Al-Mustansiriyah University
College of Medicine - Department of MedicineDivision of Radiology
IMAGING OF LOWER GIT BLEEDING
DR. ABDULLATEEF AL-BAYATITeaching Board Member
CABMS-RAD
7
Causes:
• Common causes of acute lower GIT bleeding are angiodysplasia and diverticular disease.
• Although colonic diverticula are more prevalent in the sigmoid colon, up to 50 % of bleeding from diverticular disease occurs in the ascending colon.
• Less common causes of lower GIT bleeding include inflammatory bowel disease, colonic carcinoma, solitary rectal ulcer and post-polypectomy.
Imaging types:
• Lower GIT bleeding is first investigated by sigmoidoscopy.
• If sigmoidoscopy is negative, Scintigraphy, CT angiography and catheter angiography are used to further assess the patient.
• Scintigraphy and CT angiography are particularly useful in hemodynamically stable patients to diagnose and localize bleeding prior to catheter angiography.
• Red blood cell Scintigraphy
• Red blood cell (RBC) Scintigraphy with 99mTc labelled RBCs shows a GIT bleeding point as an area of increased activity.• Scintigraphy is more sensitive than catheter angiography in that a lower rate of hemorrhage is required (0.1–0.2 mL/min) to produce a positive result.
• Scintigraphy is less anatomically specific than angiography; for this reason surgery based on RBC Scintigraphy alone is not recommended.
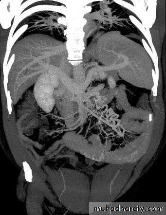
• Angiography and interventional radiology
• Catheter angiography is performed in acute GIT bleeding for two reasons:
• To locate a bleeding point
• To achieve hemostasis by infusion of vasoconstrictors, or embolization.
Extravasation of contrast material into the bowel will be seen if active bleeding of 0.5–1.0 mL/min or more is occurring at the time of injection
Angiodysplasia
• Angiodysplasia is a degenerative lesion of previously healthy blood vessels found most commonly in the cecum and proximal ascending colon.
• Angiodysplasia is the most common vascular abnormality of the GI tract.
• It is the second leading cause of lower GI bleeding in patients older than 60 years after diverticulosis.
• It may be observed incidentally at colonoscopy in as many as 0.8% of patients older than 50 years.
• These lesions typically are non palpable and small (< 5 mm).
• The prognosis in patients with angiodysplasia is favorable because most angiodysplasias spontaneously cease bleeding (90% of cases).
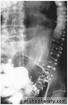
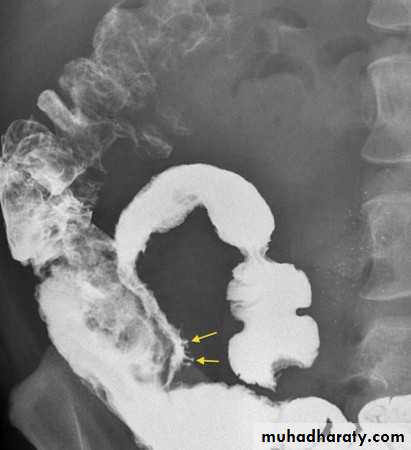
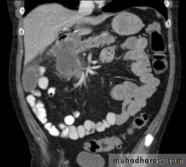
Diverticular disease
• Out-pouching of the mucosa through the muscular layer of the bowel wall
• Very common particularly in adults, commonest in the sigmoid.
• The diverticulae when filled with barium produce a spherical out-pouching with an narrowed neck (diverticulosis), some pouches do not fill with barium when inflamed (diverticulitis) causing symptoms such as sepsis, diarrhea or obstruction.
• The colon may show "saw tooth serrated" appearance from muscle hypertrophy.
• More extensive lesions produce perforation with fistulae into the bladder, small intestine or vagina, pericolic abscess and sometimes pneumoperitoneum.
• A stricture may occur in an area of recognizable diverticular disease otherwise cannot be differentiated from carcinoma.
Inflammatory Bowel Disease
• The two diseases included in this section are Crohn disease and ulcerative colitis.
• Patients with inflammatory bowel disease present with abdominal pain and diarrhea.
• Extraintestinal manifestations may occur, including skin rashes, arthritis, ocular problems and sclerosing cholangitis.
• The main roles of imaging at initial presentation are to confirm the diagnosis and assess the distribution of disease.
• Follow-up examinations are frequently required to assess the efficacy of therapy and to diagnose complications.
• AXR is relatively insensitive and non-specific for the definitive diagnosis of inflammatory bowel disease.
• AXR is very useful however in patients with severe symptoms for the diagnosis of toxic megacolon, perforation or obstruction. Barium studies and colonoscopy are contraindicated by these findings.
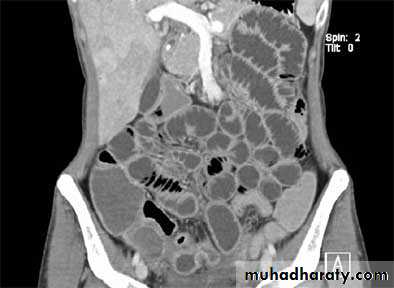
Crohn disease
• Crohn disease is characterized by transmural granulomatous inflammation with deep ulceration, sinuses and fistula tracts.
• Crohn disease may involve any part of the gastrointestinal tract from mouth to anus with small bowel involvement alone in 30 %, large bowel in 30 % and both small and large bowel in 40 %.
• it nearly always affect the terminal ileum.
• Involvement is discontinuous with normal bowel between diseased segments (‘skip lesions’).
• Cross-sectional imaging techniques, CT enterography and MR enterography, are being used with increasing frequency in the diagnosis and follow-up of Crohn disease.
• Where CT enterography and MR Enterography are unavailable, barium studies may be used to assess the small bowel, either small bowel follow-through or enteroclysis.
Signs of Crohn disease on barium studies include:
• Ulcers (rose-thorn ulcers or deep fissures).
• Strictures (string sign).• Intestinal obstruction.
• ‘Cobblestoning’ due to fissures separating islands of intact mucosa
• Segmental distribution: diseased segments separated by normal bowel
• Separation of loops of bowel due to bowel wall thickening or an inflammatory mass
• When involved the cecum is usually contracted.
• The rectum is often spared
• Ileocecal valve is normal or narrowed; terminal ileum stenosed.
• Fistula to other loops of small bowel, colon, bladder or vagina
• Signs of malabsorption
• Perforation.
• Abscess.
CT enterography
• CT enterography consists of CT abdomen following ingestion of a large volume (1–1.5 litres) of dilute contrast material, e.g. combination of Gastrografin and methylcellulose.
• CT enterography is highly accurate for the diagnosis of bowel wall inflammation, and for the demonstration of complications such as sinus tracts, abscesses and strictures.
• The major limitation of CT enterography is the radiation dose; this is particularly relevant in young patients requiring repeated follow-up examinations.
• MR Enterography (MR examination of the small bowel) is an excellent alternative to CT, particularly for follow-up examinations.
Ulcerative colitis
• Ulcerative colitis is a disease of large bowel characterized by mucosal ulceration and inflammation.
• The rectum is involved in virtually all cases with disease extending proximally in the colon.
• Distribution of disease is continuous with no ‘skip lesions’.
• Initial diagnosis of inflammatory bowel disease involving the colon is usually by endoscopy, either sigmoidoscopy or colonoscopy, including biopsy.
• Where colonoscopy is unavailable or contraindicated, barium enema may be performed.
Radiological signs:
• Widespread shallow ulcer is the cardinal sign. Ulcers may be deep in severe cases• Widening of the presacral space in early stage of disease due to peri-rectal edema
• Loss of the normal colonic haustra in the affected portions of the colon
• Narrowing and shorting of the colon giving the appearance of rigid tube (lead-pipe appearance).
• Pseudopolyps ( swollen mucosa between ulcers) seen as filling defects
• Strictures are rare and likely to be due to carcinoma in longstanding disease
• Abnormal dilated ileum due to reflux through an incompetent ileocecal valve
• Toxic megacolon is a serious complication diagnosed by plain abdominal film or native ct. Due to the risk of perforation, barium enema, colonoscopy and CT pneumocolon should be avoided.
Colorectal carcinoma
• Colorectal carcinoma (CRC) is the second leading cause of cancer death in Western society.
• CRC may present clinically with large bowel obstruction, GIT bleeding, or less specifically with weight loss or anemia.
• A large percentage of CRC show locally invasive disease or distant metastases at the time of presentation.
• The vast majority of CRCs develop from small adenomatous polyps through a series of genetic mutations.
• The adenoma–carcinoma sequence is a slow process. On average, 5.5 years is required for large adenomas greater than 10 mm diameter to develop into CRC, with 10–15 years for small adenomas (<5 mm).
• Colonic polyps are very common; not all are adenomas and not all will develop cancer.
• Most polyps less than 5 mm are hyperplastic polyps or mucosal tags; these are not cancer precursors. Less than 1 per cent of adenomas up to 1 cm in diameter contain cancer, with cancer in small polyps (<5 mm) being extremely rare.
Risk for the development of CRC may be stratified into three categories:
• Average risk: age >50
• Moderate risk: past personal history of large adenoma or CRC or first-degree relative with large adenoma or CRC
• High risk: inflammatory bowel disease; hereditary non-polyposis CRC syndromes; familial polyposis syndromes.
• Various screening strategies are available and include fecal occult blood testing, barium enema (double contrast), CT colonography, sigmoidoscopy and colonoscopy.
Staging of CRC
• Staging of colorectal carcinoma may be summarized as follows:
• Stage I: tumor confined to the bowel wall
• Stage II: invasion through the full thickness of the bowel wall, invasion of adjacent structures
• Stage III: metastasis to regional lymph node(s)
• Stage IV: metastasis to distant site(s) such as liver, non-regional lymph node(s), lung.
• The two most critical factors influencing survival data in CRC are
• Depth of invasion of the bowel wall
• Presence or absence of lymph node metastases.
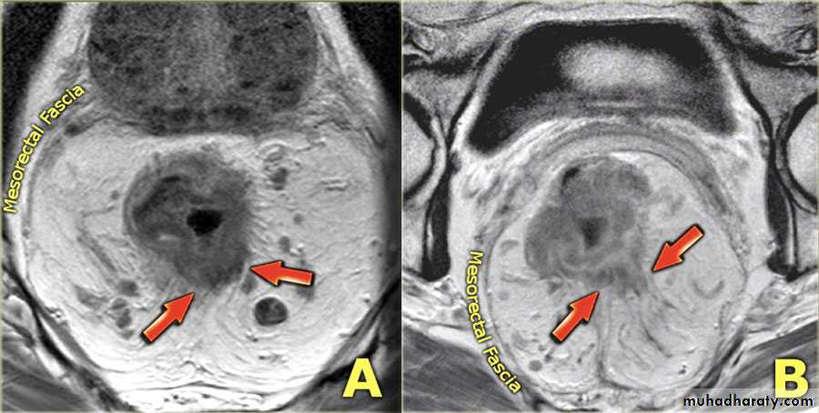
• CT of the abdomen is the imaging investigation of choice for detection of locally invasive disease, lymphadenopathy and distant metastases in patients with CRC.
• CT is unable to assess the depth of wall invasion or detect small metastases in non-enlarged lymph nodes. Therefore, CT is accurate for advanced disease though less so for earlier noninvasive disease.
• MRI and trans-rectal US (TRUS) are able to differentiate the layers of the rectal wall. These modalities are therefore able to assess accurately the depth of invasion of rectal tumor.
Abdominal trauma
• Focused abdominal sonography for trauma (FAST) consists of a rapid US assessment of the pelvis and abdomen looking for the presence of free fluid or intraperitoneal blood in patient with abdominal trauma.
• In many trauma and emergency centers, FAST has replaced peritoneal lavage, and is the initial imaging investigation in the patient with abdominal trauma.
• It may be used to help decide which patients require immediate laparotomy or to indicate further investigation with CT.
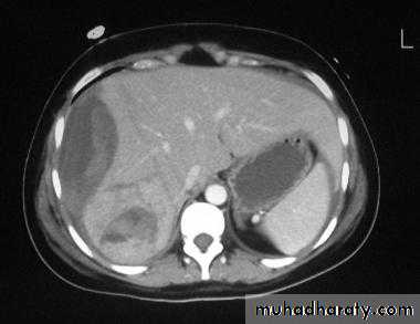
• Contrast-enhanced CT is the investigation of choice for suspected abdominal injuries in hemodynamically stable patients.
Signs of abdominal trauma that may be seen on CT:
• Free blood: hypodense material in more dependent parts of the peritoneal cavity, i.e. pelvis, hepatorenal pouch and paracolic gutters.• Solid organ injury: laceration, fracture, hematoma and contusion
• Lacerations involving the renal collecting system result in urine leak and urinoma
• Non-functioning kidney due to massive parenchymal damage, vascular pedicle injury or obstructed collecting system due to blood clot.
• CT signs of bowel trauma:
• Free fluid between bowel loops or at the base of the mesentery
• Free intraperitoneal and retroperitoneal gas
• Bowel wall hematoma
• Active hemorrhage: localized ‘puddle’ or ‘jet’ of extravasated contrast material. This sign is an indication for immediate intervention, either surgery or angiography and embolization.
Urethrogram
• Urethral injury complicates about 15 % of anterior pelvic fractures in males.• Bladder catheterization should not be attempted prior to urethrogram in any patient with an anterior pelvic fracture or dislocation, or with blood at the urethral meatus following trauma.
• Urethrogram is a simple procedure that can be performed quickly in the emergency room.
• The proximal bulbous urethra is the most common site of urethral injury.
CT cystogram
• Bladder injury may be due to blunt, penetrating or iatrogenic trauma.• About 10 % of pelvic fractures have an associated bladder injury.
• Radiographic signs suggestive of bladder trauma include fracture and/or dislocation of the pelvis, and soft tissue mass in the pelvis due to leakage of urine.
• Contrast-enhanced CT of the abdomen and pelvis as performed for abdominal trauma has a poor sensitivity for the detection of bladder injuries.
• The accuracy of CT for the diagnosis and categorization of bladder injuries may be enhanced with a CT cystogram, i.e. CT following direct injection of contrast material into the bladder via a catheter. If the urethra is normal on urethrogram, a catheter can be passed into the bladder and a cystogram performed.



















