Etiology of Malocclusion
Local Factors1- Anamolies in the number of teeth.
A- Supernumerary teeth (extra teeth)The presence of extra tooth obviously has great potential to disrupt normal occlusal development. Early intervention and to remove it is usually required to obtain reasonable alignment and occlusal
relationships.
Most common supernumerary teeth are:
mesiodensSuplemental lateral incisors
extra premolars
paramolar
fourth molars
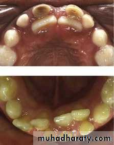
multiple supernumerary teeth are found in cleidocranial dysplasiaComplications associated with supernumerary teeth are
1- Crowding2-Midline diastema
3-Displacement or rotation of of neighboring tooth
4- Root resorption
5- Prevention of eruption of adjacent teeth
Complications associated with supernumerary teeth are
4- Root resorption5- Prevention of eruption of adjacent teeth
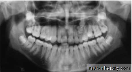
B- Missing teeth
missing teeth may develop due toa- Congenital absence as the order of frequency
Max and mandibular 3rd molars
Max laterals
Mandibular 2rd premolars
Mandibular central incisors
Maxillary second premolars
Anodontia:complete absence
Oligodontia:congenital absence of many, but not all teeth
Hypodontia : absence of only a few teeth
B- Accidents (trauma) or caries
Complications associated with missing teeth
Over-eruption of the opposing tooth
Rotation of teeth adjuscent to the missing tooth
Mesial and distal inclination of the adjacent teeth
Mesial drifting of posterior teeth and distal drifting anterior teeth
spacing
Alveolar atrophy
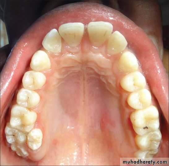
2- Anomalies of the size of teeth
a- Microdontia which may lead to spacingb- Macrodontia which may lead to crowding
c- small size of maxillary lateral incisor
3- Anomalies of Tooth Shape
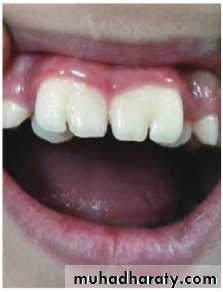
a.Most frequent “Peg Lateral” which leads to excessivespacing.
b. Gemination
c. Fusions
4- Premature loss of deciduous teeth
The early loss of primary teeth should be considered as a “Malocclusion Maker”Deciduous teeth not only serve as organs of mastication, but as spacesavers for permanent teeth. Loss of a deciduous 2nd molar will lead to mesial driftof the 1st permanent molar and blocking of
erupting 2nd premolars.In this cases appropriate
space maintainers should be given.
5 -Prolonged retention and
abnormal resorption ofdeciduous teeth
If the roots of the deciduous teeth are not resorbed properly, uniformly or on schedule, the permanent successors may be either withheld from eruption, or they may be deflected
into malposition
6 -Delayed eruption of
Permanent teeth Delayed eruption of Permanent teeth due to1- Endocrine disorders like
Hypothyroidism.
2-Presence of supernumerary
teeth or deciduous root
3- Mucosal or Bony barrier
will cause the eruption of teeth in malposition
7-Ankylosis
Ankylosis or partial ankylosis occurs relatively frequently during 6-12 year age period.Ankylosed deciduous teeth should be identified and treated by removal or building up or surgical subluxation along with space maintainers.
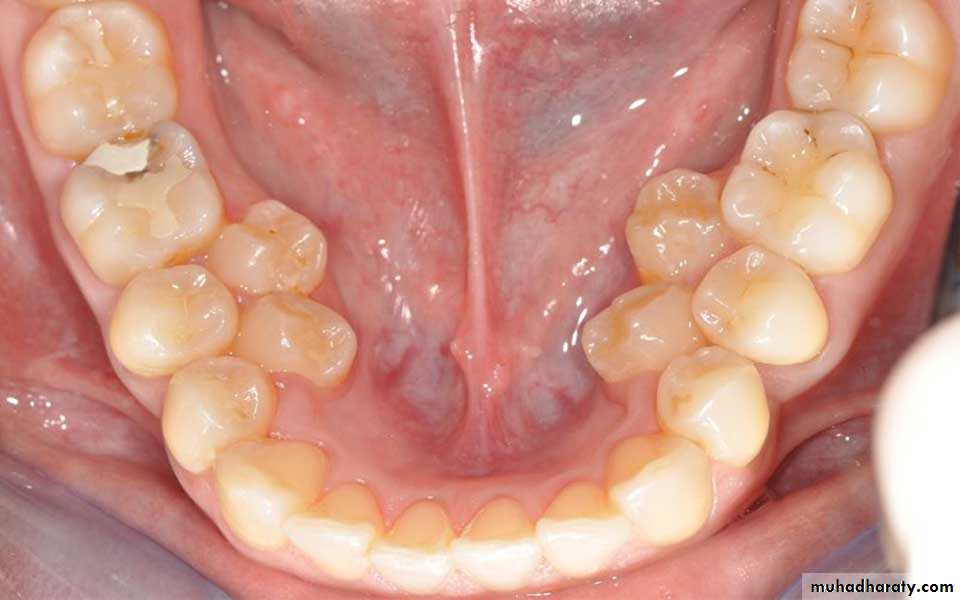
8-Dental caries
Dental caries Dental caries should be considered as one of the local factors causing mal occlusion. Caries which leads to premature loss of a deciduous or permanent tooth may cause drifting,axial inclination, over eruption.
9- Improper dental restorations
Improper dental restorations Silver mercury alloy restorations have a tendency to “flow” under pressure. Large proximal restorations change gradually under the assault of occlusal forces, and arch length is increased. This may result in the creation of broken contacts, rotations, crossbite conditions and functional prematurities. Lack of anatomic detail in restoration of cuspal areas of a tooth can permit elongation of opposing tooth. Loose contacts also leads to food packing, teeth tend to move apart and also leads to bone loss10- Abnormal labial Frenum
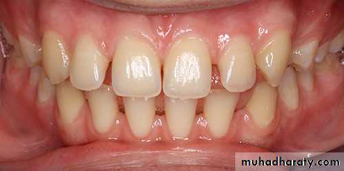
Abnormal labial Frenum If the frenum is thick, itprevents the closure of diastema (which is normal during mixed dentition prior to the eruption of canines)In these cases a frenectomy is indicated11-TRANSPOSITION:- An abnormality where the position of teeth is interchanged- The most transposed teeth: The maxillary canines & first premolars
12-TOOTH IMPACTION: Excluding third molars, commonly impacted teeth include:
Maxillary canines Maxillary central incisors

























