Female Genital Tract
د- نجلاء حنونLec.1
Imaging modalities used in investigation of female genital tract pathology :
1-Ultrasound is usually the first and principal examination. Ultrasound is used extensively in obstetric practice and is a key aspect of antenatal care.2-Magnetic resonance imaging (MRI) is now routinely used in the evaluation of several gynaecological malignancies and certain benign conditions,
3- CT being reserved for staging the distant extent of malignant disease.
4-Positron emission tomography (PET) may be used in the
management of gynaecological malignancy.
5- Conventional radiology plays almost no part – the major exception being hysterosalpingograph.
Normal appearances
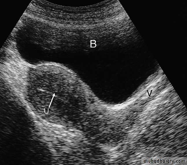
UltrasoundUltrasound of the pelvis can be carried out in two ways:
- Scanning trans abdominal wall (usually with full bladder ).
- Trans vaginally with a specialized ultrasound probe inserted in the vagina ( examination done with empty bladder) image quality is much better than the trans abdominal technique .
Scans are made in the longitudinal and transverse planes.
On a midline longitudinal or transverse scan
- The vagina can be recognized as a tubular structure, with a central linear echo arising from the opposing vaginal surfaces.
- The uterus lies immediately behind the bladder, and the body of the uterus can be seen to be in continuity with the cervix and vagina.
The myometrium shows low level echoes, whereas the endometrial cavity gives an echogenic linear stripe.
-The normal fallopian tubes are too small to be visualized sonographically.
-The ovaries are suspendedfrom the broad ligament and
usually lie lateral to the uterus
near the pelvic side walls.
During childbearing years,
the ovaries measure 2.5–5 cm
in greatest diameter, but after
the menopause they atrophy.
Computed tomography
Multislice CT of the pelvis may be optimized with the use of oral contrast (water or dilute iodine-based contrast) given 1 hour prior to pelvic imaging to aid the differentiation of bowel loops from adnexal structures. Intravenous contrast medium may help to differentiate between vessels and lymph nodes, and to assess the enhancement pattern of a mass. Viewing on coronal and sagittal reformatted images is also helpful.-The vagina is seen as a linear structure between the urethra and rectum.
- The cervix is seen Immediately above the vagina, as a rounded soft tissue structure approximately 3 cm in diameter.
The body of the uterus .merges with the cervix and its precise appearance depends on the lie of the uterus. The endometrial lining cannot be fully assessed on CT.
-The fallopian tubes and broad ligaments are usually not visible .
-The ovaries may not be identified. The parametrium is of fat density, the interface with the pelvic musculature being clearly visible.The uterus may be surrounded by loops of bowel.
Magnetic resonance imagingPelvic anatomy is very well demonstrated because of the excellent soft tissue contrast afforded by MRI. Images are usually taken in the axial, coronal and sagittal planes . T2-weighted sagittal images show the vagina and cervix in continuity with the body of the uterus.
The zonal anatomy of the uterus is best demonstrated on T2-weighted images, with the endometrium having a high signal intensity, the adjacent inner myometrium (junctional zone) a low signal intensity, and the myometrium an intermediate signal intensity .
The cervix may be predominantly low in signal intensity.
Variations of uterine anatomy are well delineated on MRI-The ovaries are of intermediate signal intensity and often contain multiple high signal follicles on T2-weighted images
-The broad ligaments can also be identified in MRI
Gynaecological pathology
Ovarian masses
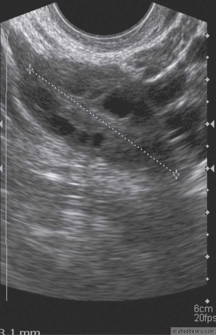
Ovarian cysts
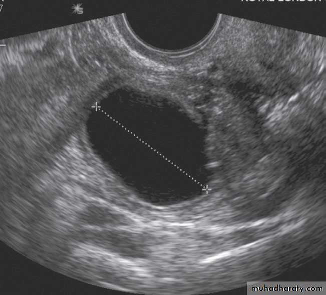
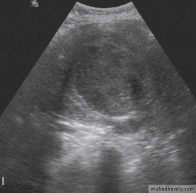
-Sometimes a follicle or corpus luteum persists as a follicular or corpus luteum cyst, both of which are easily recognized by ultrasound, CT or MRI are mostly asymptomatic and regress spontaneously.
Corpus luteum cysts are most often seen in the first trimester of pregnancy; they usually resolve, but may rupture or twist. Haemorrhage into both types of cyst may occur and gives a characteristic appearance on ultrasound.
-The typical features of
polycystic ovaries on
ultrasound or MRI include
large volume ovaries
with multiple small
follicles arranged
around the periphery,
forming the appearance
of a ‘string of pearls’ .
Ovarian tumours
The commonest ovarian tumours are the cystadenoma and the cystadenocarcinoma. Ovarian tumours can be predominantly cystic, solid or a mixture of the two .On ultrasound, the recognized features of benign lesions and malignant lesions are :
Benign ovarian masses• Small simple cyst.
• Thin cyst wall.
• If septate, then thin and smooth septations.
• No solid components.
• If solid components are seen, then no vascularity is seen on Doppler.
Malignant ovarian masses
• Mixed solid and cystic mass.
• Vascularity within solid components on Doppler.
• Thickened septations, >3 mm.
• Large size.
• Bilateral masses.
• Associated ascites or peritoneal deposits.
MRI may be used to further characterize indeterminate masses as benign or malignant prior to deciding on patient management. With disseminated malignancy, deposits within the omentum and ascites may be visible .
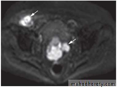
FDG-PET/CT may be used to demonstrate the extent of disseminated disease in order to aid treatment planning .
Ultrasound, CT and MRI may show hydronephrosis from ureteric obstruction by the tumour and may also demonstrate enlarged lymph nodes, liver metastases or pleural effusions.
The optimal treatment of ovarian carcinoma is by hysterectomy, oophorectomy and surgical removal of all macroscopic tumour, and formal staging is usually carried out during surgery. Preoperative imaging may be used to provide the surgeon with information concerning the extent and distribution of macroscopic disease. Imaging,
including FDG-PET/CT, is used in the detection of recurrent disease.
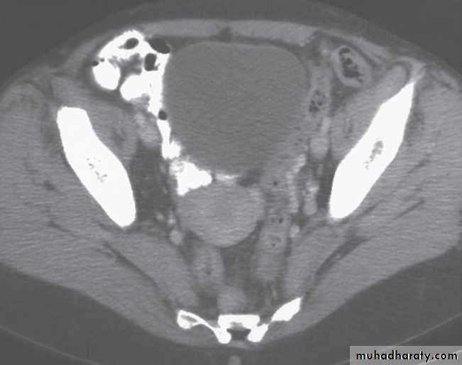
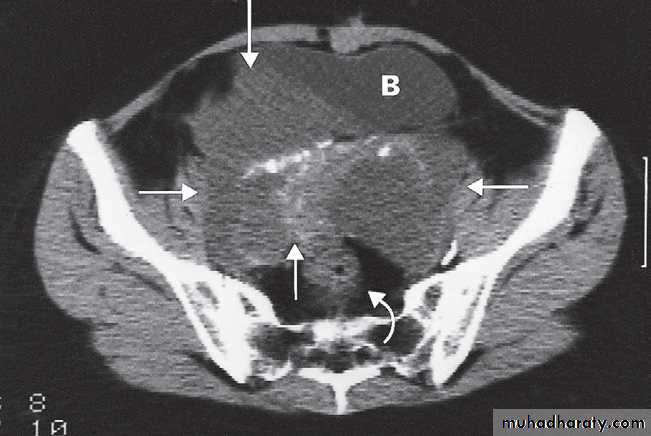
A dermoid cyst can usually be confidently diagnosed because of the fat within it, and it may contain various calcified components, of which teeth are the commonest.
These ovarian tumours are predominantly benign and can usually be recognized on ultrasound but are also readily diagnosed on CT or MRI and sometimes on plain radiographs .
Uterine masses
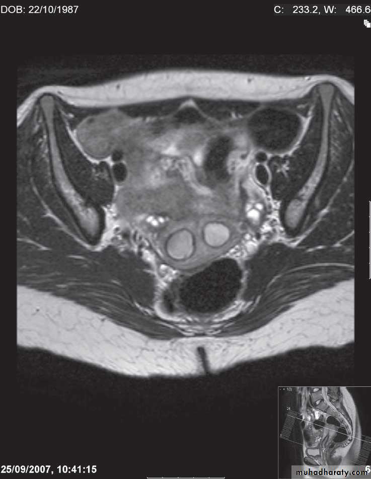
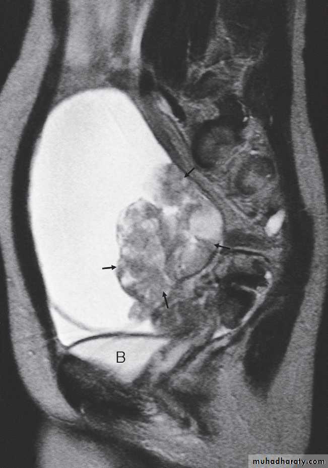
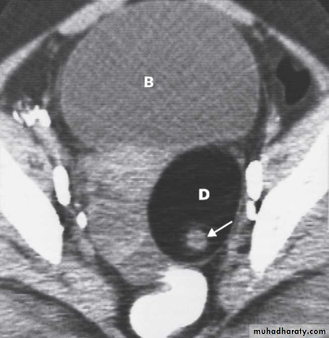
FibroidsLeiomyomas (fibroids) are common in women over 30 years of age. They are often asymptomatic, but may cause menorrhagia or present as a palpable mass. When sufficiently large, a fibroid can be seen on a plain film as amass in the pelvis and may show multiple irregular but well-defined calcifications .
At ultrasound ,the mass may be either hypoechoic or echogenic .
At CT fibroids are usually the same density as the adjacent myometrium. MRI can readily identify fibroids as they typically have a different signal characteristic from the normal uterus .
Adenomyosis
Adenomyosis is a benign condition in which there is endometrial tissue within the myometrium. This results in smooth muscle hypertrophy. Patients may present with dysmenorrhoea and abnormal uterine bleeding. The uterus is typically enlarged.On ultrasound, there is increased heterogeneity of the myometrium.
On MRI, there is focal or diffuse thickening of the junctional zone and, in some cases, multiple bright projections are seen extending from the endometrium into the myometrium .



























