Clinical diagnosis in periodontology
Jafar Naghshbandi D.D.S;M.SDiplomate of the American Board of Periodontology
• CONTENTS
• -EXAMINATION OF PERIODONTIUM• THE PERIODONTAL SCREENING AND RECORDING SYSTEM
• LABORATORY AID TO CLINICAL DIAGNOSIS• -NUTRITIONAL STATUS
• -PATIENT ON SPECIAL DIET FOR MEDICAL REASONS
• -BLOOD TESTS
• Examination of the Periodontium
• The periodontal examination:• It should be systematic, starting in the molar region in either maxilla or mandible and proceeding around the arch.
• It is important to detect the earliest signs of gingival and periodontal disease.
Periodontal charting:
• Charts to record periodontal and associated findings provide a guide for a thorough examination and record of the patient'scondition. They are used for evaluating response to treatment and for comparison at recall visits.
• periodontal screening and recording (PSR)
• A method for periodontal screening and recording (PSR) has been developed jointly by the American Academy of Periodontology and the American Dental Association, with the support of the Procter & Gamble Company.
• PSR is designed for the general dental practitioner, and its purpose is to identify patients requiring periodontal care and to determine, in general terms, the type of care required.
• Plaque and Calculus.
• There are many methods for assessing plaque and calculus accumulation.• " The presence of supragingival plaque and calculus can be directly observed and the amount measured with a calibrated probe.
• For the detection of subgingival calculus, each tooth surface is carefully checked to the level of the gingival attachment with a sharp no. 17 or no. 3A explorer.
• Warm air may be used to deflect the gingiva and aid in visualization of the calculus.
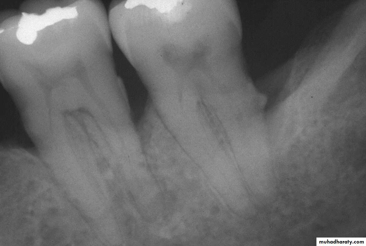
• The gingiva must be dried before accurate observations. Light reflection from moist gingiva obscures detail. In addition to visual examination and exploration with instrumentsRadiograph may sometimes reveal heavy calculus deposits interproximally and even on the facial and lingual surfaces.
• Firm but gentle palpation should be used for detecting pathologic alterations in normal resilience, as well as for locating areas of pus formation.
• Each of the following features of the gingiva should be considered:
• color,• size,
• contour,
• consistency,
• surface texture,
• position,
• ease of bleeding, and
• pain.
• Gingival inflammation can produce two basic types of tissue response:
• 1. edematous and• 2. fibrotic.
• Edematous tissue response is characterized by a smooth, glossy, soft, red gingiva.
• In the fibrotic tissue response, some of the characteristics of normalcy persist; the gingiva is more firm, stippled, and opaque, although it is usually thicker, and its margin appears rounded.
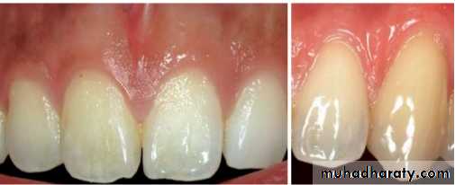
Color
The color of the attached and marginal gingiva is generally described as “coral pink”Produced by
• vascular supply• the thickness and degree of keratinization of the epithelium
• presence of pigment-containing cells.
Size
• The size of the gingiva corresponds with the sum total of the bulk of cellular and intercellular elements and their vascular supply.• Alteration in size is a common feature of gingival disease.
ContourThe contour or shape of the gingiva varies considerably and depends upon
• shape of the teeth and their alignment in the arch
• location and size of the area of proximal contact
• the dimensions of the facial and lingual gingival embrasures.Contour
Shape
The shape of the interdental gingiva is governed by the• contour of the proximal tooth surfaces
• the location and shape of gingival embrasures.Consistency
• It is firm and resilient and with the exception of the movable free margin, tightly bound to the underlying bone.• The collagenous nature of the lamina propria and its contiguity with the mucoperiosteum of the alveolar bone determine the firmness of the attached gingiva.
• The gingival fibers contribute to the firmness of the gingival margin.
Surface texture• The gingiva presents a textured surface similar to an orange peel and is referred to as being stippled.
• Stippling is best viewed by drying gingiva.
• The attached gingiva is stippled; the marginal gingiva is not.Surface texture
• The attached gingiva is stippled; the marginal gingiva is not.• Stippling is less prominent on lingual than facial surfaces. Stippling varies with age-
• In infancy - Absent
• Appears in some children at about 5 years of age, increases until adulthood
• Frequently begins to disappear in old age.
Surface texture
• Microscopically, stippling is produced by alternate rounded protuberances and depressions in the gingival surface.• The papillary layer of the connective tissue projects into the elevations.
• Stippling is a form of adaptive specialization or reinforcement for function.
• It is a feature of healthy gingiva, and reduction or loss of stippling is a common sign of gingival disease.
• When the gingiva is restored to health after treatment, the stippled appearance returns.
Gingiva
Size: Inflammatory gingival enlargement consists of infiltration of white blood cells, along with tissue edema, a proliferation of endothelial cells, and a proliferation of connective tissue cells with the production of new collagen fibers and a hyperplasia of the epithelium. At times the gingival tissues may become enlarged due to neoplasms, systemic disease, or systemic drug administration.Shape: In health, the gingiva should closely adapt to the tooth surface with knife-edged margins. The facial or lingual surfaces of the papilla are flat or slightly concave. With the presence of inflammation, papillas may be blunted, flattened, bulbous, or cratered depending on the disease present, and cervically the gingival margin may appear rolled.
Consistency: Healthy gingival tissue should be firm when pressure is applied with the side of a periodontal probe. Increased fluid in inflamed tissue may cause the gingiva to become soft, spongy, and non-elastic. To evaluate these changes, evaluate both the marginal and attached gingiva.
Gingiva
Surface texture: In health, gingival tissue should appear stippled. As the gingiva becomes edematous, this excess fluid causes the tissues to appear smooth and possibly shiny. At times stippling is not present in healthy gingiva due to the gingival biotype. A thin biotype tends to exhibit less stippling than a thick gingival biotype.Gingival recession: Under normal circumstances, the gingival margin should be located slightly coronal to the cementoenamel junction. If the gingival margin is located apical to the cementoenamel junction, recession has occurred.
Amount of attached gingiva: Assess the width of attached gingiva through the use of the side of a periodontal probe on the alveolar mucosa and roll coronally to identify the mucogingival junction. The band of attached keratinized tissue is generally wider in the maxilla than mandible; it also follows that the widest zone of keratinized tissue is found in the maxillary incisors and is narrowest in the mandibular premolars.
Biotype: When a periodontal probe is inserted into the gingival sulcus, an assessment can be made regarding tissue biotype. If the probe is visible through the tissues, the tissue is considered thin. If the probe is not visible, the biotype is considered thick.
• Use of Clinical Indices in Dental Practice:
• The Gingival Index and the Sulcus Bleeding Index appearare most useful• and most easily transferred to clinical practice.
• The Gingival Index (Loe and Silness) provides an assessment of gingival inflammatory status that can be used in practice to compare gingival health before and after Phase I therapy or before and after surgical therapy.
• It can also be used to compare gingival status at recall visits.
• The Sulcus Bleeding Index (Miihlemann and Son).
• It is important to detect early inflammatory changes and presence of inflammatory lesions located at base of the periodontal pocket, an area inaccessible to visual examination.• Examination for periodontal pockets must include consideration of the following:
• presence and distribution on each tooth surface• pocket depth
• level of attachment on the root
• type of pocket (suprabony or intrabony).
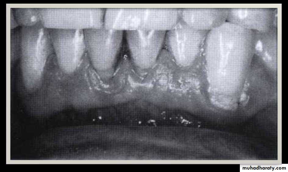
• Periodontal pockets around lower anterior teeth, showing rolled margins, edematous inflammatory changes and abundant calculus
• Signs And Symptoms
• Probing is• the only reliable
• method of detecting pockets, but other changes also play a very important role, such as:
• Color changes
• Bluish-red marginal gingiva
• Bluish-red vertical zone
• extending from the gingival
• margin to the attached gingiva,a "rolled" edge separating the gingival margin from the tooth surface
• The presence
• of bleeding,
• suppuration, and loose, extruded
• teeth may also denote the presence of pockets
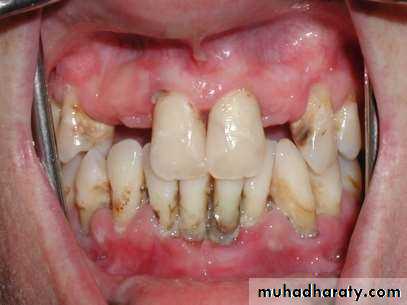
• Extrusion of the maxillary left central incisor and diastema
• associated with a periodontal pocket• Deep periodontal pocket revealed by probing. The probe has penetrated to its entire length.
• Periodontal pockets are generally painless but may give rise to symptoms such as localized or sometimes radiating pain or sensation of pressure after eating, which gradually diminishes.
• There can also be foul taste in localized areas, sensitivity to hot and cold, and toothache in the absence of caries
• Detection of Pockets
• The only accurate method of detecting and measuring periodontal pockets is careful exploration with a periodontal probe• Pockets are not detected by radiographic examination.
• The periodontal pocket is a soft tissue change
• Radiographs indicate areas of bone loss where pockets may be suspected but :
• they do not show pocket presence or depth
• They show no difference before or after pocket elimination unless bone has been modified
• Guttapercha points or calibrated silver points 19 can
• be used with the radiograph to assist in determining the level of attachment of periodontal pockets
• Blunted silver points assist in locating the base of pockets
• Pocket Probing• The two different pocket depths are:
• Biologic or histologic depth
• Clinical or probing depth
• Biologic or histologic pocket depth
• Probing or clinical pocket depth• The biologic depth is the distance between the gingival margin and the base of the pocket
• The probing depth is the distance to which a probe penetrates into the pocket
• The depth of penetration of a probe in a pocket depends on factors such as
• size of the probe
• force with which it is introduced
• direction of penetration
• resistance of the tissues, and convexity of the crown.
• Probe penetration can vary depending on:
• the force of introduction,
• the shape and size of the probe tip and
• the degree of tissue inflammation
• Probing Technique
• The probe should be inserted parallel to the vertical axis of the tooth and "walked" circumferentially around each surface of each tooth to detect the areas of deepest penetration• "Walking" the probe to explore the entire pocket.
• Special attention should be directed to detecting the presence of• interdental craters and furcation involvements
• To detect an interdental crater, the probe should be placed obliquely from both the facial and lingual surfaces so as to explore the deepest point of the pocket located beneath the contact point
• Vertical insertion of the probe (left) may not detect interdental craters; oblique positioning of the probe (right) reaches
• the depth of the crater.
• In multirooted teeth the possibility of furcation involvement should
• be carefully explored.• The use of specially designed probes (e.g., Nabers probe) allows an easier and more accurate exploration of the horizontal component
• of furcation lesions
• Exploring with a periodontal probe (left) may not detect furcation involvement; specially designed instruments (Nabers probe) (right) can enter the furcation area
• LEVEL OF ATTACHMENT VERSUS POCKET DEPTH
• Pocket depth is the distance between the base of the pocket and the gingival margin• It may change from time to time even in untreated periodontal disease owing to changes in the position of the gingival margin, and therefore it may be unrelated to the existing attachment of the tooth.
• The level of attachment, on the other hand, is the distance between the base of the pocket and a fixed point on the crown,
• such as the
• cementoenameljunction.
• Changes in the level of attachment can be due only to gain or loss of attachment and afford a better indication of the degree of periodontal destruction
• DETERMINING THE LEVEL OF ATTACHMENT
• When the gingival margin is located on the anatomic crown, the level of attachment is determined by subtracting from the depth of• the pocket the distance from
• the
gingival margin
• to
the
• cementoenameljunction. If both
• are
• the same, the
• loss
of
• attachment is zero
• When the gingival margin coincides with the cementoenamel
• junction, the loss of attachment equals the pocket depth• When the gingival margin is located apical to the cementoenamel junction, the loss of attachment is greater than the pocket depth, and therefore the distance between the cementoenameljunction and the gingival margin should be added to the pocket depth. Drawing the gingival margin on the chart where pocket depths are entered helps clarify this important point.
• Bleeding on Probing
• The insertion of a probe to the bottom of the pocket elicits bleeding if the gingiva is inflamed and the pocket epithelium is atrophic or ulcerated.
• Non inflamed sites rarely bleed.
• In most cases, bleeding on probing is an earlier sign of inflammation than gingival colour changes.• However, sometimes colour changes are found with no bleeding on
• probing.• Depending on the severity of inflammation, bleeding can vary from a tenuous red line along the gingival sulcus to profuse bleeding.
• After successful treatment, bleeding on probing ceases .
• To test for bleeding after probing, the probe is carefully introduced to the bottom of the pocket and gently moved laterally along the pocket wall.• Sometimes bleeding appears immediately after removal of the probe ; other times it may be delayed a few seconds.
• Therefore the clinician should recheck for bleeding 30 to 60 seconds
• after probing.• As a single test, bleeding on probing is not a good predictor of progressive attachment loss; however its absence is an excellent predictor of periodontal stability.
• When present in multiple sites of advanced disease , bleeding on probing is a good indicator of progressive attachment loss.
• Insertion of a soft wooden inter-dental stimulator in the inter-dental space produces a similar bleeding response and can be used by the patient to self-examine the gingiva for the presence of inflammation.
• When to probe
• Probing of pockets is done at various times for diagnosis, and for monitoring the course of treatment and maintenance.• The initial probing of moderate or advanced cases is usually hampered by the presence of heavy inflammation and abundant calculus and cannot be done very accurately.
• The purpose of the initial probing, together with the clinical and radiographic examination is done, however, with the main purpose of determining whether the tooth can be saved or should be extracted.
• After the patient has performed an adequate plaque control for some time and calculus has been removed, the major inflammatory changes disappears, and a more accurate probing of the pockets can be performed.
• This second probing is for the purpose of accurately establishing the level of attachment and degree of involvement of roots and
• furcations.
• Data obtained from this probing provides valuable information for treatment decisions.
• Further along periodontal treatment probings are done to determine changes in pocket depth and to ascertain healing progress after different procedures.• Probing around implants
• Since periimplantitis can create pockets around implants, probing around them becomes part of examination and diagnosis.
• To prevent scratching of the implant surface, plastic periodontal probes should be used instead of the usual steel probes used for the natural dentition.
• Determination of disease activity
• The determination of pocket depth or attachment levels does not provide information on whether the lesion is in an active or inactive state.• Currently there is no sure method to determine activity or inactivity
• of a lesion.• Inactive lesions may show little or no bleeding on probing and minimal amounts of gingival fluid; the bacterial flora, as revealed
• by dark-field microscopy, consists mostly of coccoid cells.
• Active lesions bleed more readily on probing and have large amounts of fluid and exudate; their bacterial flora shows a greater number of spirochetes and motile bacteria
• Amount of attached gingiva
• It is important to establish the relation between the bottom of the pocket and the muco-gingival line.• The width of the attached gingiva is the distance between the muco- gingival junction and the projection on the external surface of the
• bottom of the gingival sulcus or the periodontal pocket.
• It should not be confused with the width of the keratinized gingiva,
• because the latter also includes the marginal gingiva
• The width of the attached gingiva is determined by subtracting the sulcus or pocket depth from the total width of the gingiva (gingival margin to mucogingival line).
• This is done by stretching the lip or cheek to demarcate the mucogingival
• line while the pocket is being probed.• The amount of attached gingiva is generally considered to be insufficient when stretching of the lip or cheek induces movement of the free gingival margin.
• Degree of gingival recession
• Other methods used to determine the amount of attached gingiva include pushing the adjacent mucosa coronally with a dull instrument or painting the mucosa with Schiller's potassium iodide solution, which stains keratin.• During periodontal examination, it is necessary to record the data
• regarding the amount of gingival recession.• This measurement is taken with a periodontal probe from the cemento-
• enamel junction to the gingival crest.• Alveolar bone loss
• Alveolar bone levels are evaluated by clinical and radiographic examination.
• Probing is helpful for determining
• the height and contour of the facial and lingual bones obscured on the radiograph by the dense roots and
• the architecture of the inter-dental bone.
• Trans-gingival probing, performed after the area is anesthetized, is a more accurate method of evaluation and provides additional information on bone architecture• Palpation
• Palpating the oral mucosa in the lateral and apical areas of the tooth may help locate the origin of radiating pain that the patient cannot localize.• Infection deep in the periodontal tissues and the early stages of a periodontal abscess may also be detected by palpation.
• Suppuration
• The presence of an abundant number of neutrophils in the gingival fluid transforms it into a purulent exudate.• Several studies have evaluated the association between suppuration and the progression of periodontitis and reported that this sign is present in a very low percentage of sites with the disease (3 to 5%).
• Therefore it is not by itself a good indicator.
• Clinically, the presence of pus in a periodontal pocket is determined by placing the ball of the index finger along the lateral aspect of the marginal gingiva and applying pressure in a rolling motion toward the crown
• Visual examination without digital pressure is not enough.
• The purulent exudate is formed in the inner pocket wall, and therefore the external appearance may give no indication of its presence.• Pus formation does not occur in all periodontal pockets, but digital pressure often reveals it in pockets where its presence is not suspected.
• Periodontal abscess
• A periodontal abscess is a localized accumulation of pus within the gingival wall of a periodontal pocket. Periodontal abscesses may be acute or chronic.• The acute periodontal abscess appears as an ovoid elevation of the gingiva along the lateral aspect of the root.
• The gingiva is edematous and red, with a smooth, shiny surface. The shape and consistency of the elevated area vary; the area may be domelike and relatively firm, or pointed and soft.
• In most cases, pus may be expressed from the gingival margin with gentle digital pressure.
• fever,
• The acute periodontal abscess is accompanied by symptoms such as :
• -throbbing radiating pain
• -exquisite tenderness of the gingiva to palpation
• -sensitivity of the tooth to palpation
• -tooth mobility
• - lymphadenitis
• and, less frequently, systemic effects such as leukocytosis, and malaise.
• Occasionally, the patient may have symptoms of an acute periodontal abscess without any notable clinical lesion or radiographic changes.
• The chronic periodontal abscess usually presents a sinus that opens onto the gingival mucosa somewhere along the length of the root.
• There may be a history of intermittent exudation.
• The orifice of the sinus may appear as a difficult-to-detect pinpoint opening, which, when probed, reveals a sinus tract deep in the periodontium.
• The sinus may be covered by a small, pink, beadlike mass of granulation tissue.
• The chronic periodontal abscess is usually asymptomatic.• However, the patient may report episodes of dull, gnawing pain; slight elevation of the tooth; and a desire to bite down on and grind the tooth.
• acute
• The chronic periodontal abscess often undergoes exacerbations with all the associated symptoms.• Diagnosis of the periodontal abscess requires correlation of the history and clinical and radiographic findings.
• The suspected area should be probed carefully along the gingival margin in relation to each tooth surface to detect channel from the marginal area to the deeper periodontal tissues.
• Continuity of the lesion with the gingival margins is the clinical evidence that the abscess is periodontal.
• The abscess is not necessarily located on the same surface of the root as the pocket from which it is formed.
• A pocket at the facial surface may give rise to a periodontal abscess inter-proximally.
• It is common for a periodontal abscess to be located at a root surface other than that along which the pocket originated, because drainage is more likely to be impaired when a pocket follows a tortuous course.
• In children a sinus orifice along the lateral aspect of a root is usually the
• result of peri-apical infection of a deciduous tooth.• In the permanent dentition such an orifice may be caused by a periodontal abscess, as well as by apical involvement.
• The orifice may be patent and draining, or it may be closed and appear as a red, nodular mass.
• Exploration of such masses with a probe usually reveals a pinpoint orifice that communicates with an underlying sinus.
• Sinus
• Sinus orifice from a palatal periodontal abscess• Pinpoint orifice in the palate indicative of a sinus from a
• periodontal abscess.
• Probe extends into the abscess deep in the periodontium.
• Periodontal abscess VS gingival abscess
• The principal differences between the periodontal abscess and the gingival abscess are the location and history• The gingival abscess is confined to the marginal gingiva, and it often occurs in previously disease-free areas
• It is usually an acute inflammatory response to forcing of foreign material into the gingiva.
• The periodontal abscess involves the supporting periodontal
• structures and generally occurs in the course of chronic destructive• periodontitis.
• Periodontal abscess & periapical abscess
• Several characteristics can be used as guidelines in differentiating a periodontal abscess from a periapical abscess.• If the tooth is non-vital, the lesion is most likely periapical.
• However, a previously non-vital tooth can have a deep periodontal• pocket that can abscess.
• Moreover, a deep periodontal pocket can extend to the apex and cause pulpal involvement and necrosis.
• An apical abscess may spread along the lateral aspect of the root to the gingival margin.
• However, when the apex and lateral surface of a root are involved by a single lesion that can be probed directly from the gingival margin, the lesion is more likely to have originated in a periodontal abscess.
• Radiographic findings are sometimes helpful in differentiating between a periodontal and a periapical lesion
• Early acute periodontal and periapical abscesses present no radiographic changes.
• Ordinarily, a radiolucent area along the lateral surface of the root suggests the presence of a periodontal abscess, whereas apical rarefaction suggests a periapical abscess.
• However, acute periodontal abscesses that show no radiographic changes often cause symptoms in teeth with long-standing, radiographically detectable periapical lesions that are not contributing to the patient's complaint.
• Clinical findings, such as the presence of extensive caries, pocket
• formation, lack of tooth vitality, and the existence of continuity between the gingival margin and the abscess area, often prove to be of greater diagnostic value than radiographic appearance.• A draining
• periodontal• sinus on the lateral aspect of
• rather than apical involvement;
• the root suggests
• a sinus from a
• periapical lesion is more likely to be located further apically.
• However, sinus location is not conclusive.
• In many instances, particularly in children, the sinus from a periapical lesion drains on the side of the root rather than at the apex.• The Periodontal Screening &RecordingTM (PSR®)
• PSR system is designed for easier an d faster screening and recording of the periodontal status of a patient by a general practitioner or a dental hygienist.• It uses a specially designed probe that has a 0.5-mm ball tip and is colour coded from 3.5 to 5.5 mm
• The patient's mouth is divided into six sextants (maxillary right, anterior, and left; mandibular left, anterior, and right).
• Each tooth is probed, with the clinician walking the probe around the entire tooth to examine at least six points around each tooth: mesio-facial, mid- facial, disto-facial, and the corresponding lingual/palatal areas.
• The deepest finding is recorded in each sextant, along with other findings, according to the following code:
• Code 0,
• Code 1,
• Code 2,
• Code 3,
• Code 4.
• Code 0: In the deepest sulcus of the sextant, the probe's colored band remains completely visible. Gingival tissue is healthy and does not bleed on gentle probing.
• No calculus or defective margins are found. These patients require only appropriate preventive care.
• Code 1: The colored band of the probe remains completely visible in the deepest sulcus of the sextant; no calculus or defective margins are found, but some bleeding after gentle probing is detected.
• Treatment for these patients consists of subgingival plaque removal and appropriate oral hygiene instructions.
• Code 2: The probe's colored band is still completely visible, but there is bleeding on probing, and supra-gingival or sub-gingival calculus and/or defective margins are found. Treatment should include plaque and calculus removal, correction of plaque-retentive margins of restorations, and oral hygiene instruction.
• Code 3: The colored band is partially submerged. This indicates the need for a comprehensive periodontal examination and charting of the affected sextant to determine the necessary treatment plan.
• If two or more sextants score Code 3, a comprehensive full-mouth examination and charting is indicated.
• Code 4: The colored band completely disappears in the pocket, indicating a depth greater than 5.5 mm. In this case a comprehensive full-mouth periodontal examination, charting, and treatment planning are needed.
• Code *: When any of the following abnormalities are seen, an asterisk (*) is entered, in addition to the code number:
• furcation involvement,
• -tooth mobility,
• mucogingival problem,
• gingival recession extending to the colored band of the probe (3.5 mm or greater).
• The code finding for each sextant and the date are entered on a sticker which is placed on the patient's record.
• When unusual gingival or periodontal problems are present and
• cannot be explained by local causes, the possibility of contributing systemic factors must be explored• The dentist must understand the oral manifestations of systemic disease so that he or she can question the patient's physician regarding the type of systemic disturbance that may be involved in individual cases.
• Numerous laboratory tests aid in the diagnosis of systemic diseases. Descriptions of the manner in which they are performed and the interpretation of findings are provided in standard texts on the subject.
• Tests pertinent to the diagnosis of disturbances often manifested in
• the oral cavity are referred to briefly here.• Certain signs and symptoms have been identified with different nutritional deficiencies.
• However, many patients with nutritional disease do not exhibit classic signs of deficiency disorders, and different types of deficiency produce comparable clinical findings.
• Clinical findings are suggestive, but definitive diagnosis of nutritional deficiencies and their nature requires the combined information revealed by the history, clinical and laboratory findings, and therapeutic trial.
• Patients on Special Diets for Medical Reasons
• Patients on low-residue, non detergent diets often develop gingivitis because the prescribed foods lack cleansing action and the tendency for plaque and food debris to accumulate on the teeth is increased.• Because fibrous foods are contraindicated, special effort is made to compensate for the soft diet by emphasizing the patient's oral hygiene procedures.
• Patients on salt-free diets should not be given saline mouthwashes, nor should they be treated with saline preparations without consulting their physician.
• Diabetes, gallbladder disease, and hypertension are examples of conditions in which particular care should be taken to avoid the prescription of contraindicated food.
• Blood tests
• Analyses of blood smears, red and white blood cell counts, white blood cell differential counts, and erythrocyte sedimentation rates are used to evaluate the presence of blood dyscrasias and generalized infections.• Determination of coagulation time, bleeding time, clot retraction time, prothrombin time, capillary fragility test, and bone marrow studies may be required at times.
• They may be useful aids in the differential diagnosis of certain types of periodontal diseases.
• Refrences
• CARRANZA’S- CLINICAL PERIODONTOLOGY• -Tenth edition










































