a systemic disease such as diabetes, or chronic smoking.
It is important to determine the cause and remove the irritant because successful impression making is not possible until the inflammation is under control.
10/24/2017
Assis.Prof.Radhwan H. Hasan
18
Saliva
The amount and consistency of saliva will affect the denture construction process and the quality of the final product itself.If the mouth is dry, retention of the denture will be affected. In addition, a dry mouth has an increased potential for soreness.
10/24/2017
Assis.Prof.Radhwan H. Hasan
19
Arch size
The size of the maxilla and mandible ultimately will determine the amount of basal seat available for the denture foundation.
10/24/2017
Assis.Prof.Radhwan H. Hasan
20
Arch form
The arch may be square, .ovoid, or tap e red and opposing arches may not necessarily have the same form.The form of the ridge will influence the support of the denture and perhaps the tooth selection.
10/24/2017
Assis.Prof.Radhwan H. Hasan
21
Ridge contour
10/24/2017Assis.Prof.Radhwan H. Hasan
22
Ridge relation
The maxillary and mandibular ridges should be observed at the appropriate occlusal vertical dimension. The amount of interridge distance should be noted firstAn excessive amount of space due to resorption will result in poor stability and retention because of the increased leverage
A small amount of inter ridge distance will lead to difficulty in setting teeth and maintaining a proper freeway space
10/24/2017
Assis.Prof.Radhwan H. Hasan
23
Hard palate
10/24/2017
Assis.Prof.Radhwan H. Hasan24
Soft palate
There are three classifications of soft palate configurationsA class I soft palate is rather horizontal and demonstrates little muscular movement
A class II soft palate turns downward at about a 45° angle to the hard palate and the amount of potential tissue coverage for the palatal seal is less than for a class I.
A class III soft palate turns downward sharply at about a 70° angle just posteriorly to the hard palate.
10/24/2017
Assis.Prof.Radhwan H. Hasan
25
10/24/2017
Assis.Prof.Radhwan H. Hasan26
Bony undercuts
Bony undercuts are frequently found on both the maxillary and mandibular ridges.On the maxilla, the undercuts are usually present on the anterior ridge and lateral to the tuberosities
These usually pose no real problem with denture insertion, and the rule should always be selective relief of the denture rather than surgical reduction
10/24/2017
Assis.Prof.Radhwan H. Hasan
27
Tori
A torus palatinus and lingual tori are occasionally present.On the maxilla, the torus can range from a small prominence on the midline to one that covers the entire hard palate.
Generally surgical removal is contraindicated unless the torus is so large as to preclude construction of the denture
10/24/2017
Assis.Prof.Radhwan H. Hasan
28
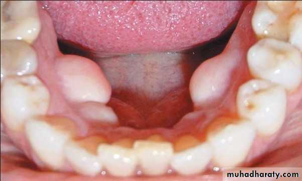
Tongue
The tongue size should be noted. If the patient has been without teeth or prostheses for a long time or has worn a maxillary denture against the lower anterior teeth only, the tongue can become enlarged and powerful.10/24/2017
Assis.Prof.Radhwan H. Hasan
29
RADIOGRAPHIC EXAMINATION
Radiographic examination is an essential part of diagnosis and treatment planning for all dental patients.Screen jaws for defects in structure and reactive new bone formation, bone enlargement, and displacement of jaw parts. The screening should also include any unerupted teeth or retained root fragments, foreign bodies, radiolucencies, radiopacities, rarefaction or sclerosis, expansion or bulging, and any well defined or ill-defined lesions.
The TMJ can be screened, although positive findings should correlate with the history and physical examination.
10/24/2017
Assis.Prof.Radhwan H. Hasan
30
Describe the appearance of the lesion as well as any bone changes adjoining the lesion
Correlate the radiographic findings with the clinical, historical, and laboratory findings.Perform a differential diagnosis which includes all the diseases that could explain the findings.
Estimate the growth of the lesion by the appearance of jaw structures bordering the lesion
10/24/2017
Assis.Prof.Radhwan H. Hasan
31
THE TREATMENT PLAN
The treatment plan for an edentulous patient is simple; either a complete denture is constructed or it is not.
Assembling all the diagnostic criteria takes time, but it is time well spent to assure a successful result. The treatment and expected level of achievement is carefully explained to the patient. Fees, manner of payment, duration of treatment, any necessary tissue preparation and conditioning, and contemplated surgery are discussed.
The trained professional is acutely aware of these ramifications and educates the patient to this end.
10/24/2017
Assis.Prof.Radhwan H. Hasan
32












