Fractures of the wrist and hand
Dr. Saad Abdul AzizColle’s fracture
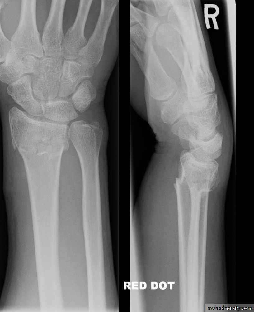
is a transverse fracture of the distal radius just above the wrist with dorsal displacement of the distal fragment.It’s the most common of all fractures in older people.
Mechanism of injury
fall on outstretched hand, its either undisplaced or displaced .In displaced fracture the distal fragment collapses into extension, dorsal displacement, radial tilt and shortening.
Clinical features :pain, tenderness, and deformity.
X-rays: AP&Lat. Views
Treatment:
Undisplaced fractureDisplaced fracture: :
Comminuted colles fracture:
Complications:
Early:
1-circulation of the fingers.
Median nerve compression.
Reflex sympathetic dystrophy: swelling and tenderness of the fingers joints, stiffness, signs of vasomotor instability. X-rays shows osteoporosis.
Ligamental injury.
Late :
Malunion.
Delay union.
Non union
Stiffness of the shoulder, elbow, wrist and fingers.
Osteo arthritis.
Smith fracture :
Treatment :
Distal forearm fracture in children (juvenile
colles):The fracture may occur through the distal radial physis or in the metaphysic of one or both bones. Metaphyseal fravtures are often incomplete or green-stick.
Mechanism of injury:
Clinical features:
X-rays:Treatment:
Complications: +
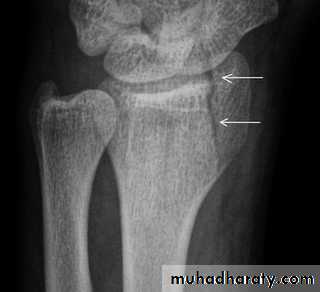
Radio-ulnar discrepancy.Radial styloid fracture
Caused by forced radial deviation of the wrist.the fracture line is extend laterally from the articular surface of the radius.Treatment:
Fracture- sublaxation of the radiocarpal joint: (Barton's fracture)
Volar or dorsal sublaxation,Treatment : undisplaced fracture: casting below elbow for 6wks.
Displaced fracture: open reduction and internal fixation.
Complications of radiocarpal fractures:
Early: 1-associated injuries of the carpus.2- redisplacement.
Late: 1- carpal instability.
2-secondary osteoarthritis.
Carpal injuries
Scaphoid fractures:Its account for almost 75% of all carpal fractures, its rare in the elderly and children.
Mechanism of fracture: fall on dorsiflexed hand.
Stable and unstable fractures.
Clinical features:
X-ray : AP, Lateral and oblique views.
Treatment:Undisplaced fracture : casting on glass-holding position for 6 wks.
Displaced fracture: open reduction and internal fixation.
Surgical treatment
Complications:
Avascular necrosis: the proximal fragment may die, especially with proximal pole fracture. It appears dense on X-ray after 2-3 months.Non-union: if the fracture is not united after 3 months.
Osteoarthritis
Metacarpal fractures:
Fracture of metacarpal shaft: transverse or spiral
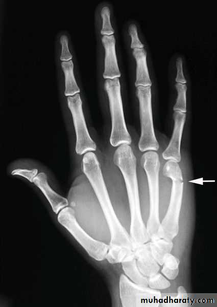
Fracture of the metacarpal neck: usually of the 5th finger (boxer's fracture), localized swelling with flattening of the knuckle.Fracture of the metacarpal base.























