Malocclusion
Malocclusion may be defined as ―A condition where there is a departure from the normal relation of the teeth to - other teeth in the same dental arch and/or to - teeth in the opposing arch. The term was coined by Edward H AngleClassification of Malocclusion
1- Angle’s classification2- British Standards incisor classification
3- Canine classification
Angle’s classification
1- Class I or neutrocclusion— the mesiobuccal cusp of the upper first molar occludes with the mesiobuccal groove of the lower first molar. In practice discrepancies of up to half a cusp width either way were also included in this category. It may includes one or more than one malocclusion.2- Class II or distocclusion— the mesiobuccal cusp of the lower first molar occludes distal to the Class I position. This is also known as a postnormal relationship.
3- Class III or mesiocclusion— the mesiobuccal cusp of the lower first molar occludes mesial to the Class I position. This is also known as a prenormal relationship
British Standards incisor classification
Class I— the lower incisor edges occlude with or lie immediately below the cingulum plateau of the upper central incisors.• Class II— the lower incisor edges lie posterior to the cingulum
plateau of the upper incisors. There are two subdivisions of this
category:
Division 1— the upper central incisors are proclined or of
average inclination and there is an increase in overjet.
Division 2— The upper central incisors are retroclined. The
overjet is usually minimal or may be increased.
• Class III— The lower incisor edges lie anterior to the cingulum
plateau of the upper incisors. The overjet is reduced or reversed.
Canine classification
The canine relationship also provides a useful anteroposterior occlusal classification:1- Class I—the maxillary permanent canine should occlude directly in the embrasure between mandibular canine and first premolar.
2- Class II—the maxillary permanent canine occludes in front of the embrasure between mandibular canine and first premolar.
3- Class III—the maxillary permanent canine occludes behind the embrasure between
mandibular canine and first premolar.
• TYPES OF MALOCCLUSION
Skeletal malocclusionDental malocclusion
Intra-arch malocclusion
Inter-arch malocclusionSagittal
Plane malocclusion
Transverse
Plane
malocclusion
Vertical
Plane
malocclusion
Sagittal
Plane malocclusionTransverse
Plane
malocclusion
Vertical
Plane
malocclusion
INTRA-ARCH MALOCCLUSION
It includes:- variations in individual tooth position; and malocclusion affecting a group of teeth. These are :1- Inclinations or Tipping.
Mesial inclination or tipping: the tooth is tilted mesially, i.e. the crown is mesial to the root. (B)
Distal inclination or tipping: The tooth is tilted distally, i.e. the crown is distal to the root. (A)
Labial/Buccal inclination or tipping: The tooth is abnormally inclined towards the lips/cheeks. (D)
Lingual inclinations or tipping: The tooth is abnormally tilted towards the palate. (C)
2- Displacements.
Mesial displacement (E)Distal displacement (F)
Labial / buccal displacement (H)
Lingual displacement (G)
3- Rotation: tooth movements around the long axis of the tooth. (K)
Distolingual or mesiobuccal rotation. Mesiolingual or distobuccal rotation.
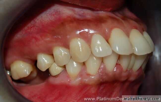
4- Transposition: This term is used in case where two teeth exchange places, e.g. a canine in place of the lateral incisor. (L)
5- Supraocclusion: the tooth is above the occlusal plane as compared to other teeth in the arch. (J)
6- Infraocclusion: the tooth is below the occlusal plane as compared to other teeth in the arch. (I)
INTRA-ARCH MALOCCLUSION
Dental crowding is defined as the discrepancy between tooth size and jaw size that results in a misalignment of the tooth row.
INTRA-ARCH MALOCCLUSION
Dental spacing: Generalized spacing is rare and is due to either hypodontia or small teeth in well-developed arches.INTRA-ARCH MALOCCLUSION
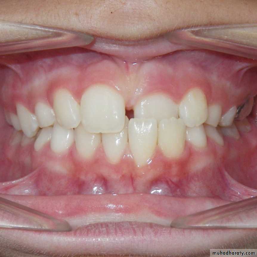
Midline diastema: A median diastema is a space between the central incisors, which ismore common in the upper arch.
Midline shift
INTER-ARCH MALOCCLUSION
Inter-arch malocclusion is abnormal relationship between two teeth or group of teeth of one arch to the other which can be classified asA. Sagittal plane malocclusions .
1- Class II Malocclusion . 2- Class III Malocclusion. 3- Bimaxillary proclination.
4- Bimaxillary retroclination.
B. Vertical plane malocclusion .
1- Open bite. 2- Deep bite
C. Transverse plane malocclusion.
1- buccal cross bite. 2- lingual cross bite
Sagittal plane malocclusions
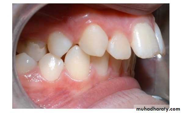
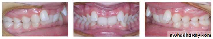
1- Class II malocclusion
Disto- buccal cusp of maxillary first molar falls on the mesio- buccal groove of mandibular first permanent molar. It is divided into:
A- Class II Div 1: Upper incisors are proclined.
B- Class II Div 2: Upper laterals overlap centrals and the centrals are retroclined.
Class II subdivision
• When one side of arch have class I relation and other have class II, it is refered as subdivision • Ex. Class II division 1 subdivision right when the Class II molar relation is on the right side of the arches
Class II division 1
Class II division 1
Class II division 2Sagittal plane malocclusions
2- Class III malocclusion
Mesio- buccal cusp of maxillary first permanent molar occludes in the interdental space between mandibular first and second molars.
Sagittal plane malocclusions
Pseudo class III : forward movement of mandible during closure. Due to: 1) occlusal abnormalities 2)premature loss of deciduous teeth, so child tend to move mandible forward to make contact. 3)enlarge adenoid, so child move tongue forward and that’s bring the mandible forward.Sagittal plane malocclusions
3- Bimaxillary proclination is the term used todescribe occlusions where both the upper and lower incisors are proclined. Bimaxillary proclination is seen more commonly in some racial groups. When bimaxillary proclination occurs in a Class I malocclusion the overjet is increased because of the angulation of the incisors. Bimaxillary proclination can also occur in association with Class II division 1 and Class III malocclusions
Sagittal plane malocclusions
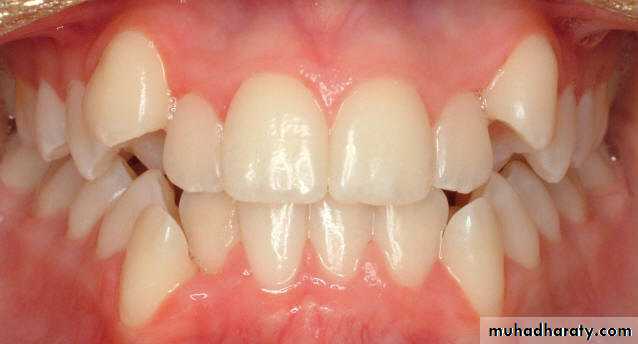
An anterior crossbite : is present when one or more of the upper incisors is in linguo-occlusion (i.e. in reverse overjet) relative to the lower arch.Vertical plane malocclusion
A- Open bite: no overlap or a gap exists between the maxillary and mandibular teeth when patient bites in centric occlusion, can exist in the anterior or posterior region.1- Anterior open bite (AOB):there is no vertical overlap of the incisors when the buccal segment teeth are in occlusion.
2- Posterior open bite (POB):when the teeth are in occlusion there is a space between the posterior teeth. It could be unilateral or bilateral.
Vertical plane malocclusion
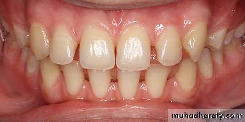
B- Deep bite: a condition of excessive overbite where the vertical measurement between the maxillary and mandibular incisal margins is excessive when the mandible is brought into habitual or centric occlusion.Transverse plane malocclusion
Posterior crossbites:crossbites of the premolar and molar region involving one or two teeth or an entire buccal segment can be subdivided as follows:
Transverse plane malocclusion
1- Buccal crossbite: the buccal cusps of the lower teeth occlude buccal to the buccal cusps of the upper teeth. It could be unilateral or bilateral.2- Lingual crossbite: the buccal cusps of the lower teeth occlude lingual to the lingual cusps of the upper teeth. This is also known as a scissors bite. It could be unilateral or bilateral.
• A. Normal occlusion
• B. Lingual crossbite• c. Buccal crossbite
SKELETAL MALOCCLUSION
These malocclusion are caused due to the defect in the underlying skeletal structure itself. The defect can be in size, position or relationship between the jaw bones.
A- Sagittal plane malocclusion
1- Skeletal class II malocclusion which may be due toMandibular retrusion
Maxillary prognathisim
Mandibular retrusion and Maxillary prognathisim
SKELETAL MALOCCLUSION
2- Skeletal class III malocclusion which may be due toMandibular protrusion
Maxillary retrugnathisim
Mandibular protrusion
and Maxillary retrugnathisim
SKELETAL MALOCCLUSION
B- Transverse plane malocclusionnarrowing of arch
widening of arch
SKELETAL MALOCCLUSION
C- Vertical plane malocclusion which cause eitherincrease or decrease in facial height





























