قراءة
عرض



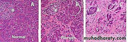
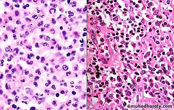
Acute Inflammation

Practical pathology

Acute & CHRONIC
Inflammation


Acute Inflammation

Repair

Resolution

Differences between

Acute Inflammation

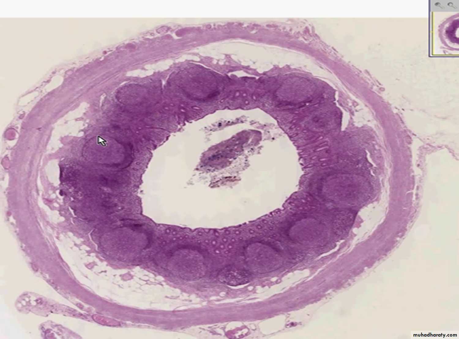
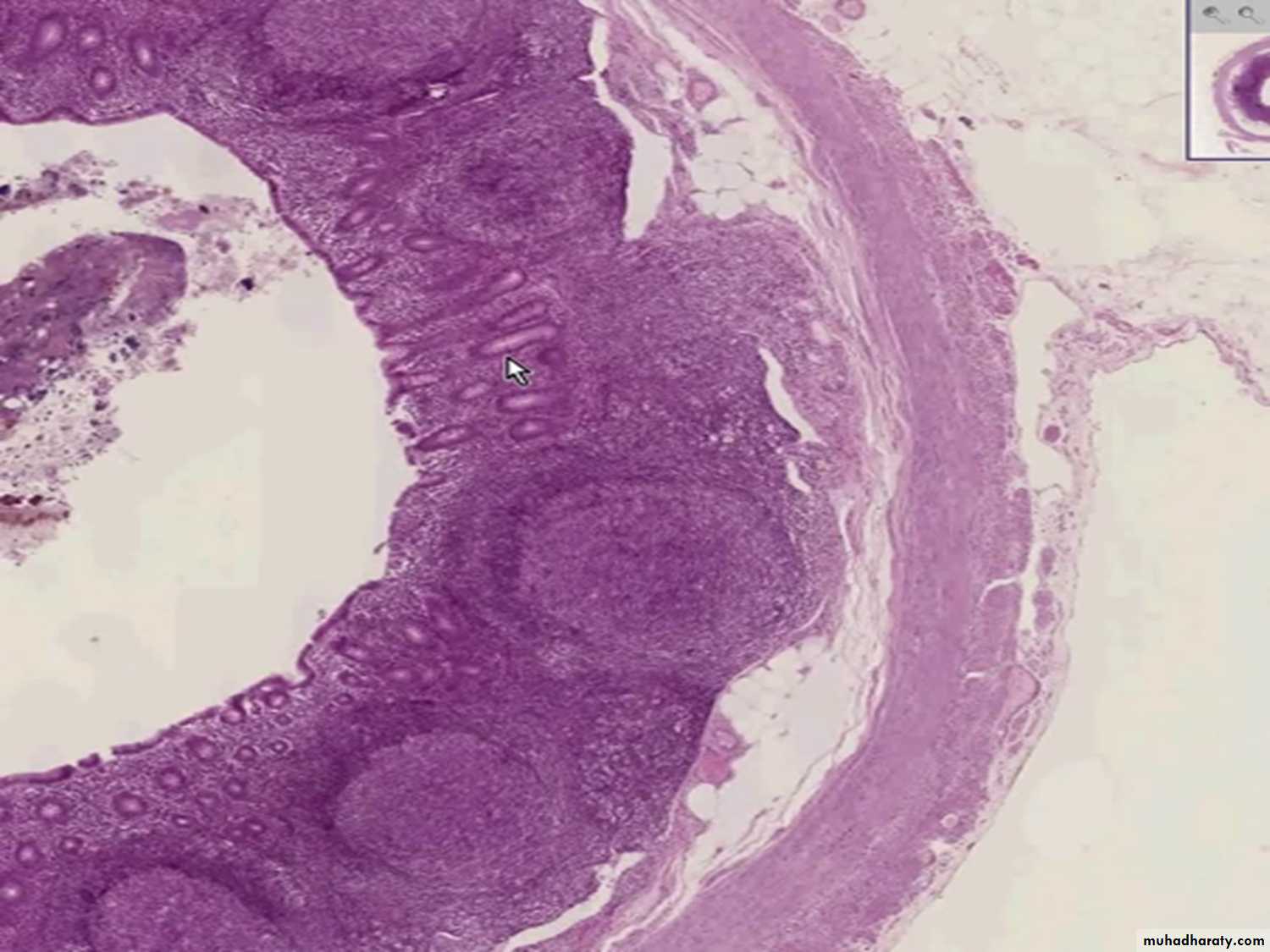
Normal appendix

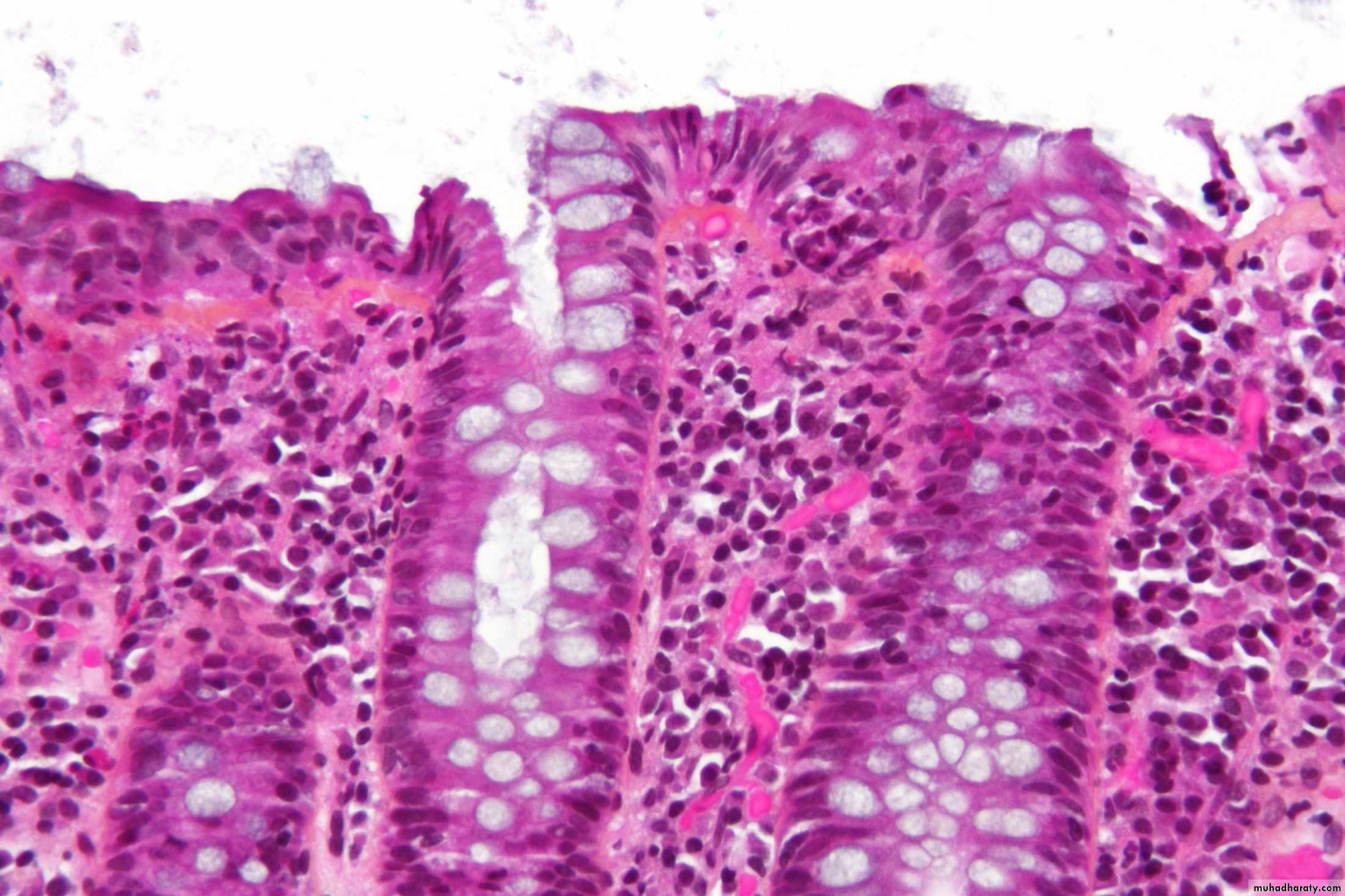
Acute Inflammation





Acute Inflammation

Normal appendix

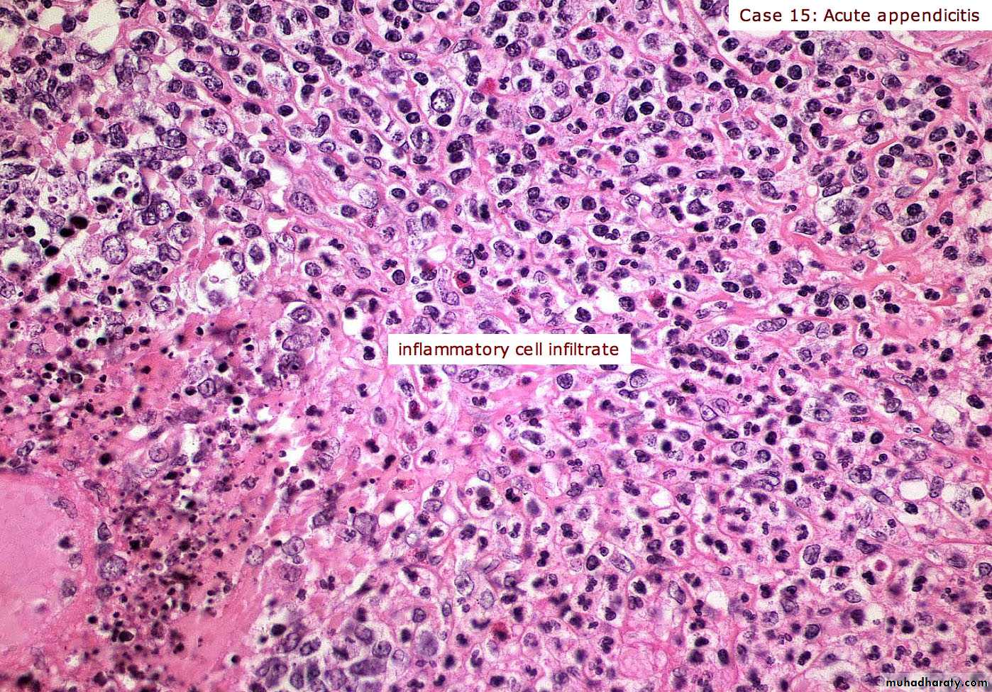
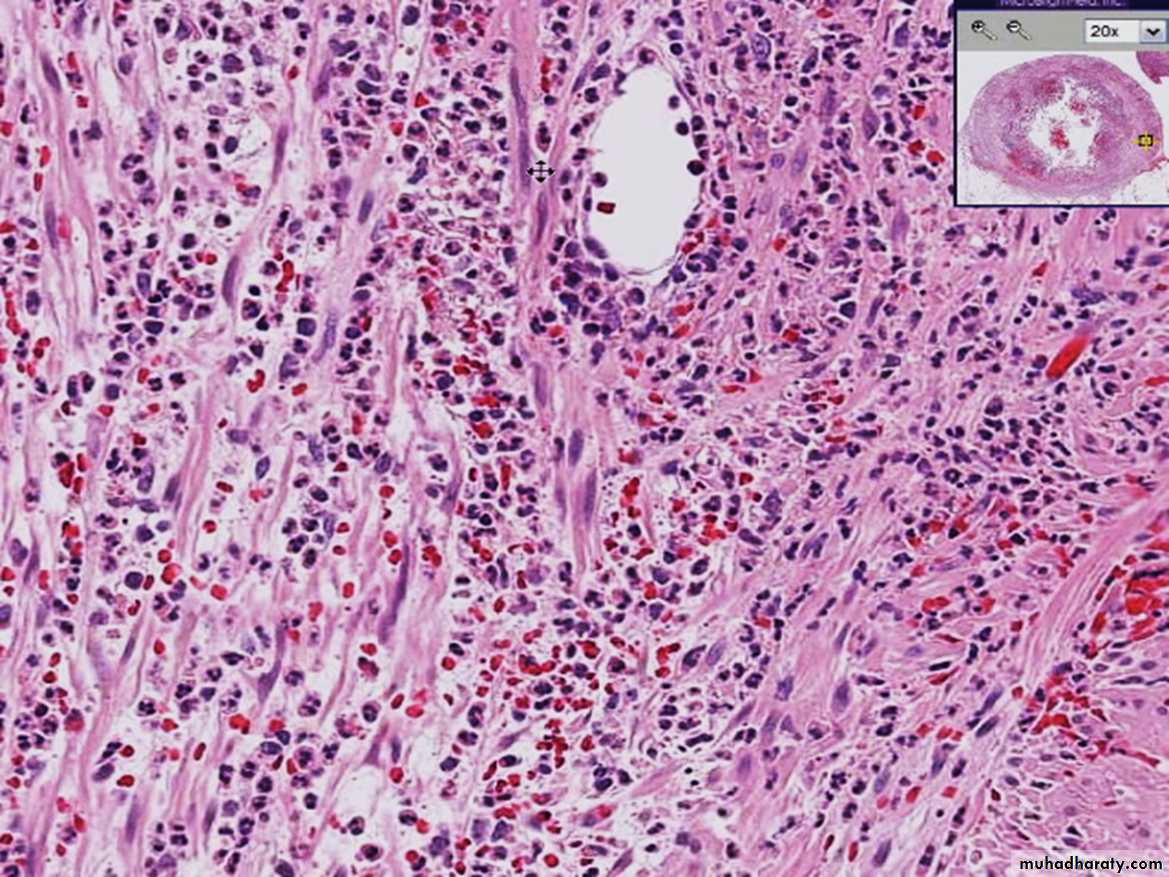
Acute Inflammation

Acute appendix

Acute Inflammation




Acute Inflammation




Acute Inflammation





Acute Inflammation




Acute Inflammation




Acute Inflammation




Acute Inflammation




Acute Inflammation





Acute Inflammation




Acute Inflammation




Acute Inflammation




Acute Inflammation




Acute Inflammation




Acute Inflammation






رفعت المحاضرة من قبل: أوس الشرقي
المشاهدات: لقد قام 12 عضواً و 302 زائراً بقراءة هذه المحاضرة








تسجيل دخول

أو
عبر الحساب الاعتيادي
الرجاء كتابة البريد الالكتروني بشكل صحيح
الرجاء كتابة كلمة المرور
لست عضواً في موقع محاضراتي؟
اضغط هنا للتسجيل