Fatty changes-1 pptx - عملي
دخول
الرئيسية
المحاضرات
البحث
اختبرني
مكتبة علوم
تطبيقات
المترجم الطبي
أمراض
Fatty changes-1
رقم المحاضرة:
1
بتاريخ
2017-11-30
أمراض
-
عملي
جامعة كركوك
>
كلية طب الأسنان
>
المرحلة الثالثة
مواضيع المحاضرة:
قراءة
عرض
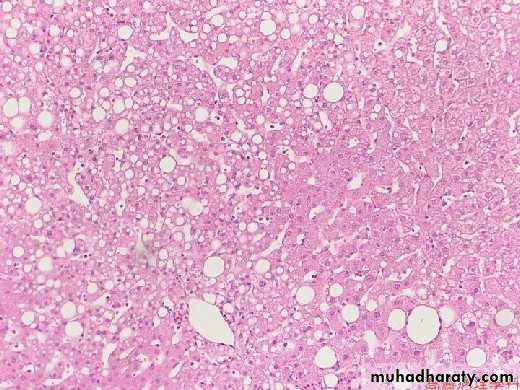
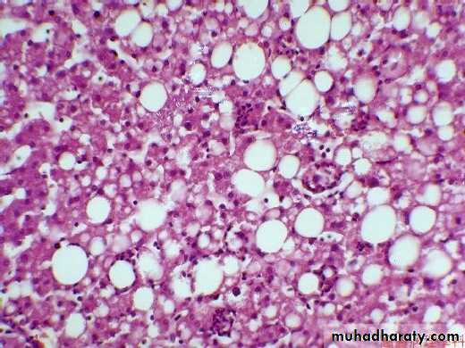
Practical pathology
FATTY CHANGES
رفعت المحاضرة من قبل:
أوس الشرقي
المشاهدات: لقد قام 10 أعضاء و 190 زائراً بقراءة هذه المحاضرة
تسجيل دخول
أو
عبر الحساب الاعتيادي
الرجاء كتابة البريد الالكتروني بشكل صحيح
البريد الالكتروني
الرجاء كتابة كلمة المرور
كلمة المرور
دخول
لست عضواً في موقع محاضراتي؟
اضغط هنا للتسجيل