TUMOURS OF THE STOMACH TUCOMDep. of Medicine4th yearDr. Hasan. I. Sultan
Learning objectives• Classify the gastric tumours.
• Review the prevalence of gastric tumours.
• Describe the pathophysiology, causes and risk factors of gastric tumours.
• Explain the pathology of gastric tumours.
• Clarify the clinical features of gastric tumours.
• Understand the important investigations and staging of gastric tumours.
• Explain the treatment of gastric tumours.
Case history:
A 71-year-old man has a 3-month history of burning epigastric pain that is made worse with food and is accompanied by nausea and early satiety. The patient has lost approximately 5.5 kg during this time. He has not had vomiting, melena, or hematochezia and does not use nonsteroidal anti-inflammatory drugs. He has mild hypertension treated with a thiazide diuretic.Physical examination reveals a thin man with mild epigastric tenderness to palpation.
What is the investigation of choice?
What is the diagnosis?
TUMOURS OF THE STOMACH
1-GASTRIC CARCINOMA.2-GASTRIC LYMPHOMA.
3-OTHER TUMOURS OF THE STOMACH: Gastrointestinal stromal cell tumours (GIST), a variety of polyps, and gastric carcinoid tumours.
GASTRIC CARCINOMA
Gastric carcinoma is the fourth leading cause of cancer death worldwide, but there is marked geographical variation in incidence.It is most common in China, Japan, Korea (incidence 40/100 000 males)
Rates in the UK are 12/100 000 for men.
Japanese migrants to the USA have much lower incidence in second-generation migrants, confirming the importance of environmental factors.
It is more common in men, after 50 years of age.
Aetiology:
1-H. pylori infection: is associated with chronic atrophic gastritis -- hypo- or achlorhydria --- gastric cancer. Contribute to 60–70% of cases.2-Diets: rich in salted, smoked or pickled foods and the consumption of nitrites and nitrates may increase cancer risk. Diets lacking fresh fruit and vegetables as well as vitamins C and A.
3-Smoking.
4-Alcohol.
5-Autoimmune gastritis (pernicious anaemia).
6-Adenomatous gastric polyps
7-Previous partial gastrectomy (> 20 years)
8-Ménétrier's disease
9-Hereditary diffuse gastric cancer families (HDC-1 mutations)
10-Familial adenomatous polyposis (FAP)
Ménétrier's disease: is a rare condition the gastric pits are elongated and tortuous, with replacement of the parietal and chief cells by mucus-secreting cells. As a result, the mucosal folds of the body and fundus are greatly enlarged. Total gastrectomy specimen cut open to show giant gastric rugae and excessive mucous secretion.
Gastric polyposis in familial adenomatous polyposis
Pathology;Microscopically: All tumours are adenocarcinomas arising from mucus-secreting cells.
either 'intestinal', arising from areas of intestinal metaplasia, more common.
or 'diffuse', arising from normal gastric mucosa, poorly differentiated and occur in younger patients.
Macroscopically: Classified as polypoid, ulcerating, fungating or diffuse a scirrhous cancer (linitis plastica).
Early gastric cancer: Is defined as cancer confined to the mucosa or submucosa, regardless of lymph node involvement often recognized in Japan due to widespread screening.
Advanced gastric cancer: Over 80% of patients in the Westren present at this stage.
Early gastric cancer
Advanced gastric cancer
Ulcerating gastric cancer
polypoid gastric cancer
Fungating gastric cancer
Linitis plastica
The underlying cause is usually a scirrhous adenocarcinoma with diffuse submucosal infiltration, leading to thickening and rigidity to the stomach wallLocation: 50% in the antrum, 20-30% occur in the gastric body, 20% in the cardia, or diffuse submucosal infiltration (uncommon).
Clinical features: Which depend on the location, size, and growth pattern of gastric cancer.
Early gastric cancer is usually asymptomatic.
1- Dyspepsia.
2- Dysphagia.
3- Weight loss.
4- GI bleeding: Anaemia from occult bleeding, haematemesis, and melaena.
5- Palpable epigastric mass
6- Pylorus/cardia obstruction
7- Perforation
8- Metastatic spread:
To left supraclavicular lymph nodes (Troisier's sign).
To umbilicus ('Sister Joseph's nodule').
To ovaries (Krukenberg tumour).
To the perirectal pouch (Blumer shelf).
Liver ---Jaundice
Bone --- Bone pain
Pertonium --- Ascitis
• 9- Paraneoplastic syndromes:
• Thrombophlebitis (Trousseau's sign)• Acanthosis nigricans (pigmented dermal lesions)
• Membranous nephropathy
• Microangiopathic hemolytic anemia
• Leser-Trélat sign (seborrheic keratosis)
• Dermatomyositis.
Krukenberg tumors: Bilateral ovarian tumors (arrows). These represent ovarian metastases from a gastric adenocarcinoma.
Diagnosis and staging
Upper GI endoscopy: Is the investigation of choice in:Dyspeptic patient with 'alarm features‘
New onset of dyspepsia in patient >55 years
Dyspepsia with family history of gastric carcinoma
Multiple biopsies from the edge and base of a gastric ulcer are required.
Barium meal: is a poor alternative.
CT abdomen: show evidence of intra-abdominal spread or liver metastases.
Laparoscopy: is required to determine whether the tumour is resectable (detect peritoneal spread).
TNM staging of gastric cancer
TisIntaepithelial tumour
T1
Tumour invades submucosa
T2
Tumour invades muscularis propria
T3
Tumour penetrates serosa
T4
Tumour invades adjacent structures
N0
No regional lymph node metastases
N1
Metastasis in 1 to 2 regional lymph nodes
N2
Metastasis in 3 to 6 regional lymph nodes
N3
Metastasis in 7 or more regional lymph nodes
M0
No distant metastasis
M1
Distant metastasis
Management
1-Surgery: cure can be achieved in 90% of patients with early gastric cancer by total gastrectomy with lymphadenectomy, which is the operation of choice.2-Unresectable tumours (Palliative treatment): for advanced cancer.
Chemotherapy: using 5-fluorouracil and cisplatin or ECF (epirubicin, cisplatin and 5-fluorouracil).
Endoscopic laser ablation for dysphagia or recurrent bleeding.
Carcinomas at the cardia: endoscopic dilatation, laser therapy or insertion of expandable metallic stents.
Prognosis:
Remains very poor with less than 30% surviving 5 years, with the exception of early gastric cancer. So endoscopic screening of patients with new-onset dyspepsia in those over the age of 55years, or those with 'alarm' features, are essential.
GASTRIC LYMPHOMA
Primary gastric lymphoma accounts for less than 5% of all gastric malignancies.The stomach is the most common site for extranodal non-Hodgkin's lymphoma (NHL).
Lymphoid tissue is not found in the normal stomach but lymphoid aggregates develop in the presence of H. pylori infection.
There are 2 types of gastric lymphoma:
1-Gastric mucosa associated lymphoid tissue lymphoma (MALToma): It is low-grade lymphoma, H. pylori infection is closely associated.
2-Extranodal manifestation of high grade NHL.
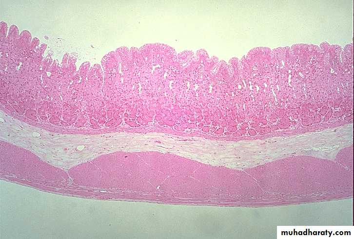
Normal gastric histology
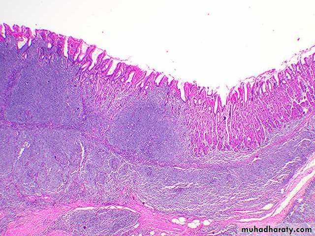
The low-grade lymphoma extends down from the mucosa through the gastric wall. The overlying mucosa shows effacement.
Low-grade gastric MALT lymphoma with diffuse mucosal nodularity in a 60-year-old woman. photograph of the resected specimen shows diffuse nodularities (arrows) in the gastric antrum.
Clinical presentation: is similar to that of gastric cancer.
Endoscopically: the tumour appears as a polypoid or ulcerating mass.Treatment:
Low-grade MALTomas consists of H. pylori eradication and close observation.
High-grade B-cell lymphomas are treated by a combination of chemotherapy, surgery and radiotherapy.
Prognosis:
depends on the type and stage of lymphoma at the time of diagnosis.
The following are associated with H. pylori infection:
• Gastritis• PUD
• Gastric MALToma
• Gastric carcinoma
FUNCTIONAL (NON-ULCER) DYSPEPSIATUCOMDep. of Medicine 4th yearDr. Hasan. I. Sultan
Learning objectives
• Define functional dyspepsia.• List the causes of functional dyspepsia.
• Review the clinical features of functional dyspepsia.
• List the important investigations of functional dyspepsia.
• Outline the management of functional dyspepsia.
FUNCTIONAL (NON-ULCER )DYSPEPSIA
Dyspepsia: is a collective symptoms thought to be originate from the upper gastrointestinal tract, that may include pain or discomfort, bloating, feeling of fullness with very little intake of food, feeling of early satiety, nausea, loss of appetite or heartburn.Functional dyspepsia: chronic dyspepsia (more than 3 months) in the absence of organic disease.
Aetiology: The pathophysiology of functional dyspepsia is unclear but probably due to mucosal, motility, psychiatric disorders or H. pylori infection.
Clinical features:
Usually young (< 40 years) women.Abdominal pain associated with a variable 'dyspeptic' symptoms ( nausea and bloating after meals).
Morning symptoms are characteristic.
A drug history, pregnancy, and alcohol misuse should be ruled out.
Examination:
Usually negative apart from inappropriate tenderness on abdominal palpation, no weight loss, patients may be anxious.
Symptoms may appear disproportionate to clinical well-being.
Investigations:
• Endoscopy is necessary to exclude mucosal disease.
• Testing for H. pylori infection.
• Ultrasound scan may detect gall stones.
Management:
Explanation of symptoms and reassurance that the risk of cancer is very low in absence of alarm features.
Possible psychological factors should be explored.
Give dietary advice: stop smoking, take regular meals, limit spicy, acidic and fatty foods may be helpful.
Review medications that may aggravating symptoms.
Drug treatment;
1-Antacids and alginates are sometimes helpful.2-Prokinetic drugs such as metoclopramide or domperidone -- if nausea, vomiting or bloating is prominent.
3-H2-receptor antagonists or PPI -- if night pain or heartburn is troublesome.
4-The role of H. pylori eradication remains controversial. Indicated in those who are positive results. (Testing and treating for H. pylori) used as a role.
5-Low-dose amitriptyline is sometimes of value.
6-Some patients need behavioral or other formal psychotherapy.


























