Demyelinating Disorders
• Demyelinating disorders are immune-mediated condi-tions
• characterized by preferential destruction of central
nervous system (CNS) myelin.
• The peripheral nervous system (PNS) is spared, and
• most patients have no evidence of an associated systemic illness.
Multiple Sclerosis
• Multiple sclerosis (MS), the most common disease in this category• is second only to trauma as a cause of neurologic disability beginning in early to middle adulthood.
• a chronic disease
• Female to male ratio is 3 : 1
• onset is typically between 20 and 40 years
• More in temperate areas than in tropics
• highest known prevalence for MS (250 per 100,000) in the Orkney Islands, located north of Scotland. In other temperate zone areas the prevalence of MS is 0.1–0.2%.
Pathogenesis:
• Multifactorial disorder• immune factors:
- Auto immune reaction in response to a possible role for infectious agents
Like: poliomyelitis?, measles?, infectious mononucleosis?, EBV?
- both autoreactive T lymphocyte, B cell activation & antibody responses
- Lack of sun exposure cause unenough UVB which causes defect in production of vit. D that has immune regulatory effects
- target is myeline basic protein (cellular immune attack) ; & myelin oligodendrocyte glyco-protein (MOG) (auto antibody reaction=myeline specific antibody reaction)
• Environmental factors:
- more in higher socioeconomic classes
- unknown environmental factor either in utero or in the early postnatal period
- when individuals move (prior to their adolescent years) from an area of high MS prevalence to an area of low prevalence (or vice versa), their MS risk becomes similar to that of the region to which they moved
• Genetic factors:
- poly-genic inheritance
- Whites are inherently at higher risk for MS than Africans or Asians
- there is familial aggregation
• Lesions of MS occur at different times and in different CNS locations (i.e., disseminated in time and space = multi-phasic disease).
• inflammation, demyelination, gliosis (scarring), and neuronal loss
• New MS lesions begin with perivenular cuffing by inflammatory mononuclear cells, predominantly T cells and macrophages, which also infiltrate the surrounding white matter. At sites of inflammation, the blood-brain barrier (BBB) is disrupted, but unlike vasculitis, the vessel wall is preserved.
• relative sparing of axons is typical of MS
• But partial or total axonal destruction can also occur, especially within highly inflamatory lesions.• Thus, MS is not solely a disease of myelin (white matter)
• neuronal pathology (gray matter) is increasingly recognized as a major contributor to irreversible neurologic disability
Clinical features:
• Onset is either abrupt or insidious• Symptoms may be severe or seem so trivial that a patient may not seek medical attention for months or years.
• Examination often reveals evidence of neurologic dysfunction, often in asymptomatic locations. For example, a patient may present with symptoms in one leg but signs in both.
• Weakness of the limbs (upper motor neurone lesion) may manifest as loss of strength, speed, or dexterity, as fatigue, or a disturbance of gait.
• Exercise-induced weakness is a characteristic
• Spasticity is commonly associated with spontaneous and movement-induced muscle spasms (may be painful).
• Optic neuritis (ON) presents as diminished visual acuity, dimness, or decreased color perception (desaturation) in the central field of vision.
• Visual blurring in MS may result from ON or diplopia
• Diplopia may result from internuclear ophthalmoplegia (INO) or from palsy of the sixth cranial nerve (rarely the third or fourth).
• Sensory symptoms are varied and include both paresthesias and hypesthesia unpleasant sensations
• Pain is a common symptom of MS, experienced by >50% of patients.
• Pain can occur anywhere on the body and can change locations over time.
• Defect in vibration & sensory level
• Ataxia usually manifests as cerebellar tremors
• Ataxia may also involve the head and trunk or the voice, producing a characteristic cerebellar dysarthria (scanning speech).
• Bladder dysfunction is present in >90% of MS patients
• Detrusor hyperreflexia (impairment of suprasegmental inhibition) causes urinary frequency, urgency, nocturia, and uncontrolled bladder emptying.• Detrusor sphincter dyssynergia, due to loss of synchronization between detrusor and sphincter muscles, causes difficulty in initiating and/or stopping the urinary stream, producing hesitancy, urinary retention, overflow incontinence, and recurrent infection.
• Constipation occurs in >30%
• Fecal urgency
• or bowel incontinence is less common (15%)
• Cognitive dysfunction but dementia is rare
• Depression, in approximately 50% of patients
• Fatigue in 90% of cases
• Sexual dysfunction may manifest as decreased libido, impaired genital sensation, impotence in men, and diminished vaginal lubrication or adductor spasms in women.
• Facial weakness due to a lesion in the pons usually not associated with ipsilateral loss of taste sensation or retroauricular pain
• Vertigo may appear suddenly from a brainstem lesion
• Hearing loss is uncommon
• Heat sensitivity, ex: unilateral visual blurring may occur during a hot shower or with physical exercise (Uhthoff’s symptom)
• Lhermitte’s symptom is an electric shock–like sensation induced by flexion or other movements of the neck
• Trigeminal neuralgia, hemifacial spasm, and glossopharyngeal neuralgia due to compression of n. roots by plaque
• Facial myokymia
Disease course:
• Relapsing/remitting MS (RRMS) accounts for 85%• Secondary progressive MS (SPMS) always begins as RRMS. SPMS appears to represent a late stage of RRMS, though RRMS has anual risk of developing SPMS is ∼2% each year
• Primary progressive MS (PPMS) accounts for ∼15% (mean age ∼40 years)
• Progressive/relapsing MS (PRMS) overlaps PPMS and SPMS and accounts for ∼5%
Differential Diagnosis:
• Acute disseminated encephalomyelitis (ADEM)• Antiphospholipid antibody syndrome
• Behçet’s disease
• HIV infection
• Ischemic optic neuropathy
• Neoplasms (e.g., lymphoma, glioma, meningioma)
• Stroke and ischemic cerebrovascular disease
• Syphilis
• Systemic lupus erythematosus
• Familial spastic paraparesis
• Vitamin B 12 deficiency
Diagnosis:
• There is no definitive diagnostic test for MS
• Diagnostic criteria for clinically definite MS require documentation of two or more episodes of symptoms + two or more signs that reflect pathology in anatomically noncontiguous white matter tracts of the CNS
• Symptoms must last for >24 h and occur as distinct episodes that are separated by a month or more
• At least one of the two required signs must be present on neurologic examination. The second (in place) may be documented by abnormal paraclinical tests such as MRI or evoked potentials (EPs)
• the second clinical event (in time) may be supported solely by paraclinical information, usually the development of new focal white matter lesions on MRI
• In patients who experience gradual progression of disability for ≥6 months without superimposed relapses, documentation of intrathecal IgG synthesis may be used to support the diagnosis
• Absence of other explanation
Investigations:
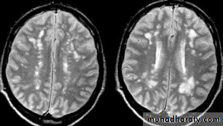
• - MRI:• characteristic abnormalities (plaques) are found in >95% of patients, although more than 90% of the lesions visualized by MRI are asymptomatic
• Plaques are frequently oriented perpendicular to the ventricular surface,
• Plaques are multi-focal within the brain, brain-stem, and spinal cord
• Plaque larger than 6 mm particularly helpful
• Recent plaque show Gd enhancement persists for approximately 1 month
• Old MS plaque remains visible indefinitely as a focal area of hyperintensity (a lesion) on spin-echo (T2-weighted) and protondensity images
Brain MRI films of M.S
• - Evoked potentials (visual, auditory, somato-sensory):
• Abnormalities on one or more EP modalities occur in 80–90% of MS patients• EP abnormalities are not specific to MS, although a
• marked delay in the latency of a specific EP component
• (as opposed to a reduced amplitude or distorted wave-
• shape) is suggestive of demyelination.
• - C.S.F analysis:
• Mild mononuclear cell pleocytosis > 5, < 75 exist in about 25% of cases
• Mildly elevated protein
• increased level of intrathecally synthesized IgG
• Two or more oligo-clonal band OCBs are found in 75–90% of patients with MS
Treatment:
• a. treatment of acute attacks:• I.V Methylprednisolone 1g in 500 cc G/S over 2 hr daily for 5 days followed by oral prednisolone 60-80 mg/day for 10 days followed by gradual tapering to zero. Oral prednizolone important to decrease incidence of future relapses & residual deficit.
• If acute attack is sever fulminating, then plasma exchange (5–7 exchanges: 40–60 mL/kg per exchange, every other day for 14 days) will be mode of treatment
• b. disease modifying therapy:
• They decrease frequency of acute attacks
• ONLY FOR RELAPSING FORMS OF MS (RRMS, SPMS WITH EXACERBATIONS)
• IFN-β-1b (Betaseron)®, 250 μg SC every other day
• IFN-β-1a (Avonex)®, 30 μg IM once per week
• IFN-β-1a (Rebif)®, 44 μg SC tree time per week
• Glatiramer acetate, a synthetic random polypeptide, 20 mg SC daily
• Mitoxantrone (Novantrone)®, an anthracenedione, 12 mg/m 2 IV once every 3 months
• Natalizumab (Tysabri)®, a humanized monoclonal antibody, 300 mg IV once per month
• Fingolimod, sphingosine-1-phosphate (S1P) inhibitor, 0.5 mg orally daily
• Cladribine (Leustatin)®, a purine analog, 3.5 mg/kg orally once per year
• Common side effects of IFN-β therapy, which are class I interferons, include flulike symptoms (e.g., fevers, chills, and myalgias) and mild abnormalities on routine laboratory evaluation (e.g., elevated liver function tests or lymphopenia).
• Subcutaneous IFN-β also causes reactions at the injection site (e.g., pain, redness, induration, or, rarely, skin necrosis).
• Approximately 2–10% of IFN-β-1a (Avonex)® recipients, 15–25% of IFN-β-1a (Rebif )® recipients, and 30–40% of IFN-β-1b (Betaseron)® recipients develop neutralizing antibodies to IFN-β, which may disappear over time
• c. symptomatic treatments:
• encourage attention to a healthy lifestyle• physiotherapy
• correct vitamin D deficiency with oral vitamin D, and to recommend dietary omega-3
• Spasticity and spasms treated by muscle relaxant like baclofen (Lioresal)® (20–120 mg/d), diazepam (2–40 mg/d)
• detrusor hyperreflexia treated by propantheline bromide (10–15 mg/d), oxybutynin (5–15 mg/d), hyoscyamine sulfate (0.5–0.75 mg/d)
• Detrusor/sphincter dyssynergia may respond to phenoxy benzamine (10–20 mg/d) or terazosin hydrochloride (1–20 mg/d), & often need urinary catheterization
• Treat UTI
• Primary MS fatigue may respond to amantadine (200 mg/d), methylphenidate (5–25 mg/d), or modafinil (100–400 mg/d)
• And so on ……..
Prognosis:
• Deficit in M.S is accumulative over attacks: with each new attack, residual deficit will be more & more.
• No any other disease in medicine has such very variable prognosis ! It my kill patient within 2 years or patient remain without disability for 35 years !
• <20% of patient have benign MS (never develop neurological disabilities.
• Patients with benign MS 15 years after onset who have entirely normal neurologic examinations are likely to maintain their benign course.
• Good prognostic indicators:
• - ON or sensory symptoms at onset• - fewer than two relapses in the first year of illness
• - minimal impairment after 5 years
• - numerous MRI lesions during the early years of disease
• Bad prognostic indicators:
• - truncal ataxia
• - action tremor
• - pyramidal symptoms
• - a progressive disease course
• - fewer MRI lesions during the early years of disease



