Heart failure
Heart failure is the clinical syndrome that develops when the heart cannot maintain an adequate cardiac output to meet the metabolic demand of the body or can do so only at the expense of an elevated filling pressure. In the mildest forms of HF , cardiac output is adequate at rest and becomes inadequate only when the metabolic demand increases during exercise or some other form of stress.
In practice, HF may be diagnosed whenever a patient with significant heart disease develops the signs or symptoms of a low cardiac output, pulmonary congestion or systemic venous congestion. Almost all forms of heart disease can lead to HF. Good management depends on an accurate aetiological diagnosis.
Pathophysiology
:Cardiac output is a function of 1. preload (the volume and pressure of blood in the ventricle at the end of diastole), 2. afterload (the volume and pressure of blood in the ventricle during systole) and 3. myocardial contractility. (( Starling's Law of the heart ))the stroke volume is the amount of blood ejected by the ventricle during one cardiac beat (70 ml).( cardiac output= SV ˣ HR ).
In heart failure there are many compensatory mechanisms work to improve cardiac output these mechanisms include:
1) Local changes .
2) Neurohormonal activation.
3) sympathetic system activation.
The primary abnormality is impairment of ventricular myocardial function, either because of impaired systolic contraction, impaired diastolic relaxation, or both lead to a fall in stroke volume.
This activates counter-regulatory neurohormonal mechanisms that in normal physiological circumstances would support cardiac function, but in the setting of impaired ventricular function can lead to a deleterious increase in both afterload and preload.
Local changes(Myocardial remodeling ):
is a process of progressive alteration of ventricular size, shape, and function owing to the influence of mechanical, neurohormonal factors.After MI, remodling causes hypertrophy of non-infarcted segments, with thinning, dilatation and expansion of the infarcted segment and fall in cardiac output ,Remodeling process is continues for months after the initial insult,.
the eventual change in the shape will be responsible for significant impairment of overall function of the heart as a pump and worsening heart failure .
Neurohormonal activation. Stimulation of the renin-angiotensin-aldosterone system leads to vasoconstriction, salt and water retention, and sympathetic activation mediated by angiotensin II, which is a potent constrictor of arterioles both in the kidney and systemic circulation.
Salt and water retention is promoted by the release of aldosterone, endothelin (a potent vasoconstrictor) and, in severe HF, antidiuretic hormone (ADH). Natriuretic peptides are released from the atria in response to atrial stretch, and act as physiological antagonists to the fluid-conserving effect of aldosterone.
Activation of the sympathetic nervous systemthis may initially sustain cardiac output through an increase in myocardial contractility (inotropy), heart rate (chronotropy) and peripheral vasoconstriction. However, prolonged sympathetic stimulation leads to cardiac myocyte apoptosis, hypertrophy.
Aetiology of heart failure?
Reduced ventricular contractilityeither due to segmental dysfunction In coronary artery disease, MI or due to Global dysfunction as in Myocarditis and cardiomyopathy .
Ventricular outflow obstruction (pressure overload):Hypertension, aortic stenosis (left heart failure).Pulmonary hypertension, pulmonary valve stenosis (right heart failure).
Ventricular inflow obstruction
Mitral stenosistricuspid stenosis
Ventricular volume overload
atrial septal defect.Ventricular septal defect.
PDA.
Arrhythmias
Chronic sustained arrhythmias can lead to heart failure as :Complete heart block .
Tachycardia.
Main causes of heart failure
Ischaemic heart disease (35-40%).Cardiomyopathy (dilated) (30-34%).
Hypertension (15-20%)
Valvular heart disease (mitral, aortic, tricuspid)
Other causes Cardiomyopathy (undilated): hypertrophic/obstructive, restrictive (amyloidosis, sarcoidosis)
Right heart failure caused by ( in association with left heart failure , RV infarct, pulmonary hypertension, pulmonary embolism, cor pulmonale (COPD),Tricuspid incompetence, isolated right ventricular cardiomyopathy , mitral valve disease with pulmonary hypertension.
Hyperdynamic circulation (anaemia, thyrotoxicosis, haemochromatosis, Paget's disease)
Types of Heart Failure1.Left & Right sided HF2. Systolic & Diastolic HF3. Acute & Chronic HF4.Low & High output HF
Left-sided heart failure. There is a reduction in the LV output and/or an increase in the LA or pulmonary venous pressure. An acute increase in left atrial pressure may cause pulmonary congestion or pulmonary oedema. Right-sided heart failure. There is a reduction in RV output for any given RA pressure. Biventricular heart failuremay develop because the disease process (e.g. dilated cardiomyopathy or IHD ) affects both ventricles, or because disease of the left heart leads to chronic elevation of the left atrial pressure, pulmonary hypertension and right HF.
Diastolic and systolic dysfunction Systolic dysfunction develops as a result of impaired myocardial contraction Diastolic dysfunction due to poor ventricular filling and high filling pressures caused by abnormal ventricular relaxation, commonly found in patients with left ventricular hypertrophy and occurs in many forms of heart disease, notably HT and IHD.
In diastolic heart failure most patients have preserved systolic function, and they experience many of the same symptoms of systolic dysfunction and may be difficult to distinguish clinically.Other causes include: pericardial disease,eg. Cardiac tamponade, &Constrictive pericarditis, hypertrophic or restrictive cardiomyopathy. Systolic and diastolic dysfunction often coexist, particularly in patients with IHD
High-output failure Conditions associated with a very high cardiac output (e.g. a large arteriovenous shunt, beri-beri , severe anaemia or thyrotoxicosis) . In such cases, additional causes of heart failure are often present.
Acute and chronic heart failure HF may develop suddenly, as in MI, or gradually, as in progressive valvular heart disease. When there is gradual impairment of cardiac function, a variety of compensatory changes may take place. Acute left HF occurs either de novo or as an acute decompensated episode on a background of chronic HF, i.e. acute-on-chronic HF.
Compensated heart failure is used to describe a patient with impaired cardiac function in whom compensatory changes have prevented the development of overt HF .
Factors that may precipitate or aggravate heart failure in patients with pre-existing heart disease
Myocardial ischaemia or infarction
Intercurrent illness, e.g. infection
Arrhythmia, e.g. AF
Inappropriate reduction of therapy
Administration of a drug with negative inotropic properties (e.g. β-blocker) or fluid-retaining properties (e.g. NSAI drugs, corticosteroids)
Pulmonary embolism
Conditions associated with increased metabolic demand, e.g. pregnancy, thyrotoxicosis, anaemia
Intravenous fluid overload, e.g. post-operative i.v. infusion
Clinical Features
Chronic heart failure Patients commonly experience a relapsing and remitting course, with periods of stability and episodes of decompensation leading to worsening symptoms that may necessitate hospitalisation. The clinical picture depends on 1. the underlying heart disease,2. the type of heart failure, and 3. the neural and endocrine changes that have developedLeft heart failure
Symptoms :fatigue.
poor effort tolerance; cold peripheries and hypotension.
. exertional dyspnoea.
orthopnoea .
paroxysmal nocturnal dyspnoea.
Signs:
• few and not prominent until a late stage or if ventricular failure is acute.
• Sinus tachycardia, pulsus alternas, cold hands .
• Displaced apical impulse,( cardiomegaly).
• Auscultation reveals 3rd or 4th heart sound.
• 3rd and or 4th heart sound with tachycardia, is described as a gallop rhythm.
• Dilatation of the mitral anulus results in functional MR causing systolic murmur. Crackles are heard at the lung bases. In severe left heart failure the patient has pulmonary oedema& presents with dyspnoea, orthopnoea, PND and inspiratory crepitations over the lung bases.
Right heart failure
Symptoms:Fatigue.
breathlessness.
anorexia ,nausea, vomiting and upper abdominal pain or discomfort.
Leg edema.
Physical signs:
Elevated JVP (± v waves of tricuspid regurgitation)tender smooth hepatic enlargement (congestion)
dependent pitting oedema (bilateral). In ambulant patients the oedema affects the ankles, whereas in bed-bound patients it collects around the thighs and sacrum.
development of free abdominal fluid (ascites)
pleural effusion(transudates) (commonly right-sided).
Dilatation of the right ventricle produces cardiomegaly and may give rise to left parasternal lift or epigastric pulsation or tricuspid regurgitation.
Tachycardia is usual.
Poor renal perfusion may lead to oliguria and uraemia.Chronic heart failure is sometimes associated with marked weight loss (cardiac cachexia) caused by a combination of anorexia and impaired absorption due to gastrointestinal congestion.
Acute heart failure:
• term often used to mean acute (cardiogenic) dyspnoea characterized by signs of pulmonary congestion.• It is preferable to use the term 'acute pulmonary oedema' or where applicable 'cardiogenic shock'.
• Causes include:
• acute MI when there is extensive loss of ventricular muscle.
• rupture of the interventricular septum producing a VSD
• acute valvular regurgitation due to papillary or chordal rupture producing MR.
• sudden aortic valve regurgitation in infective endocarditis.
• obstruction of the circulation by acute pulmonary embolus and cardiac tamponade.
Clinical features:
Sudden dyspnoea,orthopnoeaEvidence of precipitant, such as acute MI
Patient is agitated, pale & clammy
Cool peripheries, tachycardia
Bp is usually high, but may be low (cardiogenic shock)
The JVP is usually elevated, particularly with right HF. In acute de novo HF, the apex is not displaced. Murmur of a MR or VSD , or reveals a 'gallop' rhythm. Crepitations are heard at the lung bases, consistent with pulmonary oedema. Also with additional features of long-standing HF . Potential precipitants, such as an upper respiratory tract infection or inappropriate cessation of diuretic medication, should be identified.
Diagnosis of heart failure
Usually requires evidence of cardiac dysfunction with appropriate investigation using objective measures of left ventricular function (usually echocardiography).
The underlying cause of HF should be established in all patients.
What are the aggravating factors of HF.
Looking for complications of HF.
INVESTIGATIONS
INVESTIGATIONSBlood tests –
Full blood count,
Liver biochemistry,
Urea and electrolytes
Cardiac enzymes in acute heart failure to diagnose myocardial infarction,
Thyroid function tests .
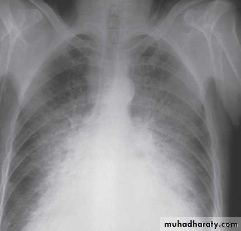
Chest X-ray - cardiac size enlarged and evidence of pulmonary congestion .
Electrocardiogram - evidence of ischaemia,(Q wave ,ST,T wave changes, LVH or arrhythmia.Ambulatory (24-48 hours) ECG monitoring - if arrhythmia is suspected.
Natriuretic peptide (B-type NP (BNP) or N terminal (NTproBNP)). A plasma level less than 100ng excludes heart failure and is a useful screening test in the investigation of patients with breathlessness.
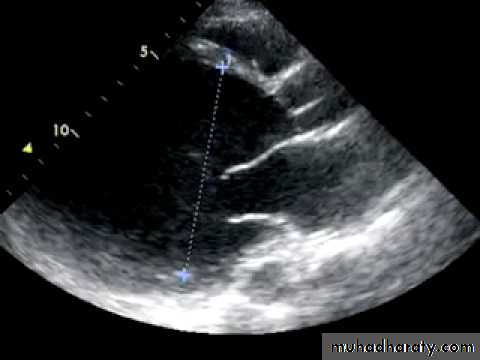
Echocardiography.
Two-dimensional and Doppler echocardiography establish the presence of systolic and/or diastolic impairment of the left or right ventricle.They may also reveal the aetiology (valve disease, regional wall motion abnormalities in ischaemic heart disease, cardiomyopathy, amyloid),
it may detect intracardiac thrombus.
An ejection fraction of < %55 is generally accepted as evidence for systolic dysfunction.
Doppler echo
Cardiomyopathy
Cardiac MRI.
recommended in selected patients where other investigations do not provide satisfactory diagnosis.accurately measure cardiac volumes, wall thicknesses and left ventricular mass.
reliably detects thickened pericardium
Cardiac catheterization .
Cardiac biopsy for infiltrative disease, e.g. amyloid.
Thank You





