قراءة
عرض



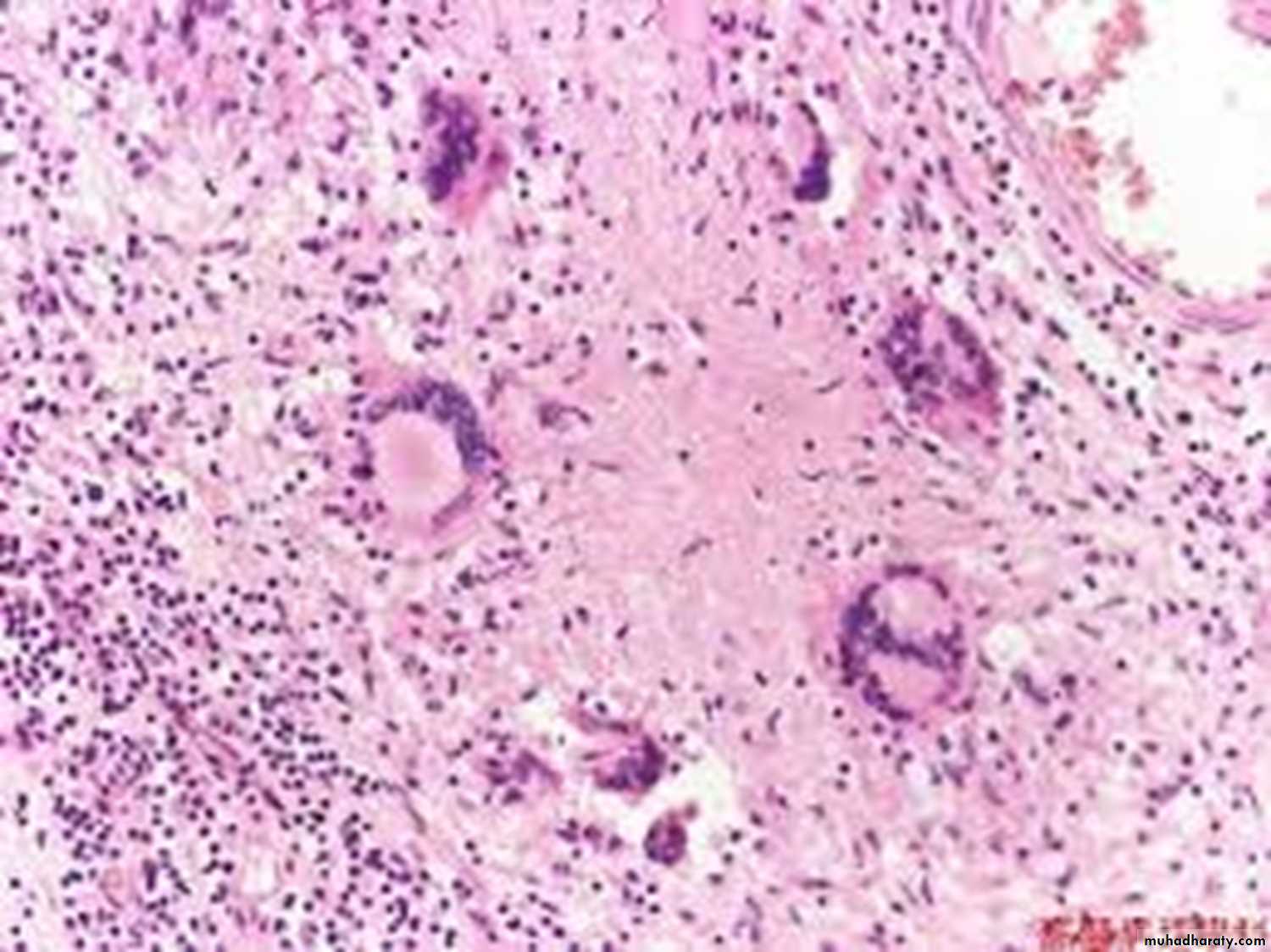
Casseous Necrosis

Practical pathology

CASSEOUS NECROSIS


Casseous Necrosis


Casseous Necrosis




Casseous Necrosis

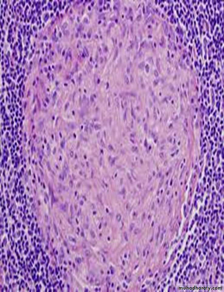
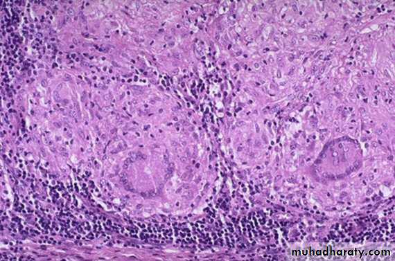
Granuloma

Casseous Necrosis



Casseous Necrosis




Casseous Necrosis

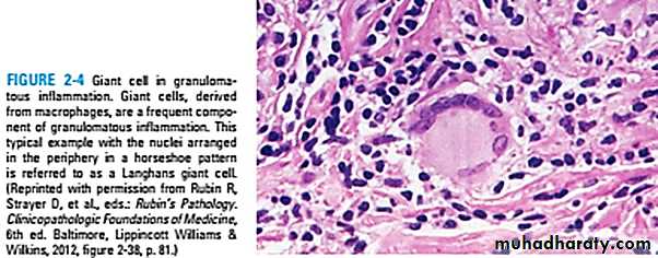
Giant cells

Casseous Necrosis

Giant cells

Casseous Necrosis


Casseous Necrosis




Casseous Necrosis


Casseous Necrosis





Casseous Necrosis




Casseous Necrosis




Casseous Necrosis




Casseous Necrosis





رفعت المحاضرة من قبل: أوس الشرقي
المشاهدات: لقد قام 11 عضواً و 216 زائراً بقراءة هذه المحاضرة








تسجيل دخول

أو
عبر الحساب الاعتيادي
الرجاء كتابة البريد الالكتروني بشكل صحيح
الرجاء كتابة كلمة المرور
لست عضواً في موقع محاضراتي؟
اضغط هنا للتسجيل