TIBIAL PLATEAU FRACTURES
Mechanism of injuryFractures of the tibial plateau are caused by a varus or valgus force combined with axial loading (a pure valgus force is more likely to rupture the ligaments).This is sometimes the result of a car striking a pedestrian(hence th e term ‘bumper fracture’); more oftenit is due to a fall from a height in which the knee is forced into valgus or varus. The tibial condyle iscrushed or split by the opposing femoral condyle,which remains intact.
Schatzker classification of Tibial Plataue Fracture
Type 1 – a vertical split of the lateral condyle.Type 2 – a vertical split of the lateral condyle combined with depression of an adjacent loadbearing part of the condyle.
Type 3 – depression of the articular surface with an intact condylar rim.
Type 4 – fracture of the medial tibial condyle.
Type 5 – fracture of both condyles.
Type 6 – combined condylar and subcondylar fractures.
Clinical features
The knee is swollen and may be deformed. Bruising is usually extensive and the tissues feel ‘doughy’ because of haemarthrosis.Examining the knee may suggest medial or lateral instability but this is usually painful and adds little to the x-ray diagnosis. More importantly, the leg and foot should be carefully examined for signs of vascular or neurological injury.
Imaging
Anteroposterior, lateral and oblique x-rays will usually show the fracture, but the amount of comminution or plateau depression may not be appreciated without computer tomography (CT).Treatment
Type 1 fractures Undisplaced type 1 fractures can be treated conservatively. The haemarthrosis is aspirated and a compression bandage is applied. Displaced fractures should be treated by open reduction and internal fixation.Type 2 fractures:1- If depression is slight (less than 5 mm) and the knee is not unstable, or if the patient is old and frail or osteoporotic, the fracture is treated closed.
2-In younger patients, and more so in those with a
central depression of (more than 5 mm), open reduction
with elevation of the plateau and internal fixation
is often preferred.
Type 3 fractures The principles of treatment are similar to those applying to type 2 fractures.
Type 4 fracture of the medial condyle:The principles of treatment are the same as for type 2 fractures of the lateral plateau.
Types 5 and 6 fractures These are severe injuries that
carry the added risk of a compartment syndrome. A
simple bicondylar fracture, in an elderly patient, can
often be reduced by traction and the patient then
treated as for a type 2 injury – some residual angulation
may follow. However, it is more usual to
consider stable internal fixation and early joint
movement for these injuries, but surgery is not without
significant risk.
Treatment
In younger patients, and more so in those with a central depression of more than 5 mm, open reduction with elevation of the plateau and internal fixation is often preferred
FRACTURES OF TIBIA AND FIBULA
Mechanism of injury1-Indirect injury is usually low energy; with a spiral or long oblique fracture one of the bone fragments may pierce the skin from within.
2-Direct injury crushes or splits the skin over the fracture; this is usually a high-energy injury and the most common cause is a motorcycle accident.
Gustilo’s classification of open fractures
Grade I <1 cm long Minimal Simple low-energy fracturesGrade II >1cm up to 10 cm long Moderate, some muscle damage Moderate comminution
Grade IIIA Usually >10 cm long Severe deep contusion; High-energy fracture patterns; + compartment syndrome comminuted but soft-tissue cover possible
Grade IIIB Usually >10 cm long Severe loss of soft-tissue cover Requires soft-tissue reconstruction for cover
Grade IIIC Usually >10 cm long As IIIB, with need for vascular repair Requires soft-tissue reconstruction for cover.
Gustilo’s classification of open fractures
Clinical features
The limb should be carefully examined for signs of soft-tissue damage: bruising, severe swelling, crushing or tenting of the skin, an open wound, circulatory changes, weak or absent pulses, diminution or loss of sensation and inability to move the toes. Any deformity should be noted before splinting the limb. Always be on the alert for signs of an impending compartment syndrome.X-ray
The entire length of the tibia and fibula, as well as the knee and ankle joints, must be seen. The type of fracture, its level and the degree of angulation and displacement are recorded Spiral fractures without comminution are low energy injuries. Transverse, short oblique and comminuted fractures, especially if displaced or associated with a fibular fracture at a similar level, are high energy injuries.Management
The main objectives are:(1) to limit soft-tissue damage and preserve (or restore, in the case of open fractures) skin cover.
(2) to prevent – or at least recognize a compartment syndrome.
(3) to obtain and hold fracture alignment.
(4) to start early weight bearing (loading promotes healing).
(5) to start joint movements as soon as possible.
LOW-ENERGY FRACTURES
Most low-energy fractures, including Gustilo I
injuries after attention to the wounds, can be treated by non-operative methods.
If the fracture is undisplaced or minimally displaced, a full-length cast from upper thigh to metatarsal necks is applied with the knee slightly flexed and the ankle at a right angle.
If the fracture is displaced, it is reduced under general
anaesthesia with x-ray control. Apposition need
not be complete but alignment must be near-perfect
(no more than 7 degrees of angulation) and rotation
absolutely perfect.
The limb is elevated and the patient is kept under
observation for 48–72 hours. If there is excessiveswelling, the cast is split.
After 2 weeks the position is checked by x-ray. A
change from an above- to a below-the-knee cast is
possible around 4–6 weeks, when the fracture becomes ‘sticky’. until the fracture unites, which is around 8weeks in children but seldom under 12 weeks in adults. Exercise From the start, the patient is taught to exercise the muscles of the foot, ankle and knee.
Conservative treatment
Indications for skeletal fixation:
If follow-up x-rays show unsatisfactory fracture alignment, and wedging fails to correct this, the plaster is abandoned and the fracture. is reduced and fixed at surgery. Indeed, many surgeons would hold that unstable fractures are better treatedby skeletal fixation from the outset.
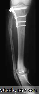
1-Closed intramedullary nailing This is the method of choice for internal fixation. The fracture is reduced under x-ray control and image intensification. For diaphyseal fractures, union can be expected in over 95 per cent of cases. However, the method is less suitable for fractures near the bone ends.
2-Plate fixation is best for metaphyseal fractures that are unsuitable for nailing. It is also sometimes usedfor unstable tibial shaft fractures in children.
3-External fixation This is an alternative to closed nailing; it avoids exposure of the fracture site and allows further adjustments to be made if this should be needed.
Operative treatment
HIGH-ENERGY FRACTURES
Comminuted and segmental fractures, those associatedwith bone loss, and indeed any high-energy fracture
that is inherently unstable, require early surgical
stabilization. For closed fractures, external fixation
and closed nailing are equally suitable; in both cases
the tissues around the fracture are left undisturbed.
For open fractures, the use of internal fixation has to be accompanied by judicious and expert debridement and prompt cover of the exposed bone and implant; alternatively, external fixation can be safer if these pre-requisites cannot be met.
OPEN FRACTURES
The treatment of open tibial fractures is:• antibiotics
• debridement
• stabilization
• prompt soft-tissue cover
• rehabilitation.
Antibiotics are started immediately. A first- or second-generation cephalosporin is suitable for
Gustilo grades I–IIIA wounds but more severe grades may benefit from Gram-negative cover as well (an aminoglycoside such as gentamicin is often used).With an adequate debridement, the antibiotics are continued for 24 hours in a grade 1 fracture and 72 hours in more severe grades (donot miss specific antisera for tetanus and gas gangrene).
Adequate debridement is possible only if the original wound is extended,All dead and foreign material is removed; this includes bone without significant soft-tissue attachments.
Tissue of doubtful viability may be left for a second look in 48 hours.
It is important to stabilize the fracture. For Gustilo
I, II and IIIA injuries, locked intramedullary nailing ispermissible as definitive wound cover is usually possible at the time of debridement. For more severe grades of open tibial fracture, internal fixation should be performed only at the time of definitive soft tissue cover. If this is not feasible at the time of primary debridement, the fracture should be stabilized temporarily with a spanning external fixator.
Severe grades of open fractures should, when ever possible, be managed from the outset under the combined care of an orthopaedic surgeon and a plastic surgeon for soft tissue cover.
CComplications
A-Early complications1-VASCULAR INJURY :Fractures of the proximal half of the tibia may damage the popliteal artery. This is an emergency of the first order, requiring exploration and repair.
2-COMPARTMENT SYNDROME
Tibial fractures – both open and closed – are among
the commonest causes of compartment syndrome in
the leg. The combination of tissue oedema and bleeding
(oozing) causes swelling in the muscle compartments
and this may precipitate ischaemia. The diagnosis is usually suspected on clinical grounds. Warning symptoms are increasing pain, a feeling of tightness or ‘bursting’ in the leg and numbness in the leg or foot.
Fasciotomy and decompression Once the diagnosis is made, decompression should be carried out with the minimum delay – and that mean decompression of all four compartments at the first operation. This is best and most safely accomplished through two incisions.
Fasciotomies for compartment decompression (1) The first incision is usually anterolateral, giving access to theanterior and lateral compartments (2)second incision which is made a finger’s breadth behind the posteromedial border of the tibia.
3-INFECTION
Open fractures are always at risk; even a small perforation should be treated with respect and debridement carried out before the wound is closed. If the diagnosis is suspected, wound swabs and blood samples should be taken and antibiotic treatment started forthwith, using a ‘best guess’ intravenous preparation; once the laboratory results are obtained,a more suitable antibiotic may be substituted.B-Late complications
1-Malunion: Slight shortening (up to 1.5 cm) is usually of little consequence, but rotation and angulation deformity, apart from being unsightly, can be disabling because the knee and ankle no longer move in the same plane.Angulation should be prevented at all stages;anything more than 7 degrees in either plane is unacceptable. Varus or valgus angulation will alter the axis of loading through the knee or ankle, causing increased stress in some part of the joint. This is often cited as acause of secondary osteoarthritis.
Late deformity, if marked, should be corrected by
tibial osteotomy.
2-Delayed union High-energy fractures are slow to unite and liable to non-union or fatigue failure if a nail has been used. If there is insufficient contact at the fracture. site, either through bone loss or comminution,‘prophylactic’ bone grafting as soon as the soft tissues have healed is recommended.
If there is a failure of union to progress on x-ray by 6 months,secondary intervention should be considered.
3-Non-union This may follow bone loss or deep
infection, but a common cause is faulty treatment.
Hypertrophic non-union can be treated by intra -
medullary nailing (or exchange nailing) or compression
plating. Atrophic non-union needs bone grafting also.
Non union
4-Joint stiffness Prolonged cast immobilization is liable to cause stiffness of the ankle and foot, which may persist for 12 months or longer in spite of active exercises. This can be avoided by changing to a functional brace as soon as it is safe to do so, usually by 4–6 weeks.
5-Osteoporosis Osteoporosis of the distal fragment is so common with all forms of treatment as to be regarded as a ‘normal’ consequence of tibial fractures. Axialloading of the tibia is important and weight bearing should be re-established as soon as possible.
6-Regional complex pain syndrome With distal third
fractures, this is not uncommon. Exercises should be
encouraged throughout the period of treatment.




































