DISEASES OF THE ESOPHAGUSTUCOMDep. of Medicine4th year Dr Hasan. I. Sultan
Learning objectives• Review the functional anatomy and physiology of esophagus.
• Understand the concept of gastro-esophageal reflux disease (GERD).
• List the factors that associated with development of GERD.
• Explain the clinical features of GERD.
• List the important investigations and it’s indications in patients with GERD.
• Review the treatment of GERD.
• List the complications of GERD.
• List other causes of esophagitis.
• List the motility disorders of esophagus.
10. Describe the definition, pathogenesis and clinical presentation of achalasia.
11. Outline the important investigations of achalasia.12. Review the treatment of achalasia.
13. List the types of esophageal carcinoma.
14. Recognized the epidemiology of esophageal carcinoma.
15. Understand the differences between squamous cell carcinoma and adenocarcinoma of esophagus.
16. Known the clinical features of esophageal carcinoma.
17. List the important investigations of esophageal carcinoma.
18. Outline the treatment of esophageal carcinoma.
Case history
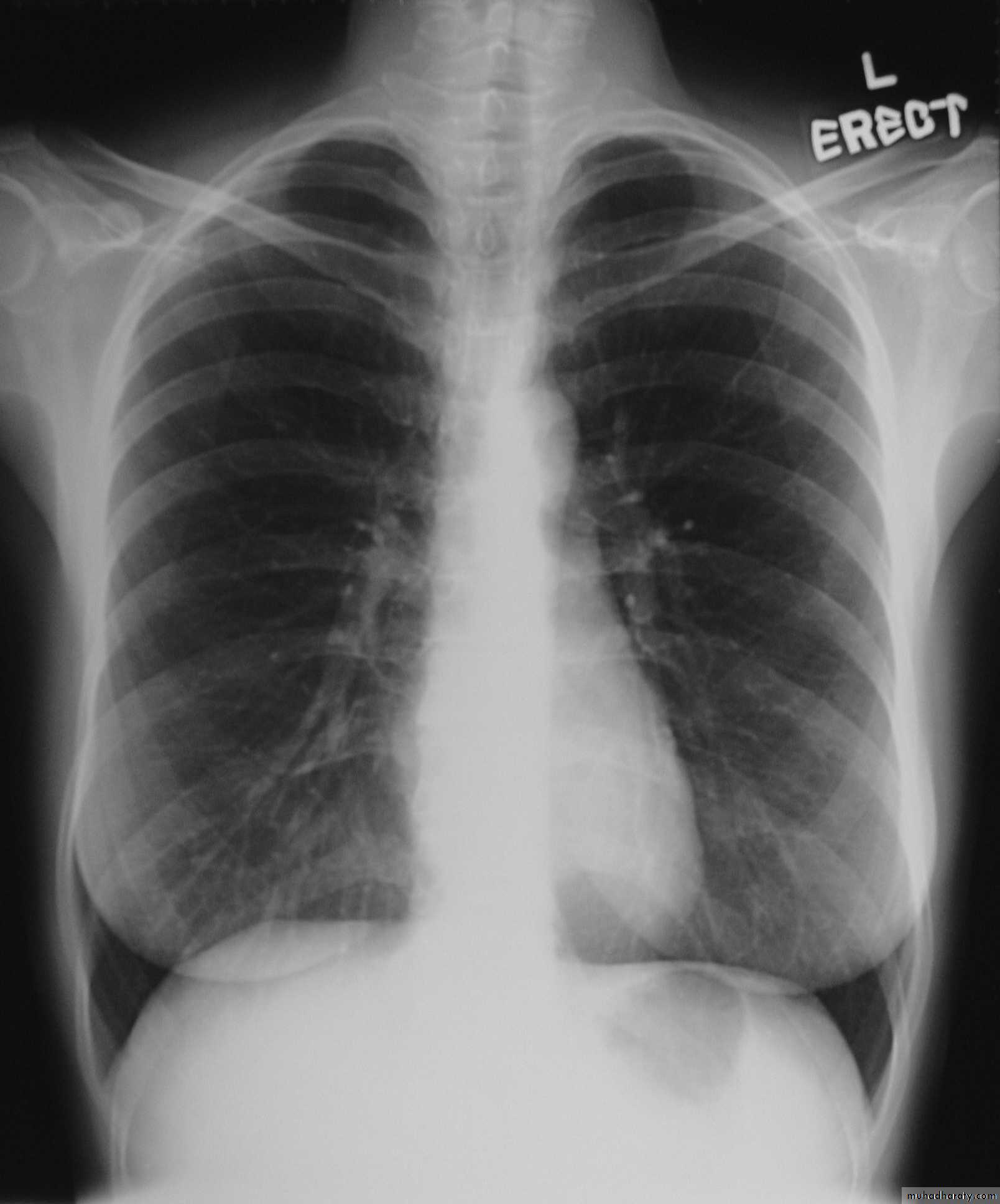
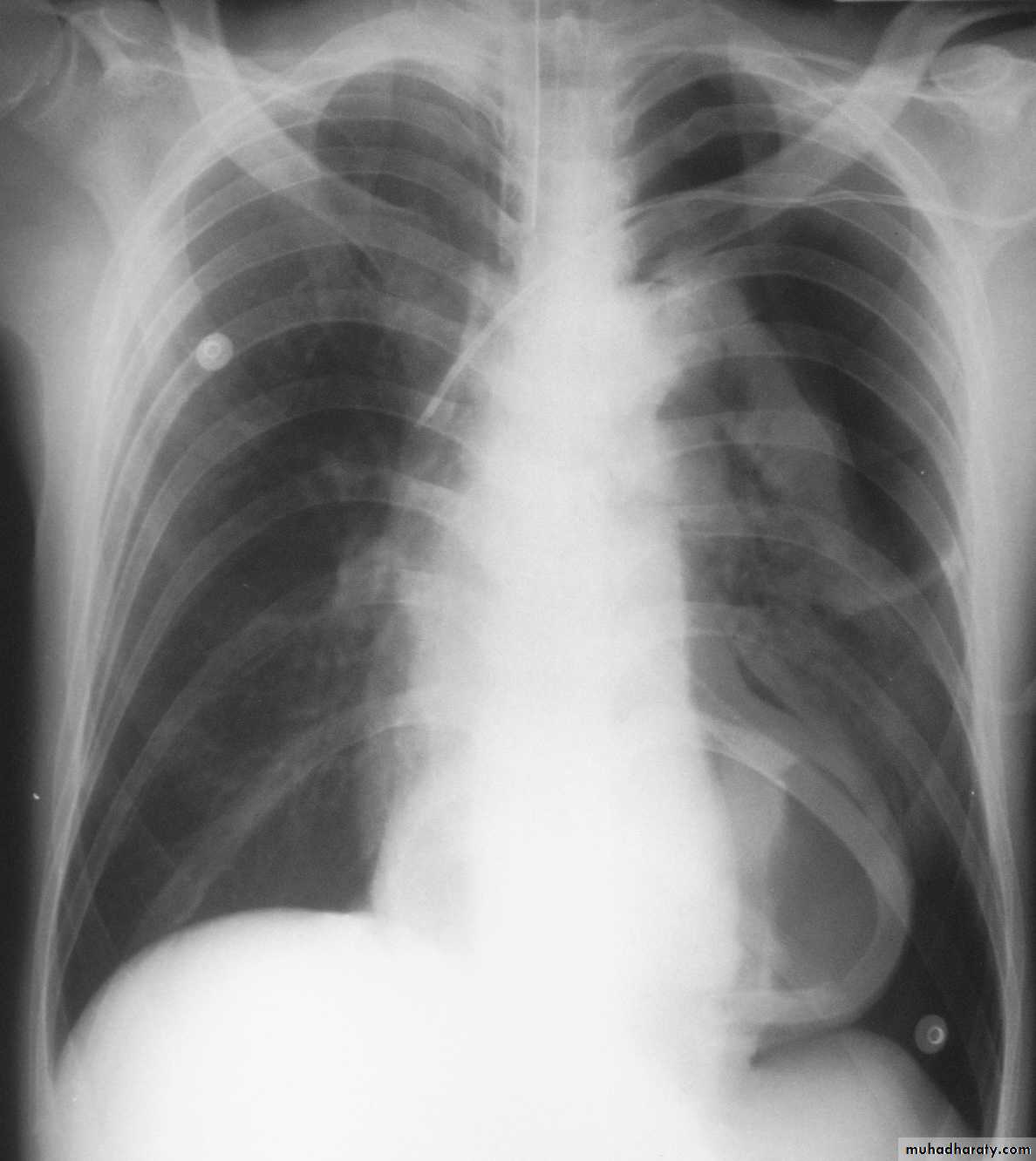
A 56 old woman present with four days history of breathlessness , cough and high fever. She give long history of indigestion and intermittent dysphagia to solids and liquids. On several occasions undigested food would be regurgitated back shortly after she had eaten. She would often wake at night with episodes of coughing and spluttering. There was no history of weight loss.
What is the cause of this patient illness?
What investigation would be useful in identifying the illness?
What type of complication the patient develop?
Esophagus: This muscular tube extends 25 cm from the cricoid cartilage to the cardiac orifice of the stomach. It has an upper and a lower sphincter. It is lined by stratified squamous epithelium. The muscle layers of the upper esophagus are striated skeletal muscle, while the muscles of lower part are smooth. A peristaltic swallowing wave propels the food bolus into the stomach. The ganglia of muscular Myenteric plexus and submucosal Meissner’s plexus integrate messages from the vagus nerve to the muscles of the esophagus.
Functional anatomy and physiology of esophagus
Two major functions of the esophagus are transport of food bolus from the mouth to the stomach and prevention of retrograde flow of gastrointestinal contents. Esophageal transport function begins with the transfer of food from the mouth and pharynx through the opened upper esophageal sphincter (UES) into the esophagus, and it involves esophageal peristalsis and relaxation of the lower esophageal sphincter (LES). Retrograde flow from the stomach into the esophagus is prevented by the LES and from the esophagus into the pharynx by the UES.
GASTRO-ESOPHAGEAL REFLUX DISEASE
Gastro-esophageal reflux disease (GERD): is a disease develops when the oesophageal mucosa is exposed to gastroduodenal contents for prolonged periods of time, resulting in symptoms and, in a proportion of cases, oesophagitis.Gastro-esophageal reflux resulting in heartburn affects approximately 30% of the general population.
The normal antireflux mechanism consist of the LES (contraction and it’s anatomical location below the diaphragm), the crural diaphragm, and the oblique angle between the cardia and esophagus. Reflux occurs when the gradient of pressure between the LES and the stomach is lost.
Several factors are known to be involved in the development of GERD:
Factors associated with the development of (GERD)
Hiatus herniaHiatus hernia: An anatomical abnormality in which part of the stomach protrudes up through the diaphragm into the chest.
Causes reflux because the pressure gradient between the abdominal and thoracic cavities, which normally pinches the hiatus, is lost. In addition, the oblique angle between the cardia and esophagus disappears.
Occurs in 30% of the population over the age of 50 yrs
Often asymptomatic
Heartburn and regurgitation can occur
Gastric volvulus may complicate large para-oesophageal
hernias
Types of hiatus hernia
Endoscopic view of hiatus hernia. A sliding hiatus hernia viewed from above.
Clinical features of GERD:
Major symptoms: are heartburn and regurgitation, often provoked by bending, straining or lying down.Waterbrash: which is salivation due to reflex salivary gland stimulation as acid enters the gullet is often
present.
Others develop odynophagia or dysphagia. A few present with atypical chest pain which may be severe, can mimic angina and is probably due to reflux-induced esophageal spasm.
Others extra GI features: hoarseness (‘acid laryngitis’), recurrent chest infections, chronic cough and asthma
Complications of GERD:
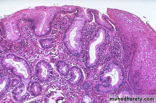
1- Esophagitis: A range of endoscopic findings, from mild redness to severe, bleeding ulceration with stricture formation.2- Barrett's esophagus: ('columnar lined oesophagus'-CLO) is a pre-malignant glandular metaplasia of the lower esophagus, in which the normal squamous lining is replaced by columnar mucosa of intestinal metaplasia .
found in 10% of patients undergoing gastroscopy for reflux symptoms. it is more common in men, obese and those over 50 years of age.
CLO is the major risk factor for esophageal adenocarcinoma.
Diagnosis of this condition requires multiple biopsies from suspected area to detect intestinal metaplasia and/or dysplasia.
Neither potent acid suppression nor antireflux surgery will stop progression or induce regression of CLO.
For those with high-grade dysplasia (HGD) the treatment options are either esophagectomy or endoscopic therapy with a combination of endoscopic resection (ER) of any visibly abnormal areas and radiofrequency ablation (RFA) of the remaining Barrett’s mucosa.
3- Anaemia: Iron deficiency anaemia occurs as a consequence of chronic, insidious blood loss from long-standing esophagitis.
4- Benign esophageal stricture: Fibrous strictures develop as a consequence of long-standing esophagitis. Presented as dysphagia for solids than for liquids.
5- Gastric volvulus: Occasionally a massive intra-thoracic hiatus hernia may twist upon itself.
Barrett’s columnar epithelium on left and squamous epithelium on right. intestinal metaplasia (note the goblet cells in the columnar mucosa).
Investigations of GERD:
Young patients who present with typical symptoms of gastro-esophageal reflux, without alarm features in dyspepsia; (Weight loss, Iron deficiency anaemia, Persistent vomiting, Haematemesis and/or melaena, Dysphagia, Palpable abdominal mass) can be treated empirically without investigation.Investigations:
Is advisable if patients over 55 year old, presence of alarm features, if symptoms are atypical, if a complication is suspected or if there is no response to empirical treatment.
1- Endoscopy is the investigation of choice. This is performed to exclude other upper gastrointestinal diseases which can mimic gastro-esophageal reflux, and to identify complications.
Episodes of pain are noted and related to pH. A pH of less than 4 for more than 6-7% of the study time is diagnostic of reflux disease.
A slim catheter with a terminal radiotelemetry pH-sensitive probe above the gastro-esophageal junction.
2- Twenty-four-hour pH monitoring: is indicated if, despite endoscopy, the diagnosis is unclear or surgical intervention is under consideration.
Management of GERD:
Lifestyle advice: including weight loss, avoidance of dietary items which the patient finds worsen symptoms, elevation of the bed head in those who experience nocturnal symptoms, avoidance of late meals and giving up smoking.Antacids and alginates: also provide symptomatic benefit.
H2-receptor antagonist drugs: also help symptoms without healing esophagitis.
Proton pump inhibitors: are the treatment of choice, which are usually effective in resolving symptoms and healing oesophagitis.
When dysmotility features are prominent, domperidone can be helpful.
Anti-reflux surgery: Patients who fail to respond to medical therapy, those who are unwilling to take long-term proton pump inhibitors and those whose major symptom is severe regurgitation.
Other causes of esophagitis
Infection: Esophageal candidiasis , Herpes simplex virus, Cytomegalovirus (CMV) , and HIV infection.Corrosives: Strong household bleach or battery acid. During suicide attempt. extensive erosive esophagitis may complicated by esophageal perforation with mediastinitis and by stricture formation.
Drugs: Tetracyclines, potassium preparations, nonsteroidal anti-inflammatory drugs, iron sulfate, and the bisphosphonate alendronate.
Eosinophilic oesophagitis: more common in children with atopy. characterised by eosinophilic infiltration of the esophageal mucosa.
Candida esophagitis is often associated with oral thrush and tends to present with dysphagia and only mild pain on swallowing. It has a characteristic appearance on endoscopy, and esophageal brushings and biopsies demonstrate fungal hyphae. Treatment with oral fluconazole is generally very effective.
Herpes simplex virus causes multiple esophageal ulcers and presents clinically with severe odynophagia. Acyclovir is the treatment of choice for herpes esophagitis
Cytomegalovirus (CMV) also causes esophageal ulceration and odynophagia. Endoscopy usually demonstrates a single large ulcer in the distal esophagus, and biopsies often detect viral inclusions that confirm the diagnosis. Both ganciclovir and foscarnet are effective treatments for CMV esophagitis.
MOTILITY DISORDERS
• PHARYNGEAL POUCH (Zenker's diverticulum): Incoordination of swallowing within the pharynx leads to herniation through the cricopharyngeus muscle and formation of a pouch.• DIFFUSE ESOPHAGEAL SPASM
• ACHALASIA OF THE OESOPHAGUS
• SECONDARY CAUSES: systemic sclerosis, dermatomyositis, rheumatoid arthritis and myasthenia gravis.
Normal esophagus in barium swallow
PHARYNGEAL POUCHMost patients are elderly and have no symptoms, although regurgitation, halitosis and dysphagia can occur. A barium swallow demonstrates the pouch and reveals incoordination of swallowing, often with pulmonary aspiration. Endoscopy may be hazardous since the instrument may enter and perforate the pouch. Surgical myotomy and resection of the pouch are indicated in symptomatic patients.
Diffuse esophageal spasm
Episodic chest pain which may mimic angina, but is sometimes accompanied by transient dysphagia. Some cases occur in response to gastro-esophageal reflux. Treatment is based upon the use of proton pump inhibitor drugs when gastro-esophageal reflux is present. Oral or sublingual nitrates or nifedipine may relieve attacks
ACHALASIA OF THE OESOPHAGUS
Pathophysiology: Achalasia is characterised by:A hypertonic lower esophageal sphincter which fails to relax in response to the swallowing wave.
Failure of propagated esophageal contraction, leading to progressive dilatation of the gullet.
Cause: Is unknown. Abnormal nitric oxide synthesis within the lower esophageal sphincter. Degeneration of ganglion cells within the sphincter and the body of the esophagus occurs. Loss of the dorsal vagal nuclei within the brain stem. Chagas disease (Trypanosoma cruzi infection).
Barium swallow findings:
Tapered narrowing of the lower esophagus, esophageal body is dilated, aperistaltic and food-filled.Clinical features:
Usually develops in middle life:Dysphagia develops slowly, and is initially intermittent, it is worse for solids and is eased by drinking liquids, and by standing and moving around after eating. As the disease progresses, dysphagia worsens.
Heartburn does not occur… why?
Episodes of severe chest pain due to esophageal spasm ('vigorous achalasia').
Nocturnal pulmonary aspiration develops.
Predisposes to squamous carcinoma of the esophagus.
Investigations:
Chest X-ray: widening of the mediastinum, aspiration pneumonia.A barium swallow: tapered narrowing of the lower esophagus, esophageal body is dilated, aperistaltic and food-filled.
Endoscopy: must always be carried out, carcinoma of the cardia can mimic the presentation and radiological and manometric features of achalasia ('pseudo-achalasia').
Manometry: confirms the high-pressure, non-relaxing lower esophageal sphincter with poor contractility of the esophageal body.
Management:
Endoscopic Forceful pneumatic dilatation by using a balloon in lower esophageal sphincter improves symptoms in 80% of patients. Some patients require more than one dilatation. Injection of botulinum toxin into the lower esophageal sphincter induces clinical remission but relapse is common.
Surgical myotomy ('Heller's operation') with anti-reflux procedure. Proton pump inhibitor therapy is also often necessary. Because it may be complicated by gastro-esophageal reflux.
ESOPHAGEAL STRICTURE
Causes:• Gastro-esophageal reflux disease
• Webs and rings
• Carcinoma of the esophagus or cardia
• Extrinsic compression from bronchial carcinoma
• Corrosive ingestion
• Post-operative scarring following esophageal resection
• Post-radiotherapy
• Following long-term nasogastric intubation
Long, smooth distal esophageal stricture as evidenced by lack of normal distension of the esophagus.
CARCINOMA OF THE ESOPHAGUS
1-Squamous cell carcinoma: Rare in Western, common in Iran, parts of Africa and China, mostly in upper 2 third of the esophagus.Aetiological factors:
Smoking
Alcohol excess
Chewing betel nuts or tobacco
Coeliac disease
Achalasia of the esophagus
Post-cricoid web
Post-caustic stricture
Tylosis (familial hyperkeratosis of palms and soles)
2-Adenocarcinoma: Common in Western populations, in the lower third of the esophagus, from Barrett's esophagus or from the cardia of the stomach.
Clinical features:
Progressive, painless dysphagia for solid foods.In late stages weight loss is often extreme.
Chest pain or hoarseness suggests mediastinal invasion.
Fistulation between the esophagus and the trachea or bronchial tree leads to coughing after swallowing, pneumonia and pleural effusion.
Cachexia, cervical lymphadenopathy or other evidence of metastatic spread is common.
Investigations:
Endoscopy: The investigation of choice, with cytology and biopsy.Barium swallow: site and length of the stricture.
Staging of tumor: Thoracic and abdominal CT, often combined with positron emission tomography (CT-PET), should be carried out to identify metastatic spread and local invasion.
Endoscopic ultrasound (EUS): to determine the depth of penetration of the tumor into the esophageal wall and to detect locoregional lymph node involvement.
Endoscopic ultrasound
Management:
Esophageal resection: is the treatment of choice, but 70% of patients have extensive disease at presentation, in these, treatment is palliative. Overall 5-year survival rate is only 13%.Neoadjuvant (pre-operative) chemotherapy: with agents such as cisplatin and 5-fluorouracil, can improve surgery.
Radiotherapy: squamous carcinomas are radiosensitive.
Palliative treatment:
Relief of dysphagia and pain, laser therapy.
Insertion of stents.
Radiotherapy to shrink tumor size.
Nutritional support.
Analgesia.











































