Female Genital Tract
د- نجلاء حنونLec.2
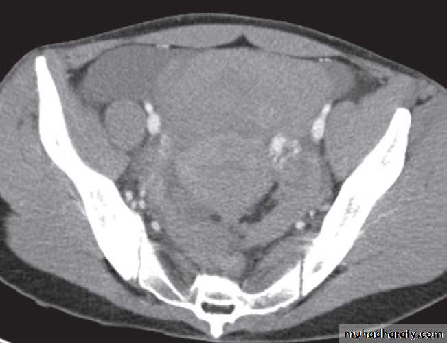
Carcinoma of the cervix and body of the uterus
The diagnosis of carcinoma of the cervix is made by cytology or biopsy and physical examination.Endometrial carcinoma may be suspected on ultrasound when there is widening of the endometrial stripe, but confirmation of the diagnosis is based on histology.
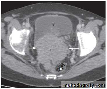
Magnetic resonance imaging is useful to determine the extent of carcinoma of the cervix preoperatively, because the extent (or tumour stage) determines whether the patient is managed with surgery or with chemoradiotherapy.
The observations to be made are whether the tumour is confined to the cervix .
It extends into the parametrium, lymph nodes, rectum, bladder or pelvic side walls .
Pelvic inflammatory disease
Pelvic inflammatory disease may be due to :-Venereal infection,commonly gonorrhoea, which in the acute stages gives rise to a tubo-ovarian abscess.
- Following pelvic surgery.
-Childbirth or abortion .
- Intrauterine contraceptive devices.
-Appendicitis or diverticular disease.
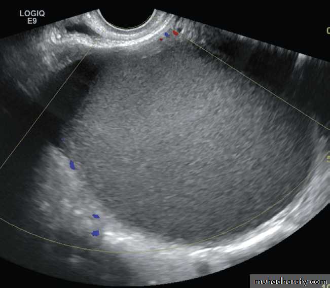
The usual imaging technique is ultrasound which showing :
-A hypoechoic or complex mass in the adnexal region or pouch of Douglas.-A hydrosalpinx which occur due to Blockage of the fallopian tubes which can be recognized as a hypoechoic adnexal mass, which is often tubular in shape.
DDX of PID on U/S :
-Endometriosis .-Ectopic pregnancy.
-Ovarian malignancy.
Endometriosis
In endometriosis, there is endometrial tissue outside the uterus, most commonly confined to the pelvis.
At ultrasound
Endometriosis is usually seen as a cystic mass with homogeneous internal echogenicity in the adnexal region and/or pouch of Douglas corresponding to the chocolate cysts found on pathological examination .
On MRI There are characteristic appearances due to recurrent haemorrhage into endometriomas and there is often in-drawing of the rectum towards the pouch of Douglas due to the development of fibrous adhesions.
Detection of intrauterine contraceptive devices
The lost intrauterine contraceptive device (IUCD) is a relatively common problem and ultrasound should be the first investigation. Different devices have characteristic appearances. They are seen as highly reflective structures and their relationship to the uterine cavity can be determined.Hysterosalpingography is a contast study of uterus & both fallopian tube used to investigate selected cases ofinfertility in order to assess the patency of the fallopian tubes. A catheter with a seal to prevent leakage from the external cervical os is inserted into the uterus. Sufficient iodinated contrast is then injected under fluoroscopic control to fill the uterus and fallopian tubes .
If the fallopian tubes are patent, there is free spill into the peritoneum, recognized by the demonstration of contrast between loops of bowel. Congenital variations in uterine morphology, which may prevent maintenance of pregnancy, can also be assessed.
Ultrasound hysterosalpingography may be performed to detect tubal patency. This technique, which avoids the use of ionizing radiation, involves injecting an ultrasound contrast agent into the uterus through a catheter and following the passage of contrast through the fallopian tubes with ultrasound.
Obstetric ultrasound
Ultrasound of the pregnant patient is simple to perform and has proved reliable in examining the fetus , it is safe examination . used in-Evaluation of the fetus.
-Evaluation of maternal disease, which may occur during the course of the pregnancy.
-Complications of pregnancy In particular, diseases of the urinary tract, gall bladder or suspected deep venous thrombosis may be diagnosed.
- Following delivery, retained products of conception can be readily detected on ultrasound of the uterus.
Ultrasound in the first trimester
Ultrasound examination during early pregnancy may be undertaken trans abdominally or trans vaginally, although trans vaginal examination provides higher resolution.-The normal gestational sac is a small cystic structure lying within the uterine cavity, first seen at the fifth week following the last menstrual period.
-The developing fetus is seen by the sixth week and the fetal heart beat is visible by the seventh week.
The pregnancy can be dated by measuring the length of the fetus, between the seventh and 12th weeks of pregnancy .
-Multiple pregnancies can also be detected.
-Between 10 and 14 weeks, the nuchal translucency – fluid along the back of the fetal neck – may be measured.This technique can be used to detect Down’s syndrome and some other chromosomal or fetal abnormalities.
Ultrasound in the second and third trimesters
After the first trimester, trans abdominal ultrasound is used to assess fetal maturity by measuring both the biparieta diameter of the fetal head and the femur length, both of which can be precisely defined. By comparing the measurements with a standard growth chart, an estimate of gestational age can be obtained. Using this method, dating is most accurate between 18 and 20 weeks. This is also a suitable time to identify fetal abnormalities.Placental imaging
The placenta is easily evaluated sonographically as well as on MRI . By the ninth week, it is seen as a welldefined intrauterine structure lining the inner wall of a portion of the uterine cavity. Abnormalities related to the placenta may be diagnosed on ultrasound, including placental haemorrhage and placenta praevia, a condition in which the placenta remains positioned over the lower uterine segment after the 36th week of pregnancy.Fetal death
It is possible to see the heart beating and observe fetal movement on ultrasound from the seventh week of pregnancy onward. Failure to observe these phenomena suggests fetal death, but in the early stages of pregnancy one must be careful that the gestational age has been calculated correctly. It is, therefore, important to repeat the scan after a suitable interval if there is any doubt. After the ninth week, fetal death can be readily diagnosed by the absence of a visible heart beat.Ectopic pregnancy
Ectopic pregnancy generally presents with sudden pain due to rupture of the ectopically placed gestational sac and should be managed as a medical emergency.Sonographically, it is identified as an adnexal mass having both solid and cystic characteristics, and occasionally a fetus can be seen within it .
On CT, high density free fluid may be seen in the pouch of Douglas from haemorrhage .
The DDX:
-Pelvic inflammatory disease.-Rupture of adnexal cysts .
-Various neoplasms .
In clinical practice, if the pregnancy test is positive and no intrauterine gestation can be identified, the obstetrician may assume that there is an ectopic pregnancy.

















